Submit manuscript...
International Journal of
eISSN: 2381-1803

Complementary & Alternative Medicine

Review Article Volume 2 Issue 1

Homeopathy as A Misnomer for Activation of the Alternative Cellular Energy Pathway: Evidence for the Therapeutic Benefits of Enercel® in a Diverse Range of Clinical Illnesses

W John Martin,1 Dariel Laurent1,2

1Institute of Progressive Medicine, USA
2World Health Advanced Technologies Ltd, USA

Correspondence: W John Martin, Institute of Progressive Medicine, 1634 Spruce Street, South Pasadena CA 91030, USA, Tel 626-616-2868

Received: November 23, 2015 | Published: November 23, 2015

Citation: Martin JW, Laurent D (2015) Homeopathy as A Misnomer for Activation of the Alternative Cellular Energy Pathway: Evidence for the Therapeutic Benefits of Enercel® in a Diverse Range of Clinical Illnesses. Int J Complement Alt Med 2(1): 00045. DOI: 10.15406/ijcam.2015.02.00045

Download PDF

Abstract

This paper reports on the favorable results obtained in patients with differing illnesses who were treated with Enercel homeopathic formulations. The range of treatable illnesses does not support the homeopathic “Law of Similars,” with the implied specificity of action of each homeopathic remedy. As summarized in this paper, Enercel can provide clinical improvements to cancer patients as well as to patients with various infectious, allergic and neurological illnesses. Most of these illnesses are explainable as an insufficiency of cellular energy (ICE) required for normal biological functioning. In addition to cellular energy obtained from food metabolism, an environmental force termed KELEA (kinetic energy limiting electrostatic attraction) provides an alternative cellular energy (ACE) to the body. This energy is expressed as a dynamic (kinetic) activity of the body fluids in support of various biological activities. Enercel is prepared by progressively diluting various herbal compounds in water plus ethanol, using facilities approved for Good Manufacturing Practices (GMP). Enercel attracts KELEA from the environment, as can other formulations of KELEA activated water. Upon administration to humans, these solutions can potentially transfer the energy to the body and, thereby, enhance the ACE pathway. Continuing clinical experience gained from using Enercel will help in the evaluation of other KELEA activated water-based products, as well as in the assessment of various other ACE pathway enhancing technologies.

Keywords:enercel, homeopathy, law of similar, cancer, stealth adapted viruses, alternative cellular energy, insufficient cellular energy, kelea, ace, ice, water

Abbreviations

ACE, alternative cellular energy; ICE, insufficiency of cellular energy; CT, computerized tomography; HSV, herpes simplex virus; HZV, herpes zoster virus; HIV, human immunodeficiency virus; ALS, amyotrophic lateral sclerosis; QOL, quality of life, TB: tuberculosis

Introduction

Homeopathy has erroneously been based upon the principle that its different remedies are specific for particular symptoms, as determined by the “Law of Similars”.1,2 This law equates to “like cures like” and states that a substance, which in large amounts will cause specific symptoms in healthy people, will selectively cure the very same symptoms in sick people if administered in infinitesimal doses. The supposed specificity of action of homeopathic remedies is not commonly addressed, although it can be likened to a process caused hormesis.3,4 In this process, a slight exacerbation of a biologically induced toxicity can evoke a corrective reaction that extends beyond the preexisting level of toxicity, resulting in an overall improvement.

The compounds used to generate homeopathic remedies are diluted in water or in water plus ethanol to levels well below the probability of being detectable in the final product.5 The presumption of different specificities for different homeopathic remedies, therefore, has led to the conclusion that water itself must be able to acquire and retain unique vibrational qualities or memories, indicative of each of the originally added compounds.6,7 Moreover, each type of illness then has to be viewed as comprising a distinct “vibrational” disorder that can be selectively corrected using the specific memory, somehow instilled into the homeopathic water.

In reality, studies purportedly showing qualitative memory in water are generally flawed or at least questionable upon the basis of incomplete disclosure of methodology, lack of specificity controls and/or effects of residual components remaining in the water.8,9 Furthermore, the issue of disease specific, unique memory patterns in therapeutic water becomes essentially irrelevant if the same homeopathic remedy can provide clinical benefits across a wide range of illnesses. This paper addresses this topic by describing the successful use of Enercel, a grouping of designated complex homeopathic liquid products for intravenous, intramuscular, sublingual and intranasal administration, in patients with a variety of different illnesses. Clinical data on individual patients are described, along with brief summaries of previously conducted clinical trials. The clinical conditions considered are cancer, virus and bacterial infections, allergic diseases of the upper respiratory tract and amyotrophic lateral sclerosis (ALS).

