Submit manuscript...
eISSN: 2469-2778

Hematology & Transfusion International Journal

Mini Review Volume 3 Issue 2

Fever in an adult with sickle cell disease: to treat or not to treat? A case of multi-organ failure

Young JR,1 Turnbull A,2 Lakshmanan S,2 Osunkwo I2

1Department of Emergency Medicine, Carolinas Medical Center, USA
2Carolinas HealthCare System, Levine Cancer Institute, USA

Correspondence: Young JR, Department of Emergency Medicine, Carolinas Medical Center, 1000 Blythe Boulevard, Charlotte, North Carolina 28203, USA, Tel 704-355-7205, Fax 704-910-5891

Received: September 22, 2016 | Published: December 7, 2016

Citation: Young JR, Turnbull A, Lakshmanan S, et al. Fever in an adult with sickle cell disease: to treat or not to treat? A case of multi-organ failure. Hematol Transfus Int J. 2016;3(2):154-157. DOI: 10.15406/htij.2016.03.00061

Download PDF

Abstract

Patients with sickle cell disease are at increased risk of invasive infection despite gains made through penicillin prophylaxis, pneumococcal immunization and newborn screening. We present the case of a 42-year old male with hemoglobin SS disease, who developed acute multi-organ failure (MOF) secondary to Streptococcus pyogenes. He presented to the emergency department complaining of fever three times in five days, although afebrile at each presentation. On his third visit he became hemodynamically unstable and encephalopathic requiring intubation and admission to the ICU. His course was complicated by cardiomyopathy, acute renal insufficiency and bilateral trans metatarsal amputations. He was successfully discharged home on hospital day #37. We report on our experience with MOF from unrecognized infection in an adult with SCD, and fever, and review evidence-based and consensus treatment practices for management of sickle disease and fever in the emergency department. In conclusion, we strongly recommend that all febrile adults with sickle cell disease be treated as a medical emergency and receive empiric antibiotic therapy in addition to routine work-up and investigations.

Keywords: emergency medicine, evidence-based guidelines, fever, multi-organ failure, sickle cell disease, streptococcus pyogenes

Abbreviations

ACS, acute chest syndrome; ALT, alanine transaminase; AST, aspartate transaminase; AVN, avascular necrosis; BCX, blood culture; BPM, beats per minute; BUN, blood urea nitrogen; CPM, cycles per minute; CXR, chest x-ray; CBC, complete blood count; CMP, complete metabolic panel; ED, emergency department; GAS, group A streptococcus; Hgb, hemoglobin; HbSS, hemoglobin SS; Hct, hematocrit; HTN, hypertension; MOF, multi-organ failure; SCD, sickle cell disease; STSS, streptococcal toxic shock syndrome; VOC, vasoocclusive crisis; WBC, white blood cell

Introduction

Approximately 95% of SCD patients are functionally asplenic by five years of age, greatly increasing risk for infection.1 In the 1970s, life expectancy for SCD patients in the United States was only 14.3years.2 Ten percent of children with SCD acquired invasive pneumococcal infection by five years of age, with greater than 30% mortality, prior to prophylactic penicillin and immunizations.3–5 Newborn screening, penicillin prophylaxis and immunizations reduced mortality during the first five years of life from 25% to less than 3% and close to 94% of patients with hemoglobin SS disease now live into adulthood.3,6,7 In addition to preventative measures, aggressive management of fever has been critical for this success. Strict guidelines exist for the management of fever in pediatric SCD, including empiric antibiotics and 24-hour follow-up.8–10 These guidelines are less stringent in the adult population. Adults with SCD, however, do not receive the same mortality benefit from newborn screening, penicillin and immunizations. Immigration of unscreened persons may alter data analysis, but it is postulated that the mortality burden of SCD has shifted towards later years.7,11 Heightened awareness is therefore essential to provide effective management of adults with SCD and fever.

