Submit manuscript...
eISSN: 2373-6372

Gastroenterology & Hepatology: Open Access

Case Report Volume 4 Issue 6

Zenker’s Diverticulum: Report Rare Presentation and Management of Six Cases

Manouchehr Aghajanzadeh, Mahmood Yousefi Mashhoor, Mohammad Adegh Esmaeili Delshad, Sara Massahnia

Inflammatory Lung Disease Research Center, Guilan University of Medical Sciences, Iran

Correspondence: Manouchehr Aghajanzadeh, Inflammatory Lung Disease Research Center, Guilan University of Medical Sciences, Iran

Received: December 03, 2015 | Published: June 29, 2016

Citation: Aghajanzadeh M, Yousefi-Mashhoor M, Delshad MAE, Massahnia S (2016) Zenker’s Diverticulum: Report Rare Presentation and Management of Six Cases. Gastroenterol Hepatol Open Access 4(6): 00124. DOI: 10.15406/ghoa.2016.04.00124

Download PDF

Abstract

Background: Zenker’s diverticulum is very uncommon and a reported prevalence ranging between 0.01 to 0.11% and typically occurs in middle-aged and elderly patients. The purpose of this study was to report of rare presentation and surgical procedures of six cases with Zenker’s diverticulum.

Materials and methods: In this retrospective study, signs, symptoms, imagines feature and surgical approaches of six cases with Zenker’s diverticulum were recorded from 2000 to 2014in the Razi Hospital- Rasht- Iran of Guilan University Medical Science (GUMS).

Results: Four of patients were male. Age of patients was 65 to 80years. Three of patients came with dysphasia, aspiration , halitosis, and malnutrition and regurgitation ,one of this patient have three period of aspiration pneumonia.One of patients came with endoscopic diverticulotomy with perforation and one with food marital retention and neck mass and one referred with diverticulitis. Two cases underwent flexible endoscopic diverticulotomy one failed and another one complicated with perforation. The most common surgical approaches was diverticulectomy and myotomy. Complication and mortalities was zero. Outcome was good.

Conclusion: Zenker’s diverticulum have to be considered in the differential diagnosis of dysphagial and neck. The treatment of choice is complete excision with surgery or endoscopy.

Keywords: zenker’s diverticulum, endoscopic diverticulotomy, myotomy, diverticulectomy, endoscopic stapling diverticulotomy, flexible endoscope

Introduction

Zenker's diverticulum (ZD), also is an acquired lesion which out pouching of the mucosa and sub mucosa layers originating from the pharyngoesophageal junction. It a typical pulsion diverticulum and occurring dorsally at the pharyngoesophageal wall.1 The estimated annual incidence is 2 per 100,000 with prevalence between 0.01 and 0.11%.2,3 Zenker's diverticula typically present in elderly individuals, especially during the seventh and eighth decades of life, with a male predominance.4 Classical symptoms of (ZD) are progressive oropharyngeal dysphagia to solids and liquids, pharyngeal stasis of secretion , regurgitation of undigested food materials due to food entrapment in the diverticulum, , chronic cough and aspiration, halitosis, sensation of a lump in the neck, hoarseness, whistling and cervical borborygmi.1,2 Cancer, probably a result of chronic irritation due to food stasis, has rarely been reported in patients with (ZD) with an incidence of 0.5%.5. A barium swallow study is the first and mainstay in diagnosis of (ZD), which allows to show its size and location, but endoscopic examination is mandatory to rule out malignancy.6,7 Treatment procedures for ZD are open cricopharyngeal myotomy with diverticulectomy or diverticulopexy or diverticular inversion, myotomy alone,5,8 endoscopic staple- assisted oesophago-diverticulostomy,9,10 endoscopic CO2-laser myotomy.11,12, endoscopic harmonic scalpel diverticulotomy.13,14 and flexible endoscopic diverticulotomy.15,16 Diverticulectomy, diverticulopexy or inversion alone without myotomy are have high rate of recurrence in long-term periods.17,18 The aims our study in this six cases are present the rare presentations, diagnosis and show the new therapeutic approach of Zenker's diverticulum in the world, because the optimal treatment modality has not yet been established. The choice between the different approaches depends on local expertise, instrument and preference

Materials and methods

In this retrospective study, we reviewed the data of six patients with Zenker's diverticulum in Razi and arya Hospital-Rasht-Iran of Guilan University Medical Sciences (GUMS), Respiratory inflammatory Diseases Research Center between 2000 to 2013. The data including symptoms, signs and imaging's feature and surgical approaches. Patients underwent various surgical approaches dependent on localization of diverticulum. Data were collected from record of patients and analyzed.

