Submit manuscript...
eISSN: 2471-0016

International Clinical Pathology Journal

Research Article Volume 1 Issue 5

Role of cell block in diagnostics-a new paradigm in cancer diagnosis

Radha Sharma,1 Neeraj Nagaich,2 Shubha Gupta,2 Yash vardhan,2 Sheetal Nepalia2

1Department of pathology SDMH jaipur, India
1Department of pathology SDMH jaipur, India
2Department of Gastroenterology, SMS Medical college jaipur, India
2Department of Gastroenterology, SMS Medical college jaipur, India

Correspondence: Radha Sharma, A-9 shantinagar, Ajmer road, Jaipur.302006, Department of pathology SDMH jaipur, India, Tel 9194 14600 141, Fax (044) 418-3306

Received: January 01, 1971 | Published: December 28, 2015

Citation: Sharma R, Nagaich N, Gupta S, et al. Role of cell block in diagnostics-a new paradigm in cancer diagnosis. Int Clin Pathol J. 2015;1(5):113–118. DOI: 10.15406/icpjl.2015.01.00025

Download PDF

Abstract

Major limitation of the conventional FNA smear is the limited material availability for adjuvant diagnostic investigations including Immunocytochemistry. The cell block technique may aid in overcoming this limitation. Cell-block preparations made from sedimented cells can be useful adjunct to the routine cytological methods used for pleural and peritoneal fluids. There are only few studies evaluating its diagnostic efficacy and additional benefits when used with routine cytology. This study was conducted to compare the diagnostic efficacy parameters of cell-blocks and routine cytological smears of fluids and fine needle aspirate in suspected cases of malignancy. Use of cell-blocks as an adjunct to routine cytology smears of body fluids can increase the sensitivity to a considerable extent. It is of further use in pin-pointing a diagnosis by pattern recognition or immunohistochemistry. Cell blocks should be considered in all fine-needle aspiration specimens whenever possible and in selective cases of exfoliative cytology specimens after review of the smears to increase the diagnostic yield.

Keywords: cytopathology, immunohistochemistry, molecular diagnosis, fine needle aspiration, staining; statistical analysis, malignant lesions, immunomarkers

Abbreviations

EUS-FNA, endosonography-guided fine-needle aspiration; IHC, immuno histochemical; H&E, hematoxylin and eosin; FNA, fine needle aspiration

Introduction

The two ends of spectrum benign to malignant pose no problem, however in the middle lies a “no man’s land” where wise men tread cautiously. Surgical Pathology and Cytopathology are the main stay in the tumor diagnosis. However, newer technologies like-Immunohistochemistry, Molecular diagnosis, Flowcytometry and Tumor markers introduced in the past decade, have contributed immensely towards achieving accuracy of diagnosis.1 It has been found that the examination of cytologic material for evidence of malignant neoplasm by the cell block technique is an eminently worthwhile and dependable procedure provided suitable methods and proper diagnostic criteria are provided.2,3 The improved availability of Immuno Histochemical (IHC) stains in recent years has also increased the desire for cell block preparation in cytopathology laboratories because, larger numbers of initial diagnoses of today are being evaluated by fine needle aspiration versus the past, when a biopsy or resection was available to the pathologist.4 Contrary to the attempt to single out smear or cell block as being superior to the other, the main aim of this study was to access the utility of cell block in increasing the cytodiagnosis of fine needle aspirates and fluids and to apply immuno histochemical markers on cell blocks and evaluate whether the cell block material fixed in 10% formalin, is suitable for immunohistochemistry (IHC). It has been seen in various studies that the cytologic examination of fluids and fine needle aspirates by means of smears, no matter how carefully prepared, leaves behind a large residue that is not further investigated and that might contain valuable diagnostic material and this residual material can be evaluated in a simple and expedient fashion by treating it as a cell block, embedded in paraffin and examined in addition to the routine smears.5,6 The utility of cell blocks in comparison to smears is immense for observing architecture parallels which cannot be observed in cyto smears. Moreover IHC stains can be performed on cell blocks more successfully.7 The main aim of this study was to access the utility of cell blocks in increasing the cytodiagnosis of fine needle aspirates and fluids and to apply IHC markers to enhance diagnosis.