Case report

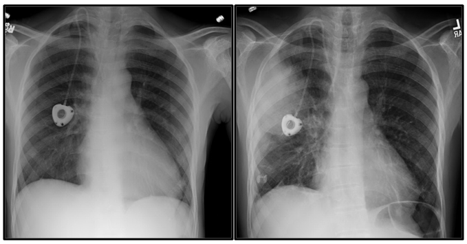
We present the case of a forty-two-year-old male with hemoglobin SS (HbSS) disease and history of fever. Additional past medical history includes hypertension (HTN), severe malnutrition, chronic leg ulcers, bilateral avascular necrosis (AVN) of femoral and humeral heads, cholelithiasis and Port-a-Cath central venous catheter placement two years prior for frequent venous access needs. Medications include hydroxyurea, oxycodone-acetaminophen and hydromorphone. Patient initially presented to the ED with one-day history of headache, generalized myalgias and reported fever of 38.9°C. Despite known SCD complications, he had been well managed for the preceding two years (one ED visit, no transfusions). Vitals on initial presentation were unremarkable (Table 1). Complete blood count (CBC) and comprehensive metabolic panel (CMP) were obtained, notable for baseline hemoglobin (Hgb) of 9gm/dL, white blood cell count (WBC) 13.2K/uL and grossly unremarkable CMP (Table 2). He received intravenous fluids (IVF) and analgesics and was discharged home after pain resolution. He returned the following day with worsening fever (40.6°C at home), headache, abdominal pain and diffuse weakness. He was afebrile upon presentation and other vitals were unremarkable (Table 1). Due to persistent headache, a lumbar puncture (LP) was performed, which showed no evidence of infection (WBC 0/uL, glucose 65mg/dL, protein 29mg/dL). Patient received IVF, analgesia, anti-emetics and was discharged home with resolution of complaints. He returned to the ED two days later, describing persistent and worsening headache, fevers, two days of emesis, and a new cough. He was afebrile but mildly hypotensive and tachycardic (Table 1). Labs and chest radiograph (CXR) were obtained (Table 2 & Figure 1). Hgb 7.7gm/dL, bilirubin 14mg/dL and lactate 2.38mmol/L. Blood and urine cultures were ordered, although never drawn. CXR revealed a large right middle lung zone infiltrate (Figure 1). He received 2L normal saline (NS) bolus, empiric levofloxacin and was admitted to the inpatient ward.

ED Visit #1

ED Visit #2

ED Visit #3

Temperature (°C)

36.7°C

37.6°C

36.8°C

Pulse (bpm)

91 bpm

88 bpm

113 bpm

Blood Pressure (mmHg)

133/75 mmHg

108/56mmHg

91/60mmHg

Respiratory Rate (cpm)

18 cpm

18 cpm

18 cpm

O2 Saturation

97%

100%

96%

Table 1 Vital Signs

1 week prior to admission Presentation 3 (HOSPITAL DAY 0)

Figure 1 Chest Radiographs

Patient became increasingly confused, tachycardic and hypotensive despite fluid resuscitation, and transferred to the intensive care unit (ICU). STAT head, chest and abdominal CT scans were acquired and antibiotics were broadened. Chest CT showed multilobar right-sided airspace disease. Patient was intubated for worsening respiratory status despite BiPAP and transferred to the regional referral center for exchange transfusion and further management of acute chest syndrome (ACS). A bronchoalveolar lavage (BAL) for culture and sensitivities was obtained at the time of intubation. He received one unit of packed red blood cells (pRBCs) during transport. In the ICU, repeat laboratories returned suggestive of acute MOF (Table 2). He received an exchange transfusion and an additional 3 units of pRBCs for persistent anemia (Hgb 7.7gm/dL, reticulocyte count 1.6%), required norepinephrine and vasopressin drips for hypotension, developed acute renal insufficiency (creatinine 1.75mg/dL, baseline 0.7mg/dL), stress-induced cardiomyopathy (ejection fraction 21%), and persistent respiratory failure requiring ventilator support until hospital Day #10. His respiratory culture grew Streptococcus pyogenes on hospital Day #2. Antibiotics were narrowed to ceftriaxone to complete a 14-day course. Blood and urine cultures throughout showed no growth, although drawn after the initiation of antibiotics. Despite aggressive management in the ICU the patient’s course was complicated by development of an exudative right-sided pleural effusion requiring tube thoracostomy on hospital day #2, large venous thrombus extending from left external iliac to left common iliac vein on hospital day #8 requiring therapeutic anticoagulation, dry-gangrene of bilateral toes (hospital day #15) requiring bilateral trans metatarsal amputations and hematochezia with cytomegalovirus colitis and rectal ulcer (hospital day # 29) requiring treatment with valgancyclovir. He required consultation from pulmonary critical care, gastroenterology, hematology, infectious disease, vascular surgery and rehabilitation during his hospital course. On hospital day #37, patient was discharged home.

