Submit manuscript...
International Journal of
eISSN: 2574-9862

Avian & Wildlife Biology

Research Article Volume 8 Issue 1

Sudden death and Haemoproteus infection in captivity Burrowing Owls (Athene cunicularia) from Brazil

Mel Takazono Lemes,1 Andriel Gustavo Felichak,1 Laura Dalcin Lorenzi,1 Marina Marangoni,2 Vitor Eduardo Mamguê,2 Paulo Henrique Braz3

1Undergraduate student in Veterinary Medicine at the Universidade Federal da Fronteira Sul, Brazil
2Master’s student in Health, Well-being, and Sustainable Animal Production at the Universidade Federal da Fronteira Sul, Brazil
3Faculty member in the Veterinary Medicine program at the Universidade Federal da Fronteira Sul, Brazil

Correspondence:

Received: December 16, 2023 | Published: January 9, 2024

Citation: Lemes MT, Felichak AG, Lorenzi LD, et al. Sudden death and Haemoproteus infection in captivity Burrowing Owls (Athene cunicularia) from Brazil. Int J Avian & Wildlife Biol. 2024;8(1):4-6. DOI: 10.15406/ijawb.2024.08.00205

Download PDF

Abstract

The present study aims to report the sudden death of two captive individuals of the Burrowing Owl Athene cunicularia that coexisted in the same enclosure with other raptor birds in a Zoo of Brazil. Despite Haemoproteus infections generally being considered benign, they can lead to sudden death, particularly in stressful environments. Through hematological examinations and microscopic analyses, this article reports two cases of Haemoproteus in Burrowing Owls, suggesting a potential correlation between its presence and owl’s deaths. Also, discusses the prevalence of this infection in captive raptorial birds, emphasizing the significance of immunity and proper management to prevent infections and reveal the importance of early diagnosis for the preservation of the health of these captive birds.

Keywords: hemoparasitoses, hemosporidia, stress, wild birds, captive birds

Abbreviations

PR, parana

Introduction

Zoos play four fundamental roles in society: education, conservation, research, and recreation, each with a distinct profile. According to the International Union of Zoo Directors, the objectives that should form the basis for a zoo to achieve conservation practices include actively supporting the conservation of endangered populations, providing support and facilities for scientific research, and fostering an increase in public awareness of issues related to environmental conservation through the implementation of environmental education policies.1 Diseases shared among species also pose a potential burden on the entire ecosystem, impacting biodiversity, altering the behavior or composition of animal populations, and even leading species towards the verge of extinction.2 Wild animals, whether imported, captured from nature, or bred in captivity, are directed to wildlife markets where they endure debilitating conditions and have weakened immune defenses, facilitating disease transmission. These conditions include overcrowded cages, inadequate biosecurity, and unhygienic waste disposal. Such overpopulation issues can also arise in zoos, compounding the stress on animals living in enclosed environments.3

The Burrowing Owl Athene cunicularia, inhabits ground burrows and exhibits diurnal behaviors,4 across North and South America. Avian diseases induced by haemosporidia, such as Haemoproteus sp., are cosmopolitan in birds, with the exception of Antarctica.5 Nevertheless, literature documenting such diseases in raptors remains notably scarce. In the majority of cases, infections are asymptomatic,6 with variability depending on the species, individual animals, and their environment. Clinical manifestations may encompass diverse symptoms such as muscular weakness, fever, apathy, dyspnea, seizures, and sudden fatality, with the parasitic agent serving as a virulent and lethal pathogen.7 (Captive animals are more susceptible to the parasite due to close proximity to other potentially affected animals, confined or limited spaces, and the absence of selective pressure, which is crucial for the development of immune responses,8 Proper nutrition and management in captivity are also significant factors in the development of immunity and overall health of animals. Inadequate implementation of these processes can lead to immunosuppression due to stress.9

Haemoproteus parasites are transmitted by hematophagous arthropods belonging to Diptera order.10 During the process of feeding, sporozoites enter the circulation, infiltrating cells and numerous organs such as the lungs, heart, spleen, liver, and kidneys. Within these tissues, they develop into exoerythrocytic meronts. The meronts of the second generation contain merozoites that invade erythrocytes, subsequently transforming into infectious gametocytes. These gametocytes are ingested by the vector during feeding. Within the vector, the gametocyte undergoes both asexual and sexual reproductions, generating sporozoites that invade the salivary glands and are subsequently transmitted to the host during feeding.7 This article aims to report two cases of Haemoproteus infection, observed in two individuals of captive Burrowing Owls, which cohabitated in the same enclosure without direct contact but in proximity to other raptors of the species Tyto furcata, Athene cunicularia, Asio clamator (Strigidae) and Geranoaetus melanoleucus (Accipitridae).

