Submit manuscript...
eISSN: 2469-2778

Hematology & Transfusion International Journal

Case Report Volume 10 Issue 3

Successful eradication of rituximab-refractory EBV-related post- transplant lymphoproliferative disorder after second haplo-identical allogeneic hematopoietic stem cell transplantation for very severe aplastic anemia – a case report

Tran-Der Tan

Director of Hematopoietic Stem Cell Transplantation, Multidisciplinary Team and Deputy Chief of Hematology and Medical Oncology, Koo Foundation Sun Yat-Sen Cancer Center, Taipei, Taiwan

Correspondence: Tran-Der Tan, Director of Hematopoietic Stem Cell Transplantation, Multidisciplinary Team and Deputy Chief of Hematology and Medical Oncology, Koo Foundation Sun Yat-Sen Cancer Center, Taipei, Taiwan

Received: August 19, 2022 | Published: August 25, 2022

Citation: Tran-Der T. Successful eradication of rituximab-refractory EBV-related post- transplant lymphoproliferative disorder after second haplo-identical allogeneic hematopoietic stem cell transplantation for very severe aplastic anemia – a case report. Hematol Transfus Int. 2022;10(3):73-76. DOI: 10.15406/htij.2022.10.00284

Download PDF

Abstract

EBV-related post-transplant lymphoproliferative disorder (PTLD) is a potentially fatal disorder arising after solid organ or hematopoietic stem cell transplant (HSCT). The principle of management includes reduction of immune suppression, rituximab, and chemotherapy. We presented a female patient of very severe aplastic anemia (VSAA) complicated with initial graft dysfunction and then graft failure 2 months after haplo-identical allogeneic HSCT, with no response to salvage cyclosporine plus eltrombopag. EBV-related PTLD occurred 6 months after first haplo-transplant as shown by high EBV PCR. The patient initially responded to 6 shots of weekly rituximab, and then progression to ultrahigh level of EBV DNAemia was observed with the presence of intra-hepatic PTLD that was refractory to rituximab. This patient subsequently underwent second haplo-identical allogeneic transplant from the same donor with megadose of stem cell number plus alkylating agent containing RIC regimen. The results were successful hematopoietic engraftment on day +15, clearance of EBV DNAemia in one month, and thereafter eradication of intra-hepatic EBV-PTLD. In conclusion, EBV-related PTLD refractory to rituximab alone is still sensitive to rituximab plus chemotherapy preparative regimen during subsequent allogeneic HSCT, and it is still feasible to perform allo-transplant for transplant-eligible patients despite the presence of rituximab-refractory EBV DNAemia and PTLD.

Key words: EBV-related post-transplant lymphoproliferative disorder (EBV-related PTLD), rituximab-refractory, aplastic anemia, haplo-identical allogeneic hematopoietic stem cell transplant, rituximab refractory EBV reactivation and active EBV-related PTLD are relative contraindications for allo-transplant, however, chemo-immunotherapy during conditioning is still feasible to eradicate EBV reactivation or even PTLD

Case presentation

A 29-year-old kindergarten teacher, a patient of very severe aplastic anemia in the presentation of dizziness and fatigue in Oct 2019, was found to have pancytopenia with hemoglobin dropped from 6.2 to 4.3 gm/dl, platelet 27,000 /ul and WBC 3,300/ul with less than 1% of bone marrow hematopoietic tissue. Her peripheral blood absolute neutrophil count dropped to below 500/ul in Jan 2020 and below 200/ul in Feb 2020. The patient underwent transfusion with two units of packed cell monthly in Dec 2019 and then every 2 to 3 weeks, and platelet weekly since Jan 2020. She underwent haplo-identical allogeneic HSCT from her younger brother who was HLA matched in 7 out of 10 loci on Apr 15, 2020, with conditioning regimen1 including rabbit anti-thymocyte globulin 0.5 mg/kg on day -9 and 2 mg/kg on days -8 and -7. Fludarabine was administered 30 mg/m2 intravenously daily for 5 days from day -6 to day -2, cyclophosphamide was given 14.5 mg/kg intravenously daily for 2 days from day -6 to day -5, and total body irradiation was delivered in a single dose of 2 Gy on day -1. The peripheral blood hematopoietic stem cell with 8 x 10e6/kg of CD34+ cell was infused on day 0. PTCY was administered at 50 mg/kg/day intravenously on days +3 and +4 after transplantation. Granulocyte colony-stimulating factor was given subcutaneously starting on days +5 at 5 mcg/kg/day until the absolute neutrophil count was greater than 1.5 x 10e3/ul for 3 days. Cyclosporine was given from day 5 through day 180 and mycophenolate mofetil from day 5 through 35. Pre-transplant screening of donor-specific antibodies were negative.

