Submit manuscript...
eISSN: 2373-6372

Gastroenterology & Hepatology: Open Access

Case Report Volume 6 Issue 5

Subcapsular Hepatic Hematoma. Is it still an unusual Complication Post ERC? Case Report and Literature Review

Luciano R Corazza, Letizia D’Ambrosio, Berardino D’Ascoli , Maria F Dilorenzo

Department of Surgery, Madonna delle Grazie's Hospital, Italy

Correspondence: Luciano R Corazza, Department of Surgery, Madonna delle Grazie Hospital, ASM, C.da Cattedra Ambulante 75100 Matera, Italy

Received: March 11, 2017 | Published: April 17, 2017

Citation: Corazza LR. D’Ambrosio L, D’Ascoli B, Dilorenzo MF (2017) Subcapsular Hepatic Hematoma. Is it still an unusual Complication Post ERC? Case Report and Literature Review. Gastroenterol Hepatol Open Access 6(5): 00211. DOI: 10.15406/ghoa.2017.06.00211

Download PDF

Abstract

Background and Aims: Subcapsular hepatic hematoma is a rare and little reported complication post ERCP resulting in significant morbidity. The literature review highlights the low but not exceptional incidence of this complication.

Methods: Case report.

Results: A 55 years-old woman cholecystectomy years before was admitted to our hospital with right upper abdominal discomfort. She had pathologic laboratories rates of hepatic cytolysis, not jaundice. CT scan showed common bile duct stones with intra-and-extrahepatic bile duct not dilated. ERCP was performed with sphincterotomy on wire guide and small stones removal from common-bile-duct with Dormia basket. Not immediate post ERCP complications. Two hours after onset of intense abdominal pain with loss of haemoglobin of 2.5 gr. CT scan showed a large subcapsular right hepatic lobe hematoma and right lung pleural effusion. Not hemoperitoneum or intra-abdominal free air. It was Initial conservative treatment with antibiotics and intravenous fluids, but then she had fever and surgical drainage of hematoma was performed. Good postoperative with recovery.

Conclusion: Subcapsular hepatic hematoma pathogenesis post ERCP is not clear, but probably due to the trauma of the guidewire on liver parenchyma with rupture of small blood vessels. This would explain the presence of air in the hematoma and the high frequency of bacterial contamination with the risk of abscess formation. The wireguide endoscopic maneuvers should be conducted with caution avoiding to push the wire guide in the hepatic bile ducts. The management of this complication depends to the dimension of hematoma, the patient's hemodynamic stability, the anaemia degree, the presence of infection. Conservative management is usually effective if identified and treated rapidly with a multidisciplinary approach of medical or interventional radiology and surgical input. Literature reports forty-five cases of subcapsular hepatic hematoma as complication post ERCP. It represents probably a most frequent complication if considering unrecognized cases of small subcapsular hepatic hematoma.

Keywords: endoscopic retrograde cholangiography, subcapsular hepatic hematoma, arterial embolization, percutaneuous drainage surgical treatment

Introduction

Endoscopic retrograde cholangiopancreatography (ERCP) is a common performed endoscopic procedure for the diagnosis and management of choledocholithiasis, biliary malignancies, benign and malignant disease of the pancreas. Other diagnostic and therapeutic modalities: MRI/MRCP, laparoscopic cholecistectomy with intraoperative cholangiography, EUS and interventional radiology, have changed the appropriate use of ERCP in relation to complications of this procedure. ERCP has a greater incidence of procedure-related complications than all endoscopic procedures in the upper gastrointestinal tract.1–3 It is basic to understand its potential complications, theirs expected rates and contributing factors for the adverse events. The case reports a subcapsular hepatic hematoma, a rare and little reported complication post ERCP resulting in significant morbidity. The literature review highlights the very low incidence of this complication, but not so exceptional.

