Case Report Volume 4 Issue 3
1Department of Curriculum Design, National Dong-Hwa University, Taiwan
2Center for Traditional Medicine, Taipei Veterans General Hospital, Taiwan
3Faculty of Medicine, School of Medicine, National Yang-Ming University, Taiwan
4Psychiatric Ward, Taichung Veterans General Hospital, Taiwan
Correspondence: Tzu-Ying Hu, Department of Curriculum Design and Human Potentials Development, National Dong-Hwa University, No. 1, Sec. 2, University Road, Shoufeng Township, Hualien County 97401, Taiwan, Tel 886-920-301-226
Received: July 01, 2016 | Published: October 21, 2016
Citation: Hu TY, Kung YY, Hu TM, Rau JW (2016) Meditation-Based Intervention as a Complementary Treatment for Adenomyosis: A Case Report. Int J Complement Alt Med 4(3): 00122. DOI: 10.15406/ijcam.2016.04.00122
Objective: Adenomyosis is a common benign gynecological condition in pre-menopausal women, with symptoms such as menorrhagia and dysmenorrhea, greatly affecting women’s health and quality of life. The treatment options of adenomyosis are hysterectomy, anti-inflammatory, hormone medications and conservative surgeries. However, they might be either temporary symptom control, or side effects, or compromised fertility, or no fertility. Meditation-based intervention has been shown beneficial to various diseases. The patient was a 45-year-old Taiwanese woman who was diagnosed with adenomyosis, after experiencing severe symptoms, including menorrhagia and dysmenorrheal. The intervention was to identify her greatest stressor firstly and then let go of it to reduce the greatest portion of the stress; next, to do mantra meditation, Six Character Great Bright Mantra, and mindfulness meditation intensively to keep reducing stress, while taking medicine of anti-inflammatory, hemostatic drugs, iron and vitamin B as necessary. She was an experienced meditation practitioner of mantra and mindfulness. The result was that serum cancer antigen 125 (CA 125), menstrual pain and bleeding reduced considerably within 1.5months. The symptoms were alleviated successfully. Her symptoms of adenomyosis intensified at her age of 50. She did meditation-based intervention and alleviated symptoms successfully again. The intervention enabled her to pass into menopause well without hysterectomy or any conservative operation or hormone medications.
Conclusions: The application of meditation-based intervention as a complementary therapy in patients with adenomyosis might facilitate the treatment process and improve results. This merits further investigation in clinical studies with larger sample sizes.
Keywords: ca-125, mantra meditation, mbsr, mindfulness meditation, adenomyosis
CA-125, serum cancer antigen 125; VAS, visual analogue scale; MBSR, mindfulness-based stress reduction; MBI, meditation-based intervention
Adenomyosis is a fairly common benign gynecologic condition in pre-menopausal women. The current definition of adenomyosis was provided by Bird in 1972 as benign invasion of endometrium into the myometrium, producing a diffusely enlarged uterus which microscopically exhibits ectopic nonneoplastic, endometrial glands and stroma surrounded by the hypertrophic and hyperplastic myometrium.1 The symptoms of adenomyosis include menorrhagia, dysmenorrhea, and metrorrhagia and diffuse uterine enlargement, affecting premenopausal women.2 having great impact on women’s health and quality of life.1
In the past, the diagnosis was dependent on histological evaluation of a hysterectomy specimen showing invasion of endometrial tissue into the myometrium,4 but recently transvaginal sonography, as well as the measurement of serum cancer antigen 125 (CA-125), a tumor marker, were adequate in clinically suspicious cases.5,6 The differential diagnosis nowadays was based on (A) severe menorrhagia, and dysmenorrhea, (B) serum CA-125 level ≧35.0 Unit/ml, (C) transvaginal sonography to show the diffuse uterine enlargement.7
For patients who experience severe discomfort from adenomyosis, surgical hysterectomy is the definitive treatment.7–9 However there may be a complication of the surgery. For those who are averse to surgery or wish to preserve their uterus or their reproductive potential, the alternative options were medications, or conservative surgery. One of the medications is anti-inflammatory drugs and hemostatic drugs which are only for temporary symptom control. The other is hormone medications, such as GnRH agonists and Danazol, which are used to alleviate symptoms and may have side effects.7–9 The conservative surgery, or minimal invasive procedure, like endometrial ablation and uterine artery embolization, has disadvantages, including “partial efficacy and compromised fertility due to incomplete excision, scarring and reduced uterine volume”.
