Submit manuscript...
eISSN: 2469-2778

Hematology & Transfusion International Journal

Case Report Volume 6 Issue 1

A benign course of MDS with del 7q and ASXL1 mutation

Saba Shahid, Nida Anwar, Aisha Arshad, Shariq Ahmed, Muhammad Nadeem, Tahir Shamsi

Department of Hematology, National Institute of Blood Diseases and Bone Marrow Transplant, Pakistan

Correspondence:

Received: January 12, 2018 | Published: February 28, 2018

Citation: Anwar N, Shahid S, Arshad A, et al. A benign course of MDS with del 7q and ASXL1 mutation. Hematol Transfus Int J. 2018;6(1): 00150. DOI: 10.15406/htij.2018.06.00150

Download PDF

Abstract

Myelodysplastic syndromes (MDS) are heterogenous group of clonal hematologic malignancies characterized by impaired hematopoietic differentiation. The aim of study was to identify mutations in the genes like ASXL1, EZH2, UTX, DNMT3A, IDH1/IDH2, and TET2 that can be used in disease prognosis and as well in deciding therapeutic options. Here we report a case of a 57 year old man who was diagnosed as MDS and sub categorized as refractory cytopenia with multilineage dysplasia (RCMD) on the basis of morphologic and cytogenetic analyses (46, XY, del (7q) (15). DNA was extracted with Qiagen extraction kit. Patient was screened through next generation sequencing using myeloid sequencing panel of 54 genes comprising tumor suppressor genes and oncogenic hotspots. We identified 62 variants including a stop gained heterozygous mutation (c.3115C>T, p. Q1039X) in exon 13 of ASXL1 gene. In addition, a missense variant that is c. 5162 T>G, p. L1721W (rs34402524) with possibly damaging effect in TET2 gene was also identified. Mutations in ASXL1 gene is commonly found in advanced stages of MDS and are associated with poor prognosis and overall inferior survival. However our study finds a better overall survival in this patient with good prognosis as he is maintaining stable counts with no history of recurrent infections or fever or any bleeding manifestation which is in contrast to previous reported cases. Peripheral smears reviewed on monthly follow ups do not reveal blast cells. Hence mutation screening of large number of patients is required to understand the underlying mechanisms in the pathogenesis of disease.

Keywords: genome screening, ASXL1 mutation, del7q

Abbreviations

MDS, myelodysplastic syndromes; RCMD, refractory cytopenia with multilineage dysplasia; AML, acute myeloid leukemia; SNVs, single nucleotide variants

Introduction

Myelodysplastic syndromes (MDS) are group of heterogenous clonal stem cell disorders characterized by cytopenias, ineffective hematopoiesis and tendency to evolve into acute myeloid leukemia.1,2 Decade of research on the molecular pathogenesis of MDS have identified disease causing alleles in patients but still their pathological contributions are not completely understood. The prognostic impact on the clinical course of the disease for these genetic aberrations is still under clinical investigations. Recent whole genome and targeted gene studies have found novel somatic mutations that improve our understanding of molecular basis of disease, among which additional sex comb-like 1(ASXL1) has been shown to be involved in epigenetic events of diseases pathogenesis.3 The genetic aberrations in ASXL1 gene were first described in MDS patients in 2009.2 Since then various studies have revealed its high frequency in MDS varying from 11-22%.1‒3 This polycomb associated gene regulates histone modification and WNT pathways2 and has been reported to be associated with unfavorable prognostic outcome and reduced time to transformation to acute myeloid leukemia (AML).4‒6 Mutations in TET2 gene are detected in 19% MDS patients and are associated with poor overall survival.7

