Submit manuscript...
International Journal of
eISSN: 2381-1803

Complementary & Alternative Medicine

Research Article Volume 11 Issue 3

Egyptian fennel honey and/or propolis against MRSA harboring both mecA & icaA genes

Hamouda SM,1 Abd El Rahman MF,2 Gerges AE,1 Abdul-Hafeez MM0

1Animal Health Research Institute, Assiut Lab, Egypt
2Plant Protection Research Institute Dokki Cairo, Egypt

Correspondence: Abdul-Hafeez MM, Plant Protection Research Institute Dokki Cairo, Egypt

Received: May 04, 2018 | Published: June 15, 2018

Citation: Hamouda SM, Abd ERMF, Abdul-Hafeez MM, et al. Egyptian fennel honey and/or propolis against MRSA harboring both mecA & icaA genes. Int J Complement Alt Med. 2018;11(3):180-185. DOI: 10.15406/ijcam.2018.11.00392

Download PDF

Abstract

Food methicillin resistant Staphylococcus aureus (MRSA)is public health zoonotic multidrug resistant pathogen and when encoded biofilm production gene, it will be more virulent stubborn strain and difficult to be eradicated. So, searching for a potent natural antimicrobial agent that fights biofilm production is of great concern. Since honey or propolis has antimicrobial and antibiofilm activity against MRSA, the study aimed to examine these natural apiproducts against food biofilm producing multi–antimicrobial MRSA. Nineteen MRSA strains harboring both mecA & icaA genes (12 from food of bovine sources and 7 from food workers) were chosen to test in vitro the antimicrobial potency of Egyptian fennel honey and/or propolis against them. Multi antimicrobial resistance (MAR) indices and biofilm production were determined for these tested strains to conclude that having both virulence characters pheno–and genotypically. MAR index of tested strains was 0.48±0.12 where food strains was 0.46±0.12 and food worker strains was 0.51±0.13. All 19 MRSA were biofilm producers on Congo red agar. Against all 19 strains, both tested apiproducts (Egyptian fennel honey and EEP [Ethanolic Extract Propolis]) resulted high antimicrobial activity where honey–alone–was more potent (8.21±3.35%) with very highly significant difference (P<0.001) than EEP (14.3±3.48%) and showed strong synergistic effect when be added to EEP (7.84±2.52%). Against food MRSA honey MIC showed (7.91±3.5%) and honey with propolis was (7.33±2.42%), but against food worker's MRSA, honey MIC showed (8.71±3.3%) and honey with propolis was (8.71±2.63%). It was concluded that fennel honey and/or propolis have potent antimicrobial activity against foodborne pathogens especially biofilm producing MRSA and recommended these nutritive apiproducts as food additives and preservatives.

Keywords: Fennel honey, food MRSA, resistance, biofilm

Introduction

Methicillin resistance S. aureus (MRSA) isolated from various foods of bovine origin is of great concern about possible dissemination throughout the food production chain.1 MRSA resists β–lactams antibiotics (penicillins, cephalosporins, monobactams, and carbapenems groups)2 which are primarily conferred by the acquisition of mecA gene encoding penicillin binding protein (PBP 2a).3 This protein is an important factor in biofilm accumulation,4 then MRSA adhere to biotic or abiotic surfaces5 and be protected against hostile environments.6 MRSA antimicrobial resistance might be increased on harbouring any of biofilm producing gene (ica operon).7,8 MRSA such recalcitrant biofilm producers are 1000–fold more resistant to antibiotics and immune defense cellular elements.9 Moreover, biofilms act as reservoirs of pathogenic microorganisms resulted in biomass formation difficult to be eradicated.10 So, searching for antimicrobial agent that fights biofilm production is of great concern. Against MRSA, not only honey11–21 or propolis22–27 has antimicrobial activities, but also they have tremendous antibiofilm activities28–31 which are widely studied and documented. Since Egyptian fennel honey has potent antimicrobial activity against S. aureus,32–34 the study aimed to study the antimicrobial activity of Egyptian fennel honey and/or propolis against these stubborn biofilm producing MRSA recovered from food and food workers.

