Submit manuscript...
International Journal of
eISSN: 2577-8269

Family & Community Medicine

Case Report Volume 7 Issue 2

Hereditary multiple exostosis: a case report and brief review regarding the risk of malignancy

Joelma Pereira Costa,1 Renan da Silva Bentes,2 Matheus Mychael Mazzaro Conchy,3 Lorena Pacheco de Carvalho,4 Rodrigo Cesar de Lima Resende,5 Edson Antonacci Júnior6

1Centro Universitário de Patos de Minas (UNIPAM), Brazil
2Universidade Federal de Roraima (UFRR), Brazil
3Specializing in Family and Community Medicine – Federal University of Minas Gerais (UFMG), Brazil
4Anesthesiology Resident - Portuguese Beneficence Society of Ribeirão Preto, Brazil
5Acupuncturiatrics, Orthopaedics and Traumatology, Orthopaedics Oncology, Brazil
6Professor and Coordinator of the Surgical Internship of the Medicine Course at the University Center of Patos de Minas Gerais (UNIPAM), Brazil

Correspondence: Joelma Pereira Costa, University Center of Patos de Minas (UNIPAM), Brazil

Received: February 28, 2023 | Published: March 20, 2023

Citation: Costa JP, Bentes RS, Conchy MMM, et al. Hereditary multiple exostosis: a case report and brief review regarding the risk of malignancy. Int J Fam Commun Med. 2023;7(2):38-40. DOI: 10.15406/ijfcm.2023.07.00309

Download PDF

Abstract

Osteocartilaginous exostoses is the most common benign bone tumor of childhood whose predominant growth on cartilage with potential impact on bone development and architecture, with potential risk of fractures and installation of malignant neoplasms. We present a case of an 11 -year -old female child, admitted to the unit complained of pain in the proximal region of the left ulna and distal third of the ipsilateral tibia with evolution of one year and suspected hereditary multiple exostosis whose histopathological result was positive for osteochondroma. The conduct for this case consisted of surgical extraction of the bone mass and outpatient follow -up for the case of relevant angular deviation of limbs, fractures or emergence of neoplasia suspected of malignancy.

Keywords: hereditary multiple exostosis, exostosine, risk of malignancy

Introduction

According to the World Health Organization (WHO) osteochondroma or osseocartilaginous exostosis is the most common benign bone tumor of childhood whose characterization is bone communication between the cortical and spinal cord, culminating in the formation of bone projections and a predominantly growth cover over the cartilage (Gonçalves AM, Zósimo R, 2014).1 The multiple form of osteochondroma is called hereditary multiple exostosis (HME) Either family osteochondromatosis or even diaphysary acalesa, being a dominant autosomal hereditary background genetic condition caused mainly by mutations of loss of function in exostosine-1 genes (EXT1) and exostosina-2 (EXT2), that are linked to heparin sulfate synthesis (HS), although the exact mechanism of still being in scientific elucidation and not fully clarified.2,3 HME is rare and has an incidence in the western population of 1.5% and estimated prevalence in Caucasians of 1/ 50,000 individuals. In addition, in about 50% and 80% the diagnosis is made before 3.5 years and 10 years, respectively.4,5 As most individuals have an average of 6 exostosis and may have relevant clinical complications associated with the closure of the young age, which occurs at young age, reverberating longer action regarding the genetic effects of the mutation of EXT genes as well as the existence of the existence of Overlapping hormonal effects on Ext1 and EXT2 genotypes and the underlying relevance of the chance of malignancy (CM), The theme is announced as important to be explored regarding the exhibition of case dissertations in the literature, which is a brief review of the literature about HME the purpose of this scientific article.6,7

Case report

M.V.D.T., female, 11 years old, student, born in Guaíra-SP, resident and domiciled in the municipality of Patos, State of Mina Gerais, Southeast region of Brazil. She was admitted to the Antônio Dias Regional Hospital (HRAD) on 07/14/2017 with the main complaint of pain in the proximal region of the left ulna and in the distal third of the ipsilateral tibia, which had evolved for 1 year. General physical examination: anicteric, acyanotic, afebrile, eupneic and on room air, with normal skin color, heart rate and blood pressure, lucid and oriented. The physical examination of the left upper limb had pain to palpation of the region and the maneuvers of flexion, extension, rotation and pain in the distal region to pronation and supination. At the physical examination of the left lower limb, it had pain at palpation of distal third of the left tibia as well as the maneuvers of flexion, extension and rotation with impairment to deambulation. After radiography of the affected limbs, there was the presence of tumor in proximal and distal forearm and distal region of the left tibia.

On 07/14/2017, she was hospitalized and underwent surgical resection due to a mass located in the distal third of the tibia related to angular deformity of the left ankle and reduced joint with clamp and splint. The following day, she was discharged from the hospital with a clean surgical wound, no purulent secretion, erythematous halo without other inflammatory signs, sensitivity and preserved mobility of the ipsilateral polydactyls.

