Submit manuscript...
eISSN: 2469-2778

Hematology & Transfusion International Journal

Case Report Volume 7 Issue 2

A retropharyngeal Ewing sarcoma in 7-year-old child with single kidney

Housam Almadani,1 Ziyad T Mirza,1 Sara Khalil Alghufaili,1 Mohammed Zein,1 Banan Alsaied,1 Nof Alqarni2

1Department of Pediatrics, King Fahd Armed Forces Hospital, Jeddah, Saudi Arabia
2College of Medicine and Surgery, King Abdulaziz University, Jeddah, Saudi Arabia

Correspondence: Housam Almadani, Department of Pediatrics, King Fahd Armed Forces Hospital, Jeddah, Saudi Arabia, Tel 966504685495

Received: March 18, 2018 | Published: March 22, 2019

Citation: Almadani H, Mirza ZT, Alghufaili SK, et al. A retropharyngeal Ewing sarcoma in 7-year-old child with single kidney. Hematol Transfus Int J.2019;7(2):31-33. DOI: 10.15406/htij.2019.07.00201

Download PDF

Abstract

Ewing sarcoma is a well-known primary bone tumour and it is extremely rare to be found in the retropharyngeal area. We report a 7 years old boy with retropharyngeal Ewing sarcoma and single kidney.

Keywords: retropharyngeal mass, single kidney, small round blue cell tumor, Ewing's Sarcoma, chemotherapy

Introduction

Ewing sarcoma (ES) is one of the famous small round blue cell tumour family members that considered the second most common bone tumour in paediatric age group and makes up about 10-20% of all primary malignant bone affecting this population.1 ES most commonly affecting lower extremity, while Skull area affection is rare account for only 1% of all ES cases. Primary ES, affecting nasopharyngeal/retropharyngeal area is by far extremely rare.2 We are reporting a retropharyngeal ES tumour in a 7years old boy with a single kidney.

Case report

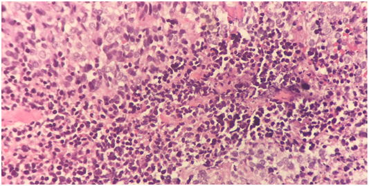
7 years old boy presented with history of left neck mass, headache and weight loss for 1-month duration, with limited range of motion of the neck and increasing pain in that region for 5 days before he was referred to our hospital. Physical examination revealed left upper cervical swelling measuring 5x6 cm in diameter, firm in consistency and attached to the underlying structures, no neurological deficit of signs of respiratory compromise was observed. His initial laboratory results are shown in Table 1. Cervical lymph node biopsy revealed reactive lymph nodes, negative for granulomata and negative for malignancy. Magnetic resonance imaging (MRI) of the neck (Figure 1) showed evidence of perivertebral/retropharynegal large multilobulated soft tissue mass measuring about 7.9x8.7x6.9 cm in transverse, craniocaudal and at the posterior dimensions respectively, extending in the nasopharyngeal region, and extending opposite to the skull base, clivus and upper cervical vertebra body posteriorly with the extension through the neural foramina of C1 and C2 vertebrae and causing bony erosions, extending into the spinal canal, however the signal intensity of the spinal cord was preserved, with narrowing of the right vertebral artery and questionable tumour involvement at the level of C1. Superior extension of the mass is seen obstructing the nasopharynx, anteriorly the mass is seen compressing the nasopharynx and exerting mass effect on the oropharynx with no patent airway seen around endotracheal tube. Infiltration of the hard palate and palatine tonsils were seen, laterally the mass seen compressing the carotid vessels bilaterally with suspicion of marked compression and occlusion of the left jugular vein, however the carotid arteries were patent. The patient underwent incisional biopsy of the retropharyngeal mass and bilateral bone marrow aspiration & biopsy. During surgery patient was electively intubated and due to difficulty in extubating and critical obstructed airway a tracheostomy tube was inserted to ensure patent airway. Histopathological examination of the retropharyngeal mass showed small blue cells with scant cytoplasm (Figure 2). Immunohistochemical studies showed that tumor is positive for CD99 and Vimentin, negative for Myogenin, TTF-1, Pankeratin, Desmin, Chromogranin,CD45, Synaptophysin, SMA, MSA ,CK7,EMA,CD56, CD34, and PAX5. Fluorescence in situ hybridization (FISH) study showed fusion of the ESWR1/FLI1 genes associated with the translocation t(11;22)(q24.3;q12.2) Thus radiological, histological and immunohistochemical finding were confirmatory of Ewing sarcoma of the retropharyngeal space. Bone scintigraphy showed no evidence of bone metastasis. As incidental finding on CT abdomen revealed a single hypertrophied right kidney with mild hydronephrosis. Renogram was done and showed partial obstruction, Later patient developed acute renal injury and anuria, ultrasound kidney showed severe hydronephrosis with obstruction. His case was discussed with the infectious disease and nephrology physicians and the decision was made to insert double J stent under interventional radiology, signs of renal function recovery were seen in the next 2 days. Patient started on European Ewing tumour Working Initiative of National Group 99 (EURO-E.W.I.N.G99) protocol, ended first cycle of chemotherapy that contained vincristine, ifosfamide, doxorubicin and etoposide and supported with G.C.S.F (VIDE), with acceptable tolerability. Planned for evaluation after 2 cycles for the local control option.