Materials and methods

Bacterial strains from a previous work,35 nineteen MRSA strains harboring 16srRNA as well as virulence genes (mecA & icaA) were chosen and included in the present work. Twelve MRSA strains originated from food of bovine origin (9 dairy and 3 meat sources) and the other seven strains were recovered from the same food workers (3 throat and 4 fingernails sources). All MRSA strains were subculture onto Congo red agar for biofilm detection phenotypically.

Tested apiproducts: fresh Egyptian unifloral fennel honey–kept in a dark bottle away from any source of heat–and ethanolic extract of Chinese propolis powder (EEP) were used to be tested again the chosen MRSA strains. EEP extract standard solution was prepared as 40g of propolis powder was extracted as described,36 then the extracted amount was dissolved in 100ml of deionised water to be considered a standard EEP solution (100%) and be sterilized just after preparation the wanted dilution to be added to the melted agar. Multi antimicrobial resistance (MAR) index: to calculate MAR index of MRSA strains, antibiotic sensitivity testing as McFerland standards 0.5%37 was prepared for disc diffusion sensitivity testing according to the Kirby–Bauer method38 using discs: erythromycine (15µg), ciprofloxacine (5µg), sterptomycine (10µg), pencillin G (10 IU), amoxacillin (35µg), chloramphenicol (30µg), gentamycine (10µg), sulphamethaxazole (20µg), Oxacillin (1µg), novobiocine (30 ), doxycycline(30µg), cefotaxime(30µg), amekain (30µg) and polymyxin B (300 IU)–Bioanalyse, Turkey. Resistance was judged by the inhibition zone diameter ø to determine the MAR index that was idefined as a/b, where (a) represents the number of antibiotics to which the isolated strain was resistant and (b) represents the number of all tested antibiotics.39, 40

Honey and propolis minimum inhibitory concentration (MIC) determination: honey or EEP was dissolved in sterile deionized water to prepare a stock solution of 20% v⁄v honey immediately before each use. Further dilutions were prepared by adding honey and sterile deionized water to sterile 10–ml volumes of molten double–strength nutrient agar at 50°C and pouring immediately to produce a range of plates containing honey at 1% (v⁄v) intervals between 0 and 20% v⁄v.41 For testing the synergistic effect of both tested apiproducts, honey and EEP were added as described above but with half amount for each to obtain the final concentration of mixed products. Plates were dried at 37°C for 15 min before use. McFerland standards 0.5% from overnight broth culture of MRSA was used for MIC determination as each MRSA standard dose was inoculated onto every prepared concentration of api– product plate. Plates were incubated at 37°C for 24h before visual assessment.41

Results & discussion

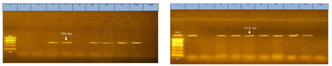
MRSA biofilm–associated infections are difficult to be eradicated because the biofilm is strongly resistant to wide variety of antibiotics and the host immune response.3 The vast majority of food–borne outbreaks caused by antimicrobial–resistant pathogens are the result of the consumption of contaminated foods of either animal–origin or multi–ingredient foods.42 In the present study, MAR index among food strains, MRSA from meat showed the highest value as 0.61±0.1 (Figure 1), while among food worker strains, fingernail strains showed 0.57±0.14. Figure 2 and the overall MAR index of tested strains was 0.48±0.12 (Figure 3). The tested MRSA strains had very high MAR index value since MAR index value just≥0.2, is considered high40 and might be originated from environments with misuse of antibiotics where resistance developed and spread,43 rather than harboring both mecA & icaA genes (Figure 4). All tested MRSA strains showed positive congo red testing concluding that these tested strains were biofilm producing MRSA pheno as well as genotypically. So, these nineteen MRSA strains represent different hazard sources threating public healthcare classified as multidrug resistant, biofilm producer foodborne pathogens.

