Submit manuscript...
eISSN: 2471-0016

International Clinical Pathology Journal

Research Article Volume 4 Issue 1

Intraoperative frozen section -a golden tool for diagnosis of surgical biopsies

Gudeli Vahini,1 BA Ramakrishna,1 Suma Kaza,1 N Rama Murthy1

1Department of Pathology, Alluri Sitarama Raju Academy of Medical Sciences, India
1Department of Pathology, Alluri Sitarama Raju Academy of Medical Sciences, India

Correspondence: Gudeli Vahini, Department of Pathology, Alluri Sitarama Raju Academy of Medical Sciences, India, Tel 9949968294

Received: January 01, 1971 | Published: January 9, 2017

Citation: Vahini G, Ramakrishna BA, Kaza S, et al. Intraoperative frozen section -a golden tool for diagnosis of surgical biopsies. Int Clin Pathol J. 2017;4(1):22–26. DOI: 10.15406/icpjl.2017.04.00084

Download PDF

Abstract

Background: Intra-operative frozen section plays an important role in the management of surgical patients but yet it must be used prudently to avoid the indiscriminate usage of this technique. As it is subjected to many limitations in comparison to the paraffin embedded sections, this study aims to highlight the important concepts and principles of intraoperative frozen section consultation as well as discussing the limitations of this technique. A comparison with other latest techniques.

Aims and objectives: To evaluate the performance and limitations of frozen sections in the intraoperative evaluation of thyroid, breast, gastric, ovarian, central nervous system and lower extremities biopsies.

Materials and methods: Retrospective and prospective study of frozen sections done over a period of one and half year were taken. Fine needle aspiration cytology, frozen and biopsy performed for various tumours in thyroid, breast, gastric, ovary, CNS and lower limb were studied. A Comparison for frozen, fine needle aspiration was done which was later confirmed by histopathology. Accuracy of frozen section in our study was 91%.

Results: Out of 21 cases, 19 cases of frozen sections coincided with histopathological diagnosis and 20 cases of fine needle aspiration cytology coincided with histopathological diagnosis.

Conclusions: The role, value, and limitations of frozen section and gross consultation were variable in different sites. Frozen section aided the surgeon to choose the best therapeutic approach and in rapid diagnosis of a pathological process. Confirmed the diagnosis of carcinoma if the fine needle aspiration cytology or core needle biopsies are inconclusive prior to major radical surgery. Also provided an assessment of resection margins in carcinoma. When unexpected disease process was found and required a definite diagnosis to decide what to do next frozen section was helpful.

Keywords: fine needle aspiration cytology, histopathology, frozen section specimens, squamous cell carcinoma, parotidectomy, MRI, CT-scan, ultrasound, CAT scan

Abbreviations

FS, frozen section; FNAC, fine needle aspiration cytology; CNS, central nervous system, CT, computed tomography, MRI, magnetic resonance imaging, NIR, near infra red

Introduction

Frozen section was first performed by Welch in 1891 and developed by Wilson in 1905.Lang apparently first employed the use of freezing to harden tissues in the nineteenth century. De Riemer in 1818 made pioneering effort of using frozen section technique for histopathological diagnosis.1 It is a tribute to men like Hazard, Stevenson and Dockerty that the procedure was accepted by all.2,3 Following the introduction of the cryostat in 1960, the intra operative frozen section examination was established as a highly reliable procedure for the rapid histological evaluation of tissue specimens during surgery.4

Materials and methods

All Intraoperative frozen sections of breast, thyroid, and gastric, ovarian, central nervous system tumours performed at Asram medical college, Elluru over a period of one and half years from 2013 to 2014 were studied. The gross specimens of tumors were examined, painted, cut into thin slices from abnormal and suspected areas, or from firm lesion. A section was taken placed in a mounting medium, frozen immediately to -20degrees centigrade inside the cryostat. The attending technologist processed the tissue section by freezing it with frozen aerosol spray. Sectioned in cryostat at 4 to 5microns thickness. Intra and intercellular water is frozen to produce hard matrix to enable slicing of the tissue. The tissue sections were cut and picked up on glass slide and stained in Hematoxylin and eosin Microscopic findings were reported to the surgeon in the operating room and were recorded immediately. After completion, remainders of the frozen tissue on the block and unfrozen tissue were fixed in 10% neutral formaldehyde solution. Permanent histological sections of the frozen material were obtained and compared with frozen section. FNAC was done by standard disposable 27 gauge needle (0.4-0.7mm). 30-50mm long needles are suitable for superficial, palpable lesions. 27gauge was useful for cell rich and vascular tissues like thyroid. FNAC, frozen and histological sections were compared. Accuracy of frozen sections was then determined.