Cancer

Breast cancer

The patient is a 55 year-old black female diagnosed with a histologically confirmed, grossly ulcerating left-side breast cancer that had extended to regional lymph nodes (Stage III). The tumor had been growing progressively for a year with the patient initially opting not to seek medical therapy. The tumor eventually became unbearable. A photograph taken at the time is shown in Figure 1, left panel. The patient received Enercel as first line therapy with minimal surgical debridement of tumor tissue extruding from the breast. The Enercel was administered intravenously once a day and sublingually twice a day for a month. In addition, multiple intra-tumor injections were administered 3 times each week. Marked painless regression and healing of the breast lesion occurred, as shown by a photograph taken at the end of the month-long therapy with Enercel (Figure 1, right panel). The tumor continued to regress such that is soon no longer became clinically detectable. The patient has adopted major lifestyle changes including exercise, vegetarian diet, colonic cleansing and supplements. She has remained healthy and tumor free over the last 4 years.

Figure 1 The left panel is a photograph showing extensive involvement of the left breast with an ulcerating breast cancer, some of which was extruding from the nipple. The extruding material was debrided and he patient was begun on Enercel therapy. Right panel is a photograph of the same patient one month later. It shows the remarkable healing, which occurred as a result of the Enercel therapy.

Lung cancer

The patient is a 59 year-old male smoker with moderate alcohol intake who presented with swelling in his neck, weight loss and fatigue. A fine needle aspiration of an enlarged cervical lymph node showed a poorly-differentiated squamous cell carcinoma. Computerized tomography (CT) scan showed enlarged lymph nodes in the right neck and a para-pharyngeal mass in the left neck. That mass was biopsied and showed squamous cell carcinoma. He was, therefore, diagnosed as having metastatic squamous cell carcinoma from an unknown primary. Chemotherapy with cetuximab and radiation therapy were administered. He developed severe oral mucositis, rash and weight loss and required a feeding tube. A follow-up positron emission tomography (PET) scan did not show any areas of enhanced glucose uptake. However, 4 months later a CT scan showed new pulmonary nodules. He had a wedge resection of a pulmonary lesion, which revealed “metastatic non-small cell carcinoma, probable non-keratinizing squamous cell carcinoma.” He did not receive any further radiation or chemotherapy over the next six moths, during which he was fatigued and had difficulty swallowing solid foods. He then developed further lymph node and pulmonary recurrences and was considered for palliative chemotherapy. Rather than pursuing further chemotherapy, the patient underwent treatment with Enercel . The protocol comprised daily intravenous Enercel for 10 days, then 2 days off Enercel for 3 cycles; oral Enercel twice daily; two puffs of intranasal Enercel into each nostril three times daily and 2 ml Enercel via a nebulizer twice daily. In addition to the Enercel, he underwent detoxification with liver and colon cleanses. He also received Vital-Zymes (Klaire Laboratories), BRM4 (Daiwa Health Development), foot baths and 1 gallon of alkaline water daily. He stopped drinking alcohol, smoking cigarettes and maintained a vegetarian, organic diet. He gained weight and acquired a better sense of well-being and increased energy. He reported that his skin “had better color”.

Upon arriving home, the patient received a repeat CT scan. It was clear without adenopathy or pulmonary lesions. He was considered to be in full remission and has remained so with his final CT scan being performed 16 months after first receiving Enercel. The patient occasionally receive additional Enercel.

Bladder Cancer

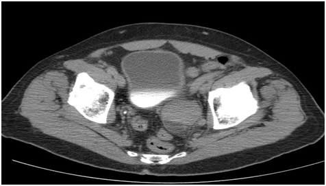
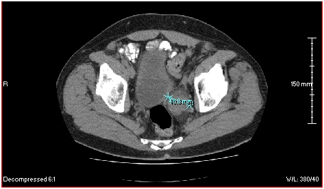
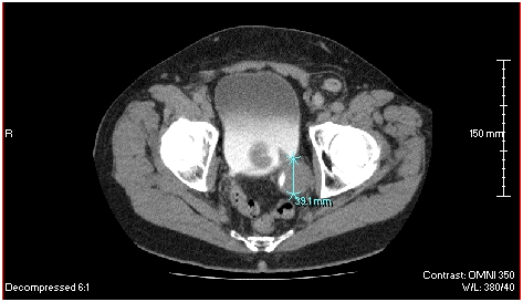
The patient is a 63 year-old male diagnosed in February 2010 with transitional cell bladder carcinoma located at the left posterior ureterovesical junction. The initial CT scan showed the tumor measured 3.91 cm in its posterior to anterior diameter (Figure 2). A plant-derived extract called Salicinium, which is thought to be selectively toxic for cancer cells, was prescribed by his physician. By 3 months, however, the tumor had grown to approximately 7 cm x 4 cm, with compression of the bladder wall (Figure 3). The patient’s physician then decided to try intravenous Enercel. The patient gained symptomatic relief and over the next 2 weeks reported passing blood and tissue pieces in his urine. After 12 weeks of Enercel therapy the tumor had decreased back to 4.01 cm in its widest diameter and was no longer compressing the bladder (Figure 4). The volume of the tumor since beginning of the Enercel therapy was estimated to have decreased by 53%. Hypodense areas were seen inside and along the edges of the mass consistent with tumor cell necrosis. Symptomatically, the patient reported feeling much improved in his overall health. Rather than continuing with Enercel, the patient opted to travel to Mexico for stem cells, catheter administration of supplements and attempted catheter removal of residual tumor. These endeavors led to Pseudomonas aeruginosa sepsis that failed to respond to months of antibiotic therapy. Surgery was finally attempted but failed and the patient died. The case is informative, however by the Enercel induced a significant reduction in tumor size (7 cm versus 4 cm largest diameter) and the clinical and radiological evidence of apparent tumor necrosis.

