Case Report Volume 1 Issue 3
1Department of Pathology, Saint Louis University School of Medicine, USA
1Department of Pathology, Saint Louis University School of Medicine, USA
2Department of Veteran affairs, John Cochran VA Medical Center, USA
2Department of Veteran affairs, John Cochran VA Medical Center, USA
Correspondence: Ping Hou, Department of Pathology and Veteran Affairs, John Cochran VA Medical Center, 915 North Grand Blvd, St Louis, MO 63106, Tel 773-817-7119
Received: January 01, 1971 | Published: November 4, 2015
Citation: Najmuddin M, Lai JP, Adegboyega P, et al. Incidental identification of metastatic urothelial carcinoma presenting in an incarcerated ventral hernia sac. Int Clin Pathol J. 2015;1(3):55–57. DOI: 10.15406/icpjl.2015.01.00014
Metastatic urothelial carcinoma in an incarcerated ventral hernia is exceedingly rare. Herein, we report a case of a 52 year-old man who had multiple incarcerated ventral hernias with metastatic urothelial carcinoma. Patient with a set of large abdominal wall hernias initially presented in septic shock with small bowel obstruction complicated by perforation, for which he required emergent exploration and repair of the hernias. Grossly, the “hernia sac” specimen consisted of firm fibromembranous tissue with an infiltrating tan-white mass. Histologically, the hernia sac revealed extensive tumor infiltrates in a background of desmoplastic stroma accompanied by fibrinoid necrosis. The tumor showed nests and sheets like growth pattern with predominant squamous differentiation. Immunohistochemical analysis showed the tumor to be diffusely and strongly positive for GATA3, 34betaE12, CK5/6 and P63, focally (5%) and weakly positive for CDX2, negative for CK20, D2-40, calretinin. The morphology and immunohistochemical profile supported the diagnosis of metastatic urothelial carcinoma with squamous differentiation. The patient died two weeks post-surgery. GATA3 immunoreactivity plays an important role in distinguishing urothelial carcinoma from squamous cell carcinoma and prostate carcinoma.
Keywords: ventral hernia, urothelial carcinoma, immunohistochemistry, gata3
Malignant epithelial tumors presenting within the hernia sacs are rare, occurring in 0.14% of all surgically removed adult hernia sac cases.1 Most reports documentinguinal or umbilical hernia sac with metastatic adenocarcinoma from multiple organs.1-4 To the best of our knowledge, no cases of ventral hernia sac with metastatic urothelial carcinoma have been previously reported. We herein, report a case of metastatic urothelial carcinoma in an incarcerated ventral hernia. The rarity of this scenario, differential diagnoses and immunohistochemical stains including GATA3 stain in distinguishing urothelial carcinoma from squamous cell carcinoma, prostate adenocarcinoma and other morphologically similar malignant epithelial tumors are discussed.
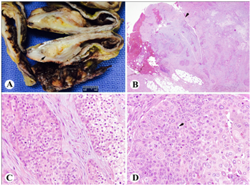
A 52 year-old male with morbid obesity and a set of large ventral hernias initially presented to our institution with symptoms of small bowel obstruction, which resolved with conservative therapy. He returned a few days later with symptoms of septic shock. A computerized axial tomography (CAT) scan of the abdomen and pelvis demonstrated large anterior and left lateral wall hernias with bowel loops, peri-colonic soft tissue standing, subcutaneous and extra-luminal air in the left hernia sac. The liver, gall bladder, spleen and pancreas appeared to be normal. A 2 mm punctate calcification was seen in the mid-pole of the right kidney with no other findings. The images through the pelvis demonstrated a decompressed urinary bladder with a catheter and an enlarged prostate. The findings were highly suspicious for incarceration and perforation of the bowel loops in the left hernia sac. Given a pre-operative diagnosis of incarcerated abdominal wall hernias with septic parameters and evidence of perforation, he underwent an exploratory laparotomy, hernia sac resection, blow-hole colostomy, and wide drainage under general anesthesia. The location of the ventral hernias was in the left upper quadrant, the right upper quadrant, and the lower midline of the