Results

In twenty one cases of Frozen, fine needle aspiration and histopathology results were also studied. Nineteen cases of frozen section coincided with histopathological diagnosis (Table 1). Twenty cases of FNAC coincided with histopathology diagnosis (Table 2). Two cases of frozen differed from histopathology diagnosis. One was an ovarian tumor and another was of breast lesion. These were benign cyst of ovary in frozen which was immature teratoma in histopathology and benign lesion of the breast in frozen which was ductal carcinoma in situ in histopathology. The accuracy rate of frozen in our study was 91%.The sensitivity of frozen section in our study was 90%. All the cases of FNAC coincided with frozen section diagnosis except for one case (Table 3). The case was ductal carcinoma in situ of breast which was given as benign lesion in FNAC.

Frozen Section

Histopathology

Squamous cell carcinoma

Deposit of moderately differentiated squamous cell carcinoma

Benign

Chronic gastritis

Benign

Chronic mastitis

Benign

Adenocarcinoma stomach, adenomatous hyperplasia

Follicular adenoma

Follicular neoplasm of undetermined malignant potential.

Follicular adenoma with cystic degeneration

Hurthle cell adenoma of undetermined malignant potential

Benign cyst ovary

Immature teratoma

Papillary carcinoma thyroid

Follicular variant of papillary carcinoma

Benign

Ductal carcinoma insitu

Table 1 Nineteen cases of frozen section coincided with histopathological diagnosis.

FNAC

Frozen

Histopathology

Follicular neoplasm thyroid

Follicular adenoma

Follicular neoplasm of undetermined malignant potential.

Hurthle cell adenoma

Follicular adenoma with cystic degeneration

Hurthle cell adenoma of undetermined malignant potential

Papillary carcinoma thyroid

Papillary carcinoma thyroid

Follicular variant of papillary carcinoma

Fibroadenoma

Benign

Ductal Carcinoma Insitu

Glioma

High Grade Glioma

Glioblastoma Multiforme

Table 2 Twenty cases of FNAC coincided with histopathology diagnosis.

 Frozen

FNAC

Papillary carcinoma thyroid

Papillary carcinoma thyroid

Follicular adenoma thyroid

Follicular neoplasm thyroid

Benign lesion breast

Fibroadenoma breast

Follicular adenoma with cystic degeneration

Hurthle cell adenoma

Table 3 FNAC coincided with frozen section diagnosis except for one case.

Discussions

Most centers reported an accuracy rate of frozen sections 92% to 98% depending on type of cases studied. A large center like Mayo clinic Rochester, USA reported an overall accuracy of 97.8% on reviewing 24,880 frozen cases in a year.5 A comparative overall accuracy of 97.56% was noted at general hospital in Malaysia involving 215 frozen section specimens over 4years duration.6 Accuracy rate in our study was 91% involving 21 specimens over duration of one and half years. Other reported cases include accuracy rate of 94% in central nervous system lesion,798.4% for tumours of the testis8 and 91.1% for basal and squamous cell carcinoma of the skin.9 Accuracy of frozen section in gynecological cases can be as high as 97.5%.10 Pinto et al11 in studying 243 frozen sections for ovarian tumours noted an accuracy rate of 98.5% for malignant tumors but only 78.6% for borderline tumours. Utilizing frozen section to determine tumour grade is also less sensitive with accuracy of only 88.6% in 260 endometrial cancers studied by Quinlivan JA et al.12 Even though the accuracy rate is generally very high, in some surgery especially in the head and neck surgery, determination of the margin clearance may be quite costly and cannot reliably eradicate positive final margin.13 The accuracy rate in our study for squamous cell carcinoma is 100%, central nervous system tumors is 100%, ovarian tumours is 50% ,thyroid tumors is 97% and breast tumors is 50% . At times diagnostic accuracy of frozen section may be much higher than that of fine needle aspiration cytology. In an audit of 31 parotidectomy cases in Singapore, it is note that 88% of frozen section histology concurred with the final histology in contrast to 66.6% of fine needle aspiration cytology cases.14 However, in our study we did not encounter any tumours salivary gland. The diagnostic accuracy of fine needle aspiration cytology was slightly higher than frozen section in our study in various tumours. The studies of Rosai J, Ackerman LV accuracy of frozen section in 679 breast specimens diagnosis was 98.5%.15 Most of the deferred diagnosis and false negative results involved occult/intraductal/intralobular lesions. In our study diagnostic accuracy for breast specimens was 50%.False negative result in frozen section in our study was that of intraductal/in situ carcinoma of breast .In major published studies of consecutive FS examinations reported in the literature, the breast is always listed as an organ most frequently examined.16 The relative frequency of breast specimens in these studies ranged from 16% to 62% of all cases.17 The frequency of performing breast frozen sections is 20% to 30% at MD Anderson in Houston, Texas, USA, where they have average 70 diagnostic frozen sections per day. In our study the frequency of breast specimens is 20% of all the cases. For thyroid lesions, the overall accuracy rate of FS is >90%.18 though the rate can drop to as low as 17% for encapsulated follicular carcinoma in some studies.19 The accuracy rate for thyroid lesions in our study is 97%. Diagnosing difficulty in follicular neoplasm and Hurthle cell neoplasm depends on capsular and vascular invasion which is not possible by FNA and FS.20 Therefore certain laboratories are reluctant to carry out FS on thyroid lesions, particularly when dealing with follicular neoplasm. In fact, some authors do not support the use of routine FS for thyroid nodules.20 The accuracy in ovarian specimens in reported studies was 90-97%.21 Sampling error is main reason for diagnostic discrepancy. This is because of remarkable heterogeneity of tumours from area to area within the same ovarian mass such as mucinous tumours and teratomas. We had diagnostic error in one case of immature ovarian teratoma where in frozen section it was given as benign. The diagnostic accuracy in our study in ovarian tumours was 50%.