Figure 2 A CT scan of the pelvis at the time of presentation (2-19-2010). It shows a mass at the left posterior ureterovesical junction that measured 39.1 mm in its widest diameter. The patient began taking Salicinium, a plant derived compound reportedly selectively toxic for tumor cells.

Figure 3 A CT scan of the pelvis of the same patient obtained on 5-18-2010. The radiologically defined tumor had grown, such that its widest diameter was now approximately 7 cm. The tumor was compressing the patient’s bladder. The Salicinium was discontinued and the patient was begun on Enercel.

Figure 4 A CT scan of the pelvis of the same patient obtained on 8-12-2010. The radiologically defined tumor had reduced in size and was no longer compressing the bladder. Its widest diameter was 4.01 cm. The volume of the tumor was estimated to have been reduced by 53%. Hypodense areas were noted within the outer margins of the mass and were interpreted as areas of cellular necrosis.

Infections

Herpes Zoster Virus (HZV). The patient is a 70 year-old female who developed right eye pain, swelling of the area around the eye and blisters on the forehead, which progressed over 3-4 days. A diagnosis of ophthalmic HZV was made. She then began to suffer from right-side headaches, tingling, and pain over her eye consistent with the likely development of post-herpetic neuralgia. Enercel was administered to her right eye every 2-3 hours and once daily intravenously for 5 days. The swelling and eye pain quickly improved and fully resolved. Her neurogenic headaches and supraorbital pain also diminished and fully resolved over 7 days, with no post-herpetic neuralgia.

Herpes Simplex Virus (HSV). A HSV infected patient was included in a recent clinical trial using Enercel in tuberculosis infected AIDS patients in Ukraine.10 The patient had severe disseminated HSV infection prior to entry into the trial. The infection had progressed over the prior two-weeks in spite of Acylovir therapy. Upon starting Enercel (50 cc IV twice daily; 2 puffs by nasal spray three times per day; and 20 drops sub-lingually twice daily) his disseminated herpes infection became asymptomatic and it fully resolved within several days.

Human Immunodeficiency Virus (HIV). At the beginning of the Enercel therapy, the CD4 count on the above mentioned HSV infected patient was 60 cells/mm3 and his HIV viral load was 130,811 copies/ml. In spite of not receiving anti-retroviral therapy, by 4 months on Enercel therapy his CD4 count had risen to 100 cells/mm3 and his HIV viral load had decreased to 10,957 copies/ml. His findings were reported along with those of an additional 8 Enercel-treated AIDS patients who agreed to forego standard anti-retroviral therapy for 4 months. As reported elsewhere, the HIV virus loads were reduced in all of the Enercel-treated AIDS patients. The average HIV levels for 8 of the patients were reduced by over 60% from 204,559 copies per ml to 63,529 copies per ml, with one patient having no detectable virus. The 9th patient initially had a very high virus load of 2,674,129 copies per ml, well outside the virus load levels of the other patients. His virus load was reduced to 1,400,045 copies per ml at the end of the 4 months of Enercel therapy. All of the patients attained higher CD4 lymphocyte counts (averages percentage increase in the 9 patients of 61%). Even more impressive were the self-assessed improvements in the Quality of Life (QOL) of all of the Enercel treated patients.10