Baseline (1 month prior)

ED Visit #1

ED Visit #3 (Hospital Day 0)

Hospital Day (Day #)

WBC (K/uL)

4.6

13.2

9.7

44.1 (5)

Hemoglobin (gm/dL)

10

9

7.7

7.3 (5)

Hematocrit (%)

29

26

22

23 (5)

Reticulocyte (%)

1.6

1.8 (4)

BUN (mg/dL)

11

20

19

19 (4)

Creatinine (mg/dL)

0.81

1.16

1.04

1.75 (4)

ALT (IU/L)

47

43

44

76 (6)

AST (IU/L)

33

45

36

154 (3)

Bilirubin (mg/dL)

2.3

4.2

13.9

14.1 (1)

Lactate (mmol/L)

2.38

8 (1)

Table 2 Laboratory Investigations

At 6-month review, patient had completed his course of inpatient rehabilitation and successfully returned to work. He stopped his anticoagulation and was ambulatory with specialized orthotic footwear. He underwent follow-up MRI/MRA of the brain, which showed no evidence of silent stroke or cerebral atrophy. Hydroxyurea was discontinued and he successfully transitioned to chronic RBC transfusion therapy without evidence of toxicity. Despite his successful recovery, he still battles with chronic pain and depression.

Discussion

SCD is the most common genetic disease in the United States. Between 1999 and 2007, there were close to 198,000 ED visits in the United States annually for SCD-related complaints. Six percent of these visits revolved around fever.12 Despite this high volume there is a dearth of published data regarding emergent management of febrile adults with SCD. Since 1970, there have been no systematic reviews conducted for SCD and fever, acute anemia, or MOF.13 Accordingly, variability in management strategies is common.

SCD patients are presumed to be functionally asplenic and therefore at higher risk for infection with encapsulated organisms (specifically Streptococcus pneumonia, Group B Strep, Haemophilus influenzae, Neisseria meningitidis and Salmonella typhi). The risk of streptococcal bacteremia in the pediatric SCD population in the pre-prophylactic penicillin and pneumococcal vaccination era has been reported as 4 to 10 per 100 person-years, which is 20times greater than that of the typical population.3,14–16 However, with the advent of newborn screening, penicillin prophylaxis, and routine pneumococcal vaccination, the incidence of invasive pneumococcal disease decreased by greater than 90%.16,17 Life expectancy also increased from 14years to approximately 45years of age in the United States.2,18 Despite these remarkable improvements, infection remains the leading cause of death in adults with SCD, although this now takes the form of acute MOF and ACS as compared to pneumococcal bacteremia.7 Appropriately, the 2014 NIH Evidence-Based Management of Sickle Cell Disease explains that fever in a sickle cell disease patient is a medical “emergency.9

As an “emergency”, fever in SCD warrants aggressive infectious work-up including blood culture (BCX), CBC, and reticulocyte count.8,9 Regardless of laboratory results, pediatric patients receive broad-spectrum parenteral antibiotics.8–10 Adults however, are presumed to have more mature immune systems and are not mandated to receive antibiotics unless “ill-appearing” or requiring admission.8,9 This is supported by the fact that children less than three years old with SCD had an almost 100-fold higher incidence of invasive pneumococcal disease compared to their adolescent counterparts prior to penicillin prophylaxis and pneumococcal immunization.19 However, the burden of disease is shifting towards adults, and many adults remain incompletely immunized.7,20 Functional asplenia in SCD impairs opsonization, rendering patients at increased risk for infection with non-encapsulated organisms not covered by routine immunizations.21–23 Therefore, despite targeted immunizations, adults with SCD remain at increased risk of invasive infection, the complications of which are often severe.24–26

Emergency providers must therefore, remain watchful when evaluating a patient with SCD and fever. Ideally a history of fever should garner the same level of concern, as most SCD patients take analgesics with antipyretic properties for pain management. Unfortunately, consensus guidelines are lacking, let alone rigorous research addressing this subject. Laboratory investigations should be evaluated in light of baseline values. Many SCD patients utilize hydroxyurea, which causes a relative leucopenia. This must be accounted for during acute presentations to avoid overlooking acute changes that appear “normal.” Both of these nuances are highlighted in the above case.

