Submit manuscript...
eISSN: 2471-0016

International Clinical Pathology Journal

Case Report Volume 2 Issue 1

Large B-cell lymphoma: a unique case with an insertional translocation of the entire MYC locus

Ariana Geromes,1 Tori Leftwich,1 Kelley Mast,1 Ashwini Yenamandra1

1Pathology, Microbiology and Immunology, Vanderbilt University School of Medicine, USA
1Pathology, Microbiology and Immunology, Vanderbilt University School of Medicine, USA

Correspondence: Ariana Geromes, Vanderbilt University School of Medicine, Department of Pathology, Microbiology, and Immunology, MCN C-3324, 1161 21st Ave. South, Nashville, TN 37232-2561, USA, Tel 37232-2561

Received: January 01, 1971 | Published: January 12, 2016

Citation: Geromes A, Leftwich T, Mast K, et al. Large B-cell lymphoma: a unique case with an insertional translocation of the entire MYC locus. Int Clin Pathol J. 2016;2(1):1–2. DOI: 10.15406/icpjl.2016.02.00026

Download PDF

Abstract

Follicular lymphoma is characterized by the t(14;18)(q32;q21) translocation involving the BCL-2 and IGH genes. Aggressive double-hit lymphomas can arise from follicular lymphoma and are defined by a combination of a chromosomal breakpoint affecting MYCwith one or more additional lymphoma associated abnormalities. We present a case of a 66year-old woman with a history follicular lymphoma who developed a large B-cell lymphoma with a novel Insertional translocation of the entire MYC locus from the 8q24.1 region into the derivative chromosome 14 of the t(14;18) translocation. Additionally, the fusion IGH and BCL2 from the derivative chromosome 14 moved to same chromosome 8 at 8q24.1. To our knowledge, this type of insertion of the entire MYC locus into der(14) of the t(14;18), and subsequent movement of the fused IGH/BCL2 into 8q24.1, has not been previously reported.

Keywords: follicular lymphoma, large B-cell lymphoma, MYC, IGH, BCL-2, translocation, cytogenetic, immunohistochemistry, chromosome, hemolysis, lambda staining, follicular lymphoma

Abbreviations

Der(14), derivative chromosome 14; FISH, fluorescence in situ hybridization hyper; CVAD, chemotherapy with cyclophosphamide vincristine doxorubicin and dexamethasone

Introduction

Follicular lymphoma is characterized by the t (14;18)(q32;q21) translocation leading to the juxtaposition of the BCL-2 proto-onco gene with the IGH promoter causing deregulation and over expression of this anti-apoptotic molecule. Additional cytogenetic abnormalities are often present in these malignancies and further aberrations can accrue and lead to the development of higher grade B-cell lymphomas. These high-grade lymphomas often display complex cytogenetic abnormalities including rearrangements of MYC.1 Double-hit lymphomas can arise from follicular lymphoma2 and are defined by a combination of a chromosomal breakpoint affecting the MYC locus with one or more additional lymphoma associated abnormalities, frequently t(14;18).3These malignancies have an aggressive clinical course and are typically resistant to chemotherapy. We present a case of a novel MYC rearrangement arising in a background of follicular lymphoma.

Case presentation

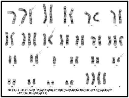
A sixty-six year old woman with a history of low grade follicular lymphoma, initially diagnosed in 2005 with bone marrow involvement, presented for evaluation of fever, hemolysis and thrombocytopenia in November of 2015. Her bone marrow biopsy showed extensive replacement by a population of large, atypical B-cells with variable forward scatter and the following abnormal immunophenotype by flow Cytometry: negative for significant kappa or lambda staining; positive for CD10, CD19 (bright), CD38, CD45, and cytoplasmic CD79a (heterogeneous dim); negative for CD5, CD20, CD23, CD34, CD200, and TdT. Increased expression of BCL-2 and MYC was demonstrated by immunohistochemistry. Cytogenetics was highly abnormal in 18 out of the 20cells with a complex karyotype: 50,XX,+X,+X,+1,der(1;15)(q10;q10),+7,?t(8;[der(14)t(14;18)(q32;q21.3)])(q24;q32),+12,t(14;18)(q32;q 21.3), (Figure 1). FISH studies performed on the same specimen revealed a t(14;18) in 87% of the cells. Metaphase FISH analysis of t(14;18) and MYCslides revealed that the derivative chromosome 14(der(14)) appeared to be involved in an additional rearrangement with the MYClocus at 8q24. Directed metaphase FISH studies indicated that a portion of the der(14), including the IGH/BCL2 fusion signal, moved to the 8q24 region and the entire MYClocus from the same chromosome 8 was inserted into the der(14) (Figure 2). Additional probes detected a residual IGH signal on the der(14). No residual MYCsignal at 8q24 was detected; instead, a fusion of the entire MYClocus with the residual IGH was observed on the der(14) (Figure 3). Based on these findings, it is unclear if the IGH/BCL-2 fusion localized at 8q24 is fused with a residual portion of the MYClocus resulting in a complex MYC/IGH/BCL-2. It is also not clear if this complex rearrangement involves additional genes. The patient underwent one cycle of chemotherapy with cyclophosphamide, vincristine, doxorubicin, and dexamethasone (Hyper CVAD) shortly after diagnosis. She was subsequently discharged with outpatient follow up.

Figure 1 The patient’s complex karyotype.
Figure 2A t (14;18) probes show two IGH/ BCL-2 fusion signals (yellow). One of these fusion signals has translocated to chromosome 8; the other remains on chromosome 18.
Figure 2B MYC fusion probes show that one copy of the MYC locus has translocated to the derivative chromosome 14.
Figure 3 Additional probes reveal a fusion of the entire MYC locus with the residual IGH on the derivative chromosome 14.

Discussion

The patient’s IGH/BCL-2 rearrangement is not unexpected given her long standing history of follicular lymphoma. The complex MYC rearrangement possibly involving the IGH/BCL-2 fusion, however, is unusual, and its precise nature remains unclear. While MYC is commonly involved in double-hit and triple-hit lymphomas, it is unclear whether the current case represents a true break in the MYC locus, or a total insertion of the locus intact. Regardless, the cytogenetic finding of the MYC rearrangement and it’s over expression by immunohistochemistry portend a poor prognosis. Other groups have reported complex translocations/rearrangements involving IGH, BCL-2, and or MYC in double-hit B-cell lymphoma arising from follicular lymphoma,4 and in large B-cell lymphomas in general,5,6 but to our knowledge, the specific insertional translocation of MYC into the der(14) of the t(14;18), and the subsequent movement of the fused IGH/BCL2 to 8q24.1, has not been previously reported in the literature.

Conclusion

In summary, we present a case with a novel rearrangement involving MYCin large B-cell lymphoma with an IGH/BCL-2 rearrangement and BCL-2 and MYCover expression by immunohistochemistry.

Acknowledgements

None.

Conflict of interest

The author declares no conflict of interest.

References

Creative Commons Attribution License

©2016 Geromes, et al. This is an open access article distributed under the terms of the, which permits unrestricted use, distribution, and build upon your work non-commercially.