Tuberculosis (TB). As noted in the description of the HSV infected patients, all of the nine Enercel treated AIDS patients were infected with TB. Their sputums were positive for TB prior to the study. Upon monthly testing, they were shown to become negative at 2 months. This finding confirmed an earlier study in which 6 new onset and presumably standard anti-TB drug sensitive patients, were offered 30-day therapy with Enercel in addition to receiving standard anti-TB therapy. The Enercel was administered intravenously twice daily for 14 days and then once daily. In addition, the patients received daily Enercel via a nebulizer and both intranasally and sublingually. All of the patients were sputum negative for TB and showed marked improvements in their X-rays at the 30-day period, far better than comparable patients only receiving standard anti-TB therapy. Six of the patients reported complete restoration of their prior health (100% score on their QOL, with the other 2 patients reporting 90% and 95% restoration, respectively). The 30 day Enercel protocol was also tried in 7 patients with long standing multi-drug resistant TB (MDR-TB). Two became sputum negative with an additional patients having only trace amounts detectable from a prior 3+ positive sputum. There were improvements in the QOL in all patients, including the 4 patients in whom there was no apparent reduction in sputum TB.11

Childhood Infectious Diarrhea: As presented elsewhere,12 two intramuscular injections of 3 ml Enercel were administered as an adjunct to routine care to a randomized group of El Salvadorian children (n=58) with acute diarrhea. Clinical progress was assessed during a 24-hour hospitalization period and again at 48 hours after hospital discharge. Compared to an initially well matched randomized control group (n=53), at 48 hours post discharge there were significantly fewer Enercel treated children with persisting increased peristalsis (p<0.001), dehydration (p=0.0224), fever (p=0.0126) or continued multiple bowel movements (p=0.0035). The underlying cause of most children diarrhea in El Salvador is bacterial infection. By virus testing, some cases can be shown to be caused by rotavirus. Enercel was beneficial in both groups of patients.

Allergies

Allergic Upper Respiratory Diseases.The senior pediatrician involved in the above study extended the use of Enercel to the treatment of 29 patients who presented with allergic disease of the upper respiratory tract. Enercel was administered to both nostrils in doses related to the age of the patients (two puffs 3 times a day in patients over 5 years of age; one puff 3 times a day in patients between 2 and 5 years and, one puff twice a day) for children less than 2 years of day. All of the patients were clinically examined on at least 4 occasions during periods up to a year to assess not only initial response but also the frequency of relapses. Of the 29 patients, 2 who were among a group of 14 patients over 30 years of age, was judged as having either no detectable change or only a mild beneficial response. The majority of the other patients, including all 5 patients between 15-30 years, achieved an excellent acute and long beneficial outcome, essentially becoming free of allergic diseases, with the longest follow up of 1 year. Of the 10 cases <15 years old, 2 attained good to very good, but less than excellent results, with substantially reduced relapses and severity of symptoms. The beneficial effects in a patient with detectable rales were essentially immediate, while nighttime snoring due to adenoidal hypertrophy, ceased in 4 of the younger patients.

In a somewhat similar study, 82 patients, who attended an Ears, Nose and Throat (ENT) outpatient clinic in Hungary were enrolled in an Enercel study. The subjects, whose ages ranged from 3-66 years with 40% under age 14, had seasonal or perennial allergic rhinitis, confirmed with a prick test. Thirty-two percent (32%) of the patients also had skin lesions and all patients had accompanying lower respiratory symptoms. One third of the patients were unsuccessfully treated prior to attending the clinic with other anti-allergenic therapy. Enercel Nasal spray was delivered in 2 puffs, 4 times a day to both nostrils. The subjects were seen 1 week and 1 month after the initiation of treatment, at which time clinical examinations were done. They were also questioned about their symptoms and possible side effects. The symptoms of allergic rhinitis (congestion, itching, dripping, tearing, eye irritation) showed significant improvement (p <0.01) at 1 week and was maintained throughout the treatment. Some peripheral manifestations of allergies like atopic dermatitis and urticaria also improved. Obstructive airway symptoms (wheezing, coughing at rest and at exertion, shortness of breath) also improved significantly at 1 week on the symptomatic score index and maintained at one month. This outcome was far bettter than in similar patients not treated with Enercel.

Neurological illness

Two patients with amyotrophic lateral sclerosis (ALS) were given Enercel intramuscularly in doses from 0.25 to 0.5 cc at specific acupuncture points 5 days per week for 4 weeks.13 The first patient initially presented with flaccid paralysis of all four extremities and impaired speech and swallowing. By week 4, she had significant improvement in motor strength of all extremities, right greater than left, and improvements in her speech and swallowing. The second patient had significantly impaired speech and mild motor loss in both upper extremities and in the left leg. After the 4 weeks of Enercel therapy, his voice had significantly improved to the point that his speech was understandable and his motor function had returned to normal.