Case report

A 45 years-old woman was admitted to our hospital with right upper abdominal discomfort. She had undergone cholecystectomy a few years before and the laboratory findings evidenced: GOT 30 UI/l (n.v.<37),GPT 78UI/l(n.v.<40), gammaglutamyltranferase, GGT 330 UI/l (n.v. 537), alkalinephosphatase 220 UI/l (n.v. 53-128), total bilirubine 0.6 mg/dl (n.v. 0.2-1.2), RBC 4.64 106u/L (nv 4.40-5.60),Hb 11.9g/dl (n.v. 12.8-16.5), HCT 36.6 % (n.v. 40-50), WBC 7.64 193u/L, PT 107% ( n.v. 70-130), PT INR 0.95 (n.v. 0.90-1.30),PTT 30.0 sec(26.0 40.0), amylase 64, lipase normal value. Good general conditions with clinical history of hernia lumbar with NSAIDs irregular treatment and epilepsy in effective drug treatment. She was use of analgesics for headache. Indication for ERCP was placed for detection of biliary sludges in common bile duct (CBD) without dilatation of extrahepatic and intrahepatic bile ducts. Sphincterectomy was performed over a hydrophilic guide, without immediate complications with clearance of sludges from common bile duct by Dormia basket (Figure 1). Two hours later she developed severe right upper abdominal pain not being susceptible to common analgesics. She was not hyperpiretic with normal laboratory tests and no free air to Rx-ray abdomen carried out after about 4 hours of the procedure. There was no signs of peritoneal involvement to clinic examination. Since the abdominal persisted with a drop of 2.5 grams of haemoglobin, RBC 3.67 and HCT 29.5, WBC 12.08, amylase 57,GOT 57,GPT 130, GGT 213,alkaline phosphatase 178 and total bilirubin 0.5, a CT abdomen was performed. It highlighted a wide collection heterogeneously hypo-isodense with densitometric values of fluid type blood in the subcapsular right liver, between the posterior and anterior-medial area, without signs of active bleeding or capsular leak. No hemoperitoneum, no pneumoperitoneum, no dilated the intra and extrahepatic bile ducts (Figure 2). Large pleural effusion with hypoventilation lower lobe and posterior segment of right upper lobe (Figure 3). The patient still presented without fever with abdominal pain attenuation. On the surgeon input, conservative management was performed with intravenous fluid replacement and broad-spectrum antibiotics. After five days she presented fever and abdominal CT was unchanged from the previous control, except relief of subcapsular tiny gas bubbles. On this relation and the pulmonary compromission, she was under surgical treatment for hematoma and pleural effusion drainage. At surgery it was a massive subcapsular hematoma, partially coagulated, which covered the entire liver right and partially the fourth segment with intimate adherence to the diaphragm and lateral shower right. Pleural effusion was clear without bacterial infection. She was symptoms free with excellent postoperative course and was discharged after about 10 days after surgery with normality at laboratory parameters and abdominal ultrasound scan. Serial ultrasonographic and rx-ray examinations were performed with complete resolution of pleural effusion and pulmonary ventilation with persistently normal liver morphology at the end of 30th day. She remained asymptomatic at subsequent follow up.

Figure 1 ERCP cholangiography with Dormia basket in CBD and the tip of guide wire in the hepatic bile duct (arrow).

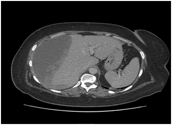
Figure 2 CT scan of upper abdomen showing the subcapsular hematoma of the right lobe of liver.

Figure 3 CT scan chest showing the pleural effusion of the right lung.

Discussion

Reported complication rates after ERCP vary widely. Pancreatitis is the most common ERCP complication (1% to 7%).Haemorrhage intraluminal related sphincterotomy ranges from 0.7 % to 2%. The risk of severe haemorrhage requiring two or more unit of blood, surgery or interventional radiology ranges from 0.1 % to 0.4%. Perforation rates from 0.3 % to 0.5 %. Cholangitis represents 1% or less and cholecystitis rates 0.2% to 0.5%. The overall mortality rate after diagnostic ERCP is 0.2 % and after therapeutic ERCP it is 0.4%. Miscellaneous complications have been reported i.e., spleen rupture, ileus, hepatic abscess, pneumothorax or Pneumo-mediastinum, perforation of colonic diverticula, duodenal hematoma, infection of pseudocysts and impaction of terapeutical devices have been reported. Post ERCP bleeding complications are rare and mainly post-sphincterotomy. Additional bleeding complications result from lesions of the spleen or the duodenal wall or colon caused by unusual movements of the endoscope with traction on the abdominal vessels.4–16 Subcapsular hepatic hematoma, an extraluminal hemorragic complication post ERCP, is an unusual and relatively rare event, whose pathogenesis is poorly understood, but potentially life threatening requiring identify and treatment rapidly. The review of the literature (Table 1) highlight that only forty-six cases of this complication have been described so far.

