Submit manuscript...
eISSN: 2471-0016

International Clinical Pathology Journal

Case Report Volume 3 Issue 1

A case of sudden death due to pyrexia of unknown origin; proved to be a case of ARDS through autopsy and histopathology- reporting of an unusual case

Chandan Bandyopadhyay,1 Tapas Sinha,2 Prabir Ch Paul,3 PC Chakraborty2

1Departemnt of FSM, Medical College and Hospital, India
1Departemnt of FSM, Medical College and Hospital, India
2Department of FSM, NRSMC, India
2Department of FSM, NRSMC, India
3Department of Pathology, Malda Medical College, India
3Department of Pathology, Malda Medical College, India

Correspondence: Chandan Bandyopadhyay, 3rd lane, farm side road, PO-Chinsurah, Dist- Hooghly, West Bengal, Tel 9432226339

Received: January 01, 1971 | Published: October 21, 2016

Citation: Bandyopadhyay C, Sinha T, Paul PC, et al. A case of sudden death due to pyrexia of unknown origin; proved to be a case of ARDS through autopsy and histopathology- reporting of an unusual case. Int Clin Pathol J. 2016;3(1):168–171. DOI: 10.15406/icpjl.2016.03.00065

Download PDF

Abstract

Pyrexia of unknown origin is a vexing problem to most of the clinicians. In some of the cases the condition of the patient fails to improve despite sincere attempts of the clinician and the supporting staffs. The situation is gloomier in inadequate infrastructure of subdivision and district level government health set ups. The situation gets worse if the patient dies unfortunately which more often than not put the overburdened physician to the violence of aggrieved patient parties. In the present reporting, one such case of unexplained and sudden death was referred for medico legal autopsy on demand of the aggrieved relatives of the patient. A complaint of medical negligence was recorded in the local police station, by the patient party, against the treating physician. The gross morphological findings at autopsy pointed towards a multi-organ septic disorder as a probable cause of death. Post-mortem histopathological study established ARDS as the cause of death and reiterated the importance of autopsy histopathology.

Keywords: pyrexia of unknown origin, unexplained death, autopsy, histopathology, ARDS

Key messages

OPD, outpatient department; TURBT, transurethral resection of bladder tissue; LUTS, lower urinary tract symptoms; PUNLMP, papillary urothelial neoplasm of low grade malignant potential; PAS, periodic acid- schiff; JMS, jones’ methenamine siver stain; PEM, periodic acid-siver methenamine; GMS, gomori’s trichrome stain; MTS, massons trichrome stain; IHC, immunohistochemistry

Introduction

“Humanity has three great enemies: Fever, famine and wars. Of these by far the greatest, by far the most terrible is fever” - Sir William Osler (1849-1919). Pyrexia of unknown origin or PUO is not at all a rare clinical condition a physician has to treat. It is rightly said that of all types of cases, that attend a general physician’s clinic, the PUO cases are most difficult to deal. Most of the times the pin-point diagnosis is not possible and the treatment is usually symptomatic and empirical. An array of diagnostic tests are not desired and welcomed by the patient parties. Most often the physician starts treatment with the assumption that fever is due to some more common and seasonally prevalent causes and in most of the cases the patient feels well within a reasonable period of treatment, though the different conditions that can cause PUO make a lengthy list. Management of such a case of PUO gets much difficult when rarer complications of more common and benign illnesses manifest during the course of treatment. ARDS is such a rare complication, which fortunately has low incidence rate but unfortunately shows very high mortality rate. The causal relationship between PUO and ARDS is difficult to establish, though in both, infections are among the most dominant causes.

The case

  1. One 16yrs, young male adult was admitted to a District Hospital with complaint of non-remitting high fever for last 5 days and he was being treated elsewhere.
  2. No history of any previous major illness, medical or surgical.
  3. No history of any drug allergy.
  4. The patient looked very toxic on admission, and was immediately attended by specialist physician and the treatment started promptly.
  5. In spite of sincere care the patient succumbed to his illness within 12 hours.

The litigation

The patient party was not satisfied with the management of the patient in the hospital and lodged a complaint of criminal negligence against the attending physician in the local police station on the next day and demanded an autopsy examination. The case was then referred to a renowned medical college of Kolkata for autopsy examination as a medico legal case.

The autopsy

External findings

Athletic built well-nourished body of a 5ft 7inches male subject, Rigor Mortis all over, faint bluish discoloration of finger tips of both hands, purplish PM stain over dependent parts of the body, no external injury could be detected.

Salient internal findings

  1. Intense congestion of Brain
  2. Sub arachnoid haemorrhage (figure 1), measuring approximately 5inches x 4inches, over left parieto-temporal region of cerebrum.
  3. Multiple small creamy white spots over all the surfaces of all the lobes of both the lungs. On sectioning there was oozing of frothy pus mixed with blood (Figure 2).
  4. Sub-epicardial petechial spots over multiple areas on anterior and basal surfaces of Heart.
  5. Both the Kidneys were swelled up with evidence of sub capsular ecchymoses.

Figure 1 Sub Arachnoids Haemorrhage.

Figure 2 Lungs on Sectioning.

Investigations referred for

  1. Histopathological examination of portions of Brain, Heart, both the Lungs, Spleen and both the Kidneys (Figure 3).
  2. Toxicological analysis of routine viscera.

Figure 3 Heart and the Kidneys.