Discussion

The clinical findings will be discussed in relationship to a new understanding cellular energy. It has been assumed that apart from photosynthesis in plants and in certain bacteria, that food metabolism is essentially the sole source of cellular energy for living creatures.14 This assumption became questionable in studies on the repair process occurring in cultures of virus infected cells. The cultures were infected by stealth adapted viruses, which are not effectively recognized by the cellular immune system While initially undergoing a cell damaging, cytopathic effect (CPE), the cells then showed a remarkable capacity of self repair.15 Infected cells were able to undergo repair in spite of markedly disrupted mitochondria;16 the primary source of energy from food metabolism. The cellular repair and survival was due to the production of pigmented materials with energy transducing properties.15 These materials were termed alternative cellular energy (ACE) pigments since there seemingly was an alternative or third energy pathway of Nature, different from photosynthesis and food metabolism. Additional studies, reviewed elsewhere, indicate that the ACE pathway is expressed as a dynamic (kinetic) quality of water consistent with a loosening of the intermolecular hydrogen bonding between water molecules.17 It results from the molecules acquiring an environmental force termed KELEA (kinetic energy limiting electrostatic attraction). Separated electrical changes on ACE pigment particles can attract this environmental force and transfer it to water molecules, possibly in an oscillatory manner. Once the electrical charges on the water molecules become sufficiently separated, they can directly attract KELEA leading to further charge separation and also to the activation of added water.18˗20

Various tinctures used in homeopathy have the capacity to attract KELEA and transfer it to water. It came as little surprise, therefore, that certain homeopathic products share many characteristics with KELEA activated water, such as increased volatility and kinetic streaming. It is meaningful, therefore, to document the clinical efficacy of well standardized homeopathic products for future comparison with easily produced KELEA activated water. Based on the understanding of the ACE pathway, homeopathic products would not be expected to act selectively on specific illness. Indeed, they should be effective in patients with a range of illnesses attributed to an insufficiency of cellular energy (ICE) obtained from the second or food metabolism based energy pathway. The results presented in this paper are consistent with this premise. Moreover, they help focus on ICE as contributing to the underlying pathology of the clinical conditions discussed in this paper. As discussed elsewhere and summarized below, this is a reasonable proposal.

Cancer can be viewed as the consequence of cells being deficient in one or other energy supplying components.21 The cells could respond by striving through replication and migration to obtain the missing component; at least for some of the progeny cells. Providing cellular energy through the ACE pathway may help overcome the deficiency and remove the stimulus for excessive growth and metastases. A second mechanism that can link ICE to cancer survival relates to the process of apoptosis. This term refers to a suicidal response that aberrant cells in multicellular organisms, may be preprogrammed to undergo as a natural corrective mechanism. If apoptosis requires more energy than cellular replication, then arguably tumor cells persistence could simply reflect limited availability of energy. Given additional energy, the tumor may, therefore, self-destruct. Either of these two possible explanations could hold true in clinical examples of tumor regressions coinciding with therapies that are able to enhance the body’s ACE pathway. The examples cited in the present paper of tumor regression are noteworthy for the lack of pain that typically results from radiation and/or chemotherapy induced intra-tumor inflammation. This is consistent with apoptosis, which does not provoke a painful inflammatory reaction, being the healing mechanism.Since Enercel is not commonly relied upon as the sole therapy for cancer, or necessarily administered in adequate amounts, it is not possible to provide a failure rate in treating cancer patients. A related homeopathic productwas administered daily to 86 pancreatic cancer patients in a 1992 study in Argentina. At that time, and to a large extent even now, no effective chemotherapy exists for pancreatic cancer. Consequently, at the time of the 1992 study, there was little expectation of any patient living beyond several months. Yet 60 of the 86 patients survived the year-long study.22 Seventy-eight patients were reported as being pain free or only experiencing mild pain.  Nausea and vomiting was eliminated in 56% of the patients and noticeably reduced in another 36%. It was further reported that in mid-1994, there was still over 50% survival and that the patients were all well.23

Active virus infections can be considered a drain on cellular resources in favor of the replicating viruses.21 This diversion of energy could limit whatever resources cells have to suppress viruses. Enhancing the ACE pathway would, therefore, be an appropriate manner to assist cells to overcome virus infections. It is worthwhile to contrast the ACE pathway with the cellular immune system in the defense against viruses. The most important distinction is the inability of the cellular immune system to defend against stealth adapted viruses. These viruses are nor effectively recognized by the cellular immune system due to the deletion or mutation of the genes coding for the normally targeted antigens.4˗26 As discussed elsewhere, stealth adapted viruses have been linked to many major symptomatic illnesses, especially those in which there is an impairment of normal brain function.27,28 For most virus infections, however, the body can utilize the cellular immune, although at the expense of the infected cells being killed. The cellular immune response also evokes inflammation with the possibility of subsequent scarring. An activated cellular immune system can also occasionally extend its range of reactivity from only targeting infected cells and can begin to engage with normal cells leading to autoimmunity. The immune system is also subject to attack by HIV, explaining the dissemination of HSV in the AIDS patient described in this paper. The rapid resolution of the patient’s HSV attests to the potential anti-viral healing capacity of the ACE pathway. This view is also supported by other studies showing rapid, effective and asymptomatic therapy of HSV and HZV infections using ultraviolet (UV) light illumination of neutral red dye stained ACE pigments present in the lesions.29 There are also data supporting a major role of the ACE pathway in suppressing hepatitis B and C virus infections and human papillomavirus (HPV) infections. 