Author case report year of publication

Pazient, Sex, Age

Indication for ERCP

Wireguide

Complication

Management

Outcome

Ortega D et al.17

81-years old man

Common bile duct stones

Yes

Subcapsular hepatic hematoma

Percutaneous drainage

Recovery

Horn TL et al.18

71 years-old woman

Obstructive jaundice from cholangiocarcinoma

Yes

Subcapsular hepatic hematoma

Conservative

Recovery

Bhandarkar et al.19

64-year-old woman

CBD stone

Yes

Subcapsular hepatic hematoma

Percunaeous drainage

Recovery

Chi KD et al.20

43 years-old woman

Obstructive jaundice from metastatic pancreatic cancer

Yes

Subcapsular hepatic hematoma

Conservative

Recovery

Ertugrul I et al.21

41 years-old man

Obstructive jaundice hilar cholangiocarcinoma

Yes

Subcapsular hepatic hematoma

Coservative

Recovery

Bhati CS et al.22

51 years-old woman

CBD stones

Yes

Subcapsular hepatic hematoma

Percutaneous drainage

Recovery

Priego P et al.23

30 years-old woman

CBD stones

Yes

Subcapsular hepatic hematoma

Surgical treatment

Recovery

Table 1 Literature highlight and case report

Two cases report pleural involvement, whose pathogenesis should be depended presumably from the inflammatory reaction resulting by the anatomical relationships between the pleural and the walls of the hematoma. In Almost all cases endoscopic procedures were performed by using a wire guide; howewer the type of wire guide is not specified. Bleeding disorders or special medical conditions or liver disease at risk for bleeding were not described. In nineteen cases the management of hematoma was conservative with a medical therapy with antibiotic and fluid infusion while in thirteen cases a percutaneous drainage was performed. Embolization is recorded in five cases. Surgical treatments were performed in eleven cases. There were recovery in forty-three patients; three patients deceaded. The pathogenesis of subcapsular hepatic hematoma is not clear. It is most likely due to the trauma of the tip of the guidewire resulting in puncture of liver parenchyma with rupture of small blood vessels, when it is pushed-on in the intrahepatic biliary tree in association with injection pressure of contrast medium. This might explain both the presence of air in the hematoma and the high frequency of bacterial contamination with the risk of abscess formation, as the procedure was performed under not sterile conditions. The endoscopic maneuvers with the guide wire should be conducted with caution and avoid to push the guide wire in the bile ducts higher than necessary, in not dilated biliary tree especially (Figure 1). By keeping in mind this complication, the careful management of the guide by endoscopist or his/her assistant is essential for avoiding its eccessive manipulation and the loss of the edge of the fluoroscopic distal image. The management of the complication depends to the size of hematoma, the patient's hemodynamic stability, the anemia degree, the presence of infection and the patient's general conditions. Its conservative management is usually effective if identified and treated rapidly with a multidisclinary approach of medical or interventional radiology and surgical input.17–59

Subcapsular hepatic hematoma is an unusual complication after ERCP, but the literature review shows that it is not so rare (thirty cases described from 2011 to date, eleven cases only in 2016) and probably represents a most frequent complication when considering unrecognized cases of small sub-capsular hematoma. This complication should rightly be included in the differential diagnosis of post-ERCP complications.