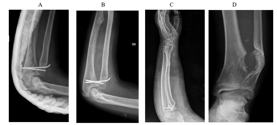
After 16 days, a new bone mass was identified, which was installed in the ulna region and associated with dislocation of the radial head referring to the left upper limb. This joint was reduced the following day (08/01/2017) and stabilized by proximal radio-ulnar fixation with two Kirschnner 2.0 wires, which prevented pronation and supination. hospital discharge on the date following this surgical procedure in good general condition and with preserved mobility of the fingers ipsilateral to the procedure. These bone masses were suspected for osteochondroma. The extracted tissue was sent to anatomopathological study after the two surgeries performed. The diagnosis of osteochondroma was confirmed and periodic control radiographs were performed postoperatively (Figure 1). In reassessment on 08/09/2017 and 08/30/2017, the patient was in good general condition and with satisfactory evolution of both surgical sites both from the clinical and radiographic point of view. Thus, we opted for follow-up after surgical resection of the osteochondroma.

Figure 1 Postoperative radiographs, demonstrating reduction and stabilization of bone structures of the radio-ulnar joint (images A, B and C) and distal third of the tibia (image D).

Discussion

HME is an anomaly of the development of the skeleton, characterized by the appearance in childhood or adolescence of bone exostosis covered by a hyaline cartilage cover in the metaphority region of long dimensions, with asymmetrical distribution in which the diagnosis can be based on the picture clinical and suggestion of exostosis by image exams (Arkader A, MD et al., 2012).8 Children who do not manifest the disease until the end of the first decade of life, are generally asymptomatic when they are adults, however, in this scientific dissertation, we present an atypical presentation regarding the age range of signs and symptoms, that is, at 12 years of age (Arkader A, MD et al., 2012).9 Due to the appearance of bone masses, performing an anatomopathological study is a prudent medical approach to rule out malignant disease, as this is the most common and important complication of osteochondroma and correction of major deformities can improve self-esteem and influence quality of life. Although, a recent literature review has proposed that there is no evidence regarding the fact that chondrosarcomas occur more frequently in relation to sex, disease severity and mutation profile (EXT1 or EXT2) as well as there is no consensus on the risk of malignancy (1 -25%).6,7,10,11

As for the treatment, this was performed by the team with surgical resection of the exostoses, as there was dislocation and angular deviation present. Furthermore, it is worth noting that several exostoses should not be resected in the same surgical procedure, as blood loss can be significant and increase procedure-related morbidity. In the child population, the literature suggests monitoring and periodic reassessment every 6-12 months in order to avoid unnecessary procedures and surgery can be considered when symptoms appear or to correct deformities.6,9 The literature has few publications with satisfactory samples regarding research involving HME and RM. A prospective study of 172 individuals with EMH suggested that the risk of sarcoma in Ext1 patients is similar to the risk of breast cancer in an elderly population subjected to breast sorting, so malignant neoplasm screening in patients with HME has oncologic benefit has.12

Similarly, another study with a sample of 757 individuals, the rate of malignant degeneration was 2.7%, in which the most common places corresponded to the pelvis and scapula, followed by the proximal femur, costal arches, clavicle, tibia, foot and skull.13 It is known that EXT mutations can occur in other types of tumors and the EXT1 and EXT2 genes have a cellular effect of tumor suppression, so it is presumable from the pathophysiology that patients with this mutation can evolve with malignant degeneration.14 Although this pathophysiology is not completely known, outpatient follow -up and histopathological study were seen as prudent, seen the RM pointed out by literature, although more robust research needs to be performed. In our case presented, this conduct was applied and the biopsy performed shortly after the emergence of a new exostosis as well as adequate radiological and clinical evaluation.11,15 Table 1 briefly describes the characteristics of HME. This pathology imposes the need for clinical surveillance due to the risk of malignant transformation for chondrosarcoma, which by the aggressive cancer aspect of both chemotherapy and radiotherapy resistance is relevant in HME, since up to 5% of these patients can evolve with this malignant tumour, therefore the importance of appropriate outpatient monitoring and early histopathological analysis when indicated.16–24

Table 1.

HME Characteristics

Clinical condition

Bone deformities, limbs with disproportionate size, joint ankylosis, chronic neuropathy and impairment in the ability to work

Loss in Quality of Life

Difficulty of social interaction, impaired cognitive capacity, insomnia

Surgical indication

Relevant pain or deformity; suspicion or confirmation of malignancy

Mutation

LOSS OF FUNCTION IN EXOSINE-1 (EXT1) AND EXOSTOSINA-2 (EXT2)

Table 1 Synthesis of HME characteristics regarding clinical picture, loss in quality of life, surgical indication and mutations

Acknowledgments

None.

Conflicts of interest

The author declares there is no conflict of interest.