After haplo-transplant, the patient got neutrophil engrafted on +23 day. However, neutrophil dropped to below 1,000/ul once GCSF was discontinued, and intermittent use of GCSF thereafter was aimed at trating poor graft function. Until 2 months after transplant, the patient could not maintain absolute neutrophil count above 500/ul even under daily GCSF and the administration of twice donor lymphocyte infusion (DLI). Pancytopenia then occurred due to graft failure. Thereafter, we tried combined cyclosporine and eltrombopag treatment between June and December in 2020, but no response was observed.

Peripheral blood mononuclear cell EBV PCR elevating from 23,709 to 68,100 IU/ug of genomic DNA occurred 6 months after first transplant. The patient initially responded to four weekly doses of rituximab 375 mg/m2, but elevated EBV PCR recurred in 2 weeks after rituximab was discontinued. There was still response after rituximab was resumed; however, there was no more response to the subsequent rituximab treatment 2 months later, and both plasma and PBMN cell EBV PCR elevated to 235,767 IU/ml and 218,411 IU/ug of genomic DNA, respectively, before second haplo-transplant. At the same time, we found there were scattered intrahepatic nodules, which proved to be EBV-related PTLD after liver biopsy performed.

Therefore, we performed the second haplo-identical allogeneic hematopoietic stem cell transplantation from the same donor with reduced intensity condition, but alkylating agent melphalan was added with fludarabine plus TBI 2 Gy (FluMel + TBI 2 Gy) conditioning regimen plus high dose rituximab 1000 mg between Jan 19 and Jan 25, 2021. Haplo-stem cell infusion was performed with CD34+ cell 16 x 10e6/kg on Jan 26, 2021 followed by administration of post-transplant high dose cyclophosphamide 35 mg/kg on day +3 and +4. Neutrophil and platelet were engrafted on +14 and +17 days, respectively.

Plasma and peripheral blood mononuclear cell EBV were dropped dramatically from 235,767 IU/ml and 218,411 IU/ug on day -1 to 1,177 IU/ml and 1,747 IU/ug, respectively, on day +6 and then declined gradually until they were undetected on day +34 (figure 1). Prior “intrahepatic PTLD nodules” biopsy performed on +20 days showed total necrotic tissues except one cell stained positive for EBV, indicating the prior intrahepatic PTLD became necrotic and resolved in the subsequent months (Figure 2). At the time of report in July 2022, the patient got well and is living with persisted PTLD-free conditions in liver and undetected EBV PCR in plasma and PBMN cell as well.

Figure 1 EBV in plasma and PBNC level (IU/ml and IU/ug of genomic DNA, respectively). First haplo-identical allogeneic hematopoietic stem cell transplantation performed on Apr 15, 2020 and second haplo-identical HSCT on Jan 26, 2021.

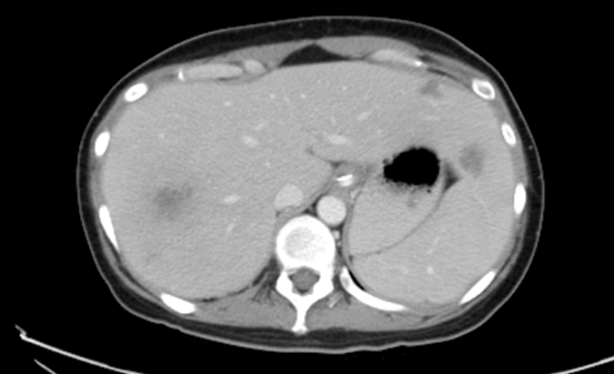
Figure 2A Intrahepatic infiltrative lesions 4 weeks before second haplo-transplant.
2020/12/28