References

  1. Mallery JS, Baron TH, Dominitz JA, et al. Complications of ERCP. Gastrointest Endosc. 2003;57(6):633–638.
  2. Loperfido S, Costamagna G, Ferrara F. Rare complications of ERCP. 2011.
  3. Kingsley DD, Schemer CR, Jamal MM. Rare complications of endoscopic retrograde cholangiopancreatography: two case reports. JSLS. 2001;5(2):171–173.
  4. Shah JN, Marson F, Weilert F, et al. Single-operator, single-session EUS-guided anterograde cholangiopancreography in failed ERCP or inaccessible papilla. Gastrointest Endosc. 2011;75(1):56–64.
  5. Andrabi SI, Ahmad J, Ahmed M, et al. Gallstone ileus and bowel perforation: a rare complication of therapeutic ERCP. J Pak Med Assoc. 2007;57(7):375–357.
  6. Trondsen E, Rosseland AR, Moer A, et al. Rupture of the spleen following retrograde cholangiopancreatography (ERCP). Case report. Acta Chir Scand. 1989;155(1):75–76.
  7. Austin AS, Lobo DN, Hinwood D, et al. Intra-hepatic false aneurysm: a rare complication of ERCP. Eur J Gastroenterol Hepatol. 1999;11(10):1171–1173.
  8. Poon CM, Lee FY, Ko CW, et al. A rare complication of intra-abdominal hematoma after ERCP. Gastrointestinal Endosc. 2002;56(2):307.
  9. Davion T, Braillon A, Delamarre J, et al. Pseudomonas aeruginosa liver abscess following endoscopic retrograde cholangiograpy. Report of a case without biliary tract Disease. Dig Sis Sci. 1987;32(9):1044–1046.
  10. Markogiannakis H, Toutouzas KG, Pararas NV. Bilateral pneumothorax following endoscopic retrograde cholangiopancreatography: a case report. Endoscopy. 2007;39(Suppl 1):E195.
  11. Ferrara F, Luigiano G, Billi P, et al. Pneumothorax, pneumomediastinum, pneumoperitoneum, pneumoretroperitoneum and subcutaneous emphysema after ERCP. Gastrointest Endosc. 2009;69(7):1398–1401.
  12. Peter A, Walker M, Shinil K. Biliary stent migration presenting as trans diverticular sigmoid perforation: case report of a rare occurrence. JSCR. 2011;3:6.
  13. Sisley JF, Bowden TA, Mansberger AR. Pancreatic duct disruption and duodenal hematoma associated with endoscopic retrograde cholangiopncreatography. South Med J. 1987;80(11):1441–1443.
  14. Petel R, Shaps J. Intramural duodenal hematoma- a complication of ERCP. Gastrointest Endosc. 1982;28(3):218–219.
  15. Ng EK, Lau JY, Chung SC. Retrieval of an impacted mechanical lithotripsy basket. Endoscopy. 1987;29(2):128.
  16. Sharma N. An unusual complication of endoscopic retrograde cholangiopancreatography. BMJ Case Reports. 2009.
  17. Ortega Deballon P, Fernandez Lobato R. Liver hematoma following endoscopic retrograde cholangiopancreatography. Surg Endosc. 2000;14:767.
  18. Horn TL, Pena LR. Subcapsular hepatic hematoma after ERCP: case report and review. Gastrointest Endosc. 2004;59(4):594–596.
  19. Bhandarkar DS, Katara AN, Shah RS. Intrahepatic subcapsular hematoma complicating laparoscopic cholecystectomy. Surg Endosc. 2004;18(5):868–870.
  20. Chi KD, Waxman I. Subcapsular hepatic hematoma after guide wire injury during retrograde cholangiopacreatography: management and review. Endoscopy. 2004;36(11):1019–1021.
  21. Ertugrul I, Parlak E, Ibis M. An unusual complication of endoscopic retrograde cholangiopancreatography. Dig Dis Sci. 2006;51:1167–1168.
  22. Bhati CS, Inston N, Wigmore SJ. Subcapsular intraheptica hematoma: un unusual complication of ERCP. Endoscopy. 2006;39(Suppl 1):E150.
