Submit manuscript...
International Journal of
eISSN: 2577-8269

Family & Community Medicine

Case Report Volume 2 Issue 3

A strange cause of heart failure: right heart failure secondary to pulmonary artery intimal sarcoma in a 67 years old male

Ismael Tinoco Racero,1 Eduardo Sifuentes Diaz,2 Maria del Carmen Rodriguez Leal,2 Natalia Caro Gomez2

1Universitary Hospital Puerta del Mar of Cadiz, Medicine Deparment of School of Medicine, Spain
2Universitary Hospital Puerta del Mar of Cadiz, Spain

Correspondence: Ismael Tinoco Racero, Deparment of School of Medicine, Universitary Hospital Puerta del Mar of Cadiz, C.P. 11007, Spain, Tel +34-856070368, +34-679740092

Received: May 28, 2018 | Published: June 21, 2018

Citation: Racero IT, Díaz ES, Leal MCR, et al. A strange cause of heart failure: right heart failure secondary to pulmonary artery intimal sarcoma in a 67 years old male. Int J Fam Commun Med. 2018;2(3):145-146. DOI: 10.15406/ijfcm.2018.02.00068

Download PDF

Abstract

He is a man of 67 years with a history of ischemic heart disease and an echocardiographic diagnosis of possible pulmonary artery stenosis. He´s admitted to in internal medicine by progressive dyspnea and development of clinical support right heart failure. He is diagnosed by a chest-CT of pulmonary embolism. We start anticoagulant therapy and the evolution is unfavorable, respiratory failure persists and is diagnosed of severe pulmonary hypertension secondary to pulmonary embolism. No response to vasodilator treatment and we perform a right catheterization to check if he meets surgical criteria (functional class III-IV heart failure, pulmonary vascular resistance> 300d / sec / cm-5, surgical accessibility to the thrombi and absence significant comorbidities). After meeting the criteria, he is proposed for performing surgical endarterectomy, referring to a specialized multidisciplinary evaluation unit. In the preoperative evaluation, pulmonary angiography is repeated and thrombus material sample is taken. In the following days he dies of hemoptysis and respiratory failure. Subsequently pathology thrombus, which is compatible with a primary sarcoma of the pulmonary artery, is received. This tumor is very rare, it´s usually presented in the 6th decade of life, imitating clinic lung embolism with torpid evolution. It as a very poor prognosis, requiring surgery and sometimes adjuvant chemotherapy or radiation therapy. It Should be suspected in patients with pulmonary embolism presenting an unfavorable outcome with treatment, accompanied by systemic symptoms, absence of peripheral deep venous thrombosis and thrombotic material predominates so eminently unilateral.

Keywords: pulmonary artery sarcoma, right heart failure, chronic thromboembolic pulmonary hypertension

Abbreviations

TTE, Transthoracic echocardiography; ECG, Electrocardiography; LV-EF, Eyection fraction of left ventricle; CT, Computer tomography; VTE, Venous thromboembolism; CTEPH, Chronic thromboembolic pulmonary hypertension; PE, Pulmonary embolism; DVT, Deep venous thrombosis; PET-CT, Positron emission tomography–computed tomography; MRI, Magnetic resonance imaging

Introduction

The case is interesting because it addresses a rare cause of pulmonary thromboembolism, angiosarcoma of the pulmonary artery. It is a complex diagnostic entity and it guides us on some clinical and radiological data that can make us suspect this disease.

Case presentation

He is a 67 years old man, whose history stands clopidogrel allergy, ex-smoker, hypertensive and hypercholesterolemic. He is diagnosed with chronic venous insufficiency and recurrent renal colic. Four years ago, he was diagnosed with ischemic heart disease with acute anteroseptal myocardial infarction without significant coronary lesions in the cardiac angiography. It is operated cataract and vasectomy. He performs treatment with diltiazem, atenolol, nitrate, acetylsalicylic acid and omeprazole. The patient as a very sedentary life, in recent months developed a progressive dyspnea, to be of minimal effort with orthopnea and lower limb edema, without chest pain or other associated symptoms. He Had made about 6 months before admission a coronary computerized tomography (CT) with a calcium score of 403 and transthoracic echocardiography (TTE) showing right ventricular dilatation and what looked like a double lesion of the pulmonary valve with severe stenosis and moderate insufficiency. Upon entering our department intensified their dyspnea even at rest and progression of their edema. On examination has distal cyanosis, and truncal obesity, with 45º jugular venous engorgement, blood pressure of 138/76 mmHg, heart rate of 93 bpm, and basal oxygen saturation of 80%. Rhythmic heart sounds and a systolic murmur predominance in pulmonary and tricuspid heart sounds. Crackles in bases. Abdomen without mass or organ enlargement. Extremities with edema to knees and signs of chronic venous insufficiency.

