Submit manuscript...
eISSN: 2471-0016

International Clinical Pathology Journal

Research Article Volume 3 Issue 1

Primary giant cell-rich lesions of bone with role of denosumab - histopathological study with clinicoradiological correlation

Vishal M Modi, Mitul B. Modi, Dhaval H Jetly, Shailee P Mehta, Mittal Kundariya, Meghavi Joshi

1Department of Pathology, Gujarat Cancer Research Institute, India
1Department of Pathology, Gujarat Cancer Research Institute, India

Correspondence: Mitul B. Modi, Address Department of Pathology, Gujarat Cancer Research Institute (GCRI), Tel 9196 6201 0331

Received: January 01, 1971 | Published: October 27, 2016

Citation: Modi VM, Modi MB, Jetly DH, et al. Primary giant cell-rich lesions of bone with role of denosumab - histopathological study with clinico-radiological correlation. Int Clin Pathol J. 2016;3(1):173–175. DOI: 10.15406/icpjl.2016.03.00066

Download PDF

Abstract

Introduction: The diagnosis of primary giant cell-rich lesion of bone is often difficult even for experienced pathologist. The diagnostic histological features are: multinucleated osteoclast-like giant cell and a mononuclear stroma. But sometimes, from the histological picture alone, it is difficult to differentiate between different lesions such as a Giant-cell tumour of bone, Aneurysmal Bone Cyst and Giant-cell Reparative Granuloma. Many of these lesions show some characteristic features such as typical anatomic location and age of the patient, which are also important supporting factor for diagnosis. Hence histopathological study with clinico-radiological correlation is mandatory for precise and accurate diagnosis. These parameters are important for the treatment and prognosis of these lesions.

Aims & objective: Aims of the study were, to study Histopathology of Primary Giant cell-rich lesion of bone, to study the clinico-radiological correlation in these lesions & to study the diagnostic utility of findings these lesions.

Material & method: In the present study, we have retrospectively examined 50 cases of primary giant-cell rich lesions of bone using biopsy tissue and large resected tissue material. All patients were diagnosed and treated at our institute from 1/10/2013 to 30/9/2014. Patients’ details, Clinical Examination, Histopathological Examination, Radiological details were studied and correlated.

Result & conclusion: Common lesions under this category were Giant Cell Tumour of Bone (41), Aneurysmal Bone Cyst (04), Giant Cell-Rich Osteosarcoma (02), Giant Cell Reparative Granuloma (02), and Fibrous Dysplasia (01). Detailed Histopathological study and clinic-radiological correlation is very helpful to arrive at precise and accurate diagnosis. This in turn, is very helpful for precise treatment of these patients and to know the prognosis of these patients.

Keywords: giant cell tumor, denosumab, aneurismal bone cyst, clinico-radiological-histopathological correlation, bone tumor

Abbreviations

GCRG, giant-cell reparative granuloma; GCT, giant-cell tumour of bone; ABC, aneurysmal bone cyst; GCROS, giant-cell rich osteosarcoma; IRB, institutional review board; H & E, hematoxylin and eosin

Introduction

Large group of giant cell rich lesions include: Giant-cell Tumour of bone (GCT), Aneurysmal Bone Cyst (ABC), Giant-cell Reparative Granuloma (GCRG), Giant-cell Rich Osteosarcoma (GCROS) and Fibrous Dysplasia.1–8 All giant cell rich lesions have numerous multinucleated osteoclast-like giant cells, but have different clinico-radiological and morphological features. Radiological investigations, like typical anatomic location and age of the patient are important for precise diagnosis. Hence, histopathological study with clinic-radiological correlation is mandatory for accurate diagnosis. They are important from the treatment and prognosis aspects, too.

Materials and methods

A retrospective study, of giant cell rich lesions (50cases) was done at GCRI for the period from October 2013 to September 2014. Each case was investigated according to following details: patients’ details, registration no., name, age, sex, clinical examination & type of specimen. Institutional Review Board (IRB) committee has approved this study for the publication and for further research purposes. On Histopathological Examination, specimens & biopsies were fixed in 10% neutral formalin, embedded in paraffin wax, stained with Hematoxylin and eosin (H & E) & mounted with DPX, which were examined for the following characteristics: growth pattern, cell size, cell shape, nuclear characteristics, radiological examination, pleomorphism, mitosis, stroma & necrosis. Radiological findings (X ray, CT scan, MRI, etc.) of all patients are obtained from patient medical records.

Result

Out of total fifty cases, twenty six cases were female & twenty four cases were male. Median age of patients was 30 years.1 Most common presenting complain of the patient is pain and inflammation at local site. On radiological examination (X-Ray of lesion) following features were observed.1

  1. Giant Cell Tumor: mostly well marginated, purely lytic lesion.
  2. Aneurysmal Bone Cyst: area of lucency situated eccentrically in medullary cavity.
  3. Giant Cell Reparative Granuloma: mostly radiolucent & bone, commonly expanded.
  4. Giant Cell Rich Osteosarcoma: ill-defined lytic & sclerotic lesion.
  5. Fibrous Dysplasia: well defined zone of rarefaction & ground glass app.
  6. Out of total fifty cases, (6 cases) 12% were malignant, and (44 cases) 88% were benign lesions (Figure 1-5).