Aims and objective

  1. To assess the utility of cell blocks in increasing the sensitivity of cytodiagnosis of fine needle aspirates and fluids.
  2. Comparison of results obtained immediately from cytologic smears with results of cell block analysis.
  3. To apply immunohistochemical markers on a few cases and evaluate whether the Cell Block material fixed in 10% formalin is suitable for IHC
  4. To assess the utility of cell blocks in increasing the sensitivity of cytodiagnosis of fine needle aspirates and fluids.
  5. Comparison of results obtained immediately from cytologic smears with results of cell block analysis.
  6. To apply IHC markers on a few cases and evaluate whether the Cell Block material fixed in 10% formalin is suitable for immunohistochemistry.

Study design

This is a prospective and retrospective study conducted in the Department of Histopathology, Santokba Durlabhji Memorial Hospital & research institute Jaipur, over a period of 16 months from April 2010 to July 2011. The cases and specimen were collected from the patient of SDM Hospital, Jaipur and also from samples which were referred from other health centre for diagnosis.

  1. Sample size
    1. During the study period 284 cases of FNAC/fluid were evaluated by smear examination along with simultaneous evaluation of cell blocks.
    2. From these, 58 cases were excluded as
      1. In 30 cases material was inadequate on both smears and cells blocks.
      2. In 6 cases histopathology of malignant tumors was not available.
      3. In 22 Cases complete clinical details were not available.
    3. Final study thus includes 226 cases for evaluation.
  2. Cytopreparatory technique
  1. Procedure of preparing cell blocks (Material obtained by fine needle aspiration.
    1. After preparing smears, aspirated material remaining in the syringe was flushed into 10% formalin and kept for minimum 4-6 hours for fixation.
    2. Centrifugation was done at 2500 rpm for 15 minutes.After centrifugation the supernatant was poured off and the sediment was taken on a filter paper.
    3. Processing, embedding and section cutting was performed by usual method.
  2. Body fluids:
    1. For cell block preparation remaining fluid was centrifuged at 2500 rpm for 15 minutes.
    2. Supernatant was poured off and button was resuspended in 10% formalin and fixed for minimum 4-6 hours.
    3. Centrifugation was done at 2500 rpm for 15 minutes.
    4. After centrifugation the supernatant was poured off and sediment was taken on a filter paper. Processing, embedding and section cutting was performed by usual method.
  3. Staining procedure for cell blocks: Sections were stained with H & E. Whenever necessary sections were stained with special stains. Selected immunomarkers (basic panel, PAN-CK, LCA, Vimentin, S-100) were applied to 19 cell blocks of FNAC and 12 cell blocks of fluids along with controls.
  4. Statistical analysis: The data was analyzed by using various parameters like mean, sensitivity, and applying Pearson chisquare test using SPSS statistical software.

Discussion

Diagnostic cytology is the scientific art of interpretation of cells from the human body that exfoliate or are removed from their physiologic milieu. It has been seen in various studies that the cytologic examination of fluids and fine needle aspirates by means of smears, no matter how carefully prepared, leaves behind a large residue that is not further investigated and that might contain valuable diagnostic material and this residual material can be evaluated in a simple and expedient fashion by treating it as a cell block, embedded in paraffin and examined in addition to the routine smears.5 Immunocytochemistry is increasingly used as an adjunct to conventional cytomorphology in the diagnosis of fine needle aspirates. But some limitations like, limited number of smears for testing, not necessarily specific staining and lack of parallel samples of the same cells for additional or control tests occurs with smears.4 Moreover, use of considerable volume of antibodies to cover large areas of less cellular smears increases the cost.8 Cytological smear is a widely employed technique to analyse specimens obtained from endosonography-guided fine-needle aspiration (EUS-FNA), however, false-negative or inconclusive results may often occur.

A better diagnostic yield can be obtained from processing cell blocks (Figure 1). When compared in the diagnosis of pancreatic neoplasms the effectiveness of the cell block technique over cytological smear was reported. An almost 10-year study investigated about 600 patients: positive and negative predictive values, accuracy of the smears versus cell blocks in diagnosing pancreatic tumors were 61% versus 85.2% (P<0.001), 100% versus 93.1%, 100% versus 98.4%, 36% versus 55.1% (P=0.046) and 68% versus 86.5% (P<0.001), respectively. Cytological smears. The cell block technique demonstrated a higher sensitivity, negative predictive value and accuracy than cytological smears. Other more recent findings with less patients (about 60) again suggested that, cell block immunohistochemistry on EUS-FNA specimens may offer a much higher diagnostic efficacy in patients with pancreatic lesions than does smear cytology.

