Submit manuscript...
eISSN: 2373-6372

Gastroenterology & Hepatology: Open Access

Case Report Volume 2 Issue 5

Symptoms of Impending Gallbladder Perforation and Acute Cholecystitis in a Pancreatic Cancer Patient Masked by Celiac Plexus Block

Erkut Borazanci,1 Luke Dreisbach,2 Ramesh K Ramanathan3

1Honor Health Research Institute, USA
2Desert Hematology Oncology Medical Group, USA
3Mayo Clinic, USA

Correspondence: Erkut Borazanci, Honor Health Research Institute, 10510 N. 92nd St. Ste 200, Scottsdale, AZ, 85258, USA, Tel 480-323-1350, Fax 480-323-1359

Received: July 18, 2015 | Published: October 6, 2015

Citation: Borazanci E, Dreisbach L, Ramanathan RK (2015) Symptoms of Impending Gallbladder Perforation and Acute Cholecystitis in a Pancreatic Cancer Patient Masked by Celiac Plexus Block. Gastroenterol Hepatol Open Access 2(5):00059. DOI: 10.15406/ghoa.2015.02.00059

Download PDF

Abstract

Celiac plexus block (CPB) or celiac plexus neurolysis (CPN) is a common palliative treatment for patients with advanced pancreatic cancer. We describe a case of a patient with advanced pancreatic cancer who had undergone two separate CPB procedures who subsequently developed acute cholecystitis. The unusual nature of this case presentation is highlighted by the relative benign presentation of the patient including an absent Murphy’s sign and normal liver function serum profile. This case highlights the complexity of pain in advanced pancreatic cancer in those patients who have received CPB and develop acute gastrointestinal emergencies.

Keywords: acute cholecystitis, pancreatic cancer, celiac plexus block, celiac plexus neurolysis

Abbreviations

ANC, absolute neutrophil count; CBC, complete blood count; CMP, complete metabolic profile; CPB, celiac plexus block; CPN, celiac plexus neurolysis; CT, computed tomography; EUS, endoscopic ultrasound; HIDA, cholescintigraphy; MRCP, magnetic resonance cholangiopancreatography

Introduction

Celiac plexus block (CPB) or celiac plexus neurolysis (CPN) is a common palliative treatment for patients with pancreatic cancer.1,2 The use of celiac plexus blocks for symptom relief in non malignant and malignancy is becoming a more common procedure in the United States and may be repeated in the same patient several times. Acute cholecystitis typically occurs as a result of gallstone disease although it may occur in the absence of gallstones or after cholecystectomy. The typical clinical presentation of patients with acute cholecystitis is right upper quadrant pain, fever, nausea, vomiting, and anorexia. In this case report, an individual with pancreatic cancer presents with an unusual presentation and was subsequently found to have acute cholecystitis.

Case presentation

A 58-year-old male with metastatic pancreatic cancer was seen in our clinic on 1/15/14 for evaluation of further treatment options. The patient was originally diagnosed on 7/9/2013 with pancreatic adenocarcinoma with liver metastases and underwent chemotherapy with gemcitabine and an investigational agent or placebo through a blinded study for four months. The patient then had progression of his disease and underwent three cycles of the chemotherapy combination FOLFIRINOX which was completed on 12/16/13 but patient was taken off due to progression. The patient also underwent a celiac plexus on 7/10/13 and again on 11/8/13 due to severe abdominal pain. The patient was seen in our clinic to discuss treatment options. The patient noted progressive fatigue that did not limit activities of daily living along with poor appetite with weight loss of approximately 30 to 35 pounds over the past year. The patient also noted right-sided abdominal pain one month in duration that was constant but controlled with short acting as needed pain medications. The patient also noted occasional dysphagia but no nausea or vomiting. He also noted three to four episodes of bowel movements daily after meals that were semisolid to watery without abdominal cramping or bloating. On physical examination the patient appeared well built and nourished in no apparent distress with a blood pressure of 105/60 mmHg, pulse rate of 109 beats/min, and temperature of 99.2 degrees Fahrenheit. The patient weight 75.7 kilograms and height was 186.7 centimeters. The patient had infusion port in high left upper chest and had tenderness in the epigastric area on abdominal exam with no distension and normal bowel sounds. The patient was noted to have findings consistent of past cellulitis in the left lower leg but otherwise the rest of his physical exam was unremarkable.

