Case Report Volume 8 Issue 4
1Department of Hematopathology, Ministry of health (Dammam regional laboratory & blood banking), Saudi Arabia
1Department of Hematopathology, Ministry of health (Dammam regional laboratory & blood banking), Saudi Arabia
Correspondence: Mariam Al Ghazal, Department of hematopathology, Ministry of health (Dammam regional laboratory & blood banking), Saudi Arabia
Received: June 25, 2020 | Published: July 8, 2020
Citation: Ghazal MA, Zaher MA, Khamseen RB. Mixed Phenotype Acute Leukemia with 3 lineages differentiation & the challenge in the establishing of the diagnosis: a case report. Hematol Transfus Int J. 2020;8(3):71-73. DOI: 10.15406/htij.2020.08.00227
Mixed phenotype acute leukemia (MPAL) is a rare form of acute leukemia comprising 2% to 3% of all acute leukemia diagnoses. The diagnosis of MPAL is based on flow cytometric analysis of the immunophenotype, which demonstrates expression of differentiation-related antigens belonging to multiple lineages commonly, one lineage is myeloid and the other is B and/or T lymphoid. Whether lineage differentiation determines clinical presentation and outcomes is unclear.
Here we report a case of 37 years old man who presented with leukocytosis & found to have MPAL (mixed phenotype acute leukemia) with possible differentiation to 3 lineages as evident by flowcytometry cases with trilineage antigenic determinants are very rare.
MPAL (Mixed Phenotype Acute Leukemia) is considered one of the entities of ALAL (Acute Leukemia of Ambiguous Lineage) along with acute undifferentiated leukemia. ALAL is applied to cases in which the blasts show evidence of immunophenotypic differentiation, but express a combination of antigens such that the clear assignment to single lineage is not possible. They occur in patients of all ages, as in other cases of leukemia, the clinical symptoms in ALAL are usually manifestations’ of bone marrow failure. The White blood cell count is often high. The Diagnosis is based on comprehensive immunophenotyping & is established with flowcytometric analysis. Several large series of acute leukemia have reported a relative incidence of MPAL that ranges from less than 0.5%-8%.
Historically, there has been confusion regarding terminology & definitions of all Ambiguous Lineage Leukemias & in particular in the MPALs.
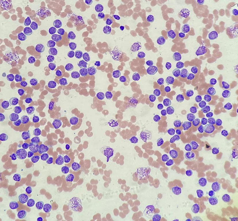
This is the case of 37 years old male who presented with leukemic blasts in his peripheral blood. CBC report showed total WBC of 330×109/L, markedly increased white blood cells (normal range is between 4.0–11.0×109/L), Hb level (Hemoglobin level) is 7.5 g/dl, moderately reduced (normal range is between 13.5-17.5g/dl), while platelets count is 29×109/L, moderately reduced (normal range is between 150-450×109/L ). Morphological examination showed heavy infiltration by around 95% leukemic blasts. Bone marrow examination, conducted later & showed Hyper cellular packed. Bone Marrow particles and trails, due to massive infiltration by monomorphic blasts, that are small to moderate in size with high N/C ratio, the nuclei are round with slightly open chromatin,1-2prominent nucleoli, slightly basophilic cytoplasm with no granules or Auer rods (Figure 1).
Immunophenotyping was done from both peripheral blood & bone marrow aspirates & showed positive antibodies for the following antigens: CD34. ,CD38,CD117, ,CD13 CD33,CD11b, HLA-DR, C-CD3 CD7, CD4 ,C-CD22, ,C-CD79a, CD19, CD58, while negative for the following :CD10, CD15,TdT, CD14, CD64, CD36, CD11c, CD56, CD16, CD2,s-CD3, CD8, TCRA/B, TCR G/D, CD5, CD1a, CD99 &CD20 (Figure 2).
The diagnosis of mixed phenotype acute leukemia’s relies on immunophenotyping. Flowcytometry is the preferred method for establishing the diagnosis, especially when a diagnosis of MPAL requires demonstrating co-expression of lymphoid & myeloid differentiation antigens on the same cell.1 Scoring system were proposed that assigned numerical values to the expression of different antigens based on the degree of lineage specificity. Although this system, first proposed by the European Group for the Immunologic Classification of Leukemia (EGIL) (Table 1), helped standardize the approach to classification, it had several limitations. For example, cytoplasmic CD79a, considered a highly specific marker for B-lineage ALL in the EGIL scoring system is also positive in a significant percentage of T-ALLs.2 The WHO proposed replacing this scoring system with a diagnostic algorithm that relied on fewer, more specific markers to define MPAL (Table 2).
