Submit manuscript...
eISSN: 2469-2778

Hematology & Transfusion International Journal

Case Report Volume 2 Issue 1

Acquired amegakaryocytic thrombocytopenia in a child: a very rare case

Nalini Pati,3,4 Shubhankar Mishra,1 Pravakar mishra,2 Shantisena Mishra2

1Junior Resident, Department of Pediatrics, MKCG Medical College, India
2Associate Professor, Department of Pediatrics, MKCG Medical College, India
3Consultant Haematologist, Department of Haematology, Canberra Hospital, Australia
4Senior Clinical Lecturer, Australian National University Medical School, Australia

Correspondence: Nalini Pati, Senior Clinical Lecturer, Australian National University Medical School, Canberra, ACT, 2600, Australia, Tel 0405716737

Received: November 03, 2015 | Published: January 29, 2016

Citation: Mishra S, Mishra P, Mishra S, et al. Acquired amegakaryocytic thrombocytopenia in a child: a very rare case. Hematol Transfus Int J. 2016;2(1):15-17. DOI: 10.15406/htij.2016.02.00028

Download PDF

Abstract

Acquired amegakaryocytic thrombocytopenia (AATP) is a very rare hematological disorder causing severe thrombocytopenia and bleeding. Our patient a two year old girl presented with history of severe bleeding from nose, gums, conjunctive with purpuric and petechial spots all over the body. She had mild hepatosplenomegaly with very low Platelet counts. Bone marrow examination revealed absence of apparent megakaryocytes. Bone marrow biopsy ruled out disorders of marrow suppression. This child was treated with methyl prednisolone, prednisolone and oral cyclosporine for 5 months. On follow up the child has been asymptomatic with complete improvement of the platelet counts and recovery of bone marrow picture.

Keywords: amegakaryocytic thrombocytopenia, child, acquired

Abbreviations

AATP, acquired amegakaryocytic thrombocytopenia purpuria; ITP, immune thrombocytopenic purpuria; TTP, thrombotic thrombocytopenic purpuria; MDS, myelodysplastic syndrome

Introduction

Acquired amegakaryocytic thrombocytopenic purpuria (AATP) is an unusual hematologic disorder characterized by thrombocytopenia resulting from an unexplained reduction in the number of bone marrow megakaryocytes in the presence of otherwise normal hematopoiesis in the bone marrow.1 The exact prevalence of acquired amegakaryocytic thrombocytopenia is unknown due to its very rare incidence. Around 30 cases are reported worldwide. Amegakaryocytic thrombocytopenic patients usually present with bleeding and thrombocytopenia not responding to treatment with steroids or IVIG. It is difficult to differentiate clinically and on peripheral blood findings from ITP. Bone marrow examination, particularly trephine biopsy is essential for this diagnosis. Based on the onset of presentation this can be classified as congenital or acquired. In congenital form (congenital AT) of manifestation, it is presented early and is associated with other features such as absent radii (TAR syndrome). In contrast the acquired type (Acquired AT) presents at any age and with prolonged thrombocytopenia.2

Case report

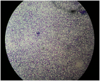
A two years old female child was brought to pediatric emergency department with complaints of severe bleeding from nose, gums, conjunctiva with petechial spots all over the body. She was having multiple episodes of vomiting with low grade fever for 10days. There was no history of similar illness in the past. She had no history of prolonged medication intake. She was having multiple petechial spots, mild hepatosplenomegaly, profuse bleeding from nose, gums, conjunctival haemorrhage and extensive bruising (Figure 1) without lymphadenopathy. White cell count was 32X109/L, Hb-106gm/L, Platelet count-7X109/L with mild lymphocytosis but no other blood film abnormality. Reticulocyte count was 1.3%. Bone marrow examination revealed hyper cellular marrow with mild erythroid hyperplasia with complete absence of apparent megakaryocytes which were confirmed in the trephine with CD41 and CD61 immunohistochemical stains (Figure 2). Liver function tests were normal. USG abdomen showed mild hepatosplenomegaly. Haemoglobins electrophoresis was normal with Hb A, Hb F and Hb A2. Cytogenetic studies on the bone marrow showed a normal female karyotype (46 XX). The flow cytometry of the bone marrow did not reveal any evidence of monoclonality or malignancy. Hence, the diagnosis of AATP was made and she was treated with cyclosporine (5mg/kilogram/day in 2 divided doses) and methylprednisolone (2mg/kg/day) initially for 10days before changing to oral prednisolone. This child remained asymptomatic with normal platelet counts after 5months of oral cyclosporine therapy which was stopped after slow tapering. After three months of follow up, child maintained a stable haematological profile with normal platelet count and bone marrow picture (Figure 3).