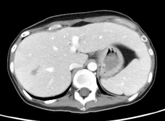
Figure 2B Intrahepatic infiltrative lesions 3 weeks after second haplo-transplant.
2021/02/15

Figure 2C Intrahepatic infiltrative lesions seen in 7 months after second haplo-transplant.
2021/08/23

Discussion

Treatment of severe or very severe aplastic anemia includes allogeneic hematopoietic stem cell transplantation (HSCT) and immune suppression therapy (IST). For patients older than 50 years of age, IST, especially triple therapy (ATG, cyclosporine, and eltrombopag), may be a preferred option due to increased transplant-related morbidity and mortality in this age group. However, even higher response rate achieved in triple therapy -- most of them partial rather than complete response -- and disease relapse, clonal evolution, and evolution to myeloid malignancy are a matter of concern.2

For those younger than 50 years of age and transplant-eligible, allogeneic hematopoietic stem cell transplantation is also an option in the event of IST failure. Since there was no definitive comparison of outcome between frontline and salvage allo-transplant, allogeneic hematopoietic stem cell transplantation would be a preferred choice. We make this recommendation because of the long-termpersistent risk of disease relapse, secondary myelodysplastic syndrome, and acute myeloid leukemia with the use of nontransplant IST for patients with aplastic anemia.3

However, transplant-related morbidity and mortality and post-transplant acute and chronic graft versus host disease (GVHD) would be sources of concern as well. On account of allo-HSCT, if a patient cannot reach a matched related or matched unrelated donor. We have to choose an alternative donor e.g. mismatched unrelated or haplo-identical transplant. Meanwhile, if a severe or very severe aplastic anemia patient does not have matched or has one locus mismatched related donor, a haplo-identical donor may be a better choice since there would be far longer time to reach matched unrelated donors.

In this patient, we chose allogeneic hematopoietic stem cell from a haplo-identical donor (3-loci mismatched) as frontline treatment because the patient was relatively young and had no matched unrelated donor. Preparative regimen was according to Johns Hopkins protocol (ATG-FluCy + TBI 2 Gy) which was effective either in frontline4 or salvage transplant setting.1 However, poor graft function was found one month after haplo-transplant, and then graft failure occurred in this patient 2 months later. According to that series, there was a 11% of graft failure rate, with one in 20 in salvage transplant setting and 3 in 17 in frontline setting suffering relapsed SAA; two patients passing away in 4 and 8 months, respectively. In their limited number of patients experience, overcoming graft rejection seemed possible by escalation of TBI dose from 2 Gy to 4 Gy. There was no specific preferred treatment option after graft failure, and second haplo-transplant was still the only curable treatment. We had tried combined cyclosporine and eltrombopag5 after graft failure, although results derived from the limited experience have shown a response rate of up to 55%.6,7 Thereafter, we decided to perform the second haplo-transplant from the same donor with megadose of stem cell (16 x 10e6/kg) and alkylating agent containing preparative regimen (FluMel + TBI 2Gy) to overcome graft rejection in this patient. It worked with neutrophil engrafted on +14 days and the situation continued until beyond 18 months after second haplo-transplant.

EBV-related PTLD is a potentially fatal disorder arising after solid organ transplant or HSCT.8 In the post-HSCT setting, especially for high-risk population of patients, e.g. T cell depletion of graft (including ATG use), HLA mismatch, and severe GVHD, EBV PCR should be monitored periodically after hematopoietic engraftment (e.g. weekly to every 2 weeks after engraftment until 100 days after transplant). The principle of management includes reduction of immune suppression followed by rituximab, and pre-emptive therapy is justified in allogeneic HSCT setting. Chemotherapy such as CHOP or CHOP-like regimen is viable as the treatment of large B cell lymphoma but is usually too toxic for post-allotransplant patients. Adoptive immunotherapy is a very promising therapeutic modality, both in pre-emptive setting and as treatment of established EBV-positive PTLD. However, the use is still restricted because of labor-intensive procedure, reimbursement issues, and availability issues9 Rituximab- based pre-emptive treatment can prevent EBV-DNAemia from developing into EBV-PTLDs. The current treatment strategies for probable and proven EBV-PTLDs include immunosuppressants withdrawal, rituximab, adoptive cell therapy (DLI or EBV-CTLs), chemotherapy, radiotherapy and surgery, among which rituximab plus/minus chemotherapy and immunosuppressants withdrawal are the mainstay.10

