Submit manuscript...
International Journal of
eISSN: 2577-8269

Family & Community Medicine

Case Report Volume 8 Issue 3

Hemophagocytic syndrome associated with hemolytic-uremic syndrome: a case report

Anita L R Saldanha,1 Ana Paula Marte Chacra,2 Ana Paula Pantoja Margeotto,1 Juliana Matos Pessoa,3 Luis Paulo de Miranda Araujo Soares,4 Natália Rodrigues Daniel,1 Hannah Alves Barreto,1 André Luis Valera Gasparoto,5 Tania Leme da Rocha Martinez1

1Nephrology Department, BP - A Beneficência Portuguesa de São Paulo, São Paulo, Brazil
2Heart Institute, University of São Paulo, São Paulo, Brazil
3Oncology and Hematology Center - BP - A Beneficência Portuguesa de São Paulo, São Paulo, Brazil
4Cardiology / Internal Medicine - BP - A Beneficência Portuguesa de São Paulo, São Paulo, Brazil and InCor
5Intensive Care Unit, BP - A Beneficência Portuguesa de São Paulo, São Paulo, Brazil

Correspondence: Tania Leme da Rocha Martinez, Rua Comandante Ismael Guilherme, 358 - Jardim Lusitânia, 04031-120 - São Paulo – SP, Brazil, Tel 55 11 98323-9863, Fax 55 11 3842-3789

Received: June 11, 2024 | Published: July 8, 2024

Citation: Saldanha ALR, Chacra APM, Margeotto APP, et al. Hemophagocytic syndrome associated with hemolytic-uremic syndrome: a case report. Int J Fam Commun Med. 2024;8(3):82-86. DOI: 10.15406/ijfcm.2024.08.00356

Download PDF

Abstract

A 47-year-old male patient, physician, referred from a city in the North of Brazil. The patient was transferred to reference hospital with suspected acute myocarditis, presenting with septic shock of pulmonary focus, echocardiogram with normal left ventricular ejection fraction, but presented acute kidney injury with anuria, creatinine 4.0 mg/dl and thrombocytopenia of 28,000. A few days later, the patient developed mental confusion, anemia, increased lactate dehydrogenase and progressive hemophagocytic syndrome. He then underwent treatment with Intravenous Immune Globulin (IVIG) and dexamethasone for hemolytic syndrome. Concomitantly, skin biopsy with IGM and C3 deposition, thrombocytopenia, elevated bilirubin and acute renal failure, a condition compatible with atypical Hemolytic Uremic Syndrome, Eculizumab was initiated. A patient with a prolonged hospitalization of three months, with diagnoses of rare diseases and complications during hospitalization, showing a favorable outcome with diagnosis and appropriate treatment, recovered renal function in one month and was released from hemodialysis. The patient was discharged with Eculizumab, recovery of renal function, still being treated for polyneuropathy of a critically ill patient, but with good results in the treatment of hemophagocytic syndrome and atypical hemolytic uremic syndrome. Despite its complexities it was possible to identify in the case the two hemolytic syndromes with their own characteristics.

Keywords: hemophagocytic syndrome, hemolytic uremis syndrome, renal injury, respiratory failure, ferritin

Abbreviations

aHUS, atypical hemolytic uremic syndrome; HPS, hemophagocytic syndrome

Introduction

Hemophagocytic syndrome (HPS) is a disease characterized by the malignant proliferation of histiocytes with intense phagocytic activity targeting healthy cells. The main symptoms include fever, hepatosplenomegaly and cytopenia1 and a clinical presentation similar to septicemia. HPS can be triggered by infections, neoplasms, autoimmune diseases, and onco-hematological disorders.1 The variability of nonspecific symptoms makes the diagnosis difficult, and HPS is rarely considered from the beginning in cases of patients with systemic alterations, entering as a differential diagnosis.2 HPS can be of primary or genetic origin, characterized by an autosomal X-linked disease, more common in childhood, with an incidence of 1 to 1.2 per 50,000 live births. Secondary or acquired forms affect any age, with a higher incidence in adults, more common in males, and are related to infections, autoimmune diseases, neoplasms, and immunosuppression states.3 Atypical hemolytic uremic syndrome (aHUS) occurs by activation of the alternative complement 5 pathway,4 affecting about 5% to 10% of cases and can occur at any age, either sporadic or familial. It has a high morbidity and mortality rate in the acute phase, where 50% of cases progress to end-stage chronic kidney disease.5–11