Acute multi-organ failure syndrome is a severe and often life-threatening sequela of SCD, characterized by vaso-occlusive crisis (VOC) complicated by failure of two additional organ systems, including the lungs, liver or kidney.27–29 The majority of patients who develop acute MOF often have co-morbid processes such as an infection or acute chest.27 There are no systematic reviews or randomized controlled trials evaluating management and outcomes, but a retrospective chart review from 1993 and scattered case reports describe this devastating process.13,27–29 It typically presents with fever, anemia, thrombocytopenia and encephalopathy, all of which were present in the above case. The available data suggests that when acute MOF is present, prompt and aggressive transfusion therapy is associated with increased survival.27 The NIH recommends immediate transfusion therapy, be that simple or exchange, in consultation with a hematologist, as based on expert opinion.9

Streptococcus pyogenes, or Group A Strep (GAS), is most often associated with streptococcal pharyngitis and soft tissue infections. However, it is also implicated in more serious disease such as post-streptococcal glomerulonephritis, acute renal failure, bacteremia without a focus, osteomyelitis, scarlet fever, rheumatic heart disease, necrotizing fasciitis, peripartum sepsis and streptococcal toxic shock syndrome (STSS).30,31 Although postulated that penicillin prophylaxis would predispose to increased rates of invasive GAS disease amongst SCD patients, this has not been borne out. There are only a few case reports of invasive GAS disease in SCD patients in the literature.9,32–34 However, invasive GAS infection is a medical emergency. All forms of invasive GAS may lead to STSS, which has an approximate 25% mortality within 24hours.30,31

Conclusion

Risk of infection is elevated in patients with sickle cell disease and infection carries high morbidity and mortality. Vigilance and a high level of suspicion are therefore essential for appropriate management in the ED. We strongly recommend empiric antibiotics for all febrile adults with sickle cell disease, in addition to standard management practices.

Acknowledgements

We would like to thank the Levine Cancer Institute and the Carolinas Medical Center Department of Emergency Medicine.

Conflict of interest

The author declares no conflict of interest.