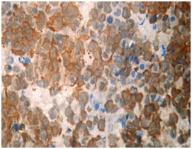
Figure 1 Cell block tissue section showing small cell carcinoma negative for CD45 (arrows).

There is sparse corroborative study in the literature on the routine use of cell blocks, probably because differing emphasis placed on them in various institutions.9 Thus inspired by this, we conducted the present study. The purpose of this study was to access the utility of cell blocks in increasing the cyto diagnosis of fine needle aspirates and fluids and to apply IHC markers and evaluate whether the cell block material fixed in 10% formalin is suitable for immunohistochemistry. In a similar study done by Shivakumarswamy UI et al.10 CB method provides high cellularity, better architectural patterns, morphological features and an additional yield of malignant cells, and thereby, increases the sensitivity of the cytodiagnosis when compared with the CS method.7

Summary

Cell block technique or paraffin embedding of fine needle aspirates and fluids is among the oldest methods of preparing material for microscopic examination. The main advantage of the cell block is the potential to make many sections for special stains and other ancillary techniques, especially immunomarker studies. We conducted the study entitled “comparative analysis of cell block preparation versus smear examination in the fine needle aspirates and fluids and application of IHC markers on cell block preparation.” The purpose of the study was to assess the utility of cell blocks in increasing the sensitivity of cytodiagnosis of fine needle aspirates and fluids, comparison of results obtained immediately from cytologic smears with results of cell block analysis and to apply IHC markers on a few cases and evaluate whether the cell block material (fixed in 10% formalin and paraffin embedded) is suitable for immunohistochemistry.

A total of 226 cases of fine needle aspirate and fluids were included in our study. All smears were stained with H&E and papanicolaou (MGG whenever required). Cell blocks (fixed in 10% formalin and paraffin embedded) sections were stained with H&E and categorized in to 4 diagnostic groups. Basic panel of immunomarkers (PAN -CK, LCA, Vimentin, S-100) was applied on selected 19 cell blocks of malignant tumours of FNAC and selected 12 cell blocks of malignant tumours of fluids along with controls. Following conclusions were made:

  1. Maximum number of aspirates were from lymph nodes (35.4%), followed by breast lumps (18.78%), thyroid (14.58%), lung, salivary gland, pancreas, liver and others in decreasing percentage.
  2. Maximum numbers of fluids were pleural fluids (46.15%), followed by ascitic fluid (26.15%), bronchial wash and BAL, pericardial fluids, synovial fluids in decreasing percentage.11
  3. Out of 96 cases of fine needle aspirates, 54.17% cases were male and 45.83% cases were female. Out of the 96 cases of fine needle aspirates, majority of cases ,29.17% were above 60 years of age and minimum number of cases 8(8.33%) were in age group of 10-19 years (Table 1-3). Out of 130 cases of fluids, 69.23% cases were male and 30.77% cases were female (Table 4-7). Out of the 130 cases of fluids, majority of case ,50.55% were above 60 years of age and minimum number of cases, 2(1.54%) were in age group of 10-19 years.
  4. FNAC: On the basis of smears alone diagnosis was achieved in 91.67% cases of fine needle aspirates. In 6 (6.25%) cases diagnosis could not be reached as material was inadequate on smears.
  5. FNAC: On the basis of cell blocks alone diagnosis was achieved in 90.62% cases of fine needle aspirates .In 9 (9.37%) cases, diagnosis could not be reached as material was inadequate on cell blocks.
  6. FNAC: By the combined use of smears and cell blocks. Positivity increased by 8 cases (8.33%)
  7. Fluids: On the basis of smears alone diagnosis was achieved in 116 (89.23) cases of fluids. In 10 (7.69%) cases, diagnosis could not be reached as material was inadequate on smears.
  8. Fluids: On the basis of cell blocks alone diagnosis was achieved in 124 (95.38%) cases of fluids. In 6 (4.62%) cases, diagnosis could not be reached as material was inadequate on cell blocks.
  9. Fluids: By the combined use of smears and cell blocks positivity increased by 6(4.62%) cases (Figure 2).
  10. 45 malignant lesions on FNAC were broadly classified in to carcinoma (36 cases), lymphoma (6 cases), sarcomas (2cases) and melanoma (1case). Out of 44 ‘malignant ’cases of fluids, 42 (95.45 %) cases were carcinomas and 2 (4.55%) cases were lymphomas. The broad classification was made to select basic panel of immunomarkes to apply on cell blocks.
  11. Immunomarkers on cell blocks of FNAC
    1. Basic panel of immunomarkers (PAN- CK, LCA, Vimentin and S-100) was applied on 19 cell blocks (fixed in 10% formalin and paraffin embedded) of FNAC along with controls. Antibody used, detection system and antigen retrieval was described in materials and methods.12,13
    2. It was reportable on 18 (94.74%) cell blocks and non reportable on 5.26% cell blocks.
  12. Immunomarkers on cell blocks of Fluids
    1. Panel of immunomarkers (PAN-CK, LCA) was applied on selected 12 cell blocks (fixed in 10% formalin and paraffin embedded) of fluids along with controls. It was reportable on 5 (41.67%) cell blocks and non reportable on 7 (58.33%) cell blocks.

