Submit manuscript...
eISSN: 2471-0016

International Clinical Pathology Journal

Case Report Volume 2 Issue 2

Malignant proliferating trichilemmal tumour: a case report

Rachana Dhakal1

1Department of Pathology, Kathmandu University School of Medical Sciences, Nepal
1Department of Pathology, Kathmandu University School of Medical Sciences, Nepal

Correspondence: Rachana Dhakal, Department of Pathology, Kathmandu University School of Medical Sciences, Nepal, Tel 9779 8417 77944

Received: January 01, 1971 | Published: February 26, 2016

Citation: Dhakal R. Malignant proliferating trichilemmal tumour: a case report. Int Clin Pathol J. 2016;2(2):28–29. DOI: 10.15406/icpjl.2016.02.00033

Download PDF

Abstract

Proliferating trichilemmal tumour (PTT) is an uncommon neoplasm that has been derived from the outer root sheath of hair follicle. We describe a case of a 73year old female who presented with solitary friable nodular mass on scalp measuring 3.5x2x1cm.She underwent local excision of this growth. Histologically, tumour shows trichilemmal keratinisation without interposed granular layer which was characterized by poor circumscription with invasion of surrounding tissue with marked nuclear atypia, hyperchromasia and atypical mitotic activity.

Introduction

Proliferating trichilemmal tumour (PTT) is a rare skin neoplasm. It was first described as “proliferating epidermoid cyst” by Wilson and Jones in 1966.1These lesions are the cutaneous neoplasms that are derieved from the outer root sheath of the hair follicles.2PTT present as solitary nodules on scalp in elderly women. In rare instances, malignant transformation of proliferating trichilemmal cyst takes place.3–5 This is indicated clinically by rapid enlargement of the nodule. Histopathologically, tumour shows trichilemmal keratinisation without interposed granular layer, invasion associated with nuclear atypia, giant cell nuclei and tumour necrosis that indicate malignancy which is described as malignant proliferating trichilemmal tumour (MPTT).6

Case report

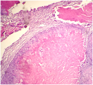
A 73year old male presented to the hospital with a solitary friable nodular mass on scalp measuring 3.5x2x1cm.She underwent local excision of this growth. Grossly, specimen consists of single piece of partly skin covered friable nodular mass 3.5x 2x1cm. Histologically, tumour shows trichilemmal keratinisation without interposed granular layer which was characterized by poor circumscription with invasion of surrounding tissue with marked nuclear atypia, hyperchromasia and atypical mitotic activity (Figure 1 & Figure 2).

Figure 1 Tumour islands of pleomorphic squamous cells with keratin pearls in dermis (X40).
Figure 2 Trichilemmal keratinisation without interposed granular layer (X40).

Discussion

 PTT are the rare cutaneous neoplasm that occurs as solitary nodular mass which are most commonly found on scalp of the elderly women.4 The other less common sites are neck, trunk, armpits, groin, lower and upper limbs, upper lip and buttocks.4,7,8 Malignant change in trichilemmal cyst is rare. These tumours develop in the course of time from the foci of proliferating epithelial cells in the trichilemmal cysts because of factors such as trauma or chronic inflammation.9 Histologically, malignancy is characterized by poor circumscription with invasion of surrounding tissue with marked nuclear atypia, hyperchromasia and atypical mitotic activity.10Different reports have mentioned local or lymph node spread but hematogenous spread has been rarely reported.11–15

Squamous cell carcinoma should be considered as differential diagnosis but trichilemmal keratinisation is important to differentiate SCC from MPTT.2,4 Immunohistochemistry such as Ki67, p53 and CD34 plays a significant role for the diagnosis and differential diagnosis of PTTs and morphological characteristics . Ki67 and p53 were used when MPTT cases were compared with PTT.2,16,17 CD34 is an important marker to differentiate SCC from MPTT.2 The higher risk of metastasis is present when the lesion occurs in areas other than scalp, when it is fast growing and infiltrative, is over five centimeters in diameter and shows cytological atypia and mitotic activity.18The treatment of choice is surgical resection. However, due to high local recurrence rate, Mohs micrographic surgery would be a therapeutic option.19

Conclusion

MPTT appears as diagnostic dilemma for the surgeon as well to the pathologists. It is crucial to distinguish MPTT from SCC due to similar morphological characteristic which may affect the treatment approach for the patient. Hence, immunohistochemistry is useful in differential diagnosis and determining morphological characteristics.