In the present study, the in vitro apitherapy testing against these stubborn strains resulted that both tested apiproducts showed good safe promising anti MRSA activity. Fennel honey showed MICs values much less than those of propolis all over the present study against food MRSA strains as (7±3.6 & 10.66±1.15%) for dairy and meat food, while against food worker’s MRSA as (9.33±3.05 & 8.25±3.8%) for throat and fingernail contents respectively (Figures 5 & 6). EEP MICs against dairy and meat food MRSA isolated were higher than honey MICs and lower potency as (13.8±4.05 & 15.33±2.31%), while against food worker’s it was (12 & 16.5±3.41%) from throat and finger nail contents respectively (Figure 5) (Figure 6). Against all tested MRSA strains, fennel honey also revealed MICs values (7.91±3.5 & 8.71±3.3%) much lower than that of EEP (14.17±3.66 & 14.57±3.41%) against food and food worker’s respectively (Figure 7). S. aureus is highly sensitive either to honey44 or EEP45 than other Gram positive and Gram–negative bacteria. In vitro antimicrobial honey activity against MRSA11–21 with wide varied potencies of MIC ranging from 3.1 up to 25% or inhibition zone20,46,47 of 8–28mm. These differences are depending on botanical, geographical and seasonal conditions48 leading to differences in antimicrobial potency more than 100–fold in–between different honeys.49 Also, propolis MIC has more widely range from 1.0 up to 10027,45,50–53 and may be of very weak potency reaching≥50054 mg/L depending on very wide range of different propolis constituents from different geographic regions.24,27,52 Honey possesses antibacterial activities depending on physicochemical properties such as osmotic pressure, low pH of 3 to 4.5 and non–peroxide factors (phytochemicals) as polyphenols,55 as well as peroxide effects due to H2O2 level in honey which is a strong predictor of its antibacterial activity.56 H2O2 is involved in oxidative damage causing bacterial growth inhibition by DNA degradation and modulated by other honey components.56 Honey seems to induce DNA damage when H2O2 and phenolic compounds act in synergistic mechanism by a putative pro–oxidant effect57 but H2O2 could be reduced when honey is processed.58 Honey is rich in phenolic acids as caffiec and flavonoids mainly chrysin which exhibit a wide range of biological effects59 occurring naturally in honey and propolis.60 Honey interrupt and inhibit MRSA cell division by the action of sugars and methylglyoxal as additional in vitro antimicrobial activity,61 moreover, cell membrane could be destructed by the action of Sidre honey, resulted in releasing of bacterial cellular proteins.62 Micro components honey glycoprotein fractions exhibited strong growth inhibitory and bactericidal properties possessed two distinct functionalities: specific binding and agglutination of bacterial cells, and non–specific membrane permeabilization bacterial cells.63 The antibacterial activity of honey is highly complex due to the involvement of multiple compounds and due to the large variation in the concentrations of these compounds among honeys.64 Other micro components: methylglyoxal (MGO) and antimicrobial peptide bee defensin–1.64 The presence of MGO can modify some honey proteinaceous compounds and therefore can affect the glucosidase activity.65

Figure 1 MAR indices of MRSA isolated from food of bovine origin.

Figure 2 MAR indices of MRSA isolated from examined food workers 0.57±0.14.

Figure 3 MAR indices of total examined MRSA strains.

Figure 4Agarose gel electrophoresis of PCR for Mec A gene at 310bp and icaAgene at 1315bp encoded in MRSA recovered from food and food workers.

Figure 5 MIC of apiproducts against MRSA isolated form food.

Figure 6 MIC of apiproducts against MRSA isolated form food workers.

Figure 7 MIC of apiproducts against total examined MRSA.