Surgical margins for the skin tumours such as basal cell carcinoma and squamous cell carcinoma sometimes need to be assessed for best cosmetic results. An audit of 64 cases of basal cell carcinoma treated from 1988 to 1994 in Hong Kong showed the rate of complete excision increased after the introduction of frozen section examination, reaching 89% by 1994.25 We had single case of squamous cell carcinoma for evaluation of surgical margins in which complete excision was performed after a positive report showing involvement of margins on frozen section.

In a study done at university of Michigan Hospitals, Ann Arbor, USA on FS requests of 914 cases, it was noted that 95% were performed for appropriate reasons, which included evaluation margins (46%), establishing a primary diagnosis (43%) and determining adequacy or viability of tissue (3%).22,23 In our study was to confirm the diagnosis of malignancy especially if the lesion was suspected for malignancy on FNAC. Also helped to reach a diagnosis if the lesion was clinically and radiologically suspicious of malignancy and there was no previous core biopsy or FNAC, or if the FNAC was not adequate. Also was useful for evaluation of margins like in squamous cell carcinoma. Limitations include poor sampling of tissue, poor selection of appropriate tissue after grossing, extensive tumour degeneration or necrosis, poor assessment of capsular or vascular invasion and malignant component in ovarian teratoma. Technical problems included freezing artifact/Xylene artifact, poor quality section, bloated cell morphology and poor stained.

Pre-operative staging with CT-scan and/or MRI is used to differentiate between rectal cancer and cancer located in the sigmoid. An accurate method of tumour localization is placement of metal clips on the day of surgery, or intraoperative colonoscopy. CT-scan and MRI are essential for proper staging. With MRI of the rectum and pelvis, insight can be gained into the depth of penetration into the wall or surrounding adipose tissue, lymph nodes and perirectal fascia. CT-scan probably is more suitable to assess metastatic disease. All the more, brain tumour segmentation from MR images can have great impact for improved diagnostics, growth rate prediction and treatment planning.

With the aid of radiological technique such as ultrasound and CAT scan, fine needle aspiration can be used to reach deep seated tumours in the body and has further popularized this technique. Intra-operative cytology does not involve freezing tissue. Samples are obtained by touch imprint of fresh specimen, scraping smear preparation and squash preparation (in case of glioma of the brain). These can add a great deal of information to FS and sometimes obviate the need for it altogether.24,25 Intraoperative fluorescence imaging provides real-time visualization of signal from fluorescent reporters over a large field of view (FOV) with exceptional sensitivity and resolution.26,27 Fluorescence imaging is used during surgery to assess patency of blood vessels and ureters.28 Near-infrared (NIR) fluorescence (700 to 900nm) is often preferred for deep tissue imaging due to its higher depth of penetration and lower background fluorescence.25,28 However, NIR fluorescence is invisible to the human eye, and emitted light levels are typically low for the human eye to see, requiring camera-based detection. Clinical optical imaging systems typically consist of highly sensitive, scientific digital cameras with appropriate illumination source and optical filters for fluorescence detection.26,29,30 Fluorescence image information is acquired via attached computer, processed to reduce background signal and enhance contrast, then displayed on an adjacent digital monitor alongside or overlaying the reference bright field image (Figure 1-12).

