Submit manuscript...
eISSN: 2469-2778

Hematology & Transfusion International Journal

Case Report Volume 12 Issue 4

Hyperleukocytosis is not always leukemia: uncovering the indicators in peripheral blood smear

Sailuja Maharjan,1 Sristi Upadhyay,2 Madhu Sudan Dhakal,2 Sumnima Mainali,3 Gautam Das4

1Department of Pathology, Kulhudhuffushi Regional Hospital, Kulhudhuffushi, Maldives
2Department of Pediatrics, Kulhudhuffushi Regional Hospital, Kulhudhuffushi, Maldives
3Department of Gynecology& Obstetrics, Kulhudhuffushi Regional Hospital, Kulhudhuffushi, Maldives
4Department of Dermatology, Kulhudhuffushi Regional Hospital, Kulhudhuffushi, Maldives

Correspondence: Dr Sailuja Maharjan, Kulhudhuffushi Regional Hospital, Kulhudhuffushi, Maldives, Tel +960-9305995

Received: September 09, 2024 | Published: November 7, 2024

Citation: Maharjan S, Upadhyay S, Dhakal MS, et al. Hyperleukocytosis is not always leukemia: uncovering the indicators in peripheral blood smear. Hematol Transfus Int. 2024;12(4):79-81. DOI: 10.15406/htij.2024.12.00337

Download PDF

Abstract

Hyperleukocytosis is defined as a total leukocyte count of more than 100*103/mm3, which usually occurs in leukemia, myeloproliferative disorders and leukocyte adhesion defects. It is a rare entity in neonates and is associated with poor outcome. We report a non-malignant case of hyperleukocytosis in a preterm baby with culture negative sepsis and a history of exposure to intrauterine steroids. We highlight the significance of morphological changes in peripheral blood smears which help in early diagnosis and prompt treatment thereby reducing the morbidity and mortality associated with it.

Keywords: Dohle bodies, hyperleukocytosis, neonate, peripheral blood smear, toxic granules.

Introduction

Hyperleukocytosis is a rare entity in neonates, even rarer in preterm babies. It is defined as a total leukocyte count (TLC) of more than 100*103/mm3 which usually occurs in leukemia, myeloproliferative disorders and leukocyte adhesion defects (LAD).1,2,3 The non-malignant association of hyperleukocytosis like sepsis, use of antenatal steroids or idiopathic cause is scantly reported in literature.4 The diagnosis is challenging and often requires extensive investigations to rule out leukemia which presents with alarming increase in counts. Peripheral blood smear (PBS) is a cost-effective and less time-consuming test, which in conjunction with complete blood count (CBC) and clinical history, provides valuable information in hematological disorders.5,6 We highlight the significance of morphological changes in PBS for prompt identification of cause of a preterm infant with hyperleukocytosis.

Case report

A pre-term female baby (35 weeks of gestation) was born to a multiparous mother (G3P2L2) via emergency lower segment cesarean section. The mother had a history of preterm rupture of membrane for five hours and had received two doses of antenatal steroids and pre-operative antibiotics. The baby cried immediately after birth with APGAR scores of 7,8 and 8 at 1 minute, 5 minutes and 10 minutes of life. The baby weighed 2.3 kgs and had no dysmorphic features. However, the baby developed tachypnea after 10 minutes of life and was kept on nasal prongs along with intravenous fluids and antibiotics (cefotaxime and amikacin). After three hours, respiratory distress increased, after which the baby was kept on bubble CPAP. Cardiovascular, abdominal and neurological examinations were normal. Investigations at birth revealed hyperleukocytosis (Table 1). PBS showed a shift to left with presence of the toxic granules (Figure 1) and Dohle bodies (Figure 2). There were no any abnormal cells or blasts. C-reactive protein (CRP) was elevated at 20.1mg/L. Lactate dehydrogenase was 1074U/L, uric acid was 5.2mg/dl. Serum electrolytes and metabolic panel were normal. The TORCH panel, HIV, hepatitis screening was negative. Blood culture was also negative. The diagnosis was made as culture negative sepsis. TLC increased to 132000/mm3 on the third day and clinically, the baby had persistent respiratory distress with decreased activity, following which the antibiotics were upgraded to meropenem and vancomycin. Serial monitoring showed gradual reduction of TLC after 4th day and it was found to be 18000/mm3 on the 11th day. The baby started improving clinically and was discharged after two weeks of admission. CRP was also normal at the time of discharge. On follow-up after 2 months, the baby was thriving well and CBC along with PBS were normal.