Material and methods

The Wildlife Care Service (Serviço de Atendimento a Animais Silvestres) of the Universidade Federal da Fronteira Sul (Federal University of Fronteira Sul) was contacted to provide veterinary assistance to Burrowing owls that were succumbing to mortality in a zoo located in Dois Vizinhos, Paraná, Brazil (25° 44' 5" S, 53° 3' 31" W). The deceased raptors had already been discarded, and no physical evaluation or post-mortem examinations were conducted. However, the remaining animals of the affected species within the enclosure underwent examinations, with the primary focus on hematological analysis. Accordingly, blood was collected from two Barn Owls (Tyto furcata), two Striped Owls (Asio clamator), two Burrowing Owls and two Black-chested Buzzard-Eagles (Geranoaetus melanoleucus).

The animals were physically restrained with the aid of leather gloves, emphasizing regions of greater strength and those used as a means of defense—talons and beak. A blood smear was prepared using blood from the ulnar vein, utilizing an insulin needle for puncture. Subsequently, the smears were stained using the Romanowsky's method, via Panótico® (1: 10 concentration) fast kit, as described by the manufacturer.11 Temperature monitoring was facilitated using a digital thermometer applied to the head, chest, wing, foot, and dorsal regions. Simultaneously, a rectal thermometer was applied. Fecal material was collected using a swab and subsequently analyzed directly under a light microscope. The Haemosporida identification was based on Oliveira.12

Results

All individuals examinated presented cloacal and superficial temperatures within the established physiological range, considering the normal cloacal temperature as 39°C to 42°C.13 The animals manifested the following temperatures, respectively: 40.5°C (Tyto furcata), 40.5°C and 41°C (Asio clamator), 40.1°C and 41.3°C (Athene cunicularia), and 39.8°C in both individuals of Geranoaetus melanoleucus. The nutritional status, as determined by keel palpation, exhibited a regular condition, along with satisfactory levels of hydration in the animals. Both owls and the buzzard-eagle did not exhibit ruffled feathers, ectoparasites, corneal scaling, or feather loss.

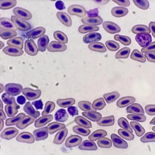
Hematological analysis through blood smear and microscopy revealed the presence of an intracellular erythrocytic parasite occupying a substantial portion of the cytoplasm. The erythrocyte nucleus exhibited eosinophilia and central positioning, accompanied by cytoplasmic vacuolization and hemozoin. Gametocytes, morphologically consistent with Haemoproteus sp. (Haemosporida: Haemoproteidae) (Figure 1) were identified in two individuals of the Burrowing Owl, and absent in the other individuals analyzed. These gametocytes displayed an elongated structure with uniform contours and occasional amoeboid forms. The parasite induced a sudden displacement of the nucleus within the infected erythrocyte, enveloping it at its extremities. Notably, in macrogametocytes, volutin granules constituted rounded structures dispersed throughout the cytoplasm, in accordance with the description provided by Valkiūnas.7 The cloacal swab did not yield evidence of parasitic presence.

Figure 1 Haemoproteus (Haemosporida: Haemoproteidae) collected from an individual of the Burrowing Owl Athene cunicularia keeped in captivity in the zoo of Dois Vizinhos, Paraná, Brazil. Haemosporida cell images under a 100x objective lens

Discussion

Infections by Haemoproteus have traditionally been considered relatively benign in infected birds. It has been discovered that many avian hemosporidian species persist as chronic infections throughout the host's life.7 However, sudden death can occur without clinical signs.14 Affected individuals typically exhibit clinical signs such as anorexia, lethargy, ataxia, emesis, or paleness of the skin and mucous membranes, indicative of clinical anemia.15 In a study involving captive owls at a wildlife rehabilitation center in Brazil, a total of 54 neotropical owls were examined through microscopic analysis, resulting in an overall prevalence of hemosporidian infection of 72.22% (39/54). Pulsatrix koeniswaldiana exhibited the highest prevalence (100%; 4/4), followed by Asio clamator (83.33%; 10/12), Athene cunicularia (80%; 4/5), Megascops choliba (64.29%; 18/28), and Glaucidium brasilianum (60%; 3/5). Parasitemia in the 39 owls ranged from 0.02% to 20.53%, with an average parasitemia of 1.03%. The highest average parasitemia per species was recorded in M. choliba (1.40%), followed by A. clamator (1.24%), A. cunicularia (0.15%), P. koeniswaldiana (0.14%), and G. brasilianum (0.12%).16 

Infections caused by Haemoproteus induce alterations in the erythrocytic axis,16 potentially associated with lesions in owls. However, the precise effects on hosts remain unclear,17 with potential consequences leading to the mortality of immunosuppressed or stressed avian individuals.18 These findings align with observations in the current case study, as the avian subjects were likely exposed to stressors due to their captive environment and the elevated ambient temperatures typical of the Brazilian summer. Following the diagnosis of Haemoproteus, Chloroquine was administered at a dose of 15 mg/kg intramuscularly once a day for seven days. The treated owls survived, shedding light on potential therapeutic interventions. It is hypothesized that other deceased animals preceding intervention may have succumbed to Haemoproteus infection, considering their clinical history.

