Submit manuscript...
eISSN: 2373-6372

Gastroenterology & Hepatology: Open Access

Case Report Volume 14 Issue 4

Ulcerative colitis and pyoderma gangrenosum presentation of a case and brief literature review

Diana Elizabeth Medina Castillo,1 Araceli Hinojosa Ruiz,2 Diana Alejandra Aguilar Medina,3 Rodrigo De La Cruz Medina4

1Dermatologist D´Corium private office Metepec, México
2Dermatologist D´Corium private office Metepec, México
3Dermatology Resident in Hospital General de México HGM Dr. Eduardo Liceaga, Mexico
4Undergraduate Internal Doctor in Centro Medico 3er nivel ISEM Lic. Adolfo López Mateos, Mexico

Correspondence: Diana Elizabeth Medina Castillo, Dermatologica D´Corium Av. Ignacio Comonfort, # 100 Barrio Coaxustenco Metepec México, Zip 52140, Tel + 52 722 2130071, +52 722 2324265

Received: July 08, 2023 | Published: August 15, 2023

Citation: Castillo DEM, Ruiz AH, Medina DAA, et al. Ulcerative colitis and pyoderma gangrenosum presentation of a case and brief literature review. Gastroenterol Hepatol Open Access. 2023;14(4):113-116. DOI: 10.15406/ghoa.2023.14.00555

Download PDF

Abstract

Inflammatory bowel disease (IBD) is a chronic immune-mediated disorder comprised of Crohn's disease and ulcerative colitis. Ulcerative colitis affects the large intestine, while Crohn's disease can affect any part of the gastrointestinal tract (GIT). IBD is a multisystem condition that predominantly affects the gastrointestinal, musculoskeletal, ocular, and cutaneous systems. The following dermatological manifestations associated with IBDs have been identified: Specific manifestations with the same histological features of the underlying only ocurrs in Crohn Disease (CD); cutaneous disorders associated with IBD aphthous stomatitis, erythema nodosum; reactive mucocutaneous manifestations of IBDs pyoderma gangrenosum, Sweet’s syndrome, bowel-associated dermatosis-arthritis syndrome, aseptic abscess ulcers, pyodermatitis y mucocutaneous conditions secondary to treatment including injection site reactions y eczema and manifestations due to nutritional malabsorption such as stomatitis, glossitis, angular cheilitis hair and nail abnormalities. We believe dermatological examination is essential in all IBD patients, especially in candidates to biologic therapies, in whom drug-induced cutaneous reactions may assume marked clinical relevance, such as psoriasiform eruption.

One of the cutaneous manifestations associated with UC is pyoderma gangrenosum (PG), which is an inflammatory neutrophilic dermatosis that clinically presents with well-defined ulcers with an erythematous border and mucopurulent or hemorrhagic exudate.We present the case of a 44-year-old female patient, who presented non-specific chronic ulcerative colitis (UC) with active intestinal symptoms, fever, diarrhea and hematochezia, 20 days later it began with pustules on the head, trunk and extremities, which evolved into an ulcer with a border erythematous and well defined whose clinical and histopathological diagnosis corresponded to pyoderma gangrenosum.

Keywords: ulcerative colitis, crohn disease, extraintestinal cutaneous manifestation inflammatory bowel disease, arthritis, pyoderma gangrenosum, sweet syndrome, nodosum erythema glositis, eczema

Introduction

Inflammatory bowel disease (IBD) has been classically divided into non-specific chronic ulcerative colitis (UC) and Crohn's disease, the incidence of both diseases has decreased. In Mexico, the available studies refer to an increase of up to three times the adjusted incidence rate of UC in the last 20 years; a peak of higher age incidence between 20 and 40 years of age, occurred equally in men and women.1 In UC, environmental, genetic, and microbiota factors interact with the immune system, resulting in altered responses responsible for chronic intestinal inflammation, that is, a sedentary lifestyle, the use of antibiotics, diet, smoking, and metabolism of vitamin D, among others, influencing, modifying intestinal immunity. On the other hand, the genetic nature of IBD has been widely recognized in various studies, and currently more than 200 risk alleles have been identified in Caucasian populations. UC is characterized by an atypical TH2 response with uncontrolled production of IL-5 and IL-13, simultaneously, the mucosal lymphocytes produce IL-17 stimulating the response of TH17 cells, which produce multiple cytokines, including IL-21 and IL-22, however the TH17 response is greater in Crohn's than in UC.2

The diagnosis of UC is established by correlating clinical, biochemical, endoscopic, and histopathological aspects.