Case report

A 47-year-old male intensive care physician from a city in northern Brazil presented with malaise, diarrhea, fever and body pain about four days after admission. He had no previous alterations or use of medication. He denied a family history of cardiovascular diseases. He worked as an on-call doctor in the Intensive Care Unit. Despite living in a condominium near the forest region, rich in fauna with vectors that transmit various contagious diseases, he denied contact with domestic or wild animals, contagious. On August 16, 2023, he was admitted to the hospital in the city of origin with acute respiratory failure, compatible with acute pulmonary edema. The echocardiogram showed diffuse hypocontractility of the left ventricle, with left ventricular ejection fraction of 28%, with no valvular alterations. An initial diagnosis of severe left ventricular failure was made, due to possible acute myocarditis, and the patient was transferred to the Intensive Care Unit of a Reference Hospital in São Paulo on 08/18/2023. On admission, the patient had diffuse bilateral pulmonary infiltrate, in addition to acute renal failure with anuria, confirmed by serum creatinine of 4.0 mg/dl and platelet values of 28,000/mm. An echocardiogram showed normal left ventricular ejection fraction.

Renal replacement therapy with continuous dialysis was initiated. The initial diagnosis was sepsis with a probable pulmonary infectious focus. On 08/20/2023, the patient presented with mental confusion, worsening of the breathing pattern with progressive discomfort, requiring ventilatory support with endotracheal intubation, sedation, and vasoactive drugs. The patient developed anemia (hemoglobin: 9.9) and the presence of abundant schistophytes. Broad-spectrum antibiotic therapy was initiated. As the patient is from an endemic area for malaria, arboviruses, among others, extensive screening was performed for several infectious diseases, with only the presence of Anti-HBs REAGENT: 287 IU/L, indicating previous contact with the hepatitis B virus (Table 1).

Microbiology

Blood and urinary cultures, cytomegalovirus, Coxsackie A, yellow fever, Chikungunya, HTLV, toxoplasmosis, Chagas, hepatitis A, hepatitis E, Histoplasma spp., HIV, Leptospirosis, Cryptococcus spp., Hantavirus, Paracoccidioides spp.

Negative

Dengue, Epstein-Barr virus, Maculous fever, Parvovirus B19, Herpes virus types 1, 2, and 6

IgG positive, IgM negative

Hepatitis B

Immune

Hemolysis

ADAMST13

23%

Haptoglobin

15 (low)

Direct Coombs and HNP

Negative

AMM

0.43

Autoimmune

ANCA

Negative

C3 and C4

Normal

Antinuclear antibodies

Positive (Dense speckled)

Hemophagocytic syndrome

Fever, cytopenias, and liver enzyme elevation

Present

Soluble IL-2R

20,022

Ferritin

50,995

Triglycerides

225

Table 1 Relevant laboratory results

The patient was febrile, despite negative blood cultures, in addition to the presence of a significant increase in ferritin - 50,955 ng/mL and serum levels of soluble interleukin receptor 2 (IL-2R) of 20,022 pg/mL, indicating extensive activation of the immune system, including macrophages. She had slightly elevated plasma triglyceride values (225 mg/dL) and bicytopenia. Myelogram was performed that demonstrated the presence of histiocytes, rare in hemophagocytosis and immunophenotyping that demonstrated 0.04% of immature myeloid lineage cells and erythrocytic series dyspoiesis. A diagnostic hypothesis of HPS was made, with a high probability, since the patient met five of the eight diagnostic criteria according to the 2004 guidelines, as shown in Table 2. Methylprednisolone 80mg/kg/day was started by 08/24/2023 and plasmapheresis with no improvement in the condition and persistent fever.