Figure 1 Sub-conjunctival bleed.
Figure 2 A large ecchymotic patch in the leg of the child.
Figure 3 Bone marrow showing no megakaryocytes.

Discussion

AATP is a disease of hematopoietic stem cells manifest with amegakaryocytic thrombocytopenia which subsequently may progress into aplastic anaemia or myelodysplastic syndrome.3 It is an immune-mediated disorder including both cell-mediated and humoral immunity. The exact prevalence of amegakaryocytic thrombocytopenia is unknown. The differential diagnoses of AATP include Immune thrombocytopenic purpuria (ITP), Thrombotic thrombocytopenic purpuria (TTP), Myelodysplastic syndrome (MDS), drug induced thrombocytopenia, paroxysmal nocturnal hemoglobinuria, Fanconi anaemia and aplastic anaemia.4 ITP, characterized by a decreased platelet count and mucocutaneous bleeding, is one of the most common causes of thrombocytopenia. The diagnosis of ITP is established clinically by exclusion of other causes. Our case was first thought to be ITP, due to the acute onset of presentations with marked thrombocytopenia and prodromal symptom. But the absence of megakaryocytes on Bone marrow aspiration cytology and marrow biopsy was inconsistent with ITP.4 Neoplastic causes, myelodysplastic syndrome (MDS), drug-induced thrombocytopenia, bone marrow failure syndrome and congenital causes of thrombocytopenia were also considered, but excluded subsequently. MDS was effectively ruled out due to absence of dysplastic features in the bone marrow cell lines. Congenital marrow failure syndromes were excluded based on the bone marrow findings, lack of skeletal abnormalities. Congenital AT was ruled out due to such a delayed presentation. Thrombotic thrombocytopenic purpuria (TTP), which is characterised by a pentad of renal and neurologic symptoms, thrombocytopenia, fever and microangiopathic haemolytic anaemia, was also ruled out due to the absence of above picture and absence of megakaryocytes in bone marrow (Figure 4).

Figure 4 Post treatment: bone marrow showing abundant megakaryocytes.

The pathogenesis of AATP is still clearly unknown but most likely an immune mediated disorder. The presence of anti-thrombopoeitin IgG antibodies in patients with AATP suggests a dysregulated humoral immunity. Dysfunction of cell-mediated immunity has also been postulated, in which monoclonal T-lymphocytes obtained from a patient with AAT were found to inhibit megakaryocyte lineage in-vitro, but not other cell lineages.5 It can be seen individually or as a component of aplastic anaemia secondary to exposure to viral agents like CMV, Parvo virus B19.6 Although cytogenetic abnormalities had been associated with AATP, their precise role in pathogenesis and prognosis is unknown. Diagnosis of AATP is confirmed in a case of thrombocytopenia with absence of megakaryocytes in bone marrow and normal cytogenetic studies after excluding secondary causes of amegakaryopoiesis, such as malignancy and myelodysplasia.

