Submit manuscript...
eISSN: 2469-2778

Hematology & Transfusion International Journal

Case Report Volume 6 Issue 1

Thromboembolism in Lower Extremity Arteries as the Initial Symptom of Acute Leukemia: A Case Report and Review of Literature

Yongqing Jia, Huixian Hu, Bin Wei

Department of Haematology, Jinhua Hospital of Zhejiang University, China

Correspondence: Yongqing Jia, Department of Haematology, Jinhua Hospital of Zhejiang University, Jinhua city, ZheJiang province, China

Received: June 01, 2017 | Published: January 12, 2018

Citation: Jia Y, Hu H, Wei B. Thromboembolism in lower extremity arteries as the initial symptom of acute leukemia: a case report and review of literature. Hematol Transfus Int J. 2018;6(1):1-3. DOI: 10.15406/htij.2018.06.00141

Download PDF

Abstract

Objective Summarized clinical characteristics of aortic thrombosis in patients with leukemia. Method Analysis of a case with aortic thrombosis as the first clinical features, treatment and prognosis of leukemia. Results recommend active anticoagulant therapy in combination with induction chemotherapy in patients with leukemia complicated by thrombosis. This approach would prevent recurrence of thrombosis while treating the underlying leukemia, resulting in improved patient outcomes.

Keywords: leukemia, thrombosis, dorsalis pedis, d-dimer, nadroparin

Abbreviations

3-D CT, three-dimensional computed tomography; WBC, white blood cell; BRT, blood routine test; PT, prothrombin time; TT, thrombin time; APTT, activated partial thromboplastin time; FISH, fluorescence in situ hybridization; AML, acute myeloid leukemia

Introduction

Disorders of the coagulation system are intensively traced in patients with acute leukemia, who usually are plagued by hemorrhagic complications or thrombosis of small vessels. It has been reported that, in leukemia patients, the incidence of bleeding ranges from 20% to 95%1 and that of thrombosis ranges from 10% to 40%.2 Acute leukemia may come in hand in hand with thrombosis; Thrombosis usually occurs at the early stage of leukemia and after chemotherapy or infection, especially in acute leukemia with extremely high leukocyte counts, chronic leukemia, or chronic leukemia with acute changes. Thrombosis in leukemia is often seen in veins but rarely in arteries. Leukemia with thrombosis in large arteries as the initial symptoms is especially rare. Here we report such a case.

Case report

A 66-year-old male was admitted to hospital for pain and numbness of the left foot. On the day of admission, physical examination revealed decreased skin temperature below the left knee and cyanosis of the left toes. The left femoral and dorsalis pedis artery pulses were impalpable. An emergency three-dimensional computed tomography (3-D CT) reconstruction of the lower extremity vessels showed thrombosis in the left common, internal and external iliac arteries (Figure 1). A blood routine test (BRT) revealed white blood cell (WBC)count 6900/µL, hemoglobin (Hb) 127 g/L, and platelet (PLT) 18 × 109/L. Coagulation tests showed prothrombin time (PT) 14.7 s, activated partial thromboplastin time (APTT) 33.9 s, thrombin time (TT) 22.7 s, and D-dimer concentration 3200 μg/L.

Figure 1 3-D CT

On the afternoon of 29 September, Fogarty ballon catheter thrombectomy was made in the left iliac artery and Nadroparin Calcium was used for anticoagulant therapy. On the same day, blood routine test (BRT) showed WBC 16.6 × 109/L, Hb 115 g/L, and PLT 15 × 109/L. Blood coagulation tests showed PT 16.1 s, APTT 45.8 s, indefinite TT, and D-dimer 3780 μg/L. Postoperatively his left leg pain was relieved and skin temperature and arterial pulse restored.