abdomen. The reason for such extensive nature of hernia and symptomatology was reluctance on the patient’s part to obtain a surgery and uncertainty from the surgical team in terms of prognosis. He received the left Hernia sac repair emergently, which showed incarcerated bowel with green purulent fluid staining of the hernia sac consistent with bowel contents and perforation. The debrided sac was sent to the pathology for gross and microscopic examination with the diagnosis of acute panniculitis and abscess formation. He was stable after 5 days and received the surgical treatment of definitive repair of the ventral hernias and bowel perforation. During the surgery, a midline ventral hernia was identified with incarcerated small bowel and multiple nodules were seen at the junction of bowel wall and the mesentery. The hernia was excised and sent to pathology for gross and microscopic examination. On gross examination, the “hernia sac” specimen consisted of firm fibromembranous tissue with fully infiltrating tan-white tumor mass and focal necrosis measuring 10 cm in greatest dimension (Figure 1A). Histologically (Figure 1B-1D), the hernia sac revealed extensive tumor infiltrates in the background of desmoplastic stroma accompanied by extensive fibrinoid necrosis. The tumor showed nests or sheet-like growth pattern with predominantly squamous differentiation. The tumor cells exhibited enlarged and pleomorphic nuclei, abundant eosinophilic cytoplasm, distinct intercellular bridges and keratinization. Focal intraepithelial mucous cysts and clear cell changes were also seen. Tumor extensively involved the mesenteric adipose tissue, subserosa and muscularis propria of the incarcerated small bowel with lymphovascular invasion present in the submucosa. A panel of immunostains was performed with appropriate controls. The tumor was diffusely and strongly positive for GATA3, 34betaE12, Cytokeratin 5/6 (CK5/6) and P63, and strongly and focally positive for Cytokeratin 7 (CK7), focally and weakly positive for CDX2, negative for Cytokeratin 20 (CK20), Calretinin, D2-40 and Uroplakin III (Figure 2). The primary tumor site could not be investigated as the patient died after two weeks of surgery and no autopsy was requested. Therefore, based on the morphology and immunostaining pattern, metastatic urothelial carcinoma with squamous differentiation was rendered as the final diagnosis.
A ventral hernia is a bulge through an opening in the muscles of the abdomen. These types of hernias tend to reduce on lying flat or if manual pressure is applied. If they cannot be reduced and the patient suffers from acute abdominal pain, then it is a case of a medical emergency, where they are termed incarcerated hernias. Tumors of the hernia sac have been divided into three types based on the anatomic relationship of the tumor to the hernia sac, namely, intrasaccular, saccular, and extrasaccular. Saccular tumors are primary or secondary malignant lesions involving the peritoneum.3 Here, we present a case of a saccular tumor incidentally found in a ventral hernia sac. There was no primary tumor or an anatomical location identified in our case as the patient’s situation was deteriorating, there was no time for any investigative modality and he died two weeks post-surgery. The tumor morphology was convincing of urothelial carcinoma with squamous differentiation and additional immunohistochemical (IHC) stains supported the diagnosis.
The few reported cases that have been collected and studied over time have been malignant epithelial tumors that have metastasized from the ovary, colon, rectum, pancreas, peritoneum, prostate, stomach, appendix, breast and other sites.1-4 These tumors have presented in inguinal and umbilical hernias in the past and the first case of a malignancy to be ever reported in a hernia sac was in 1749 by a French physician Arnaud in Paris.5 Since, then there has been only one case of a 62-year-old male reported to have a tubular adenocarcinoma from the colon to a ventral abdominal hernia.1 To the best of our knowledge, our case is the first reported case with incidental identification of metastatic urothelial carcinoma in a ventral hernia.