The mechanism involved in Enercel suppression of TB is less well understood. It may result from the ACE pathway improving macrophage mediated intracellular killing of the mycobacteria. X-rays of the lungs showed significant reduction, rather than any increase, in cellular infiltrates during Enercel therapy. In vitro studies using KELEA activated water indicate that it may penetrate bacteria easier than regular water. It is also speculated that in acquiring pathogenic capacities, certain bacteria may compromise other capacities, which could possibly include defense against osmotic challenge.

The expedited recovery from childhood diarrhea can be explained by the greater water resorption capacity of colonic epithelium in the Enercel treated patients. The therapy may also have had an effect on the microbiome, with the potential of being selectively toxic for pathogenic bacteria. This is not the only answer, however, since benefits were seen in patients positive for rotavirus.

The striking and rapid benefit achieved by Enercel in patients with allergic disease of the upper airways may involve protective mechanisms beyond enhancing the ACE pathway. Acute inflammation is viewed as a cellular and cytokine response to the release of so called “danger signals” from damaged cells.30 In certain individuals, inflammation can proceed to the production of IgE antibodies to various environmental allergens. By binding to cellular Fc receptors, the IgE antibodies can then render mast cells and basophils extremely sensitive to destruction upon re-exposure to the allergen. In initiating the immune process, parts of the allergens bind to major histocompatibility (MHC) antigens. There is also the required binding of the allergen to IgE antibody that needs to be attached to mast cells/basophils. Hydrogen bonding has been described as playing a role in each of these binding processes. These are,

  1. The binding of the allergen to MHC,
  2. The binding of IgE to the Fc receptor, and
  3. The binding of the allergen to IgE.31˗33 It will be of interest to determine if the weakening of hydrogen bonding achievable by KELEA activated water can affect any of these processes. The sympathetic nervous system also contributes to heightened allergic reactivity.34 A consistent effect of Enercel is ameliorating stress, reflected in the self-reporting of improved QOL. Based on other studies, consuming KELEA activated water may preferentially support the parasympathetic versus the sympathetic autonomic nervous system, with therapeutic benefit.

Along with many neurodegenerative illnesses, including Alzheimer’s disease, ALS can be viewed in terms of ICE affecting motor neurons. The significant improvement seen in the two Enercel treated ALS patients supports the concept of damaged cells losing specialized functions, yet still remaining viable with the capacity of regaining some of the previously lost specialized function. ALS is a good example of the type of illness explainable as a stealth adapted virus infection, with contributing genetic and other environmental factors. Indeed, blood cultures on several ALS patients were shown to be positive for stealth adapted virus (unpublished). A family was also identified in which the individual members became ill with diverse neurological illnesses, including a case of ALS.28 The staggered onsets of the illnesses in the different family members are highly suggestive of an infectious process.

The ALS study is also noteworthy since the Enercel was administered into acupuncture points. An intriguing possibility discussed in more detail elsewhere, is that the brain’s coordinated electrical activities may act as an antenna to attract KELEA.35 The use of acupuncture points for administering Enercel may directly have an effect on the brain, which can then secondarily lead to further activation of the body’s fluids. Psychological factors can also potentially affect the brain, including the sense of optimism from simply being treated. A rigorous, double-blinded, placebo controlled study using products such as Enercel, should help address this concern.

While outside of the scope of this paper, various procedures used within complementary and alternative (CAM) medicine, including the use of certain medical devices that create oscillating electrical fields, have been shown to activate water19˗21,36˗37 Some of the medical devices can be used to directly treat patients. The clinical experience gained from using Enercel will provide a useful benchmark with which to compare the relative efficacy of different ways of enhancing the ACE pathway.

The broadly based therapeutic benefits potentially achievable by enhancing the ACE pathway will likely deemphasize the need for fully characterizing the various manifestations of suboptimal health.38 As such, ACE pathway based therapies run counter to the growing emphasis on precision medicine. The will be an important change since the diagnostic and therapeutic endeavors required for precision medicine are likely to become financially prohibitive, especially in developing countries. Fortunately, there is essentially minimal cost of providing large quantities of KELEA activated water, also called “ACE Water.” Additional clinical studies are urgently needed to optimize efforts aimed at enhancing the ACE pathway in medical conditions attributed to ICE. These studies should include further detailed evaluation of the many potential uses of Enercel.