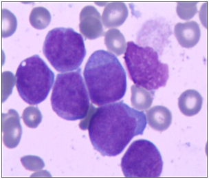
The next day, immature cells were found in the peripheral blood. A bone marrow smear (Figure 2) showed 58% myeloblasts and 35% promyelocytes, bone marrow blasts by the Flow cytometry(BD FACSCALIBUR) analysis revealed positive for myeloid markers CD13 and CD33,negative for myeloid markers CD14, negative for lymphoid markers CD3, CD4, CD5, CD8, CD10, andCD19, Fluorescence in situ hybridization (FISH)of Chromosomal analyses showed a normal karyotype 46, XY. The polymerase chain reaction (ProFlex 3 x 32 well PCR System) for the BCR/ABL, PML/RARa, AML1-ETO, or MLL rearrangement was negative. Confirming the diagnosis of acute myeloid leukemia (AML) FAB M2.

Figure 2 Bone marrow aspirate.

On 7 October, the patient was started on induction chemotherapy for AML with idarubicin (12 mg/m2 per day× 3 days) and cytosine arabinoside (100 mg/m2 per day × 7 days). In the meantime, anticoagulation therapy with heparin and alprostadil was ceased. However, on 8 October, the patient’s condition deteriorated with development of severe left leg pain, swelling, cyanosis, and low skin temperature below the knee, and impalpable left femoral and dorsalis pedis artery pulses. Ultrasonography showed Thromboembolism occurred in the left anterior tibial artery. On 9 October, a secondary thrombolysis was performed through the right femoral artery using digital subtraction angiography. Intraoperatively, extensive arterial thrombosis was seen distal to the left iliac artery. On the same day, BRT showed WBC 128 × 109/L, Hb 87 g/L, and PLT 29 × 109/L. Blood coagulation tests showed PT 29.7 s, APTT 46.2 s, TT 22.7 s, and fibrinogen 1.8 g/L. On October 10, the patient suddenly began to vomit, lost consciousness and stopped breathing. His family gave up to rescue and the patient died.

Discussion

Patients with acute leukemia may present with thrombosis of vessels, large arterial thrombosis is a rarely-seen complication. De Stefano et al.3 reported that there were 6.3% people caught by thrombosis, 80% by venous thrombosis, and 20% by with arterial.3 As far as we know, only nine cases of acute leukemia that presents to be acute lower limb ischemia caused by large artery occlusion have been traced in English literatures.4 They include two cases in ALL, four cases in APL, and three cases in non-M3 AML patients. It is still unclear now about the mechanisms of leukemia complicated with thrombosis. Traditional views are based on Virchow’s triad, i.e. slowed blood flow, impaired vessel integrity and altered blood components.5,6 New observations suggest that even more pro-thrombotic factors may potentiate thromboembolic occurrence in leukemic patients.7 After we reviewed literature, there are several possible mechanisms:

  1. Leukemia cells contain very potent coagulants. In APL patients, Breccia et al.8 discovered some close correlation between certain biological features of leukemic cells and the development of thrombosis. The promyelocytes contain azurophilic granules, which contain large amounts of proteolytic enzymes. These enzymes are released into the blood stream after the leukemia cells are broken, thus directly activating the factor X, leading to the hypercoagulable state and thrombosis.
  2. Platelet can be activated by leukemia disease, infection, and medication, also resulting in the hypercoagulable state and thrombosis.
  3. Abnormal coagulation factor levels such as increased levels of plasma fibrinogen, factor VIII, and factor V has been found in leukemia patients complicated with thrombosis by Priest et al. in 1982.
  4. Decreased levels of anticoagulant proteins such as anti-thrombin III and protein C can be found in many leukemia patients.9 In ALL patients, it is demonstrated that coagulation inhibitors, i.e., anti-thrombin, protein C and proteins S were quantitatively reduced by a large margin during asparaginase therapy.10,11
  5. Leukemia cells can damage the vascular endothelial cells, resulting in activation of factor XII, release of the endothelial cell cytokines, platelet activation, and finally blood clotting and thrombosis.
  6. Some leukemia patients have increased plasma α2-antiplasmin levels, leading to decreased fibrinolytic activity on the blood vessel.
  7. In some leukemia patients, the white blood cells show increased vascular adhesion ability, promoting the formation of thrombosis especially tumor thrombus.12
  8. Chemotherapy can kill large numbers of leukemia cells, leading to the release of coagulants into the blood, and therefore the hypercoagulable state and thrombosis.

