Submit manuscript...
eISSN: 2471-0016

International Clinical Pathology Journal

Case Report Volume 1 Issue 4

Incidental findings of benign mesenchymal tumours during laparoscopic gastric mini bypass surgery: two case reports

Farheen Alam,1 Munaf Desai1

1Department of Pathology, UAE
1Department of Pathology, UAE

Correspondence: Farheen Alam, Department of Pathology, UAE, Tel 9715 6172 8008

Received: January 01, 1971 | Published: December 8, 2015

Citation: Alam F, Desai M. Incidental findings of benign mesenchymal tumours during laparoscopic gastric mini bypass surgery: two case reports. Int Clin Pathol J. 2015;1(4):81–85. DOI: 10.15406/icpjl.2015.01.00019

Download PDF

Abstract

Usually Gastric Mini Bypass procedure does not result in a pathology specimen. We present 2 case reports of benign mesenchymal tumours-one GIST (Gastro-Intestinal Stromal Tumour) and one Leiomyoma found in rare specimen received post mini gastric bypass surgery. In the first case no mass was detected by the surgeons and an extra part of gastric stump was removed and sent and in the second instance a mass was felt before anastomosis and was removed and sent. The detection of incidental tumors in such specimen require thorough gross examination followed by histopathological examination on Hematoxylin and Eosin (H&E) and immunohistochemistry slides for final diagnosis. Final report should include a comment on status of surgical margins and malignant potential of the tumor.

Keywords: mesenchymal tumours, immunohistochemistry, gastrectomy, GI endoscopy, smooth muscle actin, post-operative gastric, anastomosis, body mass index, neuron specific enolase, hematoxylin and eosin

Abbreviations

GIST, gastro intestinal stromal tumour; SMA, smooth muscle actin; NSE, neuron specific enolase; GIT, gastrointestinal tract; GCT, granular cell tumors; BMI, body mass index; H&E, hematoxylin and eosin

Introduction

Primary benign gastrointestinal mesenchymal tumours are rare neoplasms.1,2 The non-exhaustive list includes GIST, leiomyoma, desmoids tumour, inflammatory myofibroblastic tumour, inflammatory fibroid polyp, Schwannoma, lymphoma, mesenchymal polyps and glomus tumour. These tumours frequently show similar and overlapping morphology. However the cell of origin is different in different entities ranging from smooth muscle, nerve sheath and fibroblasts to cell of Canal. Consequently immunohistochemistry is often needed to reach the correct final diagnosis. Since the Bariatric surgery is now one of the common procedures done at most of the centres, rate of incidental findings of the primary benign mesenchymal tumours in sleeve gastrectomy is about 0.3%.3,4 However we are presenting here two cases of patients undergoing Gastric Mini Bypass procedure which does not result in a pathology specimen. In the first case a small part of stomach was trimmed while making it suitable size for anastomosis. The trimming was sent to our department by default without any suspicion. We during gross examination found a small mass on serosal surface which was later diagnosed as benign GIST.5 In second case the surgeon recognised two small masses during the procedure, excised them and sent to us. One turned out to be Leiomyoma and the other was a reactive lymph node.