UC is a chronic inflammatory disease limited to the colonic mucosa. A detailed medical history must be taken, including information on the onset of symptoms, presence of abdominal pain, pattern of chronic diarrhea, rectal bleeding, presence of mucus and blood in bowel movements, rectal straining and tenesmus, associated general symptoms, such as fever and weight loss. Important history: hygiene conditions, tobacco use, appendectomy, use of antibiotics and history of infections. The physical examination should include taking vital signs such as blood pressure, heart rate, body temperature, and weight, as well as an abdominal examination to rule out signs of peritoneal irritation and an anorectal examination, as well as an examination of the eyes, skin, and joints in search of extraintestinal manifestations.3 Among the skin types that can appear after the acute intestinal symptoms, we have three groups of dermatoses:

  1. Reactive: erythema nodosum, aphthous stomatitis, neutrophilic dermatitis (pyoderma gangrenosum, pyodermitis, vegetative pyostomatitis and Sweet's syndrome)
  2. Granulomatous dermatoses : Perianal disease (fissures and fistulas), oral Crohn's disease, metastatic Crohn's
  3. Dermatoses secondary to treatment: malnutrition (non-specific eczema, xerosis, cheilitis, glossitis, alopecia, gingival bleeding, acral and periorificial erythema)
  4. The presence of isoform 5 of human tropomyosin and a caloric protein in the skin, biliary tract, eyes and joints have been considered within the pathogenesis to be the targets of autoimmune attacks in extraintestinal organs of these diseases.

The prevalence of extraintestinal skin manifestations has been estimated at up to 40% in patients between 20 and 40 years of age.4,5 Complications that arise outside of the intestinal inflammation of IBD are known as extraintestinal manifestations (IMD) of IBD. Regularly, these manifestations result in an important morbidity in patients with IBD, even more than the intestinal disease itself. IMEs are present in 5 to 50% of all patients with IBD. The severity and occurrence of EIM and its correlation with IBD-intestinal activity vary. Most EIMs are directly associated with an ongoing intestinal outbreak. Single or multiple IEMs may arise before or after intestinal manifestations or IBD diagnosis. Studies have revealed that the presence of a single EIM increases the likelihood of developing additional EIM.6,7

Clinical case

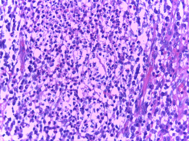
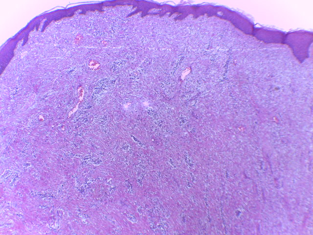
A 44-year-old female patient with a history of chronic ulcerative colitis was referred by Gastroenterology due to the presence of dermatosis of 20 days of evolution disseminated to the head, trunk and lower extremities, affecting the face in the maxillary region, dorsal region PHOTOGRAPH 1 and right leg PHOTOGRAPH 2, consisted of pustules and multiple ulcers of variable size 0.5 mm to 0.8 mm, dirty bottom and well-limited erythematous edge, asymptomatic. A biopsy of the trunk lesion was taken with a diagnosis of pustular variety pyoderma gangrenosum and the skin biopsy corroborated the diagnosis. Colonoscopy in lateral decubitus, under sedation, shows hypotonia of the anal sphincter on digital rectal examination, the rectal ampulla and rectus sigmoid are found with mucosa with a cobblestone pattern, loss of the haustral pattern, ulcers covered with fibrin and hyperemia, as well as fragility when passing the colonoscope. , the transverse, ascending, and cecum colon showed mucosa and vascularity without alterations, 3 isolated pseudopolyps in the cecum, the ileocecal valve was cannulated, and 20 cm of the terminal ileum with normal characteristics were reviewed. Random biopsies were taken from the left colon whose histopathology described distortion of the crypts, decreased cryptic density, pseudovillous appearance of the colonic surface, and dense lymphoplasmacytic inflammatory infiltrate, leading to a diagnosis of nonspecific chronic ulcerative colitis. Treatment began with mesalazine and steroids at a dose of 1 mg/kg with improvement of the skin and colonic lesions, she is still undergoing treatment with Gastroenterology service (Figure 1 - Figure 5).

Figure 1 Multiples ulcers 0.5mm to 0.8 mm in dorsal region.

Figure 2 Ulcer with dirty bottom and well-limited.

Figure 3 Microphotographes H&E 4x a dense inflammatory infiltrate is observed that covers the entire dermis.

Figure 4 Microphothographes H&E 20x detail of inflammatory infiltrate predominating neutrophils.

Figure 5 In colonoscopy mucosa with a cobblestone pattern, loss of the haustral pattern, ulcers covered with fibrin and hyperemia, as well as fragility.