Parameter

Values

 

1. Fever

t ≥ 38,5oC

Yes

2. Organomegaly

Present/absent

No

3. Bicytopenia or pancytopenia

ANC < 1x109/L

Yes

Hemoglobin

< 9g/dL

 

Platelet count

< 100x109/L

4. Hypertriglyceridemia

≥ 265 mg/dL

Yes

5. Hypofibrinogenemia

≤ 150 mg/dL

No

6. Hemophagocytosis in Bone Marrow, liver, spleen or lymphnode

Present/absent

No

7. Hyperferritinemia

≥ 500 mg/L

Yes

8. Elevated soluble IL-2 receptor

≥ 2,400 U/mL

Yes

9. Absent or decreased NK cell function

Table 2 HLH-2004 diagnostic criteria

The patient progressed with worsening of hemolytic anemia, with the presence of abundant schizocytes, elevation of lactate dehydrogenase enzyme (LDH), reaching values above 4000 IU/L, and progression of thrombocytopenia up to 18,000/mm3. Since the patient is from an endemic area for malaria and arboviruses, these pathogens should be considered as triggers of thrombotic microangiopathy. Activity of ADAMTS13 (A Desintegrin and Metalloprotease with eight Thrombo Spondin-1-like) was performed with a value of 22%. Levels of ADAMTS13 activity equal to or less than 10% are compatible with the diagnosis of thrombotic thrombocytopenic purpura (TTP) (congenital or acquired) and levels equal to or less than 30% indicate the search for anti-ADAMTS13 inhibitors, as a way to characterize the acquired etiology of the disease. A genetic panel for aHUS was negative, but did not exclude the diagnosis of the acquired forms. The diagnostic hypothesis of aHUS (thrombotic microangiopathy) was made.

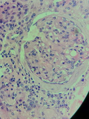
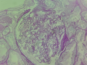
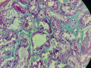
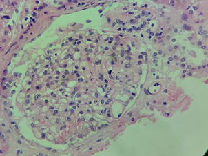
A skin biopsy was performed with IgM and C3 deposits associated with thrombocytopenia, bilirubin elevation, and acute renal failure, and the condition was compatible with aHUS Figure 1–5. Treatment with Intravenous Immune Globulin (IVIG) and Dexamethasone was started from 08/24 to 08/29/2023 and Eculizumab was started on 08/25/2023. A patient with prolonged hospitalization for three months, diagnosed with rare diseases, developed pulmonary thromboembolism, deep vein thrombosis of the right lower limb, and was anticoagulated with Apixaban. He was discharged and one month after discharge, he recovered his kidney function, using Ecolizumab, no longer requiring hemodialysis, in addition to the exchange of Apixabana for Marevan.

Figure 1 Biopsy - acute kidney failure - acute tubular necrosis I.

Figure 2 Biopsy - acute kidney failure - acute tubular necrosis II.

Figure 3 ThreeBiopsy - acute kidney failure - acute tubular necrosis III.

Figure 4 Biopsy - acute kidney failure - acute tubular necrosis IV.

Figure 5 Biopsy - acute kidney failure - acute tubular necrosis V.

Compilation of exams

Infectious screening 

Surveillance cultures - 18/08

BGN negative / VRE negative

Blood Cultures - 18/08

Negative

Uroculture - 18/08

Negative

CMV

 

IgG: Reagent

IgM: Non-reagent

Coxsackie A

Negative

Coxsackie B

Reagent

> B3

Reagent, up to 1/64

> B5

Reagent, up to 1/64

Dengue fever

IgG: Reagent

IgM: Non-reagent

EBV

 

IgG: Reagent

IgM: Non-reagent

Yellow fever

IgG: Reagent

IgM: Non-reagent

Spotted fever (Rickettsia Rickettsii)

IgG: Non-reagent

IgM: Non-reagent

Hepatitis A (ANTI-VHA)

IgM: Non-reagent

Hepatitis A (Total Anti-VHA)

Non-reagent

Anti-HBs

Reagent: 287 UI/L

Anti-HBc Total

Non-reagent

AgHBs

Non-reagent

Anti-HCV

Non-reagent

Hepatitis and IgM

Non-reagent

Hepatitis and IgG

Non-reagent

Herpes Simplex, Type 1

IgG reagent

Herpes Simplex, Type 2

IgG Non-reagent

Herpes Simplex, Type 1 and 2

IgM Non-reagent

HHV6

 

IgG Reagent

IgM Non-reagent

Histoplasma

Negative

HIV1/HIV2

Non-reagent

Leptospira Blood Negative Research

IgM Anti-Leptospira

Non-reagent

PB19

 

IgM Non-reagent

IgG reagent

Chikungunya

IgG Non-reagent

IgM Indet

ZIKA

 