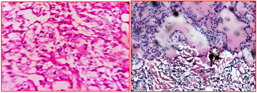
Figure 1 Hurthle cell adenoma on H&E HPE on x40, x10.
Figure 2 Hurthle cell adenoma on frozen and FNAC X40, X10.
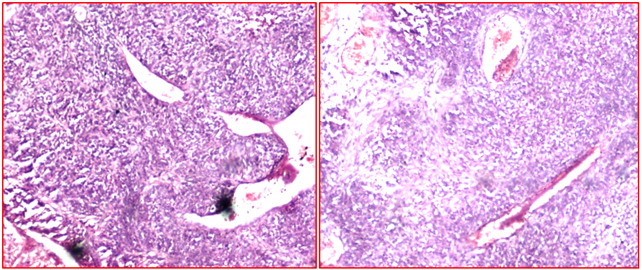
Figure 3 Papillary carcinoma thyroid On HPE H&E stain X100, Frozen section x100.
Figure 4 Papillary carcinoma thyroid on frozen X40, X10.
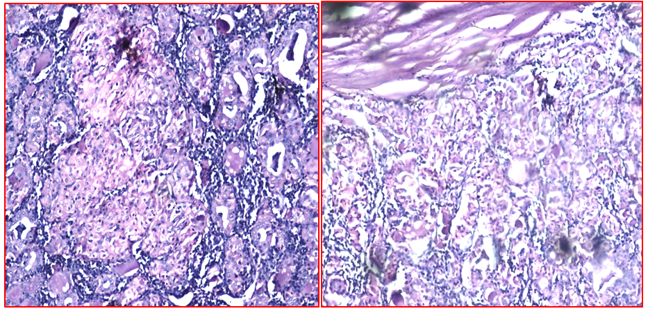
Figure 5 Adenocarcinoma stomach on histopathology and frozen.
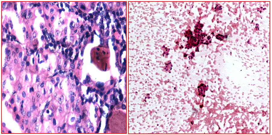
Figure 6 Immature teratoma HPE H&E X10, X10.
Figure 7 Immature teratoma, glial tissue on H&E X40 frozen section.
Figure 8 Ductal carcinoma in situ HPE, H&E x10.
Figure 9 Ductal carcinoma in situ on frozen section X10.
Figure 10 Squamous cell carcinoma H&Eon Fnac, frozen section X10, X10,
Figure 11 Well differentiated squamous cell carcinoma on H&E, x40.
Figure 12 Follicular neoplasm of thyroid on frozen and FNAC H&E on x10.

Conclusion

The role, value, and limitations of frozen section and gross consultation are variable in different sites. Frozen section aides the surgeon to choose the best therapeutic approach and in rapid diagnosis of a pathological process. Confirms the diagnosis of carcinoma if the fine needle aspiration cytology or core needle biopsies are inconclusive prior to major radical surgery. Also provides an assessment of resection margins in carcinoma. When unexpected disease process is found and requires a definite diagnosis to decide what to do next frozen section is helpful. Newer techniques like MRI scan, CT scan, optical imaging, intra-operative cytology, and immunohistochemistry techniques are also helpful in diagnosing cancers.

Acknowledgements

None.

Conflict of interest

The author declares no conflict of interest.