Diagnostic Group

Cell Blocks Alone

No.

%

Malignant

43

44.79

Suggestive of Malignancy

04

4.17

Benign / inflammatory

40

41.67

Inadequate

09

9.37

Total

96

100

Table 1 Distribution of 96 cases of Fine needle Aspirates (FNAC) (According to diagnosis made on cell blocks alone).

Diagnostic Group

Final Cytologic Diagnosis

Cell Blocks Alone

Final Diagnosis

No.

No

Malignant

45

43

Suggestive of Malignancy

4

4

Benign/ inflammatory

47

40

Inadequate

-

09 (9.37%)
(no diagnosis)

Total

96

87 (90.62%)

Table 2 Distribution of 96 cases of Fine needle Aspirates (FNAC) (Overall sensitivity of cell blocks alone).

Diagnostic Group

Final Diagnosis

Smears
Alone

Cell Blocks
Alone

Χ2

D.F.

P-Value

Significance

Malignant

45

41

43

0.179

1

> .05

NS

Suggestive of Malignancy

4

4

4(+2=6)
(2 cases were malignant on cell blocks)

-

-

-

-

Benign/ inflammatory

47

43

40

0.412

1

> .05

NS

Total

96
(100.00%)

88
(91.67%)

87
(90.62%)

 

 

 

 

Table 3 Distribution of 96 cases of Fine needle Aspirates (FNAC) (Overall sensitivity after combining smears and cell blocks).

Site

No.

%

Pleural Fluid

60

46.15

Ascitic Fluid

34

26.15

Bronchial Wash and Broncho-alveolar lavage

27

20.77

Pericardial Fluid

05

3.85

Synovial Fluid

04

3.08

Total

130

100

Table 4 Distribution of 130 cases of Fluids. (According to site).

Diagnostic Group

Smears Alone

No.

%

Malignant

39

30

Suggestive of Malignancy

07

5.38

Benign / Inflammatory

74

56.92

Inadequate

10

7.69

Total

130

100

Table 5 Distribution of 130 cases of Fluids (According to Diagnosis made on smears alone).

Diagnostic Group

Final Cytologic Diagnosis

Smears Alone

Malignant

44

39

Suggestive
of Malignancy

6

3(+4=7)
(4 cases diagnosed as malignant on cell blocks)

Benign/ inflammatory

80

74

Inadequate

0

10 (7.69%)
(no diagnosis)

Total

130

116 (89.23%)

Table 6 Distribution of 130 cases of Fluids (According to overall sensitivity of smears alone).

Diagnostic Group

Final Diagnosis

Smears Alone

Cell Blocks Alone

Χ2

D.F.

P-Value

Significance

Malignant

44

39

43

1.610

1

> .05

NS

Suggestive of Malignancy

6

3(+4=7)
(4 cases diagnosed as malignant on cell blocks)

04

0.000

1

> .05

NS

Benign/ inflammatory

80

74

77

0.471

1

> .05

NS

Total

130

116
(89.23%)

124 (95.38%)

 

 

 

 

Table 7 Distribution of 130 cases of Fluids (Overall sensitivity after combining smears and cell blocks).