Results

All six patients were symptomatic Four of patients were male. Age of patients was 65 to 80years. Four of patients came with dysphasia aspiration, halitosis, and malnutrition and regurgitation, one of this patient present three period with aspiration pneumonia and hospital admission. One of patients underwent endoscopic diverticulotomy and 24 hour after this procedure present with odynophagia, fever and neck subcutaneous emphysema With B-swallow perforation of diverticula was demonstrated, this patient underwent neck exploration and diverticulectomy and drainage. Diagnostic tools of five cases was B-swallow and esophagoscopy (Figures 1-5). One came with food marital retention and pain and neck mass tender mass. One patients referred with erithem, redness and criptation of neck with diagnosis of diverticulitis (Figures 6 & 7). Two cases underwent flexible endoscopic diverticulotomy, one failed and another ones complicated with perforation. The most common surgical approaches was diverticulectomy and myotomy in four patients (Figures 8 & 9). Food debris was present in one patient (Figure 10). Two of patients underwent diverticulectomy without myotomy. Complication and mortalities were zero. In two years flow-up, Outcome was good.

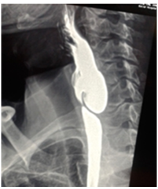
Figure 1 Show swallow of a 75 year old man with huge Zenker's diverticulum.

Figure 2 Show swallow of a 85 year old woman with huge Zenker's diverticulum.

Figure 3 Show swallow of a 65 year old man with huge Zenker's diverticulum.

Figure 4 Show swallow of a 80 year old man with huge Zenker's diverticulum.

Figure 5 Show swallow of a 78 year old man with huge Zenker's diverticulum.

Figure 6 Erythem of neck due to diverticulits.

Figure 7 CT-scan of neck with subcutaneous Emphsema.

Figure 8 Show swallow pouch of huge Zenker's diverticulum after opening.

Figure 9 Show swallow pouch of huge Zenker's diverticulum after opening.

Figure 10 Show swallow debris in the pouch of huge Zenker's diverticulum.

Figure 11 A typical barium swallow demonstrating a cervical (Zenker’s) diverticulum.

Discussion

Zenker’s diverticulum (ZD) is an acquired sac-like out pouching of the mucosa and submucosa layers originating from the pharyngo esophageal junction and it occurs typical in the cervical esophagus. Zenker's diverticula (ZD) typically present in elderly individuals, especially during the seventh and eighth decades of life.4 But in our cases age of patients was less than other researches. Classical symptoms of Zenker's diverticulum (ZD) are progressive oropharyngeal dysphagia, regurgitation of food debris due to food retention in the diverticulum (one of our patient present with food entrapment in the diverticula), weight loss, stasis of secretion in pharynx, chronic cough, chronic aspiration, halitosis, sensation of a lump in the throat, (in our study one case present aspiration pneumonia and one with neck lump). Hoarseness, whistling and cervical borborygmi are seen in some patients.1,2 Complications of untreated ZD are diverticulitis, peptic ulceration, bleeding, iatrogenic perforations during passage of endoscopes or naso gastric tubes, fistulas, diverticulitis and vocal cord paralysis.2,3 One of our case admitted with esophageal perforation due to endoscopes stapler procedure and one admitted with diverticulitis. Cancer, probably has rarely been reported in association with Zenker diverticula (ZD), with an incidence of 0.5%.6 A barium swallow study is the first and the mainstay tools in diagnosis of Zenker's diverticulum, which show the size and location of (ZD), but a carefully esophagoscopy is mandatory to rule out malignancy.6,7 In our study all patients with dysphagia underwent A barium swallow and esophagoscopy to rule out malignancy, but one of our cases underwent CT-scan of neck for a mass.. Small asymptomatic diverticula do not need treatment, because the risk of severe complications, cancer and aspiration is low.7 Treatment needed for all symptomatic (ZD). Surgical procedures for ZD are open diverticulectomy with or without cricopharyngeal myotomy or diverticulopexy or diverticular inversion and myotomy alone.8 New procedures are endoscopic staple- assisted oesophago diverticulostomy,9,10 endoscopic CO2-laser myotomy.11,12 Endoscopic harmonic scalpel diverticulotomy.13,14 and flexible endoscopic diverticulotomy.15,16 It is a widespread belief that myotomy should always be part of surgical procedures.7. In our study we used diverticulectomy with cricopharyngeal myotomy in four cases without any complication and recurrence, diverticulectomy without cricopharyngeal myotomy in two patients. Diverticulectomy, diverticulopexy or inversion alone without myotomy are have the high rate of long-term recurrence in the absence of cricopharyngeal myotomy.17,18 But we did this procedures. In recentyears Less invasive approaches with new techniques and devices have been implemented.9,19,20 Flexible endoscopy and trans oral endoscopic treatment have been popularity over open surgery with a lower in mortality and morbidity.9,19,20 In medium sized diverticula (3-5cm). Endoscopic stapling diverticulotom is better than others less invasive approaches.21 In diverticula which longer than 6 cm represent a relative contraindication to endoscopic treatment because residual pouch may be too large to allow easy clearance of pouch during swallowing.15,22 Open surgical excision in very large diverticula may still be benefit, especially in younger, good surgical candidates as our cases.17,18 In cases of treatment failure or symptomatic recurrence, flexible or rigid endoscopy, can easily and successful.9,19,20 Open surgical diverticulectomy with myotomy provides radicality, eliminating any theoretical risk of carcinoma.14,23 Open surgical excision have a low morbidity mortality and recurrences and outcome is good as our cases we have not this complications.5,6,8,21

Conclusion

Rare presentation in ZD may occur and must be differentiated with other neck lesion as mass or infection process. The choice between open diverticulectomy and cricopharyngeal myotomy versus endoscopic treatment for Zenker’s diverticula remains controversial. The choice of approach depend to surgeon, new instrument and the patient condition. The open procedure is our preferred choice, and our results have been excellent with short lengths of hospital stays and no serious complications or recurrences in three cases.