Parameters

Values

Hemoglobin

15.8 gm/dL

Red blood cell count

4.2*106/mm3

Hematocrit

47%

TLC

108000/mm3

Neutrophil/Lymphocyte/Eosinophil

55/30/1

Myelocytes

7%

Metamyelocytes

4%

Band cells

3%

Platelets

387000/mm3

Table 1 Blood investigations at birth

Figure 1 Blood picture showing toxic granules in neutrophils (Leishman stain at 100X magnification).

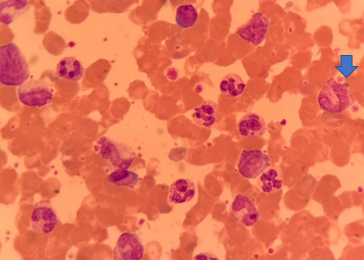
Figure 2 Dohle bodies (Blue Arrow).

Discussion

Leukocytosis refers to an increase in TLC which could be physiological or pathological. The TLC in neonates is physiologically higher than children or adults but rarely exceeds 34,000/mm3.7 The physiological leukocytosis in neonates is due to increase in colony stimulating factors, adhesion molecules, c-kit ligand and release of cytokines in immediate postpartum period.1,2 TLC may be severely elevated and is known as leukemoid reaction if >50,000/mm3 or hyperleukocytosis if >100000/mm3 which has a poor prognosis.3,8,9 Hyperleukocytosis is a very rare entity in neonates and most cases encountered are either congenital leukemia, transient myeloproliferative disorder associated with Down syndrome or LAD.1,2 The non-malignant association of hyperleukocytosis is limited in the literature. Occasional cases of hyperleukocytosis due to infective etiology like pertussis, leptospirosis, EBV, herpes simplex virus have been reported in the literature.4 Hyperleukocytosis with severe neutrophilia has been reported in extreme low birth weight babies (<1000gm) as well as in some preterm babies without any identifiable cause.1 Likewise, Kuriakose et al. also reported a case of non malignant hyperleukocytosis in extremely low birth weight baby which was attributed to chorioamonionitis.9 Similarly, Balasundaram et al. highlighted a case of Human Herpes Virus- 6 induced hyperleukocytosis in a preterm neonate which was initially suspected to be associated with malignancy.10 Exposure to intrauterine steroids can also lead to elevated WBC count but not to the degree of hyperleukocytosis. Our case is peculiar as there was a history of intrauterine steroid exposure which could be one synergistic factor contributing to hyperleukocytosis. Hyperleukocytosis is a challenging condition and poses a diagnostic dilemma for neonatologists and pathologists.

It requires extensive investigations due to possible concern of leukemia with such alarming increase in counts. Diagnostic work up often includes PBS, bone marrow aspiration/ biopsy with immunophenotyping to rule out congenital leukemia even though it accounts for less than 1% of childhood leukemias.11 PBS should be meticulously reviewed for the presence of blasts or any abnormal cells. Additionally, any markers of inflammation like toxic granules, cytoplasmic vacuolation and Dohle bodies also provide valuable information to narrow the differential diagnoses.12,13,14 Our case demonstrated, shift to left with myelocyte predominance and absence of blast cells, which excluded a leukemic process. Furthermore, the presence of toxic granules and Dohle bodies prompted us towards inflammatory or infective etiology of the condition. This also prevented us from undergoing invasive investigations like bone marrow examination. PBS is a cost effective, quick and useful diagnostic tool which adds valuable information in hematological disorders and helps to avoid unnecessary tests.5,15 Nevertheless, it is essential to be aware of blast mimics like baby lymphocytes in pediatric population, which are morphologically indistinguishable from leukemic blasts, posing diagnostic challenges to the pathologists.6 Ancillary tests like immunophenotyping or molecular studies should be considered with a background of appropriate clinical context to arrive at an accurate diagnosis in such cases.