References

  1. Dimusto JC. Reliability of frozen sections in gynaecologic surgery. Obstet Gynaecol. 1970;35:235–240.
  2. Hazard JB, Stevenson GF. A frozen section technic. Am J Clinc Pathol. 1949;19:873.
  3. Dockerty MB. Rapid frozen sections-technique of their preparation and staining. Surg Gynaecol Obstet. 1953;97(1):113–120.
  4. Bianchi S, Palli D, Cianto S, et al. Accuracy and reliability of frozen section diagnosis in a series of 627 non palpable breast lesions. Am J Clin Pathol. 1995;103:199–205.
  5. Ferreiro JA, Myers JL, Bostwick DG. Accuracy of frozen section diagnosis in surgical pathology: review of a 1 year experience with 24,880 cases at mayo clinic Rochester. Mayo Clin Proc. 1995;70 (12):1137–1141.
  6. Khoo JJ. An audit of intraoperative frozen section Johor. Mayo Clin Proc. 1995;70(12):1137–1141.
  7. Savargaonkar P, Farmer PM. Utility of intraoperative consultations for the diagnosis of central nervous system lesions. Ann Clin Lab Sci. 2001;31(2):133–139.
  8. Hermanek P. Frozen section diagnosis in tumours of the testis. Possibilities, limitations, indications. Pathol Res Pract. 1981;173(1-2):54–65.
  9. Ghauri RR, Gunter AA, Weber RA. Frozen section analysis in management of skin cancers. Ann Plast Surg. 2009;43(2):156–60.  
  10. Ramsey AD. Errors in histopathology reporting: detection and avoidance. Histopathology. 1999;34(6):481–490.
  11. Pinto PB, Andrade LA, Derchain SF. Accuracy of intraoperative frozen section diagnosis of ovarian tumours. Gynecol Oncol. 1998;70(1):105–110.
  12. Quinlivain JA, Petersen RW, Nicklin JL. Accuracy of frozen section for the operative management of endometrial cancer. BJOG. 2001;108 (8):798–803.
  13. Dionardo LJ, Lin J, Karageorge LS, et al. Accuracy, utility of frozen section margins in head and neck cancer surgery. Laryngoscope. 2000;110:1773–1776.
  14. Hwang SY, Brett RH. An audit of parotidectomy in Singapore: a review of 31 cases. Med J Malaysia. 2003;58(2):273–278.
  15. Rosai J, Ackerman LV. The pathology of tumors. Part II: Diagnostic techniques. CA Cancer J Clin. 1979;29(1):22–23.
  16. Wen MC, Chen JT, Ho WL. Frozen section diagnosis in surgical pathology: a quality assurance study. Kaohsiung J Med Sci. 1997;13(9):534–539.
  17. Fadwa JA. Audit of breast frozen sections. Ann Saudi Med. 2004;24(2):141–144.
  18. Lecteurtre E, Leroy X, Pattou F, et al. Why do frozen sections have limited value in encapsulated or minimally invasive follicular carcinoma of the thyroid? Am J Clin Pathol. 2001;115(3):370–374.
  19. Tamimi DM. Value of routine frozen section diagnosis of thyroid lesions. Saudi Med J. 2001;22(11):995–998
  20. Richards ML, Chisholm R, Bruder JM, et al. Is thyroid frozen section too much or too little? Am J Surg. 2002;184(6):510–514.
  21. Tangjitgamol S, Jesadapatrakul S, Manusirivithaya S. Accuracy of frozen section in diagnosis of ovarian mass. Int J Gynecol Cancer. 2004;30:349–349.
  22. Anne DW. Am family physician. 2003;67(8):1807.
  23. Weiss SW, Willis J, Jansen J, et al. Frozen section consultation .Utilization patterns and knowledge base of surgical faculty at a university hospital. Am J Clin Pathol. 1995;104(3):294–298.
  24. Mair S, Lash RH, Suskin D, et al. Intraoperative surgical specimen evaluation. Frozen section analysis, cytologic examination, or both? A comparative study of 206 cases. Am J Clin pathol. 1991;96(1):8–14.
  25. Mak AS, Poon AM, Leung CY, et al. Audit of basal cell carcinoma in Princess Margaret Hospital, Hong long: usefulness of frozen section examination in surgical treatment. Scand J Plast Reconstr Surg Hand Surg. 1995;29(2):149–152.
  26. Gioux S, Choi HS, Frangioni JV. Image-guided surgery using invisible near-infrared light: fundamentals of clinical translation. Mol Imaging. 2010;9(5):237–255.
  27. Gross H. Handbook of Optical Systems, Survey of Optical Instruments. Weinheim, Germany: Wiley-VCH; 2005.
  28. Kisu I, Banno K, Mihara M, et al. Indocyanine green fluorescence imaging for evaluation of uterine blood flow in cynomolgus macaque. PLoS One. 2012;7(4):e35124.
  29. Marshall MV, Rasmussen JC, Tan IC, et al. Near-infrared fluorescence imaging in humans with indocyanine green: a review and update. Open Surg Oncol J. 2012;2(2):12–25.
  30. Liu Y, Akers WJ, Bauer AQ, et al. Intraoperative detection of liver tumors aided by a fluorescence goggle system and multimodal imaging. Analyst. 2013;138(18):2254–2257.
Creative Commons Attribution License

©2017 Vahini, et al. This is an open access article distributed under the terms of the, which permits unrestricted use, distribution, and build upon your work non-commercially.