IgG Reagent

IgM Non-reagent

Leishmania

IgG Non-reagent

HTLV

Non-reagent

Toxo

 

IgG indet

IgM Non-reagent

Chagas

IgG Non-reagent

PCR CMV 37,6

PCR EBV 6.688

Hantavírus - RT - PCR Negative

PB Ringworm Not reactive

CRYPTO Non-reagent

Serum Histoplasma

Negative

MAT / Hemolysis

ADAMTS13 - 08/20/23           23%

Genetic panel foraHUS     Negative (but does not exclude diagnosis)

Haptoglobin         15

Direct coombs      Negative

AMM     0,43

HNP     Negative

HLH

Fever

Cytopenias

Hepatitis

Fibrinogen unchanged

Ferritin: 50.955

IL-2R; 20.022

TG; 225

Spinal Cord Study (08/21/2023)

Myelogram: bone marrow with a moderate hemodilution component, apparently hypercellular, with no evidence of significant cytomorphological alterations. Presence of some histiocytes, rare in hemophagocytosis. Immunophenotyping: presence of 0.04% of immature myeloid lineage cells and immunophenotypic alterations associated with the disposition of the erythrocytic series.

KT 46, XY[20]

Leishmania sp: negative

Mycobacterium tuberculosis: negative

Inflammatory

ANCA: Non-reagent

C3 78 C4 27

Positive FAN - dense fine dotted

Kidney biopsy (August/2023)

Severe acute tubular necrosis.

Immunofluorescence negative for all antisera investigated.

Skin biopsy (August/2023)

First toe skin: ischemic necrosis of part of the epidermis associated with necrosis, detachment of the endothelium, and extravasation of red blood cells in superficial dermal capillaries. Absence of vasculitis. Skin of the right thigh: fragment without particularities. No thrombi and fibrin were identified in dermal vessels.

Direct immunofluorescence

Skin of the right leg: absence of Ig and Complement deposits. Dorsal skin of the right foot: fibrillar deposit of IgM and C3 in the wall of superficial dermal vessels (2+/3+).

Antigens studied and immunophenotypic profile

Presence of 0.04% of immature myeloid cells and immunophenotypic alterations associated with erythrocyte series disposition.

Chest tomography

The following aspects were observed:

Acinar consolidations associated with ground-glass opacities, with bilateral central peribronchovascular distribution, notably in the upper lung fields, in addition to smooth thickening of the interlobular septa, suggesting the possibility of pulmonary edema. A small bilateral pleural effusion, larger on the right, causing atelectasis of the adjacent lung parenchyma. Areas of reduced impregnation in the atelectasis parenchyma of the lower lobes are noteworthy, suggesting the possibility of consolidative components, not ruling out the inflammatory/infectious nature superimposed on the edema, and a possible aspiration mechanism should be considered. Trachea, main bronchi and lobar patent Small amount of endoluminal secretion in the upper third of the trachea. Mediastinal lymph node enlargement, the largest in the right inferior paratracheal chain, measuring 1.3 cm in its shortest axis.

Ectasia of the pulmonary artery with an approximate diameter of 3.2 cm, which may correspond to some degree of pulmonary hypertension. Increased cardiac volume, mainly at the expense of the right atrium, with reflux of contrast to the inferior vena cava. Catheter with insertion into the right internal jugular vein, with distal end in the inferior vena cava/right atrium.

Degenerative alterations of bone structures evaluated.

Ultrasound of the abdomen

Bilateral laminar pleural effusion (very small) and small ascites.

Genetic testing

In the result of the Genetic Test for aHUS, no pathogenic or probably pathogenic variants were identified in the genes analyzed.

IL 2 test

The patient in question collected material for the examination of a soluble IL-2 receptor (sIL-2R or sCD25), which showed high values (20,022 pg/mL).

Discussion

HPS exists in two forms: primary and secondary. Primary, it usually affects children and is caused by genetic mutations, autosomal recessive alteration, with the involvement of mutations in the perforin PRF1 gene (40%).1 Perforin is a protein expressed in lymphocytes, macrophages and other bone marrow precursors, involved in cytolytic mechanisms, persistent activation of lymphocytes, with increased cytokines and consequently activation of macrophages.1 Secondary is related to some infectious process, responsible for 50% of cases, followed by neoplastic, rheumatological and autoimmune that occurs in adults of any age, and can also be called macrophage activation syndrome.2 When it comes to HPS secondary to acute infections, these can be both primary in a healthy individual and also a trigger for patients with autoimmune pathologies or previous neoplasms.

