Submit manuscript...
International Journal of
eISSN: 2577-8269

Family & Community Medicine

Case Report Volume 4 Issue 2

Primary bilateral maxillary sinus tuberculosis: a rare and an underdiagnosed entity

Sonam Sharma, Sonu Kalyan

Department of Pathology, Kalpana Chawla Government Medical College, Karnal, Haryana, India

Correspondence: Sonam Sharma, Department of Pathology, Kalpana Chawla Government Medical College, Karnal, Haryana, India, Tel 9999841393

Received: February 28, 2020 | Published: March 16, 2020

Citation: Sharma S, Kalyan S. Primary bilateral maxillary sinus tuberculosis: a rare and an underdiagnosed entity. Int J Fam Commun Med. 2020;4(2):48-50. DOI: 10.15406/ijfcm.2020.04.00182

Download PDF

Abstract

Tuberculosis (TB) is a great mimicker of innumerable diseases and is often overlooked causing diagnostic dilemmas, especially when it occurs at extrapulmonary sites. Primary TB of the paranasal sinuses is a rare event to occur with only a handful of cases documented in the world literature. Here, in this report, an unsuspected case of TB confined to bilateral maxillary sinus in a 50-year-old male is described which not only disguised as a case of chronic sinusitis but also led to a delay in the treatment of the patient.

Keywords: extrapulmonary tuberculosis, maxillary sinus, sinusitis

Abbreviations

TB, tuberculosis; EPTB, extrapulmonary tuberculosis; ESR, erythrocyte sedimentation rate; FNAC, fine needle aspiration cytology; AFB, acid fast bacilli; ATT, antituberculous treatment

Introduction

TB is a major health problem in developing countries owing to multiple factors such as over-crowding, poor nutrition, unhygienic conditions and lower socioeconomic status. Pulmonary TB is the commonest presentation of primary TB. On the other hand, extrapulmonary tuberculosis (EPTB) is not very rare and can affect any body system.1–4 However, it occurs mainly in the head & neck region with cervical tubercular lymphadenitis being the most common form of EPTB.5 Involvement of paranasal sinuses by TB itself is a rarity due to the protective functions of the sinonasal mucosa and in most of the cases it occurs secondary to pulmonary TB. The signs and symptoms of sinonasal TB are usually non-specific and may mimic other clinical conditions resulting in diagnostic dilemmas and therapeutic delay.6 Herein we describe a rare case of bilateral maxillary sinus TB in a 50-year-old male who was misdiagnosed and treated as chronic sinusitis patient.

Case report

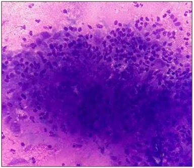
A 50-year-old male presented with a 4-month history of facial swellings in the bilateral maxillary sinus region. The patient was a labourer and belonged to a lower socioeconomic status. He also gave a history of persistent dull ache in the facial bones and orbit along with progressive weight and appetite loss since last one month. However, there was no history of fever, trauma, respiratory, or genitourinary symptoms. His medical history for any major disease or prior surgeries as well as family history was non-contributory. On general physical examination, he was of average built and was anemic. Local examination of the bilateral facial swellings revealed them to be ill-defined, tender, soft and and the overlying skin was slightly erythematous (Figure 1). All other systemic examinations were within the normal limits. His routine hematological investigations revealed microcytic hypochromic blood picture with normal erythrocyte sedimentation rate (ESR). The biochemical and microbiological tests as well as X‑ray chest showed no abnormality. Endoscopic examination showed no nasal mass or polyp. A provisional clinical diagnosis of chronic sinusitis was made and the patient was put on conservative management. However, the patient did not respond to the course of antibiotics as the swellings progressively grew in size. He was revisited again and fine needle aspiration cytology (FNAC) of bilateral maxillary sinus region swellings was performed to arrive at a diagnosis this time. FNAC done from these swellings yielded blood mixed mucoid aspirate and the smears examined showed numerous epithelioid cell granulomas along with intact and degenerated inflammatory cells. Occasional multinucleated langhans type of giant cells and focal necrosis was also seen (Figure 2). Special stain for tubercle bacilli (Ziehl-Neelsen stain) showed few acid fast bacilli (AFB) thus, establishing the diagnosis of bilateral maxillary sinus TB (Figure 3). On further investigations, mantoux test came out to be positive. His sputum and urine were also tested for AFB. However, they were negative for it. The patient was started on a 6-month course of antituberculous treatment (ATT) with rifampicin, isoniazid, pyrazinamide, and ethambutol. He was under regular monthly follow-up, and there was no clinical or laboratory evidence of recurrence or any fresh complaints even after 1 year of treatment.

Figure 1 Bilateral maxillary sinus region swellings on clinical inspection.

Figure 2 Epithelioid cell granuloma against a necrotic background (Giemsa, x200).

Figure 3 Ziehl-Neelsen stain showing presence of AFB (Encircled).