MBIs were used to reduce stress and relieve suffering in various illnesses to complement medical treatments. They have been shown beneficial to a wide range of disorders, including anxiety and mood disorders, depression, chronic pain, cancer, cardiovascular disease.10–12 Meditation was used to cope with pain in endometriosis;13,14 however, to our knowledge, there is no research showing the application of meditation to adenomyosis. This paper reports a case of adenomyosis, using MBI as a complementary therapy, and reducing serum CA-125 level, the menstrual bleeding and menstrual pain considerably.
A 45-year-old Taiwanese woman, with a body mass index (BMI) of 19 in 2008, gravid 1, para1, with a cesarean section delivery at age 34, had been suffering from intermittent pelvic pain, dysmenorrhoea, heavy bleeding, the passage of clots during the menstrual cycle, which lasted an average of 11days, and fatigue for the previous 6months.
Her ultrasound exanimation performed at admission revealed the size of the uterus as 102x59x63mm. The ultrasound graph is shown in Figure 1. The value of serum CA-125 level, menstrual bleeding according to the scoring method15,16 and menstrual pain on the visual analogue scale (VAS) of 0 to 1016 are shown in Figure 2. The symptoms were very severe, and fertility was no longer a consideration to the patient. The physician strongly suggested a hysterectomy. The patient was an experienced meditation practitioner, and has learned meditation at a Buddhist center in Taiwan from a teacher with the knowledge of Tibetan Buddhism. She consulted her teacher and then decided to try meditation before hysterectomy. The methods she used (intervention I), described in a qualitative interview, were to identify her greatest stressor at that time and then let go of it, followed by the intensive practice of mantra meditation and mindfulness meditation, for approximately 1.5hours per day and approximately 10hours per week, while taking anti-inflammatory, hemostatic drugs, iron and vitamin B supplements as necessary. After over 1month of this treatment regimen, serum CA-125 level, menstrual pain, and menstrual bleeding were reduced considerably, as depicted in Figure 2. Because of the alleviation of symptoms, no hysterectomy or any other operation was performed on her.
Figure 2 The fluctuations and values of the serum level of CA125 (A), menstrual pain in VAS (B), and menstrual bleeding (C).
From the age of 45-50years (2008-2013), the patient had practiced mantra meditation and mindfulness meditation for approximately 45minutes per day and 4days per week, while taking the same medication as before. The general condition of adenomyosis was acceptable to the patient. Her serum CA-125 level and menstrual pain and bleeding are shown in Figure 2.
However, at age50 (March 2013), her symptoms of adenomyosis (menorrhagia, dysmenorrhea, and metrorrhagia) intensified. The symptoms included pelvic pain, heavy bleeding, and the passage of clots during the menstrual period, and continual bleeding after menstruation period. Moreover, menstrual pains caused her to vomit and her face to turn pale.
Her ultrasound exanimation performed at 2013 July 31 revealed the size of the uterus as 94.9 × 65.0 × 69.9mm. The ultrasound graph is shown in Figure 3. The value of serum CA-125 level, menstrual bleeding and menstrual pain are shown in Figure 2.
The symptom was very severe, and fertility was no longer a consideration to the patient. The physician said this age, though being close to menopause, was a peak age of pathological changes and suggested a hysterectomy with two months observation. She accepted the suggestion, because the pain was unbearable. During the observation, she practiced meditation and MBSR (intervention II). She learned MBSR in 2012.
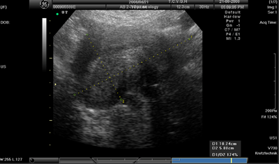
The method of intervention II was to first identify her greatest stressor and then let go of it, followed by intensive practice of mantra meditation, mindfulness meditation, and MBSR exercises, for approximately 4hours per day and approximately 28hours per week, while taking anti-inflammatory, haemostatic drugs, iron and vitamin B as necessary. The exercises of MBSR she did included mindfulness meditation, mind full breathing and body scan indoors, and mindful walking, mindful stretching in a large park with many big trees and beautiful lawn. Moreover, she practiced mindfulness in daily activities, paying attention to the present rather than the past or future, focusing on bodily sensations and movements and observing her thoughts none judgmentally. After 1.5month, her symptoms had markedly alleviated. The serum CA125 level, menstrual bleeding, and menstrual pain at this time are shown in Figure 2. The ultrasound graph is shown as Figure 4. The patient continued with the same meditation activities afterward, practicing approximately 2.5hours a day (for a total of about 17.5hours per week), and continued taking the same medication as necessary. Her symptoms had further improved as shown in Figure 2. In 2014, the patient had a large amount of menstrual bleeding in June, rare bleeding in July, and none in August. Her menopause was accurately diagnosed in December 2014. She had low-level bleeding twice in 2015, and non in 2016.