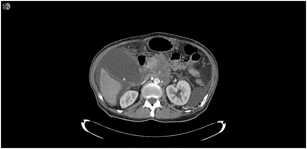
The patient underwent a complete blood count (CBC) draw and complete metabolic profile (CMP). His laboratory data revealed a total white blood cell count of 13.2 K/uL, hemoglobin (Hgb) of 11.0 g/dL, and a platelet count of 211 K/uL. His differential was 78.1% neutrophils with a total absolute neutrophil count (ANC) of 10.31 K/uL. Other than his sodium level that was 130 mmol/L, glucose 136 mg/dL, albumin 2.4gm/dL, and total protein of 5.8 gm/dL the patient’s metabolic profile was normal. The patient consented to a clinical trial and proceeded with screening. His screening visit was the following week on 1/22/14 where he noted a persistent right-sided abdominal pain that was characterized as dull and constant without any radiation. The patient’s vitals were noted to be a blood pressure of 107/57 mmHg, pulse 113 b/min, temperature of 99.1 Fahrenheit, and oxygen saturation of 96% on room air. The patient’s physical examination was unchanged with continued tenderness in the epigastric and now right upper quadrant abdominal region but the patient has no evidence of distention and normal bowel sounds. A CBC and CMP were drawn again that day. Several changes were noted in the patient’s labs: his WBC had increased to 23.2 K/uL with an ANC of 20.19 K/uL, a total bilirubin of 2.4 mg/dL, an alkaline phosphatase of 141 U/L, and a direct bilirubin of 1.3 mg/dL. The patient also has a urine analysis done showing brown, cloudy urine, with a specific gravity of 1.025 and positive for bilirubin, protein, and several bacteria with negative nitrites, negative wbc, and negative leukocyte esterase. Due to patient’s increased abdominal pain from one week ago his narcotic frequency with short acting dilaudid was increased from twice a day as needed to every 3 hours as needed and remained on his prior dose of fentanyl pain patch of 100 mcg every 72 hours. The patient was scheduled for a CT scan later that day. CT scan with IV contrast was done of the chest/abdomen/pelvis which showed a hugely distended gallbladder with a thin wall and acute cholecystitis secondary to malignant bile duct obstruction (Figure 1). The patient was subsequently admitted for IV antibiotics and underwent an emergent laparoscopic cholecystectomy.

Figure 1 Axial CT image showing marked distension of the gallbladder 7.5 x 12 cm with mild diffuse wall thickening consistent with acute cholecystitis. Gall stone also noted along with abdominal ascites. His pancreas cancer lesion is also shown in the center of the image.

Discussion

Acute cholecystitis typically occurs as a result of gallstone disease although it may occur in the absence of gallstones or after cholecystectomy. The typical clinical presentation of patients with acute cholecystitis is right upper quadrant pain, fever, nausea, vomiting, and anorexia. On physical examination patients will have a positive Murphy’s sign which is elicited when the examiner palpated the area of the gallbladder just beneath the liver’s edge and asks the patient to inspire deeply. A positive Murphy’s sign involves the patient’s discomfort increased along with the patient not being able to breathe. This has likelihood ratio of 2.8 fold of diagnosis of acute cholecystitis.3 Other findings are non-specific but typically involve fever and leukocytosis. Diagnosis is confirmed with imaging studies with ultrasound being most commonly used due to its sensitivity of 88% and specificity of 80% in diagnosing acute cholecystitis.4 A positive ultrasound test for acute cholecystitis is evident when gallbladder wall thickening greater than 4 mm or edema is seen. A sonographic Murphy’s sign may also be elicited. The next most common scan is the Cholescintigraphy (HIDA) scan which involves injecting technetium labeled hepatic iminodiacetic acid and looking uptake in the common bile duct and gallbladder. If the gallbladder is not visualized then the test is positive. This scan has a sensitivity of 96% and specificity of 90%.5 Other less commonly used scans are Magnetic resonance cholangiopancreatography (MRCP) and abdominal computed tomography (CT). The differential diagnosis includes acute pancreatitis, appendicitis, acute hepatitis, peptic ulcer disease, pneumonia, Fitz-Hugh-Curtis syndrome, and abdominal abscess. Treatment may be either supportive care with pain control and antibiotics depending upon surgical risk. If patients do not respond to supportive treatment then surgical treatment with cholecystectomy is done.6