Figure 1 Small round blue cell.
Figure 2 MRI of the soft tissue of the neck showing a large destructive soft tissue mass measuring about 7.9x8.7x6.9cm in diameter (coronal and axial view).

Result

Reference range

WBC

7.46x109

(4.5-14.5)x109

RBC

5.45X1012

(4-5.2)x1012

Hemoglobin

12.7g/Dl

(11.5-15.5)g/Dl

Hematocrit

39.70%

(35-45)%

Platelet count

394X109

(150-500)x109

C reactive protein

59mg/L

(0.4-5)mg/L

Erythrocyte sedimentation rate

51MM/HR

(0-10)MM/HR

PTT

31.8sec

(29.98-40.39)sec

Prothrombine time PT

13.8sec

(12.6-14.61)sec

INR

1.02

(0.9-1.15)

Ferritin

223.42ug/L

(7-140)ug/L

Lactate dehydrogenase

324U/L

(135-225)U/L

Urea

5mmol/L

(1.8-6)mmol/L

Creatine

51.5umol/L

(39-57)umol/L

Sodium, serum

140mmol/L

(135-145)mmol/L

Table 1 Initial laboratory investigation results.

Discussion

Osseous and extra osseous Ewing sarcoma, peripheral neuroectodermal tumours (PNET) and Askin’stumours of the chest wall are collectively known as Ewing’s sarcoma family of tumours (EFT). EFT are heterogenous group of tumours that encompasses members who share the same histological, immunohistochemical and non-random translocations, however, differ in their clinical features.3

EFT collectively by far are rare entity accounts for 10-20% of primary malignant bone tumours. Most of the primary tumours occur in the lower extremity long bones (47%), pelvis (19%), or ribs (12%).4 Noteworthy head and neck region affection occur in only 1-4% of all cases mainly comprising of ES/PNET with predilection to adolescent and young adult group and male predominance.5,6 the most affected site are mandible and base of the skull7 followed by the orbit, and nasal cavity with or without the paranasal sinuses respectively.8

We screened the literature for cases that reported Ewing sarcoma affecting retropharyngeal in children aging from 2-14 years, no single case was found, we also screened the cases that reported the association of Ewing’s sarcoma and single kidney, no association was found.

In our case the primary site was retropharyngeal; an extremely rare site for Ewing sarcoma in an unusual age with single kidney is making the case quite unique and challenging in the context of chemotherapy protocol that contain one of the most nephrotoxic drug (ifosfamide).

