Submit manuscript...
eISSN: 2469-2778

Hematology & Transfusion International Journal

Case Report Volume 10 Issue 2

Presentation of multiple myeloma with absolute lymphocytosis? Coexistence of CLL & multiple myeloma

Noorulain Fareed,1 Noor Muhammad Somroo,2 Ghulam Fatima2

1Department of Oncology, Dr. Ruth K. M. Pfau, Civil Hospital Karachi, Pakistan
2Department of Haematology, CHK Laboratory, Dr. Ruth K. M. Pfau, Civil Hospital Karachi, Pakistan

Correspondence: Noorulain Fareed, Oncology Department, Dr. Ruth K. M. Pfau, Civil Hospital Karachi, Pakistan

Received: February 15, 2022 | Published: May 2, 2022

Citation: Fareed N, Somroo NM, Fatima G. Presentation of multiple myeloma with absolute lymphocytosis? Coexistence of CLL & multiple myeloma. Hematol Transfus Int J. 2022;10(2):30-31. DOI: 10.15406/htij.2022.10.00277

Download PDF

Abstract

The presence of a chronic lymphocytic leukemia and multiple myeloma in a single patient is very rare. Multiple myeloma is a plasma cell disorder, whereas CLL (Chronic Lymphocytic Leukemia) is the mature B-cell lymphocytes disorder. We described a 50 year-old man who presented with fatigue and lethargy of 1 month duration. He was found to be anemic, with lymphocytosis, decreased renal function, high calcium level, and conspicuous M-Spike on serum electrophoresis. Furthermore, peripheral smear & bone marrow biopsy demonstrated two distinct hematological malignancies on morphological basis.

Keywords: chronic lymphocytic leukemia, coexistent, multiple myeloma

Introduction

The presence of chronic lymphocytic leukemia and multiple myeloma in a single patient is very rare. Fermand et al.1 showed that these disorders came from the same clone by the identification of Ig idiotypes.

CLL is the most commonly diagnose in older age group, usually in the seventh decade of life. There is a male predominance. The clinical course is asymptomatic in most patients. Multiple myeloma is a plasma cell malignancy which affects the mature B-cell lymphocytes.

Case description

A 50-year-old male patient was admitted to hospital with low hemoglobin and increased lymphocyte count on complete blood counts. Physical examination findings include pallor, mild splenomegaly and lymphadenopathy. Complete blood counts revealed hemoglobin: 8.7g/dl. MCV:85 fl, MCH: 26.3pg, WBCs: 57.3 x10^3/µl, Neutrophil:17%, Lymphocyte:62%, Eosinophil:14%, Platelet: 219. Previous report showed hypercalcemia. Oncologist suspecting a case of lymphoma and advised patient to do bone marrow biopsy and immunohistochemistry.

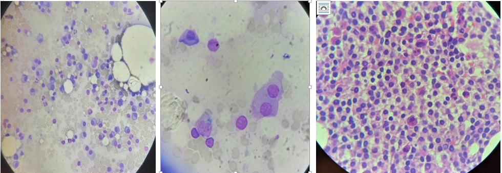
Peripheral smear showed mature looking lymphocytes and Eosinophilia (Figure 1). Bone marrow aspirate smear showed prominent plasma cells (Figure 2). Bone marrow trephine showed >80% plasma cell infiltration.

Figure 1 Lymphocytosis and eosinophilia on peripheral smear.

Figure 2 Plasma cells on bone marrow aspirate and trephine biopsy.

Bone marrow smear showed increased of plasma cells showing plasma cell infiltration with

CD38, CD138 & Kappa stain (Figure 35).

Figure 3 CD38 (Strong positive).

Figure 4 CD138 (Strong positive).

Figure 5 Kappa (Positive in plasma cells).

Discussion

 Multiple myeloma and chronic lymphocytic leukaemia both arise from B cell, most common in older adult population.1 Both diseases are malignant in nature but, the simultaneously occurrence of Multiple myeloma and Chronic lymphocytic leukaemia in one patient is rare.

Several questions have been raised in such cases as whether the B-cell chronic lymphocytic leukemia and multiple myeloma arise as a single clone or two separate clones presenting concomitantly previous studies have used various modalities, either FISH2–5 or immunoglobulin gene rearrangement analysis6–8 to investigate into this. Fermand et al.1 study by using the cells of a patient who, similar to our patient findings, was diagnosed chronic lymphocytic leukaemia initially, but after 10 years he diagnosed as a case of Multiple myeloma. Our patient smear showing mature lymphocytes, but marrow aspirate showed 80% plasma cells, which is an unusual presentation of Multiple myeloma. We need extensive workup for our patient to exclude the possibility of chronic lymphocytic leukaemia by doing flow cytometry on peripheral blood. Also need to order the cytogenetic analysis to see the any abnormal translocation which is associated with both these disorder. This will helps to reach to conclusive diagnosis. Both cell types differentiate from the same multipotent stem cells, the physician/oncologist should evaluate these patients carefully not to misdiagnosed such patients.

Conclusion

In our case report, our patients have the clinical and laboratory features of chronic lymphocytic leukaemia and multiple myeloma. Physician and Hematologist should be aware about these rare cases of simultaneously of these two B cell malignancies, if the significant clinical and laboratory findings are positive. We should do the complete workup of multiple myeloma such as immunofixation and skeletal survey. We need further investigations such as flow cytometry to see the clonality of these peripheral lymphocytes. Also we need cytogenetic/molecular genetics analysis for the prognosis of this case.

Acknowledgments

None.

Conflicts of interest

The authors declare no conflicts of interest.

References

  1. Fermand JP, James JM, Herait P. Associated chronic lymphocytic leukemia and multiple myeloma: origin from a single clone. Blood. 1985;66(2):291–293.
  2. Kaufmann H, Ackermann J, No¨sslinger T, et al. Absence of clonal chromosomal relationship between concomitant B-CLL and multiple myeloma–a report on two cases. Ann Hematol. 2001;80(8):474–478.
  3. Molina TJ, Lin P, Swerdlow SH, et al. Marginal zone lymphomas with plasmacytic differentiation and related disorders. Am J Clin Pathol. 2011;136(2):211–225.
  4. Srinivasan S, Schiffer CA. Concurrent B-cell chronic lymphocytic leukemia and multiple myeloma treated successfully with lenalidomide. Leuk Res. 2009;33(4):561–564.
  5. Chang H, Wechalekar A, Li L, et al. Molecular cytogenetic abnormalities in patients with concurrent chronic lymphocytic leukemia and multiple myeloma shown by interphase fluorescence in situ hybridization evidence of distinct clonal origin. Cancer Genet Cytogenet. 2004;148(1):44–48.
  6. Patriarca F, Gaidano G, Capello D, et al. Occurrence of multiple myeloma after fludarabine treatment of a chronic Lymphocytic leukemia: evidence of a biclonal derivation and clinical response to autologous stem cell transplantation. Haematologica. 2000;85(9):982–985.
  7.  Saltman DL, Ross JA, Banks RE, et al. Molecular evidence for a single clonal origin in biphenotypic concomitant chronic lymphocytic leukemia and multiple myeloma. Blood. 1989;74(6):2062–2065.
  8. Novak PM, Mattson JC, Crisan D, et al. Separate clones in concomitant multiple myeloma and a second B-cell neoplasm demonstrated by molecular and immunophenotypic analysis. Eur J Haematol. 1995;54(4):254–261.
Creative Commons Attribution License

©2022 Fareed, et al. This is an open access article distributed under the terms of the, which permits unrestricted use, distribution, and build upon your work non-commercially.