Submit manuscript...
International Journal of
eISSN: 2577-8269

Family & Community Medicine

Case Report Volume 1 Issue 2

Difficult airway post multiple peripheral lymphadenopathy (PLA): case report

Appolinaire Manirafasha, Kavitha Gandhi, Amelia Pousson, Umuhire Olivier, Muragizi Jean

Resident in Emergency medicine and critical care, University of Rwanda, Rwanda

Correspondence: Appolinaire Manirafasha, Resident in Emergency medicine and critical care, University of Rwanda, Rwanda

Received: September 19, 2017 | Published: October 11, 2017

Citation: Manirafasha A, Gandhi K, Pousson A, et al. Difficult airway post multiple peripheral lymphadenopathy (pla): case report. Int J Fam Commun Med. 2017;1(2):44-45. DOI: 10.15406/ijfcm.2017.01.00011

Download PDF

Abstract

Peripheral lymphadenopathy is a condition found frequently in tropical regions, which is sometimes due to a local or systemic, benign, infectious, or underlying malignancy. According to research, 75% are localized with 50% seen on head and neck.1 Cervical lymph nodes are often on lymphatic regions; the supraclavicular lymphadenopathies are associated with malignancy and in general peripheral lymphadenopathies are from infections.1,2 Based on geographic regions, infectious are mostly tuberculosis requiring history, physical examination and laboratory results to confirm the diagnosis. Goal standard for diagnosis is open biopsy for peripheral lymphadenopathy (PLA).2

Keywords: PLA, peripheral lymphadenopathy; FNA, fine needle aspiration; HL, hodgkin lymphoma

Case

A 22-year-old male consulting Emergency department for voice changes, cough for 1 week, neck swelling extending to the both ears lasting for 4 weeks, peri - orbital swelling, and swelling in both groins (Figure 1). On arrival, he was in respiratory distress, oxygen saturation: 87%, unable to pronounce some letters; as emergency management, he was given oxygen 5L/ min with non retreater mask and saturation: 92-95%.

Figure 1 A 22-year-old male consulting Emergency department for voice changes, cough for 1 week, neck swelling extending to the both ears lasting for 4 weeks, peri - orbital swelling, and swelling in both groins.

Physical examination

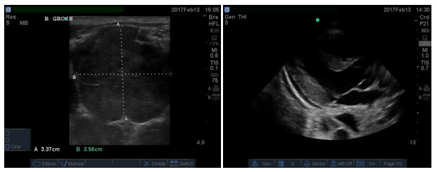
The patient had multiple huge adenopathies localized on cervical region, subclavical region, both axillar, and on both groins. Bed site Ultrasound findings: multiple lymph nodes of neck and para-auricular, cervical, axillar, and inguinal regions. The biggest measuring 3-5 cm. He also had huge ascitis, bilateral pleural effusion, and small pericardial effusion. Initial laboratory results were showing mild elevated white blood cell (24.15), with normal differentiation Hemoglobin of 8.3g/dl; renal, liver function test, and electrolytes were normal. The following are bed site ultrasound images (Figures 2-7). Based on history, physical exam and Ultrasound images, we can conclude that swelling is lymph nodes and not anything else. Our differential diagnoses were Hodgikin lymphoma. To rule out TB adenitis, the internal medicine consultant requested a fine needle aspiration (FNA), which was none conclusive, and the pathologist suggested doing an open biopsy. The results of open biopsy showed: HL Hodgkin lymphoma (Nodular sclerosis type). Nodular sclerosis Hodgkin's disease accounts for 80% of all Hodgkin's disease.2

Figure 2 & 3 Left groin big lymph node & Right groin lymph node.

Figure 4 & 5 Right groin Lymph node & Pericardial effusion.

Figures 6 & 7 Ascitis & Neck Lymph Node.

Conclusion

Hodgkin lymphoma (HL) is a medical condition from an unknown cause; HL is a type of lymphoma, in general, believed to result from white blood cells of the lymphocyte kind.3 Symptoms may include fever, night sweats, and weight loss. Often there will be non-painful enlarged lymph nodes on the neck, under the arm, or in the groins. Those affected may feel tired or be itchy.4 Ultrasound can be the tool to diagnose it well than physical exam, FNA or biopsy are gold standard to diagnose it, CT scan is useful to diagnose deep adenopathies.1,4 Early diagnosis and treatment with Chemotherapy can cure HL; however, our patient died because he came severely sick and at an advanced stage. We have to sensitize our community that if there is a lymph node appearing on their body, they must consult a doctor early to ensure a good result.

Acknowledgements

None.

Conflict of interest

The author declares no conflict of interest.

References

Creative Commons Attribution License

©2017 Manirafasha, et al. This is an open access article distributed under the terms of the, which permits unrestricted use, distribution, and build upon your work non-commercially.