Acknowledgements

None.

Conflict of interest

The author declares no conflict of interest.

References

  1. Jones EW. Proliferating epidermoid cysts. Arch Dermatol. 1996;94(1):11–19.
  2. Chaichamnan K, Satyasoontorn K,Puttanupaab S, et al. Malignant proliferating trichilemmal tumours with CD34 expression. J Med Assoc of Thai. 2010;93(Suppl 6):S28–34.
  3. Brownstein MH, Arluk DJ. Proliferating trichilemmal cyst: a stimulant of squamous cell carcinoma. Cancer. 1981;48(5):1207–1214.
  4. Satyaprakash AK, Sheena DJ, Sangueza OP. Proliferating trichilemmal tumours: a review of the literature. Dermatol Surg. 2007;33(9):1102–1108.
  5. Matte SMW, Melo IS, Pinto MS, et al. Cisto triquilemal proliferante:relato de um caso exuberante. An Bras Dermatol. 1997;72:206–210.
  6. Amaral AL, Nascimento AG, Goellner JR. Proliferating pilar (trichilemmal) cyst. Report of two cases, one with carcinomatous transformation and one with distant metastasis. Arch Pathol Lab Med. 1984;108(10):808–810.
  7. Yamaguchi J, Irimajiri T, Ohara K. Proliferating trichilemmal cyst arising in the arm of a young woman. Dermatolog. 1994;189(1):90–92.
  8. Karaca S, Kulac M, Dilek FH, et al. Giant Proliferating trichilemmal tumours of the gluteal region. Dermatol Surg. 2005;31(12):1734–1736.
  9. Leppard BJ, Sanderson KV. The natural history of trichilemmal cysts. Br J Dermatol. 1976;94(4):379–390.
  10. Rutty GN, Richman PI, Laing JH. Malignant change in trichilemmal cysts: a study of cell proliferation and DNA content. Histopathology. 1992;21(5):465–468.
  11. Sau P, Graham JH, Helwig EB. Proliferating epithelial cysts: clinicopathological analysis of 96 cases. J Cutan Pathol. 1995;22(5):394–406.
  12. Folpe AL, Reisenauer AK, Mentzel T, et al. Proliferating trichilemmal tumours: clinicopathological evaluation is a guide to biologic behavior. J Cutan Pathol. 2003;30(8):492–498.
  13. Hayashi I, Harada T, Muraoka M, et al. Malignant proliferating trichilemmal tumour and CAV(cisplatin, adriamycin, vindesine)treatment. Br J Dermatol. 2004;150(1):156–157.
  14. Lopez-Rios F, Rodriguez-Peralto JL, Aguilar A, et al. Proliferating trichilemmal cyst with focal invasion: report of a case and a review of literature. Am J Dermatopathol. 2000;22:183–187.
  15. Tierney E, Ochoa M, Rudkin G, et al. Mohs’ micrographic surgery of a proliferating trichilemmal tumour in a young man. Dermatol Surg. 2005;31(3):359–363.
  16. Gulati HK, Deshmukh SD, Anand M, et al. Low-grade malignant proliferating pilar tumor simulating a squamous-cell carcinoma in an elderly female: a case report and immunohistochemical study. Int J Trichology. 2011;3(2):98–101.
  17. Rangel-Gamboa L, Reyes-Castro M, Dominguez-Cherit J, et al. Proliferating trichilemmal cyst: the value of ki67 immunostaining. Int J Trichology. 2013;5(3):115–117. 
  18. Folpe AL, Reisenauer AK, Mentzel T, et al. Proliferating trichilemmal tumors: clinicopathologic evaluation is a guide to biologic behavior. J Cutan Pathol. 2003;30(8):492–428.
  19. Tierney E, Onchoa MT, Rudkin G, et al. Mohs’ micrographic surgery of a proliferating trichilemmal tumor in a young black man. Dermatol Surg. 2005;31(3):359–363.
Creative Commons Attribution License

©2016 Dhakal. This is an open access article distributed under the terms of the, which permits unrestricted use, distribution, and build upon your work non-commercially.