Figure 1 graphical distribution of giant cell lesions with different proportions of giant cell tumors among them.

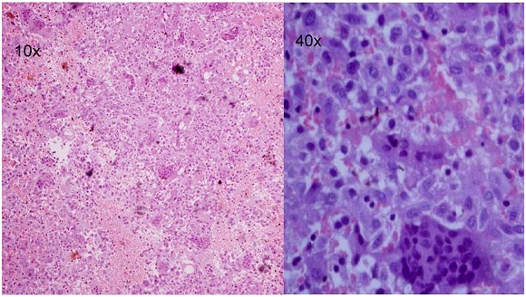
Figure 2 H&E Stained section show large osteoclast like giant cells and uniform ovoid mononuclear cells (Giant Cell Tumor).

Figure 3 H&E Stained section show osteoclast like giant cells , mononuclear malignant cells and malignant osteoid (Giant cell rich Osteosarcoma).

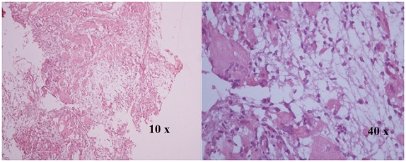
Figure 4 H&E Stained section show spaces separated by septa containing blood. Septa compose of osteoclast like giant cell and fibroblast  (Aneurysmal bone cyst).

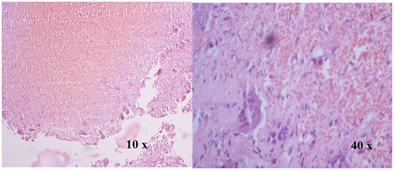
Figure 5 H&E Stained section show osteoclast like giant cells in cluster and mononuclear cells are loosely arranged and mainly in spindle shape (Giant cell reparative granuloma).

On histopathological examination aneurysmal bone cyst showed various cystic spaces separated by blood. Septation is one of the most important aspects of the aneurysmal bone cyst. These septa are composed of osteoclast like giant cell and fibroblast.

In selected patients (30) with giant cell rich lesions, when Denosumab was given after the consent of the patients, biopsy of tumor specimens from the same patients showed decreased number of giant cells and tumor cells post treatment with Denosumab. Inoperable tumor becomes operable after that.

Pathologist must keep in mind the treatment of the patient while evaluating histopathology of represented material.

Discussion

Osteoclast like giant cells may dominate the histologic pattern not only in the giant cell tumor but also a variety of bone lesions namely aneurysmal bone cyst , giant cell-rich osteosarcoma, chondroblastoma, giant cell reparative granuloma and fibrous dysplasia.2–4

Most of these occurs in adult life (2nd -3rd decade), except for giant cell tumor and chondroblastoma, Giant cell-rich lesions don’t affect the epiphysis on primarily level. In young patient, chondroblastoma and in patient older than 20years, giant cell tumor should be included in differential diagnosis. However, to avoid confusion and to reach to a definitive diagnosis in such cases, it is necessary to take into account histological features, Clinico- radiologic correlation, age of patient and site of lesions.

We studied the mainly the cases of giant cell tumour of bone (41), aneurysmal bone cyst (04), giant cell-rich osteosarcoma (02), giant cell reparative granuloma (02), and fibrous dysplasia (01) at our cancer institute. Detail Histopathological study and clinic-radiological correlation is very helpful to reach the precise and accurate diagnosis. This is very helpful for precise treatment of these patients and to know the prognosis of these patients.

Denosumab is very effective in reduction of tumour load. It also causes significant changes in tumour composition in patients with giant cell tumor.

Denosumab is a newer monoclonal antibody which is an inhibitor of Receptor Activator of Nuclear factor Kappa B ligand (RANKL) which causes decrease in number of tumour Giant cells as well as decrease in tumour load. All in all, post Denosumab treatment, tumour size did reduce and in turn inoperable tumour became operable. Pathologist must keep in mind the treatment of the patient while evaluating histopathology of represented material.5–7,9,10 Denosumab has proven to be helpful in treatment of aneurysmal bone cyst.9

Conclusion

Detailed histopathological study and clinic-radiological correlation is very helpful to arrive at precise and accurate diagnosis in giant cell rich lesions. Denosumab, a newer monoclonal antibody causes decrease in number of tumor Giant cells as well as decrease in tumor load (GCT). Denosumab is also helpful in treatment of aneurysmal bone cyst. Post Denosumab treatment, tumor size is reduced & inoperable tumor becomes operable. Pathologist must kept in mind treatment of the patient for proper evaluation of Histopathology of represented material.

Acknowledgements

We, all authors, would like to thank Dr. R. K. Vyas, Director of Gujarat Cancer & Research Institute, Ahmedabad for allowing us to publish this article.

Conflict of interest

The author declares no conflict of interest.

References

Creative Commons Attribution License

©2016 Modi, et al. This is an open access article distributed under the terms of the, which permits unrestricted use, distribution, and build upon your work non-commercially.