Discussion

TB is a chronic granulomatous disease caused by Mycobacterium tuberculosis.7 This organism most frequently reaches the lung by inhalational route and cause pulmonary TB. However, in 15%-20% of active cases, the infection spreads outside the lungs, causing EPTB.4 Primary affection of TB for all the paranasal sinuses and nasopharynx is very rare, even in TB endemic areas.8 Sinonasal TB usually occurs secondary to pulmonary infection, via hematogenous or lymphatic spread and is frequently associated with immunocompromised states, diabetes, and human immunodeficiency virus infection. This uncommon occurrence of sinonasal TB is probably due to the protective functions of the nasal and sinus mucosa, such as ciliary movement, bactericidal secretion, and mechanical filtering by vibrissae.6 Among the paranasal sinuses, TB mostly involves maxillary sinus and unilateral involvement of maxillary sinus is the most common presentation. However, quite rarely it can be bilateral, as in the present case. Three types of sinonasal TB have been described in the literature:

  1. Most common type is the mucosal involvement leading to formation of polyps with minimal pus discharge;
  2. Bony involvement and fistula formation with abundant nasal discharge and AFB being readily demonstrable; and
  3. Hyperplastic changes with formation of tuberculoma. Amongst the three types, bone invasion with fistula formation carries a poor prognosis.9

The common presenting symptoms of sinonasal TB are nasal discharge, nasal blockage, epistaxis, reduced sense of smell, and occasional headache. As most of these symptoms mimic other clinical conditions, a high index of suspicion is required for early diagnosis of this rare entity.10 Maxillary sinus TB resembles other granulomatous or neoplastic diseases such as sarcoidosis, Wegner’s granulomatosis, rhinosclerosis, fungal infections, malignant neoplasm and most of the times it remains as an underdiagnosed disease.11 Therefore, collaboration of all the investigations is required for clinching its definite diagnosis. Once it is clinically suspected, among all the laboratory tests, the tuberculin skin test, ESR, FNAC, urine as well as blood cultures and polymerase chain reaction play a vital role in its diagnosis. Imaging techniques such as X-ray chest, computed tomography, and magnetic resonance imaging, although not specific, can be helpful to ascertain the extent and pattern of the disease.6 Few researchers have also proposed that the diagnosis of paranasal sinuses TB should be based on the following criteria: the absence of a clinical response to empirical antibiotics, the presence of caseous granulomatous inflammatory lesions on pathology, and identification of M. tuberculosis in the specimen. However, often, neither the pathological nor bacteriological confirmation of TB is possible and hence, the diagnosis is made only on the basis of the patient’s response to the ATT.12 Nevertheless, this rare clinical entity carries an excellent prognosis when treated correctly with ATT consisting of isoniazid, rifampicin, ethambutol and pyrazinamide for at least a period of 6 months as complete resolution of the disease is seen.

Conclusion

Primary bilateral maxillary sinus TB is an exceptionally extraordinary entity which should always be kept in mind while dealing with swellings in relation to maxilla, especially in people residing in TB endemic areas and in those chronic sinusitis patients who are not responding to empirical antibiotic therapy even if they are not a case of pulmonary TB. Further, it is essential that a detailed clinical history and meticulous workup of such patients should be done for timely intervention, suitable treatment, and contact tracing.

Acknowledgments

None.

Conflicts of interest

No financial interest or any conflict of interest exists.

Funding

None.

References

  1. Sharma S, Sharma S. Concomitant Madura foot and tuberculosis in a child: A diagnostic dilemma! J Foot Ankle Surg (Asia‑Pacific). 2014;1:69–71.
  2. Bhasin TS, Mannan R, Sharma S, et al. Extra-pulmonary tuberculosis presenting as established non-union tibia shaft fracture. Nat J Lab Med. 2016;5:PC1–PC3.
  3. Sharma S, Dutta S, Yadav AK, et al. A rare case of cervical tuberculosis masquerading as carcinoma cervix. Ann Woman Child Health. 2016;2:C20–C23.
  4. Sharma S. Spermatic cord tuberculosis: The great masquerader. Int J Mycobacteriol. 2019;8(2):196–198.
  5. Swain SK, Behera IC, Sahu MC. Primary sinonasal tuberculosis: Our experiences in a tertiary care hospital of eastern India. Egypt J Ear Nose Throat Allied Sci. 2017;18(3):237–240.
  6. Kim KY, Bae JH, Park JS, et al. Primary sinonasal tuberculosis confined to the unilateral maxillary sinus. Int J Clin Exp Pathol. 2014;7(2):815–818.
  7. Rayapati DK, Prashanth NT, Rangan V, et al. Tuberculosis of the maxillary sinus masquerading as a facial abscess, a unique occurrence. J Oral Maxillofac Pathol. 2018; 22(Suppl 1):S126–S130.
  8. Kant S, Srivastava R, Verma AK, et al. Maxillary Sinus Tuberculosis: Various Presentations. Indian J Chest Dis Allied Sci. 2013;55(3):175–177.
  9. Gleitsmann JW. Tuberculosis of the accessory sinuses of the nose. Laryngoscope. 1907;17(6):445–450.
  10. Michael RC, Michael JS. Tuberculosis in otorhinolaryngology: clinical presentation and diagnostic challenges. Int J Otolaryngol. 2011;2011:686894.
  11. Rai DK, Kumar S, Thakur S. A rare case of tubercular pansinusitis with orbital and intracranial extension. Lung India. 2016;33(3):349–351.
  12. Beltran S, Douadi Y, Lescure FX, et al. A case of tuberculous sinusitis without concomitant pulmonary disease. Eur J Clin Microbiol Infect Dis. 2003;22(1):49–50.
Creative Commons Attribution License

©2020 Sharma, et al. This is an open access article distributed under the terms of the, which permits unrestricted use, distribution, and build upon your work non-commercially.