***Very highly significance difference P<0.001; **Highly significance difference P<0.0

Against S. aureus, propolis has different antibacterial mechanisms, including inhibition of cell division, collapsing microbial cytop lasm cell membranes and cell walls, inhibition of bacterial motility, enzyme inactivation, bacteriolysis, and protein synthesis inhibit ion.66 Bioactivities of EEP where major constituents exhibited polyphenols, aromatic acids, terpenes and flavonoids27 are not directly related to its concentration, but a synergistic activity53 and interaction between these various active ingredients is believed to be a main factor in achieving the complex antimicrobial activity of propolis.27 Antibacterial activities are attributed to the flavonoid formononetin,67 while polyphenols interacts with many microbial proteins by forming hydrogen and ionic bonds, thus altering their three–dimensional (3D) structure of a protein and as a consequence their functionality.27 Micro components (diterpenes) isolated from propolis possess antibacterial activities.68 The potent bacteriostatic and bactericidal effects of propolis can be associated with their combined action, manifested by an inhibition of protein synthesis and bacterial growth by preventing cell division.69 Antimicrobial synergistic activity during the present work was noticed when use both added apiproducts either against dairy and meat food MRSA as (7.11±2.8 & 8%), while against food worker’s MRSA it was as (10 & 7.75±3.3%) for throat and fingernail contents respectively–Figure 5 & 6). Against all tested MRSA strains, fennel honey and EEP showed synergistic activity as MICs (7.33±2.42 & 8.71±2.63%) for food and food worker’s respectively. Against all tested MRSA strains, fennel and EEP achieved MIC of 7.84±2.52% (Figure 7) resulting that fennel honey is potent anti MRSA than EEP, while both have activity but showing strong synergistic activity when be added together. Honey antimicrobial activity23, 34 or healing promotion70 has synergized with EEP or antibiotics {vancomycin,62 gentamycin,71 rifampicin,31 and oxacillin61} against MRSA. Not only using antibiotics in combination with honey have synergistic antibacterial action, but also it ought to reduce risks of further antibiotic resistance emerging since application of honey in combination with oxacillin would restore MRSA sensitivity61 through regulation of mecA by blocking mecR1–mediating signaling pathway.72 Honey also has synergistic antimicrobial action with natural materials as chitosan73 and ginger powder extract.74 Otherwise, EEP showed synergistic antimicrobial effect with antibiotics {oxacillin,27 clarithromycin,75 cefazolin,76 ciprofloxacin50 cefixime77 and many different antibiotics27,53,66,69} or essential oils of ginger,78 garlic,79 cinnamon,80 clove,78 or chitosan.81

The study concluded that Egyptian fennel honey and EEP have potent antimicrobial activity against biofilm producing MRSA, while both apiproducts revealed more potency and synergy will be achieved against these foodborne pathogens. It is recommended to use the nutritive materials (fennel honey & EEP) as food preservatives against foodborne pathogens especially biofilm producing MRSA.

Acknowledgements

None.

Conflict of interest

Author declares that there is no conflict of interest.