Acknowledgements

None.

Conflict of interest

Author declares there are no conflicts of interest.

Funding

None.

References

  1. Cook IJ, Gabb M, Panagopoulos V. Pharyngeal (Zenker's) diverticulum is a disorder of upper esophageal sphincter opening. Gastroenterology. 1992;103(4):1229–1235.
  2. Siddiq MA, Sood S, Strachan D. Pharyngeal pouch (Zenkers diverticulum). Postgrad Med J. 2001;77(109):506–511.
  3. Ferreira LE, Simmons DT, Baron TH (2008) Zenker's diverticula:pathophysiology, clinical presentation, and flexible endoscopic management. Dis Esophagus. 2008;21(1):1–8.  
  4. Klockars T, Sihvo E, Mäkitie A. Familial Zenker's diverticulum. Acta Otolaryngol. 2008;128(9):1034–1036.
  5. Gutschow CA, Hamoir M, Rombaux P. Management of pharyngoesophageal (Zenker's) diverticulum:which technique? Ann Thorac Surg. 2002;74(5):1677–1683.
  6. Overbeek JJ (2003) Pathogenesis and methods of treatment of Zenker's diverticulum. Ann Otol Rhinol Laryngol. 2003;112:583.
  7. Herbella FA, Patti MG. Modern pathophysiology and treatment of esophageal diverticula. Langenbecks Arch Surg. 2012;397(1):29–35.
  8. Payne WS. The treatment of pharyngoesophageal diverticulum the simple and complex. Hepatogastroenterology. 1992;39(2):109–114.
  9. Dzeletovic I, Ekbom DC, Baron TH. Flexible endoscopic and surgical management of Zenker's diverticulum. Expert Rev Gastroenterol Hepatol. 2012;6(4):449–465.
  10. Peracchia A, Bonavina L, Narne S. Minimally invasive surgery for Zenker diverticulum:analysis of results in 95 consecutive patients. Arch Surg. 1998;133:695–700.
  11. Krespi Y, Kacker A, Remacle M. Endoscopic Treatment of Zenker's diverticulum using CO2 laser. Otolaryngol Head Neck Surg. 2002;127(4):309–314.
  12. Miller FR, Bartley J, Otto RA. The endoscopic management of Zenker diverticulum:CO2 laser versus endoscopic stapling. Laryngoscope. 2006;116(9):1608–1611.
  13. Fama AF, Moore EJ, Kasperbauer JL. Harmonic scalpel in the treatment of Zenker's diverticulum. Laryngoscope. 2009;119(7):1265–1269.
  14. Whited C, Lee WT, Scher R.  Evaluation of endoscopic harmonic diverticulostomy. Laryngoscope. 2012;122(6):1297–1300.
  15. Case DJ, Baron TH. Flexible endoscopic management of Zenker diverticulum:the Mayo Clinic experience. Mayo Clin Proc. 2010;85(8):719–722.
  16.  Repici A, Pagano N, Fumagalli U. Transoral treatment of Zenker diverticulum:flexible endoscopy versus endoscopic stapling. A retrospective comparison of outcomes. Dis Esophagus. 2011;24(4):235–239.
  17. Gutschow CA, Hamoir M, Rombaux P. Management of pharyngoesophageal (Zenker's) diverticulum:which technique? Ann Thorac Surg. 2002;74(5):1677–1683.
  18. Mantsopoulos K, Psychogios G, Künzel J. Evaluation of the different transcervical approaches for Zenker diverticulum. Otolaryngol Head Neck Surg. 2012;146(5):725–729.
  19. Bonavina L, Rottoli M, Bona D. Transoral stapling for Zenker diverticulum:effect of the traction sutureassisted technique on long–term outcomes. Surg Endosc. 2012;26:2856–2861.
  20. Nicholas BD, Devitt S, Rosen D. Endostitch–assisted endoscopic Zenker'sdiverticulostomy:a tried approach for difficult cases. Dis Esophagus. 2010;23:296–299.
  21. Rizzetto C, Zaninotto G, Costantini M. Zenker's diverticula:feasibility of a tailored approach based on diverticulum size. J Gastrointest Surg. 2008;12:2057–2065.
  22.  Narne S, Cutrone C, Bonavina L. Endoscopic diverticulotomy for the treatment of Zenker's diverticulum:results in 102 patients with staple–assisted endoscopy. Ann Otol Rhinol Laryngol. 1999;108(8):810–815.
  23. Acharya A, Jennings S, Douglas S. Carcinoma arising in a pharyngeal pouch previously treated by endoscopic stapling. Laryngoscope. 2006;116(6):1043–1045.
Creative Commons Attribution License

©2016 Aghajanzadeh, et al. This is an open access article distributed under the terms of the, which permits unrestricted use, distribution, and build upon your work non-commercially.