Summary

The administration of a highly diluted water plus ethanol solution termed Enercel was shown to lead to the non-inflammatory regression of tumors, reductions in virus and bacterial infections, suppression of allergic diseases of the upper respiratory tract and symptomatic improvements in two patients with amyotrophic lateral sclerosis. Although referred to as being homeopathic, this term is a misnomer since Enercel is essentially an activated water product. The clinical efficacy of Enercel in diverse illnesses also defies the basic principle of homeopathy that each formulation is designed to treat specific symptoms. According to “Laws of Similars”large quantities of the components used in manufacturing homeopathic products will evoke symptoms of the illness to be treated in normal individual. It is particularly difficult to apply this homeopathic concept to the therapy of cancer. Rather, the herbal and other components in Enercel are able to activate water through the transfer of an environmental force called KELEA (kinetic energy limiting electrostatic attraction). This force can also serve to enhance the kinetic activity of the body’s fluids, essentially providing a source of cellular energy beyond that derived from the metabolism of food. Additional clinical studies using Enercel and other means of enhancing the ACE pathway should be undertaken in patients with illnesses attributed to an insufficiency of cellular energy (ICE) from food metabolism.

Conflicts of interest

Dr. Laurent is the Director of Science for World Health Advanced Technologies Ltd., the manufacturer of Enercel. He is also a faculty member of the Institute of Progressive Medicine, which does not have any financial involvement with the promotion or sale of Enercel. Dr. Martin has no conflicting interests.

Acknowledgments

We are thankful to Dr. David Christner for his pioneering efforts to promote Enercel; to Dr. Rafael Ruiz Izaguirre of El Salvador, Dr. Gedeon Kereszi of Hungary and to the other clinicians who have kindly shared clinical data on using Enercel. The Institute of Progressive Medicine is a component of MI Hope Inc. a non-profit public charity.

Funding

None.