Case presentation

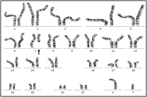
A 57 year old man was referred to our institute with history of fever on and off, generalized weakness and pallor for 06 months. Complete blood counts were done which showed Hb of 6.6 g/dl, WBC count of 2.1x10^9/L with ANC (absolute neutrophils count) of 0.2 x10^3/uL , platelet count of 13x10^9/L with MCV 99 fl, MCH 31 pg MCHC 31, Neut-x 344 and Neut y 732. Review of peripheral smear revealed pancytopenia and dysplastic neutrophils. Bone Marrow Biopsy showed hypercellular marrow exhibiting erythroid hyperplasia and dyserythropoietic features like nuclear cytoplasmic asynchrony, inter cytoplasmic bridging along with dysplastic neutrophils. Blast cells were less than 05% (500 cell differential). Iron grade was 4+. Patient was given Vitamin B12 and folic acid along with PRBCs transfusion. He also received GCSF for 5 days. Deletion 7q was identified in 15 metaphases on bone marrow cytogenetics analysis (Figure 1). His IPSS score at the time of diagnosis was 1.5 (cytopenias=3, Blast cells=<5%). Based on the morphologic and cytogenetic findings, the patient was diagnosed as MDS and subcategorized as Refractory Cytopenia with Multi lineage Dysplasia (RCMD).

Figure 1 Cytogenetic analysis revealing Del 7q abnormality.

DNA was extracted from the blood sample of MDS patient from (National Institute of Blood Diseases (NIBD) OPD using QIAamp DNA Blood Mini Kit (Qiagen) following the manufacturer’s instructions. This case report was approved by the Institutional Review Board (ERC/IRB) with and conformed to the tenets of the Declaration of Helsinki. Written informed consent was obtained from patient. Next generation sequencing was performed by using TruSight custom amplicons kit containing all the reagents necessary for amplification, amplicons enrichment and indexing of samples (Illumina, USA). Libraries were generated with the highly multiplexed oligonucleotides probes, pooled and loaded into the MiSeq (Illumina®, Experience Genetic Energy™) system for automated sequencing and data analysis. Each procedure was done according to the manufacturer’s instructions. Data analysis was performed on-instrument MiSeq Reporter software. The mutations identified as pathogenic were confirmed using the Sanger method following the standard protocol (BigDye® Terminator v3.1 Cycle Sequencing Kit, Applied Biosystems®).

Next generation sequencing identified total number of 62 variants that comprised of 3 insertions, 4 deletions and 55 single nucleotide variants (SNVs). Among them 18 were synonymous variants, nine missense variants and one was previously reported stop gained mutation of ASXL1 c.3115C>T, p.Q1039Ter. This mutation is predicted as a pathogenic mutation on mutation taster prediction software. In addition missense heterozygous variants c. 5162 T>G, p. L1721W (rs34402524) was also detected in TET2 with possibly damaging effect on polyphen but as this variant lies on non conserved region it is not regarded as true missense mutation. All other SNVs have shown benign status on polyphen that’s way we excluded all other variants.

Discussion

The patient has been on regular monthly follow up for the last 36 months and has been receiving packed red cell transfusions every 30 days but never received any platelet concentrate. Patient blood counts are monitored on every follow up and maintain stable blood counts. His latest CBC showed Hb of 9 g/dl, WBC counts 3.0 x 10^9/L, and platelet counts 20 x 10^10/L with no blast cells on peripheral smear. He has neither history of recurrent infections or fever nor has any bleeding symptoms. Keeping in view the adverse molecular mutation, he was offered allogeneic stem cell transplant but the patient refused this treatment option on account of severe financial constraints.

On cytogenetic analysis, 15 metaphases were counted; all cells showed 46 numbers of chromosomes with del 7q. Extensive genetic screening by using myeloid sequencing panel provide a complete assessment of 54 genes containing tumor suppressor complete genes and oncogenic hotspots in a single test. This panel targets mutations that have known involvement in the myeloid malignancies. By using myeloid sequencing panel we identified 62 variants in this patient including stop gained p.Q1039Ter mutation in ASXL1 and missense variant p.L1721W in TET gene.