Discussion

The association of UC and PG has been reported in numerous studies. Inflammatory bowel diseases (IBDs) not only affect the gastrointestinal tract, but can also affect many other organs in the body. Organ involvement outside the gastrointestinal tract is often referred to as extraintestinal manifestations (EIM). These can occur before or after the diagnosis of IBD. They can significantly affect the quality of life (QoL) of IBD patients, sometimes more than bowel disease. EIM often require specific treatments or, at least, must be taken into account when deciding to treat intestinal inflammation. IEMs are common in both ulcerative colitis (UC) and Crohn's disease (CD) and most commonly affect the musculoskeletal system (eg, axial and peripheral arthritis, enthesitis), skin (eg, pyoderma gangrenosum, erythema nodosum, Sweet's syndrome, and aphthous stomatitis), hepatobiliary tract (primary sclerosing cholangitis), and eyes (episcleritis, anterior uveitis, and iritis). However, almost any organ can be affected.8–10

IMEs can present clinically before or after the diagnostic onset of IBD. Up to 26% of cases may experience their first IME before IBD diagnosis (median time 5 months before IBD diagnosis) and in 74% of cases, the first IME manifests after IBD diagnosis (median : 92 months).Before IBD diagnosis, pyoderma gangrenosum was diagnosed in 14.3%11,12

In 1916 Brocq described PG as "phagedenisme geometrique" since it presented as an ulcer that corroded the skin symmetrically, later it was described as a disease where histopathologically the predominant finding was an accumulation of neutrophils and it was classified as an immune-mediated neutrophilic dermatosis. Clinically, PG presents in the trunk and lower extremities (it can affect any topography) where well-limited ulcers with a violaceous-erythematous border and a dirty or purulent bottom that are usually sterile on culture, can be very painful. It affects women and men, children and adults, however it is more frequent in adult women, the incidence is 2-3 cases per million inhabitants per year. The PG presents itself in 4 clinical forms that are listed from the most to the least frequent.

  1. Ulcerative
  2. blistering
  3. Pustular
  4. Vegetarian
  5. Peristomal and post-surgical

In a systematic review of 14 studies, the prevalence of PG in IBD patients ranged from 0.4 to 2.6%.

PG is found primarily on the legs, but may also occur in 4-8% of the head and neck and 4-5% on the trunk Ulcers may be solitary or multiple, unilateral or bilateral, and may vary in size. size from several centimeters to a complete limb. In the SIBDCS, PG was observed in 1.4% of patients with inactive CD and in 2.4% of patients with active CD. In patients with UC, PG was reported in 1.5% of patients with inactive disease and 3% of patients with active disease. This commonly reported lack of association with bowel disease activity was also reported by others. Fifty percent of PG patients have underlying IBD. Patients with severe disease and involvement of the colon are more likely to develop PG. Peristomal PG is occasionally seen.13,14 Severe disease is rare with IBD and should prompt investigation of infectious causes of NE. Pyoderma gangrenosum is a relatively rare manifestation, seen in 0.4% to 2% of patients with IBD. PG arises at sites of trauma by a phenomenon called pathergy and follows an unpredictable and severe course. There may be one or more lesions composed of erythematous pustules or nodules that can spread rapidly and give rise to deep purulent ulcers. Since most PG patients have underlying IBD, IBD treatment results in resolution of symptoms.15–18

Treatment includes topical or intralesional agents, including calcineurin inhibitors, and corticosteroids (most commonly triamcinolone) have been used in combination with a systemic drug Oral corticosteroids 40-60 mg/day and tapering, cyclosporine (initial target blood levels 150-300 ng /ml), tacrolimus (initial target blood levels between 10 and 15 ng/ml) or anti-TNF antibodies (infliximab and adalimumab). Topical tacrolimus is successful in treating early lesions (eg, peristomal pyoderma: 0.1% ointment twice daily).19–21 On the other hand, in an Italian study, a combination of systemic drugs (infliximab) and plastic surgery intervention have been used, proposing the application of advanced dressings for wounds with carboxymethylcellulose (AQUACEL Ag+ TM, ConvaTec Inc.), alginate gauze, paraffin antiseptic dressing mild (BACTIGRAS*, Smith+Nephew) and topical antibiotics. Complete remission and re-epithelialization of the lesions was achieved after 8 weeks of combination treatment.22 It is important to maintain close communication with the different specialties involved. Specific anti-inflammatory and symptomatic treatments and therapies are necessary in a multidisciplinary team approach to adequately address IMD and improve the quality of life of our patients. In the absence of specific therapeutic biomarkers for EIM, considerations of coexisting extraintestinal manifestations in patients with IBD may inform treatment selection and therapeutic decisions whether medical or surgical.

Acknowledgments

None.

Conflicts of interest

The authors declares that there are no conflicts of interest.