References

  1. Parisi A, Caruso M, Normanno G, et al. Prevalence, antimicrobial susceptibility and molecular typing of Methicillin–Resistant Staphylococcus aureus (MRSA) in bulk tank milk from southern Italy. Food Microbiol. 2016;58:36–42.
  2. Holten KB1, Onusko EM. Appropriate prescribing of oral beta–lactam antibiotics. Am Fam Physician. 2000;62(3):611–20.
  3. Yoshii Y, Okuda K, Yamada S, et al. Norgestimate inhibits staphylococcal biofilm formation and resensitizes methicillin–resistant Staphylococcus aureus to β–lactam antibiotics. NPJ Biofilms Microbiomes. 2017;3:18.
  4. Pozzi C, Waters EM, Rudkin JK, et al. Methicillin resistance alters the biofilm phenotype and attenuates virulence in Staphylococcus aureus device–associated infections. PLoS Pathog. 2012;8(4):e1002626.
  5. Miguel MG, Antunes MD, Faleiro ML. Honey as a complementary medicine. Integr Med Insights. 2007;24;12:1178633717702869.
  6. Notcovich S, DeNicolo G, Flint SH. Biofilm–forming potential of Staphylococcus aureus isolated from clinical mastitis cases in New Zealand. Vet Sci. 2018;5(1).
  7. Miao J, Liang Y, Chen L, et al. Formation and development of Staphylococcus biofilm: With focus on food safety. Journal of food safety. 2017;37(4):e12358.
  8. Jimi S, Miyazaki M, Takata T. Increased drug resistance of meticillin–resistant Staphylococcus aureus biofilms formed on a mouse dermal chip model. J Med Microbiol. 2017;66(4):542–550.
  9. Gowrishankar S, Kamaladevi A, Balamurugan K, et al. In vitro and In Vivo Biofilm Characterization of Methicillin–Resistant Staphylococcus aureus from Patients Associated with Pharyngitis Infection. Biomed Res Int. 2016.
  10. Yadav MK, Chae SW, Go YY. Et al. In vitro multi–species biofilms of methicillin–resistant Staphylococcus aureus and Pseudomonas aeruginosa and their host interaction during in Vivo colonization of an otitis media rat model. Front Cell Infect Microbiol. 2017;7:125.
  11. Brudzynski K, Sjaarda C, Lannigan R. MRJP1–containing glycoproteins isolated from honey, a novel antibacterial drug candidate with broad spectrum activity against multi–drug resistant clinical isolates. Front Microbiol. 2015;13;6:711.
  12. Liu M, Lu J, Müller P, et al. Antibiotic–specific differences in the response of Staphylococcus aureus to treatment with antimicrobials combined with manuka honey. Front Microbiol. 2015;5:779.
  13. Firdose A, Nisar A, Dsouza MR. Evaluation of in vitro antimicrobial activity of Indian honey on burn wound isolates. Journal of Chemical and Pharmaceutical Research. 2016;8(3):1027–1034.
  14. Hammond EN, Donkor ES, Brown CA. Biofilm formation of Clostridium difficile and susceptibility to Manuka honey. BMC Complement Altern Med. 2016;14:329.
  15. Patel A, Chauhan PB. Antimicrobial effect of honey on MRSA isolated from pus samples. Int J Drug Res Tech. 2016;6(2):58–63.
  16. Acevedo F, Torres P, Oomah BD, et al. Volatile and non–volatile/semi–volatile compounds and in vitro bioactive properties of Chilean Ulmo (Eucryphia cordifolia Cav.) honey. Food Res Int. 2017;94:20–28.
  17. Almasaudi SB, Al–Nahari AAM, Abd El–Ghany ESM, et al. Antimicrobial effect of different types of honey on Staphylococcus aureus. Saudi J Biol Sci. 2017;24(6):1255–1261.
  18. Hussain MB. Role of honey in topical and systemic bacterial infections. J Altern Complement Med.2017;24(1):15–24.
  19. Poovelikunnel TT, Gethin G, Solanki D, et al. Randomized controlled trial of honey versus mupirocin to decolonize patients with nasal colonization of meticillin–resistant Staphylococcus aureus. J Hosp Infect. 2017;98(2):141–148.
  20. Rani G. N, Budumuru R. and Bandaru NR. Antimicrobial activity of honey with special reference to methicillin resistant Staphylococcus aureus (mrsa) and methicillin sensitive Staphylococcus aureus (mssa). J Clin Diagn Res. 2017;11(8):DC05–DC08
  21. Pasias IN, ,Kiriakou IK, Kaitatzis A, et al. Effect of late harvest and floral origin on honey antibacterial properties and quality parameters. Food Chem. 2018;242:513–518.