Standard treatment guidelines have not been established for AAT as few case reports have been published regarding the management of this disorder. Based on the proposed humoral immunity mechanism, various immunosuppressive therapeutic approaches have been utilised in patients with AAT. Several case series have reported successful treatment with cyclosporine as a mono-therapy or in combination with other immunosuppressive agents.7 Our patient was treated with cyclosporine and steroids with platelet transfusion. In few published literature patients were treated with ATG, Danazol, myeloablative chemotherapy, cyclophosphamide, IVIG, blood and marrow stem cell transplantation.7–10 So, far cyclosporine has shown to be the best therapeutic intervention. In our case also the platelet count increased adequately after three weeks of administration of cyclosporine and methyl prednisolone/prednisolone. This child remained in remission even three months after stopping the cyclosporine and steroid treatment which was continued for a total of 5 months.

Conclusion

In summary, patients with unexplained, isolated thrombocytopenia, who would respond to platelet transfusion, even though for a transient period but not to prednisone and/or IVIG, bone marrow aspiration biopsy and cytogenetic studies should be performed. AATP should be considered strongly if megakaryocytes are markedly decreased or absent with generalised preserved marrow cellularity and otherwise normal haematopoiesis. Once AATP is diagnosed, a therapeutic trial of cyclosporine (starting dose of 5mg/kg/day orally in two doses) along with methyl prednisolone, intravenous followed by oral administration should be undertaken. Cyclosporine might need to be continued for many weeks to months as it takes long time to achieve the optimal therapeutic level. Patients who are refractory to the treatment with cyclosporine should undergo a repeat bone marrow evaluation. Allogeneic bone-marrow (stem-cell) transplant should be strongly considered for patients with refractory disease or with disease progression, who are relatively young and have matched sibling donors.

Acknowledgements

None.

Conflict of interest

The author declares no conflict of interest.

References

  1. Gewirtz AM, Hoffman R. Human megakaryocyte production: Cell biology and clinical consideration. Haematol Oncol Clin North Am. 1990;4(1):43–64.
  2. Hoffman R, Brtmo E, Elwell J, et al. Acquired amegakaryocytic thrombocytic thrombocytopenic purpura: a syndrome of diverse etiologies. Blood. 1982;60(5):1173–1178.
  3. Thota S, Kistangari G, Dow H, et al. Immune thrombocytopenia in adults: an update. Cleve Clin J Med. 2012;79(9):641–650.
  4. Johnsen J. Pathogenesis in immune thrombocytopenia: new insights. Hematology Am Soc Hematol Educ Program. 2012;2012:306–312.
  5. Colovic M, Pavlovic S, Kraguljac N, et al. Acquired amegakaryocytic thrombocytopenia associated with proliferation of γ/δ TCR+ T-lymphocytes and a BCR-ABL (p210) fusion transcript. Eur J Haemato. 2004;73(5):372–375.
  6. Bhattacharyya J, Kumar R, Tyagi S, et al. Human parvovirus B19-induced acquired pure amegakaryocytic thrombocytopenia. Br J Haematol. 2005;128(1):128–129.
  7. Niparuck P, Atichartakarn V, Chuncharunee S. Successful treatment of acquired amegakaryocytic thrombocytopenic purpura refractory to corticosteroids and intravenous immunoglobulin with antithymocyte globulin and cyclosporin. Int J Hematol. 2008;88(2):223–226.
  8. El Omri H, Skouri H, Kraiem I, et al. Acquired amegakaryocytic thrombocytopenic purpura treated with intravenous immunoglobulins. Ann Med Intern (Paris). 2000;151(3):223–226.
  9. Deeren D, Dorpe JV. Effective use of rituximab for acquired amegakaryocytic thrombocytopenia. Am J Hematol. 2000;85(12):977–978.
  10. Lonial S, Bilodeau PA, Langston AA, et al. Acquired amegakaryocytic thrombocytopenia treated with allogeneic BMT: a case report and review of the literature. Bone Marrow Transplant. 1999;24(12):1337–1341.
Creative Commons Attribution License

©2016 Mishra, et al. This is an open access article distributed under the terms of the, which permits unrestricted use, distribution, and build upon your work non-commercially.