If we were to look at histology alone, primary malignant mesothelioma, metastatic prostatic adenocarcinoma, squamous cell carcinoma, and other poorly differentiated carcinomas could not be ruled out. Therefore, to distinguish high-grade urothelial carcinomas from the above listed entities was very challenging. In this case, mesothelial markers including D2-40 and calretinin were found to be negative in the tumor cells. The tumor was negative for CK20 and very focally (5%) and weakly positive for CDX2. This convincingly ruled out a gastrointestinal tract primary. High-grade urothelial carcinoma may also demonstrate squamous differentiation, which we do see in our case and can easily be confused with high-grade invasive squamous cell carcinoma. It is important to exclude the spread from an anal primary or a uterine cervical primary in female patients, where as in male patients it is important to know the condition of the prostate.6 Clinical history and imaging studies are the mainstay for any case, however, in our case, the patient presented with multiple incarcerated ventral hernias with small bowel obstruction, septic shock and other comorbid parameters, the primary tumor or an anatomical location could not be investigated. Given the morphologic overlap of high-grade UC with high-grade prostatic adenocarcinoma or squamous cell carcinoma, immunohistochemistry should routinely be performed. In the assessment of a high-grade carcinoma in the genitourinary tract where the primary site is not certain, GATA3 is promising in terms of its strong and diffuse positivity in high-grade urothelial carcinomas as compared to prostatic carcinoma or a high-grade invasive squamous cell carcinoma. GATA binding protein 3 (GATA-3) is a zinc finger transcription factor, which helps in T cell development and normal mammary gland development.6 GATA3 is used as a significant marker in urothelial carcinoma, ductal carcinoma of the breast and gynecological carcinomas with urothelial differentiation.6,7 Chang et al studied high-grade UC with muscularis propria invasion and showed that 80% of the cancers were strongly and diffusely positive for GATA3. They compared high grade UC’s with prostatic adenocarcinoma (Gleason score 9) and proposed that GATA3 is a sensitive marker for UC and the positive staining in UC is more diffuse and strong in intensity and that prostatic adenocarcinoma can be excluded as the staining was negative.8 There was differential expression and utility in terms of differentiating primary squamous cell carcinoma from the lung metastasized to the bladder in comparison to a primary urothelial carcinoma with squamous differentiation.8 In our case, GATA3 was strongly and diffusely positive within the tumor cells and this supports our diagnosis of metastatic urothelial carcinoma. Morover, Uroplakin III was negative in our case. However, it is difficult to assess its reliability and specificity in high grade invasive transitional cell carcinomas since the sensitivity is far less, 31%–60% in primary invasive UC and 53% in metastatic UCs.9 Uroplakin III also shows minimal to weak staining in cases of urothelial carcinoma with squamous differentiation.9 Squamous cell carinomas from the anal canal and cervix are known to metastasize to the peritoneal cavity and can even present in a hernia sac. In our case, the tumor is also strongly positive for CK5/6 and P63 that are also commonly used as markers for squamous cell carcinoma. However, the significance of GATA-3 in showing negative or weak staining in primary or metastatic squamous cell carcinomas supports the predominance of a urothelial origin in the hernia sac, as the GATA-3 stain was diffusely and strongly positive.10 Moreover, GATA-3 stain was studied in a number of cases of metastatic high-grade urothelial carcinoma, where its expression was compared to uroplakinIII, thrombomodulin, cytokeratin 7 and cytokeratin 20 and 92% of those cases showed diffuse and strong positivity for GATA-3 in metastatic urothelial carcinoma and none of the cases were positive for uroplakin. It was also noted that out of the 547 non-urothelial carcinomas that were studied including prostatic adenocarcinoma and colonic adenocarcinoma, the GATA-3 stain did not show any weak or focal positivity, it was completely negative.8,11,12.
Most cases of metastasis to the hernia sac undergo a trans-peritoneal pathway. These tumors undergo several steps from seeding into the peritoneal cavity from the primary site and then attaching itself to the peritoneal surface. If the hernias are not treated, as in our case where the surgery was delayed for a long period of time and the patient developed multiple ventral hernias, it results in chronic inflammation and inflammatory chemotactic agents like CXCL12 and associated markers further add to the attraction of tumor cells.13-15 Post seeding, these tumors may undergo colonization due to the help of the following metastatic tumor enhancing factors like, insulin-like growth factor 1 (IGF-1), Hypoxia inducible growth factor 1α (HIGF-1), vascular endothelial growth factor (VEGF), epidermal growth factor receptor (EGFR) and ITGβ1 (β1 integrin).16
None.
The author declares no conflict of interest.
©2015 Najmuddin, et al. This is an open access article distributed under the terms of the, which permits unrestricted use, distribution, and build upon your work non-commercially.