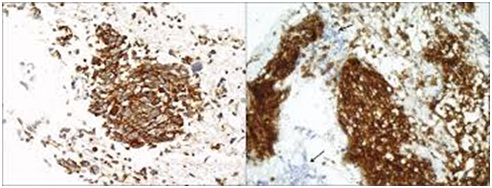
Figure 2 IHC for Chromogranin in the cell-block prepared from smear of a case of small cell carcinoma.

Conclusion

  1. Combined use of smears and cell blocks increases sensitivity remarkably in cytologic diagnosis, both in FNAC and fluids.
  2. In ‘malignant’ cases, cell blocks are superior to smears in showing positivity in higher percentage of cases.
  3. In ‘suspicious’, lesions cell blocks again are superior to smears for giving a definitive diagnosis and categorization of lesion.
  4. Cell block preparations, of FNAC fixed in 10% formalin and paraffin embedded are suitable and reliable for application of Immunomarkers.
  5. Immunomarkers on cell blocks of FNAC are confidently reportable in 94.7% cases, proving preservation of antigens. However for fluids, the cell blocks for immunomarkers can be used on selected cases.
  6. Multiple sections from cell blocks can be obtained for application of multiple IHC antibodies for purpose of differential diagnosis.
  7. Cell block technique is simple, inexpensive and reliable adjuvant to smears and it is recommended for routine cytologic diagnosis and application of immunomarkers.

The role of cell block preparation in diagnostic cytopathology is without doubt of immense significance as it allows for multiple special investigations and consequently a more refined cytological diagnosis. Further improvement in techniques would increase both sensitivity and specificity of this diagnostic modality.

Acknowledgements

None.

Conflict of interest

The author declares no conflict of interest.

References

  1. Ceelan G. The Cytologic diagnosis of ascitic fluid. Acta cytol. 1964;8:175–185.
  2. Meenu Thapar, Rajiv KM, Amit Sharma, et al. Critical Analysis of cell block versus smear examination in effusions. J Cytol. 2009;26(2):60–64.
  3. Ardengh JC, Lopes CV, de Lima LF, et al. cell block technique and cytological smears for the differential diagnosis of pancreatic neoplasm after endosonography guided fine needle aspiration. Acta Gastroenterol Latinoam. 2008;38(4):246–251.
  4. Wagner DG, Russell DK, Benson JM, et al. Cellient™ automated cell block versus traditional cell block preparation: A comparison of morphologic features and immunohistochemical staining. Diagn Cytopathol. 2011;39(10):730–736.
  5. Richardson HL, Koss LG, Simon TR. An evaluation of concomitant use cytological and histological technique in recognition of cancer in exfoliate material from various sources. Cancer. 1955;8(5):948–950.
  6. Brown KT, Fulbright RK, Avitabile AM, et al. Cytologic analysis in fine needle aspiration biopsy: smears Vs cell blocks. AJR Am J Roentgenol. 1993;161(3):629–631.
  7. Dekker A, Bupp PA. Cytology of serous effusions. An investigation into the usefulness of cell blocks versus smears. Am J Clin Pathol. 1978;70(6):855–860.
  8. Domagala WM, Markiewski M, Tuziak T, et al. Immunocytochemistry on fine needle aspirates in paraffin miniblocks. Acta Cytol. 1990;34(3):291–296.
  9. Nithyananda A, Nathan. Improved preparation and its efficacy in diagnostic cytology. Am J Clin Pathol. 2000;114(4):599–606.
  10. Shivakumarswamy U, Arakeri SU, Karigowdar MH, et al. Diagnostic utility of the cell block method versus the conventional smear study in pleural fluid cytology. J Cytol. 2012;29(1):11–5.
  11. James W, Reagan. Exfoliative cytology of pleural, peritoneal and pericardial fluids. CA: A Cancer Journal for Clinicians. 2008;10(5):153–159. 
  12. Tofigh J, Shahram S. Immunodetection of Sialosyl-TN (Mucin- associated antigen) on mesothelial and carcinomatous cells in serosal cavity Effusions. Arch Iranian. 2003;6(4):278–281.
  13. Harshmoha. Textbook of pathology. 5th ed. St Louis, USA: Jaypee Brothers;2005. p. 891–895.
Creative Commons Attribution License

©2015 Sharma, et al. This is an open access article distributed under the terms of the, which permits unrestricted use, distribution, and build upon your work non-commercially.