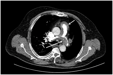
Analytically blood count and coagulation were normal, slightly elevated D-dimer 860 (mcg / L). In biochemistry highlighted a blood glucose 240 mg / dl, Reactive Protein C of 16.13 mg / L, with troponin T, CPK, renal function and normal liver. Gasometric had a PO2 of 50 mmHg, PCO2 of 33 mmHg and an oxygen saturation of 76%. Electrocardiography in sinus rhythm at 70 bpm with right bundle branch block and S1 Q3 T3. Given the marked hypoxemia and ECG data, is practiced appreciate a helical CT signs of pulmonary embolism (PE) in the trunk of the pulmonary artery and left main artery of the left upper lobe (Figure 1). Small right pleural effusion and dilated superior and inferior vena cava. There were signs of pulmonary hypertension (PH) and heart failure (RV / LV> 1), which confer poor prognosis. TTE was performed with 71% LV-EF, dilated right ventricle, severe pulmonary hypertension, moderate tricuspid insufficiency RV/RA gradient of 70 mmHg and severe pulmonary insufficiency and pulmonary artery flow with peak gradient of 40 through 19, with anatomy normal valve. Remains of thrombotic material in pulmonary tree. With the diagnosis of right heart failure secondary to pulmonary hypertension, anticoagulant and diuretic treatment begins with improvement. The study was completed with a lower limb doppler discarding thrombosis, abdominal ultrasound, where there are only simple renal cysts, prostatic hypertrophy and biliary sludge. The hypercoagulability study showed a hetererocigotic MTHFR C677T and S65C gene mutations with hyperhomocysteinemia, both with low prothrombotic relevance, we start treatment with folic acid. During the first weeks there is slight improvement, but after four months of adequate anticoagulation worsens with disabling dyspnea, increased edema, tendency to hypotension and presyncope episodes. It repeats the TTE where severe pulmonary hypertension persists with RV dilation of 68 mm, systolic dysfunction and septal flattening, by increasing pressures in right cavities. Tricuspid Insufficiency severe with PSP estimated of 75 mmHg.

We considered the diagnosis of a chronic thromboembolic pulmonary hypertension (CTEPH), We extended the study with a walk test six minutes, achieving a total distance of 358 m. and spirometry (FVC 71.4, 76.2 FEV1, FEV1 / FVC and DLCO 101.6 69.2). With intention to raise surgery, a right catheterization with the following results were performed: Precapillary severe pulmonary hypertension, severely dilated right ventricle with severe systolic dysfunction, right atrial pressure of 13 mmHg, RVSP:72/3 mmHg, average of 47, PSAP 76 /8 mmHg, average of 30, PCP: 7 mmHg. Given the high mortality of the disease and meeting the required criteria, is proposed the possibility of surgical endarterectomy performed. The patient refuses intervention and re-enter for worsening symptoms with hypoxemia and hypotension, requiring oxygen, increased treatment with diuretics and testing of bosentan 62.5 mg every 12 hours, with no improvement. The compassionate use of Riociguat is requested. Finally, accepts undergo surgery and was referred to a reference center for multidisciplinary assessment. Here a new angiography is performed by taking a biopsy of thrombotic material. In the following hours the patient died of massive hemoptysis with respiratory failure. The result of this biopsy is intimal sarcoma.

Figure 1 The arrows point to the presence of  what looks like thrombotic material in the trunk of the pulmonary artery and left main artery of the left upper lobe.

Discussion

Chronic thromboembolic pulmonary hypertension is a an infrequent complication which appears between the 0,1-9.1% of patients after pulmonary embolism.1 Once it is diagnosed, if possible and meets the accepted criteria (Table 1), the treatment of choice is endarterectomy and that in experienced hands has lower mortality than 5%.1–3 In non-operable cases, balloon dilatation by percutaneous angioplasty or medical treatment could be used, with riociguat being the choice. Primary pulmonary artery sarcoma is rare, though probably under diagnosed, detecting most cases at autopsy. Usually occur in the sixth decade of life, with a similar clinical to pulmonary thromboembolism but unfavorably evolving and leading to a predominantly right heart failure. The diagnosis is made by biopsy and radiological images are not diagnostic, although the images of MRI and PET CT help us to suspect. Treatment consists of surgical resection, may be supplemented with chemotherapy and/or radiotherapy, which despite its prognosis is unlucky.4,5 We suspected in patients developing CTEPH, without deep venous thrombosis, do not respond to anticoagulant therapy and thrombotic material or perfusion defect in either unilateral predominance (Table 2), conditions that met our patient.

Functional Class III-IV heart failure.

Pulmonary vascular resistance> 300d /sec/ cm-5.

Accessibility surgery to pulmonary artery thrombi Principal, Lobar, segmental or subsegmental.

Absence of significant comorbidities.

Table 1 Surgical indicatios for CTEPH

Presence of general symptoms. Fever, weight loss

Absence of DVT

Un favorable evolution with adequate anticoagulation.

Unilateral predominance of thrombotic material perfusion defects

Table 2 Facts suspicion of pulmonary artery sarcoma

Acknowledgement

Radiology service of the University Hospital puerta del Mar of Cadiz for the transfer of images.

Conflict of interest

The author declares there is no conflicto of interest.

Patient consent form

The patient died, we have the consent of the family for its publication.

References

Creative Commons Attribution License

©2018 Racero, et al. This is an open access article distributed under the terms of the, which permits unrestricted use, distribution, and build upon your work non-commercially.