  23. Priego P, Rodríguez G, Mena A. Hematoma subcapsular hepático tras CPRE. Rev Esp Enferm Dig. 2007;99(1):49–50.
  24. Petit-Laurent F, Scalone O, Penigaud M, et al. Hématome sous-capsulaire hépatique après cholangiopancréatographie rétrograde endoscopique: description d'un cas clinique et revue de Littérature. Gastroenterol Clin Bio. 2007;31(8-9):750–752.
  25. Del Rossi M, Martinez Y, Louis C. Hematoma intrahepático y subcapsular posterior a colangiopancreatografía retrógrada endoscópica (CPRE) reporte de un caso y revisión. Rev Soc Ven Gatroentero Gen. 2007;61(3):210–211.
  26. Papachristou, TH, Baron TH. Complication of therapeutic endoscopic retrograde cholangiopancreatography. Gut. 2007;56(6):854–868.
  27. McArthur KS, Mills P. Subcapsular Hepatic Hematoma after ERCP. Gastrointest Endosc. 2008;67(2):379–380.
  28. Dela Serna-Higuera C, Fuentes Coronel A. Subcapsular hepatic hematoma secondary to the use of hydrophilic guidewires during endoscopic retrograde cholangiopancreatography. Gastroenterol Hepatol. 2008;31:266–267.
  29. Cardenas A, Crespo G, Balderramo D, et al. Subcapsular liver hematoma after endoscopic Retrograde Cholangiopancreatography in a liver transplant recipient. Ann Hepatol. 2008;7(4):386–388.
  30. Majo GT, Vargas SF, Castro SM. Subcapsular hepatic hematoma after ERCP. Rev Chil radiol. 2008;14(4):180–233.
  31. Yriberry Urena S, Salazar Muente F, Monge Zapata V, et al. Eventos adversos esperados e inesperados en la endoscopia terapéutica de la vía biliar (CPRE): Experiencia en un centro privado nacional con 1356 casos consecutivos (1999-2008). Rev gastroenterol Perú. 2009;29(4):311–320.
  32. Nari GA, Preciado Vergas J, Rosendo Ballesteros N. A rare complication of ERCP: sub capsular liver hematoma. Cir ESP. 2009;85(4):261–262.
  33. Revuelto Rey J, Gordillo Escobar E, Batalha P. Subcapsular hepatic hematoma after ERCP. Med Intensiva. 2010;34.
  34. Baudet JS, Arguinarena X, Redondo I, et al. Subcapsular hepatic hematoma: An un common complication of endoscopic retrograde cholangiopancreatography. Gastroenterol hepatol. 2011;34(2):79–82.
  35. Manikam J, Kaur S, Mahadeva S, et al. Subcapsular hematoma of the liver following endoscopic retrograde cholangiography: a known but rare complication. Dig Endosc. 2011;23(2):209–210.
  36. Del Pozo D, Moral I, Poves E, et al. Subcapsular hepatic hematoma following ERCP: case report and review. Endoscopy. 2011;43:E164–E165.
  37. Perèz Legaz J, Santos J, Ruiz-TovarJ. Subcapsular hepatic hematoma after ERCP (endoscopic retrograde pancreatography). Rev ESP Enfem Dig. 2011;103(10):550–551.
  38. Saa R, Sarriugarte A, Guerra M, et al. Gas containing liver hematoma: An unusual complication of ERCP. Internet J Sur. 2011;27(2).
  39. Weilert F, Binmoeller KF, Marson F, et al. Endoscopic ultrasound-guided anterograde treatment of biliary stones following gastric bypass. Endoscopy. 2011;43(12):1105–1108.
  40. Oliveira Ferreira A, Tato Marinho R, Velosa J. Infected hepatic ematoma10 days after ERCP. Endoscopy. 2013;45(Suppl 2)UCTN:E402–E403.
  41. Bartolo Rangel, Yanet Anaya, Josè Suarez, et al. Ruptured hepatic hematoma and hypovolemic shock as un unusual complication after ERCP. Report of one case. Cir Gen. 2014;34(3):217–220.
