Submit manuscript...
eISSN: 2469-2778

Hematology & Transfusion International Journal

Case Report Volume 10 Issue 4

Correlation between morphology and immunophenotype in the diagnosis of pure erythroid leukemia

Ariel Raúl Aragón Abrantes,1 Liekna Elena Sosa Saez,2 Danelis Hernández Aguiar3

1Deaprtment of Hematology, University of Medical Sciences of Sancti Spíritus, Cuba
2Deaprtment of General Medicine and Hematology. University of Medical Sciences of Sancti Spíritus, Cuba
3Deaprtment of Neonatology, University of Medical Sciences of Sancti Spíritus, Cuba

Correspondence: Ariel Raúl Aragón Abrantes, Specialist in Hematology, Provincial University Pediatric Hospital “José Martí Pérez”, Sancti Spíritus, Cuba

Received: October 17, 2022 | Published: October 31, 2022

Citation: Abrantes ARA, Saez LES, Aguiar DH. Correlation between morphology and immunophenotype in the diagnosis of pure erythroid leukemia. Hematol Transfus Int. 2022;10(4):97-99. DOI: 10.15406/htij.2022.10.00288

Download PDF

Abstract

Pure erythroid leukemia is a rare entity that represents less than 5% of pediatric acute myeloid leukemias and is classified according to the World Health Organization (WHO) within the group of unspecified acute leukemias. A clinical case of a 5-year-old patient admitted with septic arthritis in the Pediatric Hospital, he also presenting with fever and anemia, for which a medullogram and immunophenotype were performed and erythroleukemia was diagnosed. It can be concluded that it is necessary for its diagnosis to integrate clinical, morphological and immunophenotypic, genetic and molecular studies.

Keywords: pure erythroid leukemia, immunophenotype, pediatrics, acute myeloid leukemia, complete remission, multiparametric flow cytometry

Abbreviations

AML, acute myeloid leukemia; WHO, world health organization; FAB, french american british; ALL, acute lymphoblastic leukemia; CR, complete remission; BM, bone marrow; CFM, multiparametric flow cytometry

Introduction

Acute myeloid leukemia (AML) represents a heterogeneous group of myeloid neoplasms that result from the clonal proliferation of abnormal hematopoietic precursor cells with different degrees of differentiation, which infiltrate the Bone Marrow (BM) and sometimes other organs or systems, causing death by hemorrhage and/or infection. Its frequency increases with age, representing between 15 to 20% of acute leukemias (AL) in children and adolescents.1

Pure erythroid leukemia is a rare entity that represents less than 5% of AML and is characterized by a torpid course and resistance to treatment, which gives the disease a poor prognosis.2 It is classified according to the criteria of the World Health Organization (WHO) postulated in 2016 within the group of unspecified acute myeloid leukemias, the presence of more than 80% immature erythroid precursors in the bone marrow being necessary for its diagnosis.3

A 5-year-old male school child who was initially admitted with joint manifestations, fever and gingival hypertrophy, later being diagnosed with pure erythroid leukemia. Informed consent was requested and the patient's data or his data respected ethical principles. relatives will not be disclosed.

Case presentation

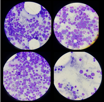
A 5-year-old male schoolboy with a history of previous health who goes to the emergency room of the Provincial Pediatric Hospital of Sancti Spíritus accompanied by his parents because of about a week ago he began to have pain in his right leg, which has intensified in recent 3days and makes it impossible for him to walk, accompanied by a fever of 38 °C with a daily peak in the evening. Functional impotence of the right lower limb was examined and positive Fabere Patrick maneuver was confirmed, in addition to gingival hypertrophy (Figure 1) interpreted by dentistry as a dental access, complementary normal at that time. Therefore, he was admitted to the hospital as septic arthritis, treatment with broad-spectrum antibiotic therapy was started and an incision was made at the level of the hip joint as part of the treatment, ruling out septic arthritis, maintaining antimicrobial therapy. The clinical symptoms and signs were maintained despite the treatment and in his evolution mucous skin paleness was also confirmed, complementary signs were repeated, showing severe anemia (Hb: 60g/l) platelets and leukocytes normal in number. Therefore, we decided to carry out the medullogram, where a hypercellular bone marrow is observed, with cellular monotony, plasma cells less than 10%, no cells outside the parenchyma, 85% blasts. Integer megakaryopoietic system, no alterations in shape or size. Slightly depressed granulopoietic system with predominance of mature forms, hyperplastic erythropoietic system with predominance of immature forms, 85% of erythroblasts with nucleus cytoplasm asynchrony, karyorrhexis, cytoplasmic mamelons. Non-reactive Prussian blue (Figure 2). For which we conclude the case as a Pure Erythroid Leukemia (AML M6), immunophenotype studies by flow cytometry are requested to the Institute of Hematology and Immunology, finding three cell populations, the first (25%) negative to studied antigens, the second (52%) with expression of CD 71+, CD 235 a +, DR+, CD45+, CD38+, CD13+ and negativity for CD41, CD4, CD34, CD14 antigens and the third population (13%) with expression of CD45+, CD4+, CD38+. The rest of the antigens were negative and cytogenetic studies reported a G Band karyotype: Negative, 20 metaphases, 46 XY. Confirming the proposed morphological diagnosis.

Figure 1 Gingival hypertrophy due to Leukemia infiltration.

Figure 2 Bone marrow infiltration by erithroblast with aberrant characteristics.