References

  1. Pai VB, Nahata MC. Duration of penicillin prophylaxis in sickle cell anemia: issues and controversies. Pharmacotherapy. 2000;20(1):110–117.
  2. Diggs L. Anatomic lesions in sickle cell disease. Sickle cell disease: Diagnosis, management, education and research; 973. p. 189–229.
  3. Gaston MH, Verter JI, Woods G, et al. Prophylaxis with oral penicillin in children with sickle cell anemia. A randomized trial. N Engl J Med. 1986;314(25):1593–1599.
  4. Powars DR. history of sickle cell disease-the first ten years. Semin Hematol. 1975;12(3):267–285.
  5. Overturf GD, Powars D, Baraff LJ. Bacterial meningitis and septicemia in sickle cell disease. Am J Dis Child. 1977;131(7):784–787.
  6. Vichinsky E, Hurst D, Earles A, et al. Newborn screening for sickle cell disease: effect on mortality. Pediatrics. 1988;81(6):749–755.
  7. Quinn CT, Rogers ZR, McCavit TL, et al. Improved survival of children and adolescents with sickle cell disease. Blood. 2010;115(17):3447–3452.
  8. Billett H, Boehme C, Bridges K, et al. The management of sickle cell disease. national institutes of health national heart, lung and blood institute, division of blood diseases and resource. 4th ed. USA: NIH Publication Bethesda; 2002. p. 2–2117.
  9. Buchanan GR, Yawn BP, Annan ANA, et al. Evidence-based management of sickle cell disease. Expert Panel report 2014, National Institutes of Health National Heart, Lung and Blood Institute, Washington, USA: U.S. Department of health and human services; 2014.
  10. Glassberg J. Evidence-based management of sickle cell disease in the emergency department. Emerg Med Pract. 2011;13(8):1–20.
  11. Peters M, Fijnvandraat K, Van den Tweel XW, et al. One-third of the new paediatric patients with sickle cell disease in The Netherlands are immigrants and do not benefit from neonatal screening. Arch Dis Child. 2010;95(10):822–825.
  12. Yusuf HR, Atrash HK, Grosse SD, et al. Emergency department visits made by patients with sickle cell disease: a descriptive study, 1999-2007. Am J Prev Med. 2010;38(4 Suppl):S536–S541.
  13. Yawn BP, Buchanan GR, Annan ANA, et al. Management of sickle cell disease: summary of the 2014 evidence-based report by expert panel members. JAMA. 2014;312(10):1033–1048.
  14. Sox CM, Cooper WO, Koepsell TD, et al. Provision of pneumococcal prophylaxis for publicly insured children with sickle cell disease. JAMA. 2003;290(8):1057–1061.
  15. Wong WY, Powars DR, Chan L, et al. Polysaccharide encapsulated bacterial infection in sickle cell anemia: a thirty year epidemiologic experience. Am J Hematol. 1992;39(3):176–182.
  16. Halasa NB, Shankar SM, Talbot TR, et al. Incidence of invasive pneumococcal disease among individuals with sickle cell disease before and after the introduction of the pneumococcal conjugate vaccine. Clin Infect Dis. 2007;44(11):1428–1433.
  17. McCavit TL, Quinn CT, Techasaensiri C, et al. Increase in invasive Streptococcus pneumoniae infections in children with sickle cell disease since pneumococcal conjugate vaccine licensure. J Pediatr. 2011;158(3):505–507.
  18. Platt OS, Brambilla DJ, Rosse WF, et al. Mortality in sickle cell disease. Life expectancy and risk factors for early death. N Engl J Med. 1994;330(23):1639–1644.
  19. Overturf GD. Prevention of invasive pneumococcal infection in sickle cell disease: on the threshold of a new era of successes? J Pediatr. 203;143(4):423–425.
  20. Jones MH, Randall L, Squire BB, et al. An audit of immunisation status of sickle cell patients in Coventry, UK. J Clin Pathol. 2009;62(1):42–45.
  21. Larcher VF, Wyke RJ, Davis LR, et al. Defective yeast opsonisation and functional deficiency of complement in sickle cell disease. Arch Dis Child. 1982;57(5):343–346.
  22. Anyaegbu CC, Okpala IE, Akren'Ova YA, et al. Peripheral blood neutrophil count and candidacidal activity correlate with the clinical severity of sickle cell anaemia (SCA). Eur Eur J Haematol. 1998;60(4):267–268.
  23. Anyaegbu CC, Okpala IE, Akenova AY, et al. Complement haemolytic activity, circulating immune complexes and the morbidity of sickle cell anaemia. APMIS. 1999;107(7):699–702.
  24. Greene JR, Polk OD, Castro O. Fulminant pneumococcal sepsis in an adult with sickle-cell anemia. N Engl J Med. 1984;311(10):674.
  25. Olopoenia L, Frederick W, Greaves W, et al. Pneumococcal sepsis and meningitis in adults with sickle cell disease. South Med J. 1990;83(9):1002–1004.
  26. Zarrouk V, Habibi A, Zahar JR, et al. Bloodstream infection in adults with sickle cell disease: association with venous catheters, Staphylococcus aureus, and bone-joint infections. Medicine (Baltimore). 2006;85(1):43–48.
  27. Hassell KL, Eckman JR, Lane PA. Acute multiorgan failure syndrome: a potentially catastrophic complication of severe sickle cell pain episodes. Am J Med. 1994;96(2):155–162.
  28. Tawfic QA, Kausalya R, Al-Sajee D, et al. Adult sickle cell disease: a five-year experience of intensive care management in a University Hospital in Oman. Sultan Qaboos Univ Med J. 2012;12(2):177–183.
  29. Adamski J, Hanna CA, Reddy VB, et al. Multiorgan failure and bone marrow necrosis in three adults with sickle cell-beta+ -thalassemia. Am J Hematol. 2012;87(6):621–624.
  30. Waddington CS, Snelling TL, Carapetis JR. Management of invasive group A streptococcal infections. J Infect. 2014;69(Suppl 1):S63–S69.
  31. Parks T, Barrett L, Jones N. Invasive streptococcal disease: a review for clinicians. Br Med Bull. 2015;115(1):77–89.
  32. LeBlanc W, Salah H, Khakoo Y. Group A beta-hemolytic streptococcal bacteremia in a patient with sickle cell anemia on penicillin prophylaxis. J Natl Med Assoc. 1995;87(5):347–348.
  33. Akenova YA, Bakare RA, Okunade MA, et al. Bacterial causes of acute osteomyelitis in sickle cell anaemia: changing infection profile. West Afr J Med. 1995;14(4):255–258.
  34. Suara RO. Group A beta-haemolytic streptococcal acute chest event in a child with sickle cell anaemia. Ann Trop Paediatr. 2001;21(2):175–178.
Creative Commons Attribution License

©2016 Young, et al. This is an open access article distributed under the terms of the, which permits unrestricted use, distribution, and build upon your work non-commercially.