Case report

Case 1

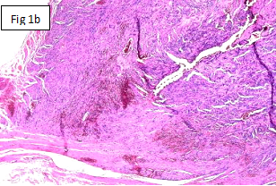
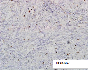
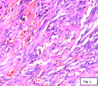
A 36years- old male patient presented to surgical clinic with morbid obesity having a body mass index (BMI) of 44.6 (height: 168cm, weight: 126).6 He was booked for Laparoscopic Mini Gastric Bypass surgery. As pre-operative work up, upper GI endoscopy was done with positive CLO test. Patient was put on medication. No biopsy was taken. Ultrasound abdomen was done too with only positive finding of fatty liver. Surgery was uneventful. However when anastomosis was attempted the stump of stomach was slightly bigger than required. To bring it to the desired size a small part of stomach was removed and sent to histopathology department with no suspicious pathology. The specimen was received in 10% formalin in one container containing a wedge shaped piece of stomach measuring 3.8x1cm. On gross examination, a nodular protrusion was identified on the serosal surface; measuring 1.0x0.3cm. it was a distance of 1.4cm each from both resection margins. Total tissue was processed. Microscopic examination revealed a well circumscribed tumour in the subserosal area of the wall of stomach attached to muscularis external (Figure 1A & 1B). It was 1.0cm D in its greatest dimension. The tumour comprised of proliferation of mostly spindle shaped cells with vesicular nuclei having mild pleomorphism. These were arranged in interlacing pattern as well as whorls encircled by collagen. Occasional rounded nuclei were also seen. Mitosis was up to 2/50 HPF. No necrosis was seen. Mixed inflammatory infilterate, congested blood vessels and interstitial haemorrhage were seen within the tumour. No extension into the mucosa or surface ulceration was present. No lympho-vascular invasion was detected. Both resection margins were free from the tumour. Uninvolved stomach wall showed nonspecific chronic active gastritis with reactive lymphoid follicles. Giemsa Stain for H.Pylori was negative. Immunohistochemistry was done. The tumour was diffusely positive for CD117 and CD34 while Ki67 showed low proliferative index (Figure 1C). Smooth muscle actin (SMA), Desmin and S100 were negative. On these findings, diagnosis of Gastro Intestinal Stromal Tumour (GIST) of GIT with risk category of ‘None’ or ‘0’ risk of progressive disease was made.7 Post diagnosis follow up included CT abdomen with and without contrast with no significant finding and no evidence of malignancy. 9months post-operative gastric/esophageal biopsy was showed mild chronic inflammation and negative for H.Pylori.

Case 2

A 35years- old female patient presented to surgical clinic with morbid obesity having a body mass index (BMI) of 33.59 (height: 160cm, weight: 86). She was booked for Laparoscopic Mini Gastric Bypass surgery. No preoperative endoscopy was performed. For Bariatric work up, ultrasound abdomen was done and yielded the finding of mild hepatomegaly and fatty liver. During surgery the surgeons noticed two small masses at angle of His which were flushed removed and the site was sutured. The removed tissue was sent to histopathology department with clinical impression of Leiomyoma. Rest of the surgery was done as per plan and was uneventful.

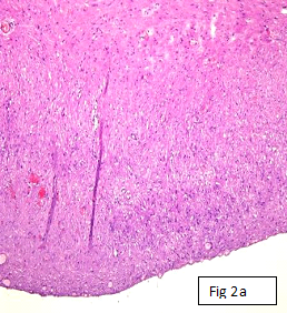
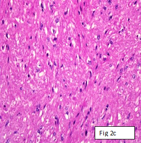
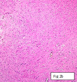
The specimen was received in 10% formalin in one container. On gross examination, two large pieces were seen. One measuring 2.0x0.5x0.2cm was well-circumscribed, oblong and soft; was bisected. The other was fatty tissue measuring 2x1.4x0.3cm. Two tiny pieces of less than 1cm D were also present. Total tissue was processed. Microscopic examination through the well circumscribed mass revealed an encapsulated lesion composed of interlacing bundles of smooth muscle fibres within hyalinised stroma and lattice of collagen bundles. Mid neutrophilic infiltrate along with few mast cells was present. No significant mitosis, pleomorphism or necrosis was present (Figure 1D). Sections through fatty tissue revealed mature adipose tissue and a small lymph node showing reactive lymphoid hyperplasia and pigment laden macrophages. Immunohistochemistry was done on the well circumscribed lesion. It was diffusely positive for smooth muscle actin (SMA) and Desmin while Ki67 showed low proliferative index. CD117 was positive in mast cells and few spindle cells (Figure 1E). And CD34 was positive in blood vessels and few spindle shaped cells while lesional cells were negative for both CD117 and CD34 (Figure 1F & Figure 1G). S100 and neuron specific Enolase (NSE) was negative (Figure 1H). DOG1 and Beta catenin were not available. On these findings, diagnosis of benign mesenchymal tumour of GIT, most likely leiomyoma was made. No post-operative investigations are available(Figure 2A-2G).

Figure 1A Case 1-Figure 1a. Well circumscribed tumor at serosal surface measuring 1 cm in greatest diameter. Both resection margins free from the tumor.
Figure 1B Tumor attached to muscularis external.
Figure 1C Spindle cell proliferation with mild pleomorphism and no significant mitosis.
Figure 1D CD117 diffusely positive in tumor cells.
Figure 1E CD34 diffusely positive in tumor cells.
Figure 1F SMA Negative in tumour cells.
Figure 1G S100 Negative in tumour cells.
Figure 1H Ki67 Low proliferative Index.
Figure 2A Well circumscribed tumour.
Figure 2B Whorly arrangement of collagen bundles.
Figure 2C Bland cytology of smooth muscle cells.
Figure 2D Desmin.
Figure 2E SMA.
Figure 2F CD117 positive in mast cells and few spindly cells. 
Figure 2G CD34.  Positive in blood vessels and few spindly cells.