Although acute leukemia patients are highly vulnerable to thromboembolism, the preventive treatment of this complication is still controversial due to the even higher risks of hemorrhage in these patients. Until now, active anti-coagulant therapy only was used in the acute leukemia patients at high risks of developing thromboembolism. Our patient has lower extremity arterial thrombosis at the time of presentation. Anticoagulant therapy was initiated, but stopped after removal of the thrombus. During induction chemotherapy, further extensive arterial thrombosis occurred. Because the incidence of low platelet counts and bleeding is much higher than that of thrombosis in patients with leukemia, the use of anticoagulants in patients with thrombosis is still controversial. We reviewed previous similar cases and analyzed their treatment and its results. We recommend active anticoagulant therapy in combination with induction chemotherapy in patients with leukemia complicated by thrombosis. This approach would prevent recurrence of thrombosis while treating the underlying leukemia, resulting in improved patient outcomes.

Acknowledgements

None.

Conflict of interest

The author declares no conflict of interest.

References

  1. Wun T, White RH. Venous thromboernbolism in patients with acute leukemia lymphoma and multiple myeloma. Thromb Res. 2010;125(Suppl 2):S96–S102.
  2. Ze-lin Liu, Shi-lin He, Jia-zeng Li. Diagnosis and treatment of thrombosis. Beijing, China: People's Medical Publishing House; 2000. p. 388–389.
  3. De Stefano V, Sorà F, Rossi E, et al. The risk of thrombosis in patients with acute leukemia: occurrence of thrombosis at diagnosis and during treatment. J Thromb Haemost. 2005;3(9):1985–1992.
  4. Kafetzakis A, Foundoulakis A, Ioannou CV, et al. Acute lower limb ischemia as the initial symptom of acute myeloid leukemia. Vasc Med. 2007;12(3):199–202.
  5. Virchow R. Thrombosis and Emboli. In: Matzdorff AC, et al. editors. Gesammelte Abhandlungen Zur Wissenschaftlichen Medicin.USA; 1856. p. 220–380.
  6. Liu Y, Chao X, Gu W, et al. Acute thrombosis in superior mesenteric artery as first symptom in a AML patient. Int J Gen Med. 2008;1:7–9.
  7. Kwaan HC, Vicuna B. Incidence and pathogenesis of thrombosis in hematologic malignancies. Semin Thromb Hemost. 2007;33(4):303–312.
  8. Breccia M, Avvisati G, Latagliata R, et al. Occurrence of thrombotic events in acute promyelocytic leukemia correlates with consistent immunophenotypic and molecular features. Leukemia. 2007;l21(1):79–83.
  9. Dixit A, Kannan M, Mahapatra M, et al. Roles of protein C, protein S and antithrombin III in acute leukemia. Am J Hematol. 2006;81(3):171–174.
  10. Ruud E, Holmstrøm H, de Lange C, et al. Thrombotic effects of asparaginase in two acute lymphoblastic leukemia protocols (NOPHO ALL-1992 versus NOPHO ALL-2000): a single-institution study. Pediatr Hematol Oncol. 2006;23(3):207–216.
  11. Caruso V, Iacoviello L, Di Castelnuovo A, et al. Thrombotic complications in childhood acute lymphoblastic leukemia: a meta-analysis of 17 prospective studies comprising 1752 pediatric patients. Blood. 2006;108(7):2216–2222.
  12. Rickles FR, Falanga A. Molecular basis for the relationship between thrombosis and cancer. Thromb Res. 2001;102(6):V215–V224.
Creative Commons Attribution License

©2018 Jia, et al. This is an open access article distributed under the terms of the, which permits unrestricted use, distribution, and build upon your work non-commercially.