  22. Raghukumar R, Vali L, Watson D, et al. Antimethicillin–resistant Staphylococcus aureus (MRSA) activity of 'pacific propolis' and isolated prenylflavanones. Phytother Res. 2010;24(8):1181–1187.
  23. Al–Waili N, Al–Ghamdi A, Ansari MJ, et al. Synergistic effects of honey and propolis toward drug multi–resistant Staphylococcus aureus, Escherichia coli and Candida albicans isolates in single and polymicrobial cultures. Int J Med Sci. 2012;9(9):793–800.
  24. Chamandi G, Olama Z, Holail H. Antimicrobial effect of Propolis From different Geographic Origins in Lebanon. Int J Curr Microbiol App Sci. 2015;4(4):328–342.
  25. Bryan J, Redden P, Traba C. The mechanism of action of Russian propolis ethanol extracts against two antibiotic–resistant biofilm–forming bacteria. Lett Appl Microbiol. 2016;62(2):192–198.
  26. Santos TLAD, Queiroz RF, Sawaya ACHF, et al. Melipona mondury produces a geopropolis with antioxidant, antibacterial and antiproliferative activities. An Acad Bras Cienc. 2017;89(3):2247–2259.
  27. Al–Ani I, Zimmermann S, Reichling J, et al. Antimicrobial activities of European propolis collected from various geographic origins alone and in combination with antibiotics. Medicines. 2018;5(1):2.
  28. Kilty SJ, Duval M, Chan FT, et al. Methylglyoxal: (active agent of manuka honey) in vitro activity against bacterial biofilms. Int Forum Allergy Rhinol. 2011;(5):348–350.
  29. Azab MA, Allen MJ, Daniels JB. Evaluation of a silver–impregnated coating to inhibit colonization of orthopaedic implants by biofilm forming methicillin–resistant Staphylococcus pseudintermedius. Vet Comp Orthop Traumatol. 2016;29(4):347–350.
  30. El–Guendouz S, Al–Waili N, Aazza S, et al. Antioxidant and diuretic activity of co–administration of Capparis spinosa honey and propolis in comparison to furosemide. Asian Pac J Trop Med. 2016;10(10):974–980.
  31. Liu MY, Cokcetin NN, Lu J, et al. Rifampicin–Manuka honey combinations are superior to other antibiotic–Manuka honey combinations in eradicating staphylococcus aureus biofilms. Front Microbiol. 2018;8:2653.
  32. Ali MM, Nahed M, Wahba. Antibacterial activity of honey for treatment of subclinical bovine Mastitis: 1–In vitro study of bacterial inhibits and chemical bioassay of some different honeys.8th Sci. Cong., Egyptian society for cattle diseases Assiut Egypt. 2005;139–146.
  33. Sayed SM, Abou El–Ella GA, Wahba NM, et al. Immune defense of rats immunized with fennel honey, propolis, and bee venom against induced staphylococcal infection. J Med Food. 2009;12(3):569–575.
  34. Aamer AA, Abdul–Hafeez MM, Sayed SM, et al. Minimum Inhibitory and Bactericidal Concentrations (MIC & MBC) of Honey and Bee Propolis against Multidrug Resistant (MDR) Staphylococcus Sp. Isolated from Bovine Clinical Mastitis. Journal of Science Frontier Research. 2014;15(2).
  35. Aml E, Gerges. Staphylococuss aureus as one of zoonotic foodborne disease. Thesis for fulfill ph. D. degree. Animal hygiene and zoonoses department, Faculty of Veterinary Medicine–Assiut University.2018.
  36. Kapare H, Lohidasan S, Sinnathambi A. Standardization, chemical profiling, in vitro cytotoxic effects, in vivo anti–carcinogenic potential and biosafety profile of Indian propolis. J Ayurveda Integr Med. 4. pii: S0975– 9476(17)30185–7.
  37. Hug CA, Mohamed MA. Evaluation of the antimicrobial activities of novel 1, 2 and 1, 5–diols. Journal of chemical and pharmaceutical Research. 2014;6(2):446–450.
  38. Bauer AW, Kirby WMM, Sherris JC, et al. Antibiotic susceptibility testing by a standardized single disk method. Amer J Clin. Pathol. 1996;45:493–496.
  39. Kumar S, Manoharan M, Ilanchezian S, et al. Plasmid analysis and prevalence of Multidrug resistant Staphylococcus aureus reservoirs in Chennai city, India. The internet journal of microbiology. 2012;7–1.
  40. Subramani S, Vignesh S. MAR index study and MDR character analysis of a few golden Staph isolates. Asian Journal of Pharmacy and Life Science. 2012;2(2).