References

  1. Marcy EE, Hunt FW. The Homeopathic Theory and Practice of Medicine. William Radde publisher, New York. 1868. p.942.
  2. Gutman W. The basis of the law of similar. British Homoeopathic Journal. 1961;50(1):26˗29.
  3. BernardiniS, Andrea Dei A. Hormesis may provide a central concept for homeopathy development. Toxicology and Applied Pharmacology. 2006;211(1):84˗85.
  4. Calabrese EJ. Evidence that hormesis represents an ‘‘overcompensation’’ response to a disruption in homeostasis. Ecotoxicol Environ Saf. 1999;42(2):135˗137.
  5. Mandal PP, Mandal B. A Textbook of Homeopathic Pharmacy. B Jain, Kokata, India. 2001. p.333.
  6. Chaplin M. The memory of water: an overview. Homeopathy. 2007;96(3):143˗150.
  7. Schiff M. The Memory of Water: Homoeopathy and the Battle of Ideas in the New Science. Thorsons Publishing Group, Glasgow. 1998. p.166.
  8. Davenas E, Beauvais F, Amara J, et al. Human basophil degranulation triggered by very dilute antiserum against IgE. Nature. 1988; 333(6176):816˗818.
  9. Montagnier L, Aissa J, Ferris S, et al. Electromagnetic Signals Are Produced by Aqueous Nanostructures Derived from Bacterial DNA Sequences.  Interdiscip Sci Comput Life Sci. 2009;1(2):81˗90.
  10. Dubrov V, Dubrova T, Christner D, et al. Alternative cellular energy based therapy using Enercel® in advanced AIDS patients co-infected with tuberculosis and treated in Chernigov, Ukraine. Journal of Human Virology & Retrovirology. 2015;2(6):00061.
  11. Dubrov V, Dubrova T, Suhareva V, et al. Efficacy of treatment with Enercel for new-onset, presumed drug-sensitive and confirmed multidrug resistant pulmonary tuberculosis. USAID/Ukraine, Tuberculosis, Lung Infections and HIV. 2012;1(8):85˗91.
  12. Izaguire RR, Guzman MR, Fuentes RC, et al. Alternative cellular energy based therapy of childhood diarrhea. In: Stealth Adapted Viruses; Alternative Cellular Energy (ACE) & KELEA Activated Water. Author House, Bloomington IN. 2014. p.103˗114.
  13. Liang S, Christner D, Du Laux S, et al.   Significant neurological improvement in two patients with amyotrophic lateral sclerosis after 4 weeks of treatment with acupuncture injection point therapy using Enercel. J Acupunct Meridian Stud. 2011;4(4):257˗261.
  14. Wells JC. Obesity as malnutrition: The dimensions beyond energy balance. Eur J Clin Nutr. 2013;67(5):507˗512.
  15. Martin WJ. Stealth virus culture pigments: a potential source of cellular energy. Exp Mol Path. 2003;74(3):210˗223.
  16. Martin WJ. Complex intracellular inclusions in the brain of a child with a stealth virus encephalopathy. Exp Mol Pathol . 2003;74(3): 197˗209.
  17. Martin, W.J. KELEA: A natural energy that seemingly reduces intermolecular hydrogen bonding in water and other liquids. Open Journal of Biophysics. 2015;5(3):69˗79.
  18. Martin WJ. KELEA activated water - Enhancing the alternative cellular energy pathway. in Stealth Adapted Viruses; Alternative Cellular Energy (ACE) & KELEA Activated Water. Author House IN, Bloomington, USA. 2014. p.115˗144.
  19. Martin WJ. Therapeutic potential of KELEA activated water.  International J Complement Alt Med. 2015;1(1):00001.
  20. Martin WJ. Alternative cellular energy as a unifying concept in complementary alternative medicine. Int J Complement Alt Med. 2015; 1(4):00022.
  21. Martin WJ. KELEA activation of water and other fluids for health, agriculture and industry. Journal of Water Resource and Protection (in press). 2015.
  22. Bertacchini C. The effects of homeopathic formulas treatment on aspects of the quality of life in patients with advanced pancreatic cancer. 1992.
  23. Phoenix Group Inc. Argentine’s medical miracle. Townsend Letter, USA. 1996;159:16.
  24. Martin WJ, Zeng LC, Ahmed K, et al.Cytomegalovirus-related sequence in an atypical cytopathic virus repeatedly isolated from a patient with chronic fatigue syndrome. Am J Pathol. 1994;145(2):440˗451.
  25. Martin WJ. Stealth adaptation of viruses: Review and updated molecular analysis on a stealth adapted African green monkey simian cytomegalovirus (SCMV). Journal of Human Virology & Retrovirology. 2014;1(4):00020.
  26. Martin WJ. Stealth adaptation of viruses: Implications for therapy and for potential toxicity of vaccines. Journal of Virology and Current Research. 2015;1(1):555551.
  27. Martin WJ. Stealth adapted viruses. A bridge between molecular virology and clinical psychiatry. Open J Psychiatry. 2015;5(4):311˗319.
  28. Martin WJ. Stealth adapted viruses - Possible drivers of major neuropsychiatric illnesses including Alzheimer’s disease. J Neurol Stroke. 2015;2(3):00057.
  29. Martin WJ, Stoneburner J. Alternative cellular energy (ACE) pathway activation as the mode of action of neutral red dye phototherapy of human viruses. J Human Virology &  Retrovirology. 2014;1(4):00019.
  30. Matzinger P. The danger model: a renewed sense of self. Science. 2002;296(5566):301˗305.
  31. Kusano S, Kukimoto-Niino M, Satta Y, et al. Structural basis for the specific recognition of the major antigenic peptide from the Japanese cedar pollen allergen Cry j 1 by HLA-DP5. J Mol Biol. 2014;426(17):3016˗3027.
  32. Wurzburg BA, Jardetzky TS. Structural insights into the interactions between human IgE and its high affinity receptor FcepsilonRI. Mol Immunol. 2002;38(14):1063˗1072.
  33. Tai HY, Zhou JK, Chou H, et al. Epitope Mapping and In Silico Characterization of Interactions between Der p 7 allergen and MoAb WH9. PLoS One. 2013;8(8):e71269.
  34. Padro CJ, Sanders VM. Neuroendocrine regulation of inflammation. Semin Immunol. 2014;26(5):357˗368.
  35. Martin WJ. Is the brain an activator of the alternative cellular energy (ACE) pathway? International Journal of Complementary & Alternative Medicine. 2015;1(1):00002.
  36. Martin WJ. Interacting light paths attract KELEA (kinetic energy limiting electrostatic attraction) and can lead to the activation of water. Open J Biophysics. 2015;5(4):115˗121.
  37. Martin WJ. Interactive electric fields attract KELEA (kinetic energy limiting electrostatic attraction) and can lead to the activation of water. International Journal of Complementary & Alternative Medicine. 2015;1(6):00034.
  38. Martin WJ. Deconstructing Medicine. The alternative cellular energy pathway. British J Medicine and Med Res. 2016;11(8):1˗6.
Creative Commons Attribution License

©2015 Martin, et al. This is an open access article distributed under the terms of the, which permits unrestricted use, distribution, and build upon your work non-commercially.