In literature review we managed to find some of the cases that was reporting Ewing sarcoma in the head and neck region in sites considered rare in children aging 0-14 years old (Table 2)

First Author year(ref)

Age(years)

Gender

Site

Treatment modality

Meer et al., 20179

12

M

Retro-tracheal

Chemo/radiotherapy

Wine land et al., 201810

2

M

Tracheal

Chemotherapy

Binnetoglu et al., 201611

2

M

External ear canal

Chemotherapy/surgery

Table 2 Rare sites of Ewing sarcoma in head and neck region in children.

Ewing sarcoma usually responsive to multimodality therapy consisting of chemotherapy, radiotherapy and/or surgical resection for local control. Complete or even near complete surgical resection was not feasible in our case due to the sensitive site, so we decided to follow chemotherapy treatment strategy and follow up the mass conservatively for the time being and re-discuses surgical/radiotherapy option according to treatment response.

Conclusion

Ewing sarcoma of the head and neck particularly retropharyngeal site is a disease of a rare incidence with clinical controversy in the optimum local therapy, and whether an association of Ewing and kidney anomalies dose exist or not needs further studies in the future.

Acknowledgements

None.

Conflict of interest

The authors have no conflicts of interest to disclose.

References

  1. Dawei Wang, Zongze Guo: Multiple primary Ewing’s sarcomas in cerebral cranium of a child: a case report and review of the literature Int. J Clin Exp Pathol. 2015;8(6):7575–7582.
  2. Ashutosh Das Sharma, Jayesh Singh, Jigna Bhattacharya. Primary Ewing's Sarcoma of Cranium in a Pediatric Patient. J Pediatr Neurosci. 2017;12(3):273–275.
  3. Ushigome S, Machinami R, Sorensen PH. Ewing sarcoma/primitive neuroectodermal tumor (PNET). In: Fletcher CD, Unni KK, Mertens F, editors. World Health Organization classification of tumours. Pathology and genetics of bone and soft tissue tumours Lyon. France, IARC Press; 2002. p. 298–300.
  4. Desai KI, Nadkarni TD, Goel A, et al. Primary Ewing’s sarcoma of the cranium. Neurosurgery. 2000;46(1):62–68.
  5. Siegal GP, Olier WR, Reinus WR, et al. Primary Ewing’s sarcoma involving the bones of the head and neck. Cancer. 1987;60(11):2829–2840.
  6. Batsakis JG, Mackay B, El Naggar AK: Ewing’s sarcoma and peripheral primitive neuro–ectodermal tumor: an interm report. Ann Otol Rhinol Laryngol. 1996;105(10):838–843.
  7. Brownson RC, Gurney JG, Land GH. Evidence–based decision making in public health. J Public Health Manag Pract. 1999;5(5): 86–97.
  8. Windfuhr JP. Primitive neuroectodermal tumor of the head and neck: incidence, diagnosis, and management. Ann Otol Rhinol Laryngol. 2004; 113(7):533–543.
  9. Graeme Van Der Meer, Hannah Linkhorn, Maayan Gruber, et al. Retrotracheal Extraskeletal Ewing’s Sarcoma: Case Report and Discussion on Airway Management. Turk Arch Otorhinolaryngol. 2017;55(1):44–47.
  10. Andre M Wineland, BrianTurpin, Anita Gupta, et al. Ewing Sarcoma in the cervical trachea of a pediatric patient: A case report and review of the literature. J Ped Surg Case Reports. 29(2018);9–13.
  11. Adem Binnetoglu, Tekin Baglam, Gulnur Tokuc, et al. Ewing Sarcoma of the External Ear Canal. Case Rep Otolaryngol. 2016;2016: 6925234.
Creative Commons Attribution License

©2019 Almadani, et al. This is an open access article distributed under the terms of the, which permits unrestricted use, distribution, and build upon your work non-commercially.