In our patient complicated with EBV DNAemia 6 months after first haplo-transplant, she responded to rituximab initially until 3 months later as EBV DNAemia persisted and then progressed to DNAemia refractory to rituximab. She subsequently had intrahepatic PTLD. For her, it is very difficult to give chemotherapy -- because of pancytopenia -- until preparative chemotherapy regimen (fludarabine and melphalan) and high dose rituximab in second haplo-transplant. Her EBV DNAemia then dramatically dropped to below 0.5% on post-transplant +6 days and then declined gradually until undetected on +34 days and beyond 18 months. Besides, intra-hepatic tumor, which resulted from EBV-related PTLD, turned out to be necrotic 4 weeks after transplant and was resolved thereafter.

What is the reason of the successful eradication of EBV DNAemia and intrahepatic PTLD in this patient? I think there were three main factors: one was the resumption of high-dose rituximab in addition to preparative chemotherapy regimen; the second was allogeneic donor lymphocytes containing peripheral blood hematopoietic stem cell infusion, which was composed of cytotoxic or even EBV-directed T cells against EBV; and the third was hematopoietic reconstitution in time and immune reconstitution.

With rituximab administered as a single agent at a dose of 375 mg/m2 of body surface area weekly for 4 weeks, the overall response rates after reduced immunosuppression and rituximab therapy are 44 to 79%, with complete remission rates of 20 to 55%11

Immuno-chemotherapy is indicated in patients with B-cell PTLD who have not had a response to reduced immunosuppression and rituximab administered as a single agent.11 When our patient underwent second haplo-identical allogeneic HSCT, we gave her high-dose rituximab 1000 mg in one shot plus fludarabine 150 mg/m2 plus melphalan 120 mg/m2, and post-transplant high-dose cyclophosphamide in reduced dose with 35 mg/kg/d on +3 and +4 days. All three chemotherapy treatment were effective for B cell lymphoma and there was the additive effect of high-dose rituximab, which could help explain why the EBV-PCR dropped to less than 0.5% in one week.

Besides, in the hematopoietic stem cell infusion there were mega-doses of stem cell, 16 millions/kg of body weight of patient. The donor had EBV-specific antibody, and we think there were large amounts of EBV-specific cytotoxic lymphocytes infused as well. EBV-specific cytotoxic lymphocytes (CTLs) are capable of inducing a strong EBV-specific cellular immune response.12 A strategy of adoptive immunotherapy, using donor lymphocyte infusion, was first described for the treatment of PTLD after allogeneic HSCT which generally arises from donor cells, unlike PTLD in recipients of solid-organ transplant. However, the administration of donor lymphocyte infusion was associated with a high risk of graft-versus-host disease.13 In the past decade, expanded EBV-specific CTLs have been infused as part of prophylactic, preemptive, and therapeutic strategies with autologous CTLs (in the case of recipient-derived PTLD) and allogeneic CTLs (isolated from the donor or from a bank of partially HLA-matched doors)14 However, the latter procedures are labor-intensive and unavailable at our institute.

Finally, this patient achieved neutrophil and platelet engraftment on post-transplant +14 and +17 days, respectively. In the experience of our institute, the timing of neutrophil engrafted in haplo-identical HSCT is usually between +19 and +22 days with stem cell count below 10 millions/kg of body weight of patient, but for higher than 10 millions/kg stem cell dose the engrafted time could be earlier before +15 days.15 Later on, the early recovery of NK cell and then T cell as immune reconstitution could play a role in the treatment and eradication of EBV.

In conclusion, EBV-related post-transplant lymphoproliferative disorder refractory to rituximab alone is still sensitive to rituximab plus chemotherapy containing preparative regimen during subsequent allogeneic hematopoietic stem cell transplantation, and the coming donor derived CD3 lymphocytes and post-transplant immune reconstitution may have functions against EBV. That said, it is still feasible to perform allogeneic transplantation for transplant-eligible patients with rituximab- refractory EBV DNAemia and the presence of PTLD.