  41. Cooper RA, Molan PC, Harding KG. The sensitivity to honey of Gram–positive cocci of clinical significance isolated from wounds. J Appl Microbiol. 2002;3(5):857–863.
  42. Sergelidis D, Angelidis AS. Methicillin–resistant Staphylococcus aureus: a controversial food–borne pathogen. Lett Appl Microbiol. 2017;64(6):409–418.
  43. Murugan K, Kavitha K, Al–Sohaibani S. Rifampicin resistance among multi–resistant MRSA clinical isolates from Chennai, India, and their molecular characterization. Genet Mol Res. 2015;14(1):2716–2725.
  44. Iqbal Ahmad, Farrukh Aqil. Antimicrobial Actions and Role in Disease Management. Weinheim: New Strategies Combating Bacterial Infection. 2002;229 – 253.
  45. Hendi NK, Naher HS, Alaa H. Al–Charrakh. In vitro antibacterial and antifungal activity of Iraqi propolis. Journal of Medicinal Plants Research. 2011;5(20):5058–50666.
  46. Grego E, Robino P, Tramuta C, et al. Evaluation of antimicrobial activity of Italian honey for wound healing application in veterinary medicine. Schweiz Arch Tierheilkd. 2016;158(7):521–527.
  47. Dash N, Panigrahi D, Al–Zarouni M. Antimicrobial effect of honey from the Arabian Gulf region against bacterial isolates from pus and wound swabs. Advances in Microbiology. 2016;6:745–752.
  48. Stephens JM, Schlothauer RC, Morris BD, et al. Phenolic compounds and methylglyoxal in some New Zealand manuka and kanuka honeys. Food Chemistry. 2010;120(1):78–86.
  49. Molan PC. Cooper RA. Honey and sugar as a dressing for wounds and ulcers. Trop Doct. 2000;30(4):249–50.
  50. Shrivastava R, Rai VK, Kumar A, et al. An in vitro Comparison of Endodontic Medicaments propolis and calcium hydroxide alone and in Combination with Ciprofloxacin and Moxifloxacin against Enterococcus Faecalis. J Contemp Dent Pract. 2015;16(5):394–399.
  51. Akca AE, Akca G, Topçu F T, et al. The comparative evaluation of the antimicrobial effect of propolis with chlorhexidine against oral pathogens: An In Vitro Study. Biomed Res Int. 2016;3627463.
  52. Ristivojević P, Dimkić I, Trifković J, et al. Antimicrobial activity of Serbian propolis evaluated by means of MIC, HPTLC, bioautography and chemometrics. PLoS One. 2016;11(6):e0157097.
  53. Afrouzan H, Tahghighi A, Zakeri S. et al. Chemical composition and antimicrobial activities of Iranian propolis. Iran Biomed J. 2018;22(1):50–65.
  54. Seidel V, Peyfoon E, Watson DG, et al. Comparative study of the antibacterial activity of propolis from different geographical and climatic zones. Phytother Res. 2008;22(9):1256–63.
  55. Khan F, Hill J, Kaehler S, et al. Antimicrobial properties and isotope investigations of South African honey. J Appl Microbiol. 2018;117(2):366–79.
  56. Brudzynski K, Lannigan R. Mechanism of Hhoney bacteriostatic action against MRSA and VRE involves hydroxyl radicals generated from honey's hydrogen peroxide. Front Microbiol. 2012;7(3):36.
  57. Poli JP, Guinoiseau E, Luciani A, et al. Key role of hydrogen peroxide in antimicrobial activity of spring, Honeydew maquis and chestnut grove Corsican honeys on Pseudomonas aeruginosa DNA. Lett Appl Microbiol. 2018;66(5):427–433.
  58. Libonatti C, Soledad V, Marina B. Antibacterial activity of honey: A review of honey around the world. J Microbiology and Antimicrobials. 6(3):51–56.
  59. Feás X, Iglesias A, Rodrigues S, et al. Effect of Erica sp. honey against microorganisms of clinical importance: study of the factors underlying this biological activity. Molecules. 2013;18(4):4233–4246.
  60. Mani R, Natesan V. Chrysin: Sources, beneficial pharmacological activities, and molecular mechanism of action. Phytochemistry. 2018;145:187–196.
  61. Jenkins RE, Cooper R. Synergy between oxacillin and manuka honey sensitizes methicillin–resistant Staphylococcus aureus to oxacillin. J Antimicrobial Chemotherapy. 2012;67(6):1405–1407.
  62. Zakaria AS. Mechanism of antibacterial action of honey on pathogenic wound bacterial strains: a proteomic analysis. International journal of pharmacy. 6(11):778–788.