Meditation has been used within spiritual practice for centuries17 and is one of mind-body approach in mind-body-spirit medicine currently.18 Mantra is a numinous sound, word, or group of words. The potent sound vibrations of mantra create energy, thus lead to healing effect in the body mentally and physically. Previous researches indicated mantra meditation could decrease stress response, and anxiety, increase emotional well-being, peaceful, spiritual feelings19,20 and lower cortisol levels, regulate blood pressure, reduce anxiety, and increase a sense of hopefulness.21 Mindfulness is defined as paying attention to or being aware of the moment-to-moment experiences that arise with the attitudes of acceptance, non-judgment, compassion, letting-go, openness, patience, non-striving, and trust.22 Mindfulness was incorporated into clinical intervention to reduce stress in medical institute as MBSR, conducted as a structured, group-formatted 8-week course.22 The exercises of MBSR include mindful meditation, mindful breathing, mindful walking, mindful yoga, body scan and mindfulness in daily life activities. MBSR was shown beneficial to mental and physical conditions, and was used in the treatment of a wide range of disorders, such as anxiety and mood disorders, depression, chronic pain, cancer, diabetes, cardiovascular disease,10–12,23 and pain in endometriosis.13,14
In this case, the patient with severe symptoms of adenomyosis was treated with MBI complementarily without the need for a hysterectomy or any conservative operation or hormone medications. Serum CA-125 level, menstrual bleeding, and menstrual pain of the patient were reduced considerably and significantly.
The considerable reduction of serum CA-125 level, a cancer biomarker, supported that meditation was helpful to the cancer biomarkers.22 The abatement of menstrual pain was also a supportive evidence demonstrating meditation being effective in coping with menstrual pain in endometriosis.13,14 Furthermore, this case displayed that MBI was helpful to reduce menstrual bleeding in adenomyosis. Notably, a meta-analysis on MBSR to cancer revealed that “MBSR may indeed be helpful for the mental health of cancer patients (Cohen’s effect size d=0.48); however, more research is needed to show convincing evidence of the effect on physical health (Cohen’s effect size d=0.18)”.24 In addition, a review paper on MBIs for physical conditions indicated “most outcomes assessed are psychological in nature and show substantial benefit, although some physical and disease-related parameters have also been evaluated”.25 In other words, more evidence must be obtained on the effects of MBI on physical conditions. This case was a valuable demonstration of the benefits of MBI to physical condition, showing pronounced effects on reducing menstrual bleeding, menstrual pain and serum CA-125 level in a case of adenomyosis.
This case showed a greater effect on physical conditions than did previous studies.24,25 The possible reasons for the rapid alleviation of the physical conditions presented in our case are explained as follows:
Compared with the mindfulness-based intervention in previous research, the intervention in this case had three aspects that might have facilitated the alleviation of physical symptoms: (a) the addition of mantra meditation, rather than the practice of only mindfulness meditation and MBSR; (b) the patient being a long-term, skilful practitioner of meditation; (c) the patient having begun her meditation by identifying the greatest stressor in her life and then letting go of it, thereby reducing the greatest portion of stress.
Intervention I and Intervention II contained a pattern of three actions:
The first and second actions reduced the greatest portion of stress, and the third action maintained stress reduction, thus enabling effective stress management and facilitating the alleviation of symptoms Additionally, Intervention II was demonstrably more effective than Intervention I, as shown in Figure 2. Intervention II included more activities and was practiced for a greater length of time than Intervention I. The patient was also more skilful in mindfulness and mantra meditation by the time she began Intervention II.
According to the comparison and analysis presented in this paper, there are several aspects that might facilitate the effect of MBI on physical conditions: (a) beginning with the identification of the greatest stressor to the patient and then releasing it by letting go of it; (b) incorporating mantra and mindfulness meditation; (c) increasing the duration of practice time; and (d) being skillful in meditation.
In this paper, we show that the practice of MBI, incorporating mantra and mindfulness meditation, identification of the greatest stressor and then releasing it, and skillfulness in meditation, has a beneficial effect on adenomyosis. Specifically, serum CA-125 levels, menstrual pain, and menstrual flow decreased, and the patient required no operations or hormone medications. The application of MBI as a complementary therapy in patients with adenomyosis might facilitate the treatment process and improve results. This merits further investigation in clinical studies with larger sample sizes.
The authors declared that they have no conflict of interests about this study.
We thank Dr. Shiaw-Feng Hwang, Department of Obstetrics, Gynecology & Women's Health, and Dr. Kai-Dih Juang, Department of Psychiatry, Taichung Veterans General Hospital, Taichung, Taiwan, for their valuable suggestions.
None.
©2016 Hu, et al. This is an open access article distributed under the terms of the, which permits unrestricted use, distribution, and build upon your work non-commercially.