Discussion

Mini Gastric Bypass is one of the bariatric surgery procedure performed at surgical department of Al Qassimi Hospital. In this procedure a narrow gastric tube is created near lesser curvature which is anastomosed to jejunum bypassing the proximal parts of small intestine and the rest of stomach is sealed off. It does not involve any resection specimen.8 Our case 1 is an exception where the tube created was little narrow for anastomosis and in turn a small part of it was resected to make it of desired size. This resected part was sent to histopathology department by default. The protocol of thorough gross and microscopic examination of all bariatric specimens helped us in detection of incidental GIST in this specimen. In case 2, laparoscopic examination of stomach prior to surgery enabled surgeons to detect two masses which were resected and sent to us. One of them was gastric leiomyoma and the other a reactive lymph node. Since preoperative endoscopy or ultrasound are usually not helpful in detecting such tumors and that it is difficult to access the bypassed stomach later, it is important to do per or post-operative examination of stomach by the surgeons.3 Laparoscopic wedge resection during gastric bypass or sleeve gastrectomy is considered safe and effective in treating incidental gastric GISTs of less than 2cm in size9 with negative margins. The follow-up after resection should be based on standard guidelines in the general population, which is a CT scan, every 3months to 6months for 5years and yearly after that. Laparoscopic wedge resection of gastric leiomyoma too is considered safe and useful10 with minimal chance of recurrence. Histopathology report of such incidental tumours should be comprehensive clearly indicating the risk category of GISTs and malignant potential of other mesenchymal tumors.10,11

Acknowledgements

Special thanks to Miss Amna Essa, Mrs. Shirin Morad and Miss Lowloa Ahmed at Histopathology laboratory of Al Qassimi Hospital for their excellent technical work. We thank the Surgical Department at Al Qassimi Hospital.

Conflict of interest

The author declares no conflict of interest.

References

  1.  Kang HC, Menias CO, Gaballah AH, et al. Beyond the GIST: mesenchymal tumors of the stomach. Radiographics. 2013;33(6):1673–1690.
  2. Plesec TP. Gastrointestinal Mesenchymal neoplasms other than gastrointestinal stromal tumors: focusing on their molecular aspects. Patholog Res Int. 2011;2011:952569.
  3. Lara C, Pullen P. Pathologists Should Review Bariatric Surgery Specimens. College of American pathologists (CAP) conference USA: CAP; 2014.
  4. Raghavendra RS, Kini D. Benign, premalignant, and malignant lesions encountered in bariatric surgery. JSLS. 2012;16(3):360–372.
  5. George D, Demetri JM. Epidemiology, classification, clinical presentation, prognostic features, and diagnostic work-up of gastrointestinal mesenchymal neoplasms including GIST; 2014.
  6. Chiappetta S, Theodoridou S, Stier C, et al. Incidental finding of GIST during obesity surgery. Obes surg. 2015;25(3):579–583.
  7. Bacigalupo ML, Manzi M, Rabinovich G, et al. Modern treatment of gastric gastrointestinal stromal tumors. World J Gastroenterol. 2013;19(47):8831–8849.
  8. Park HJ, Hong SS, Hwang J, et al. Mini-gastric bypass to control morbid obesity and diabetes mellitus: what radiologists need to know. Korean J Radiol. 2015;16(2):325–333.
  9. Sonja Chiappetta, Sana Klinikum, Sophia Theodoridou, et al. Incidental finding of GIST during obesity surgery. Obesity Surgery. 2015.
  10. Tarcoveanu E, Bradea C, Dimofte G, et al. Laparoscopic wedge resection of gastric leiomyoma. JSLS. 2006;10(3):368–374.
  11. Dei Tos AP, Laurino L, Bearzi I, et al. Gastrointestinal stromal tumors: the histology report. Dig Liver Dis. 2011;43(Suupl 4):S304–309.
Creative Commons Attribution License

©2015 Alam, et al. This is an open access article distributed under the terms of the, which permits unrestricted use, distribution, and build upon your work non-commercially.