  63. Brudzynski K, Sjaarda C. Honey glycoproteins containing antimicrobial peptides, Jelleins of the Major Royal Jelly Protein 1, are responsible for the cell wall lytic and bactericidal activities of honey. PLoS One. 2015;10(4):e0120238.
  64. Kwakman P H, Zaat SA. Antibacterial components of honey. IUBMB Life. 2012;64(1):48–55.
  65. Ahmed S, Sulaiman SA, Baig AA, et al. Honey as a potential natural antioxidant medicine: An insight into its molecular mechanisms of action. Oxid Med Cell Longev. 2018;8367846.
  66. Júnior FA, Balestrin EC, Betoni JE, et al. Propolis: anti–Staphylococcus aureus activity and synergism with antimicrobial drugs. Mem Inst Oswaldo Cruz. 2005;100(5):563–6.
  67. Almeida ET, da Silva MCD, Oliveira JMDS, et al. Chemical and microbiological characterization of tinctures and microcapsules loaded with Brazilian red propolis extract. J Pharm Anal. 2017;7(5):280–287.
  68. Aminimoghadamfarouj N, Nematollahi A. Propolis diterpenes as a remarkable bio–source for drug discovery development: A review. Int J Mol Sci. 2017;18(6): 1290.
  69. Wojtyczka RD, Dziedzic A, Idzik D, et al. Susceptibility of Staphylococcus aureus clinical isolates to propolis extract alone or in combination with antimicrobial drugs. Molecules. 2013;18(8):9623–6940.
  70. Takzaree N, Hadjiakhondi A, Hassanzadeh G, et al. Synergistic effect of honey and propolis on cutaneous wound healing in rats. Acta Med Iran. 2015;54(4):233–339.
  71. Runyoro DKB, Olipa D, Ngassapa, et al. Antimicrobial Activity of Propolis from Tabora and Iringa Regions, Tanzania and Synergism with Gentamicin. Journal of Applied Pharmaceutical Science. 7(1):171–176.
  72. Meng J, Hu B, Liu J. Restoration of oxacillin susceptibility in methicillin–resistant Staphylococcus aureus by blocking the mecR1–mediated signalling pathway. J Chemother. 2016;18:360–365.
  73. El–Kased RF, Amer RI, Attia D. Honey–based hydrogel: In vitro and comparative In vivo evaluation for burn wound healing. Sci Rep. 2017;7(1):9692.
  74. Ewnetu Y, Lemma W, Birhane N, et al. Synergetic antimicrobial effects of mixtures of ethiopian honeys and ginger powder extracts on standard and resistant clinical bacteria isolates. Evid Based Complement Alternat Med. 2014;562804.
  75. Nostro A, Cellini L, Di Bartolomeo S, et al. Effects of combining extracts (from propolis or Zingiber officinale) with clarithromycin on Helicobacter pylori. Phytother Res. 20(3):187–190.
  76. Oner M, Kafadar I, Guney A, et al. Effect of intraarticular propolis in an experimental septic arthritis model. J Pediatr Orthop B. 20(1):8–13.
  77. Kalia P, Kumar NR, Harjai K. Studies on the therapeutic effect of propolis along with standard antibacterial drug in Salmonella enterica serovar Typhimurium infected BALB/c mice. BMC Complement Altern Med. 2016;16(1):485.
  78. Probst IS, Sforcin JM, Rall VLM, et al. Antimicrobial activity of propolis and essential oils and synergism between these natural products. The Journal of Venomous Animals and Toxins including Tropical Diseases. 2011;(17(2):159–167.
  79. Guzmán EL, Cruz FM. Combinations of extracts of propolis and other compounds against methicillin– resistant Staphylococcus aureus. Chapter from the book Active Ingredients from Aromatic and Medicinal Plants. 2017; p. 143–148.
  80. Rezvani MB, Niakan M, Kamalinejad M, et al. The synergistic effect of honey and cinnamon against Streptococcus mutans bacteria. Asian Pac J Trop Biomed. 2017;7(4):314–320.
  81. Del Carpio–Perochena A, Kishen A, Felitti R, et al. Antibacterial properties of chitosan nanoparticles and propolis associated with calcium hydroxide against single– and multispecies biofilms: An in vitro and in Situ Study. J Endod. 2017;43(8):1332–1336.
Creative Commons Attribution License

©2018 Hamouda, et al. This is an open access article distributed under the terms of the, which permits unrestricted use, distribution, and build upon your work non-commercially.