Acknowledgments

We acknowledge all our nursing staff and nursing practitioners at our hospital.

Ethics approval and consent to participate

This study is a standard treatment option with no ethical issues involved.

Consent for publication

This is the first time for publication; this report has been presented at a Taiwan Society of Hematology meeting previously.

Availability of data and materials

All the data and materials are from standard treatment option at our hospital.

Competing interests

No competing interests.

Authors' contributions

I, Dr Tan, Tran-Der, am in charge of taking full care of this patient and still perform regular follow-ups at the time of submission of this paper.

Funding

No funding related to this study.

References

  1. Dezern AE, Zahurak M, Symons H, et al. Alternative donor transplantation with high-dose post-transplantation cyclophosphamide for refractory severe aplastic anemia. Biol Blood Marrow Transplant. 2017;23(3):498–504.
  2. Townsley DM, Scheinberg P, Winkler T, et al. Eltrombopag added to standard immunosuppression for aplastic anemia. N Engl J Med. 2017;376(16):1540–1550. 
  3. Georges GE, Doney K, Storb R. Severe aplastic anemia: allogeneic bone marrow transplantation as first-line treatment. Blood Advances. 2018;2(15):2020–2028.
  4. Dezern A, Aahurak ML, Symons HJ, et al. Haploidentical BMT for severe aplastic anemia with intensive GVHD prophylaxis including posttransplant cyclophosphamide. Blood Advances. 2020;4(8):1770–1779.
  5. Scheinberg P. Activity of eltrombopag in severe aplastic anemia. Blood Advances. 2018;2(21):3054–3062.
  6. Marotta S, Marano L, Ricci P, et al. Eltrombopag for post-transplant cytopenias due to poor graft function. Bone Marrow Transplantation. 2019;54:1346–1353.
  7. Halahleh K, Gale RP, Da’na W, et al. Therapy of posttransplant poor graft function with eltrombopag. Bone Marrow Transplantation. 2021;56:4–6.
  8. Dierickx D, Tousseyn T, Gheysens O. How I treat posttransplant lymphoproliferative disorders. Blood. 2005;126(20):2274–2283.
  9. Dierickx D and Vergote V. Management of post-transplant lymphoproliferative disorders. HemaSphere Education Update in Hemtology Book. 2019;3(S2):74–77.
  10. Liu L, Zhang X, Feng S. Epstein-Barr virus-related post-transplantation lymphoproliferative disorders after allogeneic hematopoietic stem cell transplantation. Biol Blood Marrow Transplant. 2018;24:1341–1349.
  11. Trapper RU, dierickx D, Zimmermann H, et al. Response to rituximab induction is a predictive marker in B-cell post-transplant lymphoproliferative disorder and allows successful stratification into rituximab or R-CHOP consolidation in an international, prospective, multicenter phase II trial. J Clin Oncol. 2017;35:536–543.
  12. Thorley LDA, Gross A, Persistence of the Epstein-Barr virus and the origins of associated lymphomas. N Engl J Med. 2004;350:1328–37.
  13. Papadopoulos EB, Ladanyi M, Emanuel D, et al. Infusions of donor leukocytes to trat Epstein-Barr virus-associated lymphoproliferative disorders after allogeneic bone marrow transplantation. N Engl J Med. 1994;330:1185–91.
  14. Merlo A, Turrini R, Dolcetti R, et al. The interplay between Epstein-Barr virus and the immune system: a rationale for adoptive cell therapy of EBV-related disorders. Haematologica. 2010;95:1769–77.
  15. Chiou LW, Tan TD. Higher stem cell doses could achieve earlier engraftment of hematopoiesis in haplo-identical allogeneic hematopoietic stem cell transplantation. Annual Meeting of Hematology Society of Taiwan and Taiwan Society of Blood and Marrow Transplantation. 2021.
Creative Commons Attribution License

©2022 Tran-Der. This is an open access article distributed under the terms of the, which permits unrestricted use, distribution, and build upon your work non-commercially.