Conclusion

In regions with documented cases of Haemoproteus, the periodic monitoring of animals is underscored for the facilitation of early diagnosis, given their heightened susceptibility to severe outcomes in the context of immunosuppression induced by the stressors inherent in captive environments. Our results suggest that death of the Burrowing Owls under study was likely induced by a Haemoproteus infection. Because Haemoproteus is transmitted by hematophagous arthropods, the implementation of mosquito nets and repellents is recommended to curtail vector circulation and mitigate the risk of contamination for captive animals, furthermore, it is necessary to reduce possible stressors in the environment in which these animals live.

Acknowledgments

None.

Conflicts of interest

The authors declared that there are no conflicts of interest.

References

  1. Maués E, Maline C. The zoo as a socio-scientific issue. Revista Brasileira de Educação Básica. 2019;15:1–8.
  2. Wiethoeltera AK, Daniel B, Richard K, et al. Global trends in infectious diseases at the wildlife–livestock interface. PNAS. 2015;112(31):9662–9667.
  3. Watsa M. Rigorous wildlife disease surveillance. Science. 2020;369(6500):145–147.
  4. Coulombe HN. Behavior and population ecology of the burrowing owl, Speatyto cunicularia, in the Imperial Valley of California. The Condor. 1971;73:162–167.
  5. Clark NJ, Sonya M, Marcos R. A review of global diversity in avian haemosporidians (Plasmodium and Haemoproteus: Haemosporida): new insights from molecular data. Int J Parasitol. 2014;44(5):329–338.
  6. Thomas NT, Dorrestein GM, Alan KJ. Handbook of Avian Medicine. 2nd ed. 2009.
  7. Valkuinas G. Avian Malaria Parasite and other Haemosporidia. 1st ed. Boca Raton Florida: CRC press; 2005.
  8. Sanchioli RG. Feline hemotropic mycoplasmosis in jaguar (Panthera onca): case report. Biotemas. 2015;28(2):153–156.
  9. Garbin LC. Environmental enrichment of rodents utilized for animal experimentation: literature review. Rev Acad Ciênc Agra Ambient Curitiba. 2012;10(2):153–161.
  10. Bukauskaitė D, Rita Z, Vaidas P, et al. Biting midges (Culicoides, Diptera) transmit Haemoproteus parasites of owls: evidence from sporogony and molecular phylogeny. Parasites Vectors. 2015;8(303):1–11.
  11. Guidelines and Standards. Wayne PA, USA: CLSI; 2023.
  12. Oliveira L. Morphological and molecular characterization of Haemoproteus coatneyi and Haemoproteus erythrogravidus (Haemosporida: Haemoproteidae) in Passeriformes in Brazil’s Atlantic Forest. Rev Bras Parasitol Vet. 2020;29(4):e011520.
  13. Werther K. Wild animal semiology. Veterinary Semiology: the art of diagnosis. 2008;30:655–718.
  14. Earle RA, Stella SB, Bennettal GF, et al. Histopathology and morphology of the tissue stages of Haemoproteus columbae causing mortality in Columbiformes. Avian Pathol. 1993;22(1):67–80. 
  15. Cardona CJ, Ihejirika A, McClellan L. Haemoproteus lophortyx infection in bobwhite quail. Avian Dis. 2002;46(1):249–255.
  16. Glauber TMB, Mariana FR, Luísa O, et al. Haemoproteus syrnii (Haemosporida: Haemoproteidae) in owls from Brazil: morphological and molecular characterization, potential cryptic species, and exo-erythrocytic stages. Parasitol Res. 2021;120(1):243–255.
  17. Donovan TA, Mark S, Ilse H, et al. Hepatic Hemorrhage, Hemocoelom, and sudden death due to Haemoproteus infection in passerine birds: eleven cases. Jornal Vet Diagn Investig. 2013;304–313.
  18. Yildirim A. Detection and molecular characterization of a Haemoproteus lineage in a tawny owl in Turkey. Veterinário Jank. 2013;69:179–183.
  19. Valkiunas G, Iris I Levin, Diego S, et al. Hippoboscid-transmitted Haemoproteus parasites (Haemosporida) infect Galapagos Pelecaniform birds: Evidence from molecular and morphological studies, with a description of Haemoproteus iwa. Int J Parasitol. 2011;41(10):1019–1027.
Creative Commons Attribution License

©2024 Lemes, et al. This is an open access article distributed under the terms of the, which permits unrestricted use, distribution, and build upon your work non-commercially.