Mutations in TET2 gene are detected in 19% MDS patients and are associated with poor overall survival in intermediate risk AML.7 We identified missense variant c. 5162 T>G, p. L1721W (rs34402524) in TET2 gene with polyphen score (0.0643) and possibly damaging status. This missense variant however it is not considered as true missense mutation because it lies on non conserved domain of TET2.7 Mutations in ASXL1 gene are detected in 11-22% of MDS and are generally associated with aggressive diseases and poor outcome.1‒3 We found p.Q1039Ter mutation in exon 13 of ASXL1 in our patient. Wang et al.8 also reported this stop gained mutation in 47 year old Chinese patient of RCMD with poor karyotype. They suggested that a mutated ASXL1 might confer a growth advantage to immature hematopoietic cells.8

Mutations in ASXL1 are associated with poor prognosis across the spectrum of malignant myeloid diseases. Regardless of cytogenetics (7q del) and molecular (ASXL1) alteration in this patient, both having been associated with aggressive course and bad prognosis this is an unusual case with stable course of disease and better overall survival. This is contrary to what has been reported previously1,6,9 which might be due to heterogeneity of our Pakistani population with diverse genetic background of patient. However, genetic screening of large cohort of patients is required to understand the underlying mechanisms in disease pathogenesis and resultant clinical outcome.

Author contributions

NA did patient recruitment, examination, clinical evaluation and manuscript writing; SS did study design, data interpretation, literature search, manuscript writing; AA did patient recruitment and data collection; SA did sample collection and laboratory work; MN did review manuscript; TS did involve in study design and supervision throughout the study.

Conflict of interest

The authors declare that they have no competing interests.

References

  1. Thol F, Friesen I, Damm F, et al. Prognostic Significance of ASXL1 Mutations in Patients with Myelodysplastic Syndromes. J Clin Oncol. 2011;29:2499‒2506.
  2. Gelsi-Boyer V, Trouplin V, Adélaïde J, et al. Mutations of polycomb-associated gene ASXL1 in myelodysplastic syndromes and chronic myelomonocytic leukaemia. Br J Haematol. 2009;145(6):788‒800.
  3. Chen TC, Hou HA, Chou WC, et al. Dynamics of ASXL1 mutation and other associated genetic alterations during disease progression in patients with primary myelodysplastic syndrome. Blood Cancer J. 2014;(4):e177.
  4. Boultwood J, Perry J, Pellagatti A, et al. Frequent mutation of the polycomb-associated gene ASXL1 in the myelodysplastic syndromes and in acute myeloid leukemia. Leukemia. 2010;24(5):1062‒5.
  5. Gelsi-Boyer V, Brecqueville M, Devillier R, et al. Mutations in ASXL1 are associated with poor prognosis across the spectrum of malignant myeloid diseases. J Hematol Oncol. 2012;(5):12.
  6. Bejar R, Stevenson K, Abdel-Wahab O, et al. Clinical effect of point mutations in myelodysplasticsyndromes. N Engl J Med. 2011; 364(26):2496‒2506.
  7. Kraus TF, Greiner A, Steinmaurer M, et al. Genetic Characterization of Ten-Eleven-Translocation Methylcytosine Dioxygenase Alterations in Human Glioma. J Cancer. 2015;6(9):832‒842.
  8. Wang J, Ai X, Gale RP, et al. TET2, ASXL1 and EZH2 mutations in Chinese with myelodysplastic syndromes. Leuk Res. 2013;37(3):305‒311.
  9. Devillier R, Mansat-De Mas V, Gelsi-Boyer V, et al. Role of ASXL1 and TP53 mutations in the molecular classification and prognosis of acute myeloid leukemias with myelodysplasia-related changes. Oncotarget. 2015;6(10):8388‒8396.
Creative Commons Attribution License

©2018 Anwar, et al. This is an open access article distributed under the terms of the, which permits unrestricted use, distribution, and build upon your work non-commercially.