  42. Zizzo M, Lanaia A, Barbieri I, et al. Subcapsular Hepatic Hematoma after Endoscopic Retrograde Cholangiopancreatography. Medicine. 2015;94(26):e1041.
  43. Klimova K, Padilla Suarez P, Asanza C, et al. Subcapsular hepatic hematoma after ERCP. A case report and revision of literature. Sci Res. 3(3):161–166.
  44. Fei BY, Li CH. Subcapsular hepatic hematoma after endoscopic rretrograde cholangiopacreatography: An unusual case. World J Gastroenterol. 2011;19(9):1502–1504.
  45. Carrica S, Belloni R, Baldoni F, et al. Intraparenchimal hepatic hematoma after endoscopic retrograde cholangiopancreatography over infected by Citrobacter freundii and Klebsiella pneumoniae BLEE. Acta Gastroenterol Latinoam. 2014;44(2):125–128.
  46. Kisaoglu A, Ozogul B, Bayramoglu A, et al. Incidental Subcapsular Hepatic Hematoma Following ERCP. Turk Med J. 2016;8(1):27–29.
  47. Patil M, Sheth KA, Adarsh CK. An unusual experience with endoscopic retrograde cholangiopancreatography. Journal of Digestive Endoscopy. 2013;4(4):114–116.
  48. Kilic A, Acar A, Canbak T. Subcapsular liver hematoma due to endoscopic retrograde cholangiopancreatography: Case Report. Medicine Science. 2016;5(4):1046–1048.
  49. Fiorini M, Pietrangelo A, Vagetti A. An unfortunate case of post-ERCP complication. Internal and Emergency Medicine. 2016;12:263–265.
  50. Cuvale C, Guidi M, Malaga I. Papillary adenoma of the common bile duct: infrequent pathology, novel endoscopic resolution, rare complication. A case report. Revista de Gastroenterologia de Mexico. 2016;81(2):109–111.
  51. Zappa A, Aiolfi A, Antonini I, et al. Subcapsular hepatic hematoma of the right lobe following endoscopic retrograde cholangiopancreatography: Case report and literature review. World J Gastroenterol. 2016;22(17):4411–4415.
  52. Solmaz A, Bilgin Guigigek O, Ergetin C. Subcapsular Hepatic Hematoma Following Retrograde Cholangiopancreatography. 2015.
  53. Tamez AG, Lopez Cossio JA, Hernandez G. Subcapsular hepatic hematoma: An unusual, but potentially life-threting post ERCP complication. Case report and literature review. Endoscopia. 2016;28(2):75–80.
  54. Gonzales R, Garcia E, Espinosa O, et al. Surgical treatment for liver hematoma following endoscopic retrograde cholangiopancreatography: An unusual case. Cir Cir. 2015;83(6):506–509.
  55. Orellana F, Irarrazaval J, Galindo J, et al. Subcapsular hepatic hematoma post ERCP: a rare or under diagnosed complication? Endoscopy. 2015;44(Suppl 2 UCTN):E108–E109.
  56. Zela P, Marlon M, Escobar A. Hematoma Subcapsular Hepatico Como Complication del Procedimiento Coloangiopancreatografia Retrograda Endoscopica (Cpre). Repositorio. 2016.
  57. Servide MJ, Prieto M, Marquinam T. Hepatic subcapsular hematoma: a rare late complication after ERCP. Rev Esp Enferm Dig. 2016;108(4):234–235.
  58. Yoshii S, Ota K, Matsuura A, et al. A case of subcapsular hepatic hematoma after ERCP. Gastroenterogical Endoscopy. 2014;56(7):2183–2189.
  59. Ding Shi, Dong Wu, Xujun Hu. Endoscopic retrograde cholangiography-related perforation: recommendations from a single institution experience. Int J Exp Med. 2016;9(9):18142–18150.
Creative Commons Attribution License

©2017 Corazza, et al. This is an open access article distributed under the terms of the, which permits unrestricted use, distribution, and build upon your work non-commercially.