The celiac plexus is situated retroperitoneally in the upper abdomen and is at the level of the T12 and L1 vertebrae. The celiac plexus supplies the sympathetic, parasympathetic, and visceral sensory afferent fibers to the pancreas, liver, biliary tract, gallbladder, renal pelvis, renal ureter, spleen, mesentery, and bowel proximal to the transverse colon.7,8 Severe abdominal pain is a common complaint in 70 to 80% of patients with pancreatic cancer and pain reduction has been associated with improved quality of life and survival.9 Celiac plexus block involves injecting alcohol directly into the celiac ganglia percutaneously or through endoscopic ultrasound (EUS). Less commonly, intraoperative celiac plexus blocks are done through neurolytic solution injections directly into the junction of splanchic nerves and celiac ganglia.10–12 Common adverse events are diarrhea and orthostatic hypotension. Other adverse events and complications are linked to immediate post procedure complications such as infections, trauma, needle injury resulting in pneuothorax, hematoma.11 Efficacy has been demonstrated through randomized control trials displaying decrease of opiod analgesic use,11,12 although there have been conflicting meta-analysis on long-term pain control benefit with CPB.10

To date there have been no published reports regarding attenuation of symptoms in patients presenting with acute cholecystitis following celiac plexus nerve block. In our patient, his clinical presentation was not consistent with acute cholecystitis outside of leukocytosis and slight elevation in liver enzymes, which are non-specific findings. The patient did not exhibit a positive Murphy’s sign and was afebrile. The CT scan showed a hugely distended thin walled gallbladder with an impending perforation and remarkably the patient had minimal symptoms. Our case does illustrate the need for further investigations, especially in cancer patients with a history of celiac plexus blockade present in a clinical setting with new onset abdominal pain. Physicians should have a low threshold in this specific patient population to order diagnostic studies to rule out acute abdomen infections such as acute cholecystitis.

Acknowledgments

None.

Conflicts of interest

The authors declare that there is no conflict of interest.

References

  1. Wyse JM, Carone M, Paquin SC, et al. Randomized, double-blind, controlled trial of early endoscopic ultrasound-guided celiac plexus neurolysis to prevent pain progression in patients with newly diagnosed, painful, inoperable pancreatic cancer. J Clin Oncol. 2011;29(26):3541–3546.
  2. Arcidiacono PG, Calori G, Carrara S, et al. Celiac plexus block for pancreatic cancer pain in adults. Cochrane Database Syst Rev. 2011;3:CD007519.
  3. Trowbridge RL, Rutkowski NK, Shojania KG. Does this patient have acute cholecystitis? JAMA. 2003;289(1):80–86.
  4. Shea JA, Berlin JA, Escarce JJ, et al. Revised estimates of diagnostic test sensitivity and specificity in suspected biliary tract disease. Arch Intern Med. 1994;154(22):2573–2581.
  5. Kiewiet JJ, Leeuwenburgh MM, Bipat S, et al. A systematic review and meta-analysis of diagnostic performance of imaging in acute cholecystitis. Radiology. 2012;264(3):708–720.
  6. Papi C, Catarci M, D'Ambrosio L, et al. Timing of cholecystectomy for acute calculous cholecystitis: a meta-analysis. Am J Gastroenterol. 2004;99(1):147–155.
  7. Vorenkamp KE, Dahle NA . Diagnostic celiac plexus block with outcome with neurolysis. Techniques in Regional Anesthesia & Pain Management. 2011;15(1):28–32.
  8. Fugère F, Lewis G. Coeliac plexus block for chronic pain syndromes. Can J Anaesth. 1993;40(10):954–963.
  9. Staats PS, Hekmat H, Sauter P, et al. The effects of alcohol celiac plexus block, pain, and mood on longevity in patients with unresectable pancreatic cancer: a double-blind, randomized, placebo-controlled study. Pain Med. 2001;2(1):28–34.
  10. Zhong W, Yu Z, Zeng JX, et al. Celiac plexus block for treatment of pain associated with pancreatic cancer: a meta-analysis. Pain Pract. 2014;14(1):43–51.
  11. Bahn BM, Erdek MA. Celiac plexus block and neurolysis for pancreatic cancer. Curr Pain Headache Rep. 2013;17(2):310.
  12. Yan BM, Myers RP. Neurolytic celiac plexus block for pain control in unresectable pancreatic cancer. Am J Gastroenterol. 2007;102(2):430–438.
Creative Commons Attribution License

©2015 Borazanci, et al. This is an open access article distributed under the terms of the, which permits unrestricted use, distribution, and build upon your work non-commercially.