References

  1. Lucas MD. Dahlin’s bone tumors: general aspects and data on 11,087 cases. American Journal of Clinical Pathology. 2000;106(5):693.
  2. Campanacci M. Bone and soft tissue tumors. Springer-Verlag, Bologna, 1990. p. 91.
  3. Jennes I, Pedrini E, Zuntini M, et al. Multiple osteochondromas: mutation update and description of the multiple osteochondromas mutation database (MOdb). Human mutation. 2009;30(12):1620–1627.
  4. Schmale GA, Conrad-3rd EU, Raskind WH. The natural history of hereditary multiple exostoses. The Journal of Bone & Joint Surgery. 1994;76(7):986–992.
  5. Ryckx A, Somers JF, Allaert L. Hereditary multiple exostosis. Acta Orthopædica Belgica. 2013;79(6):597–607.
  6. Beltrami G, Ristori G, Scoccianti G, et al. Hereditary Multiple Exostoses: a review of clinical appearance and metabolic pattern. Clinical Cases in Mineral and Bone Metabolism. 2016;13(2):110–118.
  7. Phan AQ, Pacifici M, Esko JD. Advances in the pathogenesis and possible treatments for multiple hereditary exostoses from the 2016 international MHE conference. Connective Tissue Research. 2018;59(1):85–98.
  8. Bukowska-Olech E, Trzebiatowska W, Czech W, et al. Hereditary Multiple Exostoses-A Review of the Molecular Background, Diagnostics, and Potential Therapeutic Strategies. Frontiers in Genetics. 2021;12:759129.
  9. Roach JW, Klatt JWB, Faulkner ND. Involvement of the spine in patients with multiple hereditary exostoses. The Journal of Bone & Joint Surgery. 2009;91(8):1942–1948.
  10. D'Arienzo A, Andreani L, Sacchetti F, et al. Hereditary Multiple Exostoses: Current Insights. Orthopedic Research and Reviews. 2019;11:199–211.
  11. Santana ACF, Moraes JR, Mendonça ACR. Exostose múltipla hereditária com transformação maligna: relato de caso. Brazilian Journal of Health Review. 2021;4(5):21917–21923.
  12. Porter DE, Lonie L, Fraser M, et al. Severity of disease and risk of malignant change in hereditary multiple exostoses: a genotype-phenotype study. The Journal of bone and joint surgery. 2004;86(7):1041–1046.
  13. Czajka CM, DiCaprio MR. What proportion of patients with multiple hereditary exostoses undergo malignant degeneration? Clinical Orthopaedics and Related Research. 2015;473(7):2355–2361.
  14. McCormick C, Duncan G, Goutsos KT, et al. The putative tumor suppressors EXT1 and EXT2 form a stable complex that accumulates in the Golgi complex and catalyzes the synthesis of heparan sulfate. Proceedings of the National Academy of Sciences. 2000;97(2):668–673.
  15. Bértolo MB. Osteocondromatose múltipla. Revista Brasileira de Reumatologia. 2005;45(1):38.
  16. de Andrea CE, Reijnders CM, Kroon HM, et al. Secondary peripheral chondrosarcoma evolving from osteochondroma as a result of outgrowth of cells with functional EXT. Oncogene. 2012;31(9):095–1104.
  17. Dormans JP. Pediatric Orthopaedics: Core Knowledge in Orthopaedics. Elsevier Mosby, Philadelphia, 2005.
  18. Bolton P, Powell J, Rutter M, et al. Autism, mental retardation, multiple exostoses and short stature in a female with 46,X,t(X;8)(P22.13;q22.1). Psychiatric Genetics. 1995;5(2):51–56.
  19. De Stefano N, Dotti MT, Malandrini A, Federico A. Association of myopathy with multiple exostoses and mental retardation: a case report. Brain and Development. 1994;16(2):136–138.
  20. Garcia RA, Inwards CY, Unni KK. Benign bone tumors:  recent developments. Seminars in diagnostic pathology. 2011;28(1):73–85.
  21. Goud AL, de Lange J, Scholtes VAB, et al. Pain, Physical and Social Functioning, and Quality of Life in Individuals with Multiple Hereditary Exostoses in the Netherlands: A National Cohort Study. The Journal of Bone & Joint Surgery. 2012;94(11):1013–1020.
  22. Khurana J, Abdul-Karim F, Bovée JVM. Osteochondroma. In: Pathology and genetics of tumours of the soft tissues and bonés, In: Fletcher CD, et al., editors. IARC Press, Lyon; 2002. p. 234–237.
  23. Roberts IS, Gleadle JM. Familial nephropathy and multiple exostoses with Exostosin-1 (EXT1) gene mutation. Journal of the American Society of Nephrology. 2008;19(3):450–453.
  24. Souza AMG, Bispo-Júnior RZ. Osteocondroma: ignorar ou investigar? Revista Brasileira de Ortopedia. 2014;49(6):555–564.
Creative Commons Attribution License

©2023 Costa, et al. This is an open access article distributed under the terms of the, which permits unrestricted use, distribution, and build upon your work non-commercially.