Reports on investigation

Histopathology

  1. Brain-edema, congestion, dilatation of blood vessels. No infiltration of inflammatory cells or granulomatous lesion seen.
  2. Heart- normal
  3. Spleen- congestion of sinusoids
  4. Lungs- both showing features of interstitial edema, congestion, infiltration with inflammatory cells with foci of alveolar damage. Intra-alveolar collection of eosinophilic material containing degenerated cells along with formation of Hyaline membrane in fair number of alveoli; histological features consistent with ARDS.
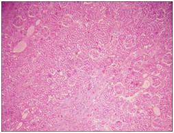
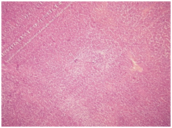
  5. Kidneys- Cut section showing appreciable cortico medullary differentiation. H/P shows features of interstitial edema, presence of eosinophilic hyaline droplets in proximal renal tubular epithelium, evidence of proteinuria with protein reabsorption. Distal renal tubules are showing features of degenerative changes (Figure 4-6).

Figure 4 Brain H/P 100X.

Figure 5 Spleen H/P 100X.

Figure 6 Kidney H/P 100X.

Toxicological analysis of routine viscera

No poison could be detected.

Discussion

Fever of unknown origin (FUO), pyrexia of unknown origin (PUO) or febris because ignota (febris E.C.I.) refers to a condition in which the patient has an elevated temperature but despite investigations by a physician no explanation has been found. If the cause is found it is usually a diagnosis by exclusion, i.e., by eliminating all possibilities until only one explanation remains, and taking this as the correct one. One of the most challenging problems a physician faces in practice is the evaluation of a patient with prolonged pyrexia - a truly significant test of his clinical skills. A thorough and detailed history with a good clinical examination and relevant investigations are necessary in every patient of prolonged pyrexia. It is important to remember that rarer manifestations of common diseases are more often seen than rare diseases. In the 19th century, febrile illness caused more than 2/3rd of total deaths. Vaccination, vector control, better sanitation and advances in medical field have changed the scene significantly over last 100 years.1,2

Infections are the most common cause of fever. PUO is most commonly caused by infectious diseases, particularly in developing countries like India. When an infection occurs, invading organisms trigger a cascade of events in the immune system, one of which releases chemicals that instruct the body to raise its core temperature. Common examples that may lead to PUO include Tuberculosis (some authors like to mention extra-pulmonary tuberculosis), Infectious mononucleosis, HIV infection, pneumonia and meningitis, among others. However, PUO can result from almost any bacterial, viral or fungal infection if that infection is not diagnosed or treated promptly.1-3

Acute respiratory distress syndrome (ARDS) is a clinical syndrome of severe dyspnoea of rapid onset, hypoxemia and diffuse pulmonary infiltrates leading to respiratory failure. ARDS is caused by diffuse lung injury from many underlying medical and surgical disorders. The lung injury may be direct, as occurs in pneumonia, or indirect, as occurs in sepsis. Though the aetiology of ARDS is associated with many medical and surgical disorders, most cases are caused by a small number of clinical disorders, namely, severe sepsis syndrome and/or bacterial pneumonia (40-50%), trauma, aspiration of gastric contents, multiple transfusions and drug overdose. Recent mortality estimates for ARDS ranges from 26-44%. Of interest, mortality in ARDS is largely attributable to non-pulmonary causes, with sepsis and non-pulmonary organ failure accounting for >80% of deaths. It is noteworthy to mention here that bacteraemia arising from a pulmonary or abdominal source has eightfold more likely to be associated with severe sepsis. The renal complications of ARDS/severe sepsis include oliguria, azotaemia, proteinuria, urinary casts and renal failure due to acute tubular necrosis and sometimes glomerulonephritis, renal cortical necrosis and/or interstitial nephritis.3-6

 Morphology of lungs in ARDS: initially the basic lesion affects capillary endothelium-the damage to the capillary endothelium results in an increased capillary permeability-oedema and fibrin exudation followed by formation of hyaline membranes - composed of necrotic epithelial cell debris and exudative proteins-predominantly fibrin. The other characteristic morphologic feature include inflammatory infiltration of the interalveolar septa.4

Conclusion

From the autopsy findings, supported by the ancillary investigations, it is evident that the unfortunate young patient might have suffered from pneumonitis in the initial phase of his febrile illness. The development of ARDS/sepsis and renal pathology was secondary to pneumonia, the aetiology of which remains undiagnosed. Autopsy of a case of sudden, unexplained natural death is basically a challenge for the autopsy surgeon. In rare cases histopathology and other modern ancillary investigations may give us surprising results that may lead to elucidation of the pathological explanation of the cause of death, as happened in the present case.

Acknowledgements

We sincerely acknowledge the unconditional support and inspiration of the teaching faculties and non-teaching staffs of the department of FSM and department of Pathology of NRS Medical College, Kolkata. We are really thankful to the mortuary assistants of the Police Morgue, NRS Medical College, Kolkata, for helping us in quality dissection of cadavers. We are also thankful to the college and hospital administration of NRSMCH and Department of Health &FW, Govt. of West Bengal for providing us with infrastructural support.

Conflict of interest

This article was not sponsored by anyone and was done exclusively by the authors with their own resource and interest.

References

Creative Commons Attribution License

©2016 Bandyopadhyay, et al. This is an open access article distributed under the terms of the, which permits unrestricted use, distribution, and build upon your work non-commercially.