|
Points |
B |
T |
Myeloid |
|
2 |
cyCD79a |
CD3 (sm m or cy) |
MPO |
|
cyCD22 |
TCR-αβ |
||
|
cyIgM |
TCR-γδ |
||
|
1 |
CD19 |
CD2 |
CD117 |
|
CD20 |
CD5 |
CD13 |
|
|
CD10 |
CD8 |
CD33 |
|
|
CD10 |
CDw65 |
||
|
0.5 |
TdT |
TdT |
CD14 |
|
CD24 |
CD27 |
CD15 |
|
|
CD1a |
CD64 |
Table 1European Group for immunological characterization of Acute Leukemias (EGIL) Algorithm of biphenotypic blasts a,b (first proposed by the European Group for the Immunologic characterizationof acute Leukemia (EGIL)
Abbreviations: cy, cytoplasmic; IgM, immunoglobulin M; MPO, myelo per oxidase; sm, surfcae mebrane; TCR, T-cell receptor; TdT, terminal deoxynucleotidyltransferase
a Biphenotypic leukemia is diagnosed when scores are greater than 2 in 2 lineage columns
bData derived from Bene et al5
|
Lineage |
Markers |
|
Myeloid |
MPO (Flow cytometry, immunohistochemistry, or enzyme cytochemistry) |
|
-OR- |
|
|
Monocytic differentiation ( at least 2 of the following: NSE cytochemistry, CD11c, CD14, CD64, lysozyme) |
|
|
T Lineage |
Sytrongb Cytoplasmic CD3 |
|
-OR- |
|
|
Surface CD3 |
|
|
B Lineage |
SytrongbCD19 with at least 1 of the following strongly expressed: CD79a, cytoplasmic CD22, or CD10 |
|
-OR- |
|
|
weakCD19 with at least 2 of the following strongly expressed: CD79a, cytoplasmic CD22, or CD10 |
Table 2 World Health Organization 2008/2016 Criteria for Mixed-phenotype blastsa. (Requirements for lineage assignment of a single blast population in mixed phenotype acute leukemia (MPAL))
Abbreviations: MPO, myelo per oxidase; NSE, nonspecific esterase
a Data delivered from Borowitz et al.6 and Arber et al7
b Strong=at least as intense as in normal B or T cells
The diagnosis of MPAL should be reserved for patients who have de novo acute leukemia. The prognosis for patients with MPAL as a group appears to be unfavorable & is largely independent on morphology & immunophenotype. In multivariate analyses, clinical outcome most strongly correlates with the patient age & cytogenetic analysis. The genetic aberrations that drive mixed phenotype acute leukemia (MPAL) remain largely unknown, with the exception of a small subset of MPALs harboring BCR- ABL1 and MLL translocations.3
There are no standard treatment protocols for MPAL. Patients are often treated with a combination of drugs that are effective for both lymphoid and myeloid leukemia. Although several studies have found that AML therapy alone is associated with a lower rate of response than ALL therapy. There are also reports in which patients who received AML therapy showed persistence of a lymphoid component & vice versa.
When analyzing our case, from morphological point of view the blasts are single population of blasts with uniform morphology .The cytoplasm have no granules & no features of differentiation, so we basically have immature blasts morphology, which did not give us any clue regarding the differentiation. The immunophenotype show positive C-CD3, CD4& CD7 defining T-cell lineage beside dim positive expression of the following: CD19, C-CD79a & C-CD22 possibly defining B-lymphoid differentiation despite displaying dim expression along with positivity for: CD13, CD33, CD117& CD11b defining myeloid differentiation despite MPO negativity.
Initial diagnostic challenge was whether it is rare Trilineage Mixed Phenotype Acute Leukemia or possible ETP: ALL (early T-cells precursor acute lymphoid leukemia). In some cases, definitive distinction between AML & ETP-ALL is difficult, in our case we have had 3 positive B-cells antigens(all are showing dim expression). So we couldn’t diagnose it as ETP: ALL although it is well known entity for positive expression of CD13, CD33 & CD117 such as in our case. The second difficulty is whether the expression of 3 dim B-cells antigens represent genuine B-cell differentiation or it was only an aberrancies. As stated from the recent WHO is that in case you get weak CD19 expression, you will need at least two strong expression of the following :C- CD79a,PAX5, C-CD22, CD10, but since ETP: ALL (early T-cells precursor acute lymphoid leukemia) don’t have aberrancies of B-cells antigens (this possibility was excluded). The same issue was applied with absent MPO expression as MPO positivity is required to define myeloid lineage according to recent 2016 WHO criteria of MPAL diagnosis (Table 2), but since the following markers CD13, CD33 & CD117 were positive, we considered it as adequate markers for myeloid differentiation . if we consider positive myeloid markers as an aberrancies in case of early T-ALL, we shouldn’t have on top of that an aberrancies of the 3 B-cells markers. So it was agreed to consider this case as Mixed Phenotype Leukemia (MPAL) with 3 lineages differentiation .Unfortunately since the patient was not eligible, we lost contact with him as he returned to his country for treatment.
In summary, Mixed Phenotype Acute Leukemias (MPAL) are uncommon & frequently demonstrate an aggressive behavior. We are reporting this case as Trilineage Acute Leukemia cases are reported rarely in the literature to highlight the importance of the diagnosis as it requires comprehensive & careful flow-cytometric evaluation as well as cytogenetic testing which will allow appropriate classification & optimal management of these patients.
The diagnosis of Acute Leukemia will be delayed if the phenotype is not straightforward, so as pathologist you should always have the knowledge of lineage specific & lineage associated antigens to be able to make proper diagnosis for proper treatment & monitoring of the patients.
None.
The author reports no conflicts of interest in this work.
©2020 Ghazal, et al. This is an open access article distributed under the terms of the, which permits unrestricted use, distribution, and build upon your work non-commercially.