Toxic granules are large bluish granules present in the cytoplasm of neutrophils. They form as a result of accumulation of acidic mucosubstances in azurophilic granules of the neutrophils and stain intensely than normal circumstances.12,13 They exhibit the potential to acidify the phagosomes enhancing their bactericidal properties and therefore, occur regularly in bacterial infection as well as inflammation.14 Dohle bodies are small, round or oval in shaped, pale blue structure often located at the periphery of the neutrophils and are seen in bacterial infections tissue damage, inflammation and following administration of granulocyte- colony stimulating factors.13 These morphological changes in neutrophils like toxic granules, dohle bodies and cytoplasmic vacuoles are 80% predictive of infection and frequently correlate with high CRP.12,14 Hyperleukocytosis is a potential emergency as it can lead to fatal complications like leukostasis, disseminated intravascular coagulation, tumor lysis syndrome, intracranial hemorrhage, pulmonary hypertension, respiratory failure, heart failure and acute renal failure.1–4 The mainstay of treatment includes adequate hydration, leukapheresis, exchange transfusion, antibiotics and correction of metabolic abnormalities.8,9 Hyperleukocytosis in our patient was possibly due to sepsis even though the blood culture was negative as it responded dramatically to antibiotics. Furthermore, intrauterine exposure to steroids could be an augmenting factor.

Conclusion

We highlight the non-malignant causes like sepsis and the use of intrauterine steroids, which can also lead to hyperleukocytosis. Careful blood smear evaluation is essential to identify morphological features like toxic granules and dohle bodies which provide a valuable diagnostic clue in the background of proper clinical information. Hence, despite the recent advances in diagnosing hematological disorders, a careful and meticulous PBS evaluation can prove to be a simple, yet cost-effective and definitive diagnostic tool.

Acknowledgments

None.

Conflicts of interest

The authors declare that there are no conflicts of interest.

References

  1. Parvez Y, Mathew AG. Hyperleukocytosis in newborn: a diagnosis of concern. Indian J Hematol Blood Transfus. 2014;30:131–132.
  2. Sushanth, Avabratha KS, Tauro KJ, et al. Hyperleukocytosis in a neonate: a diagnostic dilemma. Indian J Med Paediatr Oncol. 2010;31(3):86–88.
  3. Ortega L, Ramzanali S, Mora P, et al. Extreme hyperleukocytosis in an extremely preterm infant. Journal of Rare Diseases and Orphan Drugs. 2022;3:6–10.
  4. Rath A, Gupta R. Hyperleukocytosis (Re)Visited- Is it always Leukaemia: a report of two cases and review of literature. Journal of Clinical and Diagnostic Research. 2020;14:1–3.
  5. Richards DSC, Foucar K. Does morphology matter in 2017? an approach to morphologic clues in non-neoplastic blood and bone marrow disorders. Int J Lab Hem. 2017;39:23–30.
  6. Rose G, Reinhard HH, Kahwash SB. Is this a blast? an illustrated practical review on peripheral blood smear examination in the paediatric patient. Malays J Pathol. 2020;42(1):37–49.
  7. Kliegman R, St Geme JW. Nelson Textbook of Pediatrics. 21st edn. New Delhi:Elsevier;2019.
  8. Alatassi EU, Sukkar M, Garrada FN. Sepsis‑induced hyperleukocytosis in a preterm. Cureus. 2019;11(9):e5594.
  9. Kuriakose ME, Chandran S, Tawab A. Transient hyperleukocytosis in one of the extreme preterm twins: a case report with review of literature. Indian Pediatrics Case Reports. 2023;3:215–219.
  10. Balasundaram P, Sakr M. Chromosomal integration of HHV-6 in a preterm neonate: a rare case of hyperleukocytosis and clinical implications. Pediatr. Rep. 2024;16(2):432–437.
  11. Zerouati K, Ghenam A, Ouali AE, et al. Neonatal acute lymphoblastic leukemia: a case report. Open Access Library Journal. 2023;10:e10018.
  12. Subhash C, Reetika S, Sharma, Anuradha S, et al. Toxic granules in neutrophils in sepsis patients: does it really helpful? Muller J Med Sci Res. 2023;14(1):19–22.
  13. Zhang Y, Zuo Z, Yu W, et al. Unveiling the hidden clues: döhle body-like inclusions as morphological markers for myh9-related disorders: a case report. Medicine (Baltimore). 2023;102(51):e36735. 
  14. Vyver AVD, Delport EF, Esterhuizen M, et al. The correlation between C-reactive protein and toxic granulation of neutrophils in the peripheral blood. S Afr Med J. 2010;100(7):442–444.
  15. Paramanantham PA, Maharaja P. A study of peripheral blood smear in neonates. Mod Appl Bioequiv Availab. 2018;3(4):555618.
Creative Commons Attribution License

©2024 Maharjan, et al. This is an open access article distributed under the terms of the, which permits unrestricted use, distribution, and build upon your work non-commercially.