References

  1. Yamamoto Furushoa JK, Gutiérrez Grobea Y, López Gómez JG, et al. The Mexican consensus on the diagnosis and treatment of ulcerative colitis. Rev Gastroenterol Méx. 2018;83(2):144–167.
  2. De Souza HSP, Fiocchi C. Immunopathogenesis of IBD: current state of the art. Nat Rev Gastroenterol Hepatol. 2016;13:13–37.
  3. Chávez Alvarez S, Gómez Flores M, Ocampo Candiani J. Cutaneous manifestations in inflammatory bowel disease. Gac Med Mex. 2016;152:622–630.
  4. Greuter T, Vavricka SR. Extraintestinal manifestations in inflammatory bowel disease, epidemiology, genetics, and pathogenesis. Expert Rev Gastroenterol Hepatol. 2019;13:307–317.
  5. Antonelli E, Bassotti G, Tramontana M, et al. Dermatological manifestations in inflammatory bowel diseases. J Clin Med. 2021;10(2):364.
  6. Garber A, Regueiro M. Extraintestinal manifestations of inflammatory bowel disease: epidemiology, etiopathogenesis, and management. Curr Gastroenterol Rep. 2019;21(7):31.
  7. Ott C, Schölmerich J. Extraintestinal manifestations and complications in IBD. Nat Rev Gastroenterol Hepatol. 2013;10(10):585–595.
  8. Trikudanathan G, Venkatesh PG, Navaneethan U. Diagnosis and therapeutic management of extra-intestinal manifestations of inflammatory bowel disease. Drugs. 2012;72(18):2333–2349.
  9. Vavricka SR, Brun L, Ballabeni P, et al. Frequency and risk factors for extraintestinal manifestations in the Swiss inflammatory bowel disease cohort. Am J Gastroenterol. 2011;106(1):110–119.
  10. Vavricka SR, Schoepfer A, Scharl M, et al. Extraintestinal manifestations of inflammatory bowel disease. Inflamm Bowel Dis. 2015;21(8):1982–1992.
  11. Keyal U, Liu Y, Bhatta AK. Dermatologic manifestations of inflammatory bowel disease: a review. Discov Med. 2018;25:225–233.
  12. Chatterjee D, Bhattacharjee,R, Khullar G, et al. Metastatic Crohn disease: a clinicohistological appraisal from a tertiary care center in India. Am J Dermatopathol. 2020;42(7):506–512.
  13. Sbeit W, Kadah A, Mahamid M, et al. Oral manifestations of inflammatory bowel disease: the neglected piece of the puzzle. Eur J Gastroenterol Hepatol. 2020;32(11):1422–1431.
  14. Plumptre I, Knabel D, Tomecki K. Pyoderma gangrenosum: A review for the gastroenterologist. Inflamm Bowel Dis. 2018;24(12):2510–2517.
  15. Maverakis E, Marzano AV, Le ST, et al. Pyoderma gangrenosum. Nat Rev Dis Primers. 2020;6(1):81.
  16. Ahn C, Negus D, Huang W. Pyoderma gangrenosum: a review of pathogenesis and treatment. Expert Rev Clin Immunol. 2018;14(3):225–233.
  17. Rogler G, Singh A, Kavanaugh A, et al. Extraintestinal manifestations of inflammatory bowel disease: current concepts, treatment, and implications for disease management. Gastroenterology. 2021;161(4):1118–1132.
  18. Weizman A, Huang B, Berel D, et al. Clinical, serologic, and genetic factors associated with pyoderma gangrenosum and erythema nodosum in inflammatory bowel disease patients. Inflamm Bowel Dis. 2014;20(3):525–533.
  19. Khan I, Ullah N, Zha L, et al. Alteration of gut microbiota in inflammatory bowel disease (ibd): cause or consequence? ibd treatment targeting the gut microbiome. Pathogens. 2019;13;8(3):126.
  20. Greuter T, Bertoldo F, Rechner R, et al. Swiss IBD cohort study group. extraintestinal manifestations of pediatric inflammatory bowel disease: prevalence, presentation, and anti-tnf treatment. J Pediatr Gastroenterol Nutr. 2017;65(2):200–206.
  21. Takeuchi K, Smale S, Premchand P, et al. Prevalence and mechanism of nonsteroidal anti-inflammatory drug-induced clinical relapse in patients with inflammatory bowel disease. Clin Gastroenterol Hepatol. 2006;4(2):196–202.
  22. Garieri P, Marcasciano M, Greto Ciriaco A, et.alPyoderma Gangrenosum and inflammatory bowel disease: a combined medical and surgical approach – case report and literature review. Eur Rev Med Pharmacol Sci. 2022;26(14):5191–5199.
Creative Commons Attribution License

©2023 Castillo, et al. This is an open access article distributed under the terms of the, which permits unrestricted use, distribution, and build upon your work non-commercially.