First, the hypothesis of being a HPS was raised because the patient came from an infectious risk region and met criteria that according to the HScore would be HPS. Plasmapheresis and immunoglobulin were performed, but the patient did not respond satisfactorily, so aHUS was investigated, as he presented necrosis of the extremities where the diagnosis was made because he had a necrotic finger, thus closing the diagnosis of aHUS.

He began to show satisfactory responses with the introduction of Eculizumab, which took a while because he had an infection. He had to first treat the infections to close the diagnosis of aHUS and then introduce Ecolizumab.

Conclusion

Faced with such a complex case, involving two rare diseases, making diagnosis and treatment increasingly difficult, we are faced with great adversity and a wealth of learning. The patient was discharged with Eculizumab, recovery of renal function, still being treated for polyneuropathy of a critically ill patient, but with good results in the treatment.12,13 This case report suggests that clinicians should consider HPS in patients aHUS and acute kidney disease. The genetic testing was negative. The cause was suspected to be infection but the specific microorganism causing this was not found, therefore the present case is likely to be idiopathic.

Acknowledgments

None.

Conflicts of interest

None.

References

  1. Tordin MV, Gama P. Síndrome hemofagocítica secundária à doença de coronavírus 2019: relato de caso. Hematol Transfus Cell Ther. 2022;44(Suppl 2):S66.
  2. Carneiro MB, Silva MC, Domingos FC, et al. Síndrome hemofagocítica - relato de caso. Hematol Transfus Cell Ther. 2022;44(Suppl 2):S67–S68.
  3. La Rosée P, Horne A, Hines M, et al. Recommendations for the management of hemophagocytic lymphohistiocytosis in adults. Blood. 2019;133(23):2465–2477.
  4. Jokiranta TS. HUS and atypical HUS. Blood. 2017;129(21):2847–2856.
  5. Vieira KA, Souza GHG. Síndrome hemofagocítica: um relato de caso. BJD. 2023;9(1):248–255.
  6. Fakhouri F, Frémeaux-Bacchi V, Noël LH, et al. C3 glomerulopathy: a new classification. Nat Rev Nephrol. 2010;6(8):494–499.
  7. Noris M, Remuzzi G. Atypical hemolytic-uremic syndrome. N Engl J Med. 2009;361(17):1676–1687.
  8. Zoref-Lorenz A, Murakami J, Hofstetter L, et al. An improved index for diagnosis and mortality prediction in malignancy-associated hemophagocytic lymphohistiocytosis. Blood. 2022;139(7):1098–1110.
  9. Almalky MA, Saleh SHA, Baz EG, et al. Clinico-laboratory profile and perforin gene mutations of pediatric hemophagocytic lymphohistiocytosis cases: a five-year single center study. Pan Afr Med J. 2020;36:354.
  10. Paul La Rosée, AnnaCarin Horne, Melissa Hines, et al. Recommendations for the management of hemophagocytic lymphohistiocytosis in adults. Blood. 2019;133(23):2465–2477.
  11. Shakoory B, Geerlinks A, Wilejto M, et al. The 2022 EULAR/ACR points to consider at the early stages of diagnosis and management of suspected haemophagocytic lymphohistiocytosis/macrophage activation syndrome (HLH/MAS). Ann Rheum Dis. 2023;82(10):1271–1285.
  12. Ishiguro T, Kojima A, Shimizu T, et al. Combined hemophagocytic syndrome and thrombotic microangiopathy due to mixed infection with influenza virus and pneumococcal pneumonia. Clin Case Rep. 2018;7(1):131–134.
  13. Dillemans L, Bekhuis Y, Betrains A, et al. Biallelic mutations in the CFHR genes underlying atypical hemolytic uremic syndrome in a patient with catastrophic adult-onset Still's disease and recurrent macrophage activation syndrome: A case report. Clin Immunol. 2023;257:109815.
Creative Commons Attribution License

©2024 Saldanha, et al. This is an open access article distributed under the terms of the, which permits unrestricted use, distribution, and build upon your work non-commercially.