Submit manuscript...
International Journal of
eISSN: 2577-8269

Family & Community Medicine

Case Report Volume 2 Issue 3

Tracheal adenoid cystic carcinoma: case report

Lugo Machado Juan Antonio,1 Zavala Contreras Nadia Karen,2 Covarrubias Gutierrez Andres3

1Surgeon Specialist in Otorhinolaryngology, National Medical Center of the Northwest, Mexico
2Resident Physician, National Medical Center of the Northwest, Mexico
3Medical Pulmonologist, National Medical Center of the Northwest Mexico

Correspondence: Lugo Machado Juan Antonio, Surgeon Specialist in Otorhinolaryngology, Sub specialist in Pediatric Otolaryngology, Assigned Physician of Otolaryngology Specialties No2, National Medical Center of the Northwest, IMSS, cd. Obreg¢n, Sonora, Mexico, Tel 6441559891

Received: May 12, 2018 | Published: May 25, 2018

Citation: Antonio LMJ, Karen ZCN, Andres CG. Tracheal adenoid cystic carcinoma: case report. Int J Fam Commun Med. 2018;2(3):115-116. DOI: 10.15406/ijfcm.2018.02.00060

Download PDF

Abstract

Primary carcinomas of the trachea are rare tumors, accounting for less than 0.1% of cancer deaths. Adenoid cystic carcinoma is the second most common tumor within primary tracheal cancers, due to its nonspecific symptoms, represents a diagnostic and therapeutic challenge. We present the case of a 42-year-old male who attended the clinic due to dyspnea of medium effort, as well as dry cough and intermittent pharyngodynia. Imaging studies were performed, finding a mass that occupied 95% of the tracheal lumen. Therefore, it was decided to perform a low tracheotomy to secure the airway. Subsequently, the surgical oncology service decided to perform an en bloc resection of the segment and tracheal plasty with a terminal-terminal junction.

Keywords: cystic adenoid carcinoma, tracheal, treatment, lumen, primary carcinomas, tumor, cell carcinoma

Abbreviations

CAQ, adenoid cystic carcinoma; SCC, squamous cell carcinoma; CT, computed tomography; ASH, systemic arterial hypertension

Introduction

Primary carcinomas of the trachea are rare tumors, with a rate of 2.6 new cases per 1,000,000 inhabitants per year, representing less than 0.1% of cancer deaths. Adenoid cystic carcinoma (CAQ) is the second most common tumor (16.3%) within primary tracheal cancers after squamous cell carcinoma (SCC).1–4 Histologically, cystic adenoid carcinoma (CAQ) is typically composed of long cylindrical structures aligned with small cuboid cells with an eosinophilic nucleus. As a result of this feature it is also known as a cylinder. 1 Adenoid cystic carcinoma arises from the mixed seromucinous glands present in the tracheobronchial sub mucosa.2–6 The majority of these cases are diagnosed in people of middle age, without predilection for any gender, and does not occur in children or adolescents.6 40-50% of tracheal cystic adenoid carcinomas are located in the lower third or bifurcation of the trachea, 30-35% in the upper third and only 10-15% in the middle third of the trachea.1,2 It is of low malignancy having a prolonged clinical course with a late onset of metastasis and local recurrence. It has a tendency to spread by direct extension, submucosally or along perineural planes and distant hematogenous spread. Pulmonary metastases are the most common distant metastases, associated with a prolonged survival.2–6 Chest CT and bronchoscopy are important for diagnosis, these tumors are variable (wide base or polypodeal) and margin (irregular, soft, or lobed).2,3 Clinically, most patients initially develop symptoms such as cough, wheezing, dyspnea, and hemoptysis. 3.7. Circumferential tracheal resection with primary anastomosis with an open surgical technique has been widely accepted as the treatment of choice, recommending ionizing radiation for all patients with unresectable disease or as adjuvant therapy.6–8

Case presentation

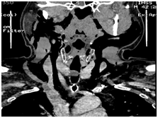
A 42-year-old male with a history of Diabetes mellitus type of 14 years of evolution, systemic arterial hypertension (ASH) of recent diagnosis that started 2 years ago, presenting dyspnea of medium effort, as well as dry cough and intermittent pharyngodynia. In December of 2013, a hemoptysis was added, so his hospitalization was decided and he was discharged on the third day. Bronchoscopy was performed by pulmonologist, finding a tumor between the 3rd and 4th tracheal ring, obstructing 80% of the lumen of which (Figure 1) a biopsy was taken, which was reported as cystic adenoid carcinoma with a cribiform and tubular pattern. They requested our assessment to perform a low tracheotomy we request assessment by performing a low tracheostomy. CT Computed tomography of the neck is requested, observing at the level of the first tracheal rings rounded lesion, attached to the wall which measures 13x13x1mm, being limited to the tracheal light occupying 85% of the same, without data of infiltration of adjacent tissues with important enhancement when applying contrast medium (Figure 2) (Figure 3). Evaluated by surgical oncology in March 2014 and May 2014 to perform neck exploration and resection of the 1st to 3rd tracheal ring with tracheal plasty, finding tumors from the 1st to the 3rd tracheal ring with free edges according to the transoperative examination, 4 days in the ICU with adequate evolution without need of ventilatory support, without presenting data of respiratory difficulty, with adequate evolution, it is discharged without the need of additional treatment. I do not consider it necessary to administer chemo-radiotherapy, the last tomographic control in November 2014 without evidence of tumoral activity, asymptomatic.

Figure 1 Tracheal mass seen by endoscopy.

Figure 2 Contrast CT scan of the neck of the neck.

Figure 3 Neck CT scans of the crown.

Discussion

Adenoid cystic carcinoma is the second most common tracheal malignant neoplasm after squamous cell carcinoma, and is a Tumor with low malignant potential and a prolonged clinical course. 1It is important to even mark the difference between both since adenoid cystic carcinoma does not have a definitive association with smoking, there is no gender predilection and it occurs in a middle-aged population unlike squamous cell carcinoma.2 clinically, most patients initially they develop symptoms such as cough, wheezing, dyspnea, and hemoptysis. Unfortunately, many patients with cystic adenoid carcinoma are misdiagnosed and poorly treated as asthmatic patients or as patients with associated lung infections for months and years before the correct diagnosis is made.3–5 Recently, it has been suggested that surgical resection and primary reconstruction is the best curative treatment for primary cancer of the trachea.6–8 In our case, a circumferential resection was performed with primary anastomosis, which was performed without presenting any complications so far. Kukwa et al report that the average survival in patients with surgically resectable tumors (68.8±1 month) is higher than in patients with resectable tumors (21.2±20.8 months). In addition, survival at 5 and 10 years after surgical resection varies from 59-79% and 29-51% respectively. 6 Our patient was evaluated by the medical oncology service with last control in November 2014 with a follow-up CT without local or distant recurrence data, without requiring adjuvant therapy of any kind.

Conclusion

The presentation of clinical-surgical case we understand that both in the cystic adenoid carcinoma and in any type of malignant tumor, the best treatment is the early detection and the taking of surgical measures, as well as adjuvant therapies, if necessary. In the same way that the most important thing is to safeguard the life of our patient with the measures required.

Acknowledgement

None.

Conflict of interest

The author declares there is no conflict of interest.

References

Creative Commons Attribution License

©2018 Antonio, et al. This is an open access article distributed under the terms of the, which permits unrestricted use, distribution, and build upon your work non-commercially.