Discussion

Leukaemias and lymphomas in children are heterogeneous diseases comprising roughly one-third of paediatric cancers.4 Pediatric AML is a clonal disorder characterized by malignant transformation of the hematopoietic stem cell (HSC). Pediatric AML is less common than acute lymphoblastic leukemia (ALL); it only represents 15–20% of all pediatric acute leukemias and it has a bimodal age distribution, with higher incidence in patients younger than 2years and a second peak in adolescents up to 10 to 20years old.5 Conventionally, the French-American-British (FAB) cooperative group classified AML into eight subtypes (M0 to M7) based primarily on blast cell morphology and reactivity with histochemical stains. More recently (2016), the WHO developed a new classification according to cytogenetic, molecular and inmunophenotypic characteristics and defined a group of AML as not specified within which erythroleukemia is found.2,3,6

Pure acute erythroleukemia is a rare form of AML with predominant erythroid lineage proliferation. It is a heterogeneous entity amongst AML that can occur at any age, including childhood, and comprises less than 5% of AML. Di Guglielmo reported the first original case of acute erythroleukemia in 1917.7 Clinical presentation of AML M6 is highly variable, varying from simple weakness, pallor, and fever to more severe complications such as hemorrhages, hepatosplenomegaly, anemia, and thrombocytopenia. Extramedullary involvement in the case of AML M6 is extremely rare.8 In our patient, the initial manifestation was bone pain initially interpreted as septic arthritis of the hip, fever, and gingival hypertrophy due to leukemic infiltration at that level, later severe anemia appeared. Although extramedullary manifestations are rare in this type of leukemia, gingival infiltration was observed from the beginning. The diagnostic of all subtypes of pediatric AML specifically of acute erythroleukemia requires morphology, immunophenotyping, and comprehensive cyto- and molecular genetics of the leukemic blasts.9

The bone marrow is usually hypercellular and shows major dysplasia in the red cells. Erythroid lineage is dysplastic, with megaloblastoid cells (asynchronous nucleocytoplasmic maturation), Howell-Jolly bodies, and lack of hemoglobinization and multinucleation with more of 80% immature erythroid precursors. Multilineage dysplasia is present in most reports.3,7 Immunophenotyping by multiparametric flow cytometry (CFM) is essential to determine the lines involved in the leukemic clone and identify abnormal (aberrant) antigenic expression patterns that will later be useful to quantify MRD. Within the erythroid line are CD235 (glycophorin A), CD71, CD105, CD36.1 The findings in the cytogenetic study show no association with recurrent cytogenetic abnormalities. This finding reinforces the idea of ​​the infrequency of this subtype of AML in pediatrics.2

Initially, we performed a medullogram of the patient where we observed 85% infiltration by erythroblasts with aberrant characteristics, with which we proposed the diagnosis of pure erythroid leukemia according to current WHO criteria, and an immunophenotype was requested, which was positive at expression of CD 71+, CD 235 a +, DR+, CD45+, CD38+, CD13+, which confirms the diagnosis, we also performed a negative G Band karyotype, 20 46XY metaphases. The outcome is usually very poor for erythroleukemia. In de novo AML-M6, treatment with intensive chemotherapy (anthracycline and cytarabine) gives a complete remission (CR) rate of approximately 50–60%. In other series, the CR rate was only 10–40%, especially in secondary erythroleukemia. Some studies suggest that the patient with unfavorable cytogenetics factors would beneficit from hematpoietic stem cell transplant (disease free survival at 5year of 60%).7,10

Conclusion

Pure erythroid leukemia is a rare type of AML that rarely affects children and has a very poor prognosis, the clinic manifestations, morphology, immunophenotype, and genetic and molecular studies are necessary for its correct diagnosis.

Acknowledgments

None.

Conflicts of interest

The authors declare no conflicts of interest.

Funding

None.

References

  1. Acute myeloid leukemia. In Argentine Society of Hematology. Diagnosis and Treatment Guides. 2021. p. 407–421.
  2. Peruzzo LB, Bertone MC, Marina D, et al. Erythroleukemias: Recategorization according to criteria of the world health organization. Medicine (Buenos Aires). 2019;79:1–5.
  3. Arber DA, Orazi A, Hasserjian R, et al. The 2016 revision to the world health organization classification of myeloid neoplasms and acute leukemia. Blood. 2016;127(20):2391–2405.
  4. Brivio E, Baruchel A, Beishuizen A, et al. Targeted inhibitors and antibody immunotherapies: Novel therapies for paediatric leukaemia and lymphoma. European Journal of Cancer. 2022;164:1e17.
  5. Cacace F, Iula R, De Novellis D, et al. High-risk acute myeloid leukemia: a pediatric prospective. Biomedicines. 2022;10(6):1405.
  6. Quessada J, Cuccuini W, Saultier P, et al. Cytogenetics of pediatric acute myeloid leukemia: a review of the current knowledge. Genes. 2021;12:924.
  7. Latif N, Salazar E, Khan R, et al. The pure erythroleukemia: a case report and literature review. Clinical Advances in Hematology & Oncology. 2010;8(4).
  8. Kesamneni R, Nagarajan P, Johnson T, et al. Proptosis, a rare presentation of acute myeloid leukemia - AML M6 in a child. J Appl Hematol. 2016;7:111–113.
  9. Reinhardt D, Antoniou E, Waack K. Pediatric acute myeloid leukemia—past, present and future. J Clin Med. 2022;11:504.
  10. Qiu S, Jiang E, Wei H, et al. An analysis of 97 previously diagnosed de novo adult acute erythroid leukemia patients following the 2016 revision to world health organization classification. BMC Cancer. 2017;17:534.
Creative Commons Attribution License

©2022 Abrantes, et al. This is an open access article distributed under the terms of the, which permits unrestricted use, distribution, and build upon your work non-commercially.