Submit manuscript...
International Journal of
eISSN: 2574-8084

Radiology & Radiation Therapy

Research Article Volume 4 Issue 2

A comparison of 100kvp versus 120kvp CTPA acquisition with direct comparisons of test bolus and bolus tracking at same and different voltages in a multi detector 64 slice ct scanner

Moynihan WA, Bowden L, Kiely P, O Brien JM

Radiology Department, University Hospital Limerick, Ireland

Correspondence: William Anthony Moynihan, Radiology Department, University Hospital Limerick, Limerick, Ireland, Tel + 353 871172485

Received: July 16, 2017 | Published: September 28, 2017

Citation: Moynihan WA, Bowden L, Kiely P, et al. A comparison of 100kvp versus 120kvp CTPA acquisition with direct comparisons of test bolus and bolus tracking at same and different voltages in a multi detector 64 slice ct scanner. Int J Radiol Radiat Ther. 2017;4(2):363-368. DOI: 10.15406/ijrrt.2017.04.00095

Download PDF

Abstract

This study focused on several aspects of CTPA (Computed Tomography Pulmonary Angiogram) imaging. Primarily to reinforce and substantiate previous research done in the fields of low voltage CTPA acquisition by analysing data obtained during study and seeing what the resultant reduction in kV (Kilovolt age) has on attenuation levels in the pulmonary vessels and whether the decrease in signal intensity adversely affects image quality to any significant degree. To compare bolus tracking and test bolus in CTPA imaging.

150 patients were involved and imaged between January 2015 and August 2015. 50 pts were scanned at 100kVp with Test Bolus (Group A). 50 pts were scanned at 120kVp using Bolus Tracking (Group B). 50 patients were scanned at 120kVp using Test Bolus (Control Group). Vascular enhancement, Signal to Noise Ratio (SNR), Contrast to Noise Ratio (CNR), image noise, radiation dosimetry, and contrast use were recorded. Subjective image quality was assessed by two blinded radiologists. All injections took place at a rate of 4ml/sec through an 18 gauge bore cannula sited at the antecubital fossa. Flow rate was kept constant at 4ml/sec throughout the procedure. At both 100 and 120kVp, the injected iodine concentration was the same.

The reduction in tube potential resulted in an increase in mean attenuation measured in Hounsfield Units (HU) in the main pulmonary of 25.1% (307.46 to 410.48). Despite a 30% increase in image noise at 100kV there was no significant impact on SNR or CNR values. Radiation dose was considerably decreased by 40% at 100kV with no noteworthy difference in image quality in the images assessed. Use of Test Bolus decreased contrast use by over 25% from the standard amount of 80mls but which had no effect on the attenuation values.

Keywords: CTPA, 100kv, test bolus, bolus tracking, radiation dose, signal to noise ratio, radiation dosimetry, image quality, computed tomography

Abbreviations

kVp, kilovoltage peak; CTPA, computed tomography pulmonary angiogram; CT, computed tomography; kV, kilovoltage; SNR, signal to noise ration; CNR, contrast to noise ratio; RCR, royal college of radiologists; ACR, american college of radiology; MSCT, multislice; CT PE, pulmonary emboli; MR, magnetic resonance; UHL, university hospital limerick; HU, hounsfield units; DLP, dose length product; MSV, millisieverts

Introduction

Computed Tomography (CT) of the pulmonary vessels is the investigation of choice in patients with a high clinical suspicion of pulmonary embolus as documented in the Royal College of Radiologists (RCR) referral guidelines1 and in those with pre-existing pulmonary disease. In North America both the American College of Radiology (ACR) and the Fleischer Society endorse CT angiography as the reference standard for diagnosis of acute pulmonary embolism.2 Recent developments and advances in Multidetector CT (MDCT) has led to Computed Tomography Pulmonary Angiography (CTPA) being the examination of choice for the diagnosis of emboli with the pulmonary vasculature of the chest.3 The use of Multislice CT (MSCT) has greatly increased the detection of segmental and subsegmental emboli due to improved spatial and temporal resolution.4 Such advances in technology in CT have led to sensitivity and specificity rates of between 94–96% and 94-100% respectively when compared to lung scintigraphy (nuclear medicine studies) and conventional catheter based angiography.5

After myocardial ischemia and stroke, PE (pulmonary emboli) is the third most common cause of cardiovascular death.6 In fact the incidence of PE has been estimated at between 300,000 and 600,000 episodes per annum in the United States with between 50,000 and 200,000 deaths as a consequence of PE.7 Many diagnostic methods over theyears have been employed for diagnosing patients with PE. Such tests involving radiological use include chest radiography, ventilation perfusion-scintigraphy, catheter pulmonary angiography, sonography, CT venography and Magnetic Resonance (MR) angiography. Nuclear medicine radioisotope ventilation perfusion scans, which were once considered to be the gold standard for detection of pulmonary emboli in conjunction with catheter based pulmonary angiography, have largely been replaced by CT. While other modalities in radiology like nuclear medicine and MR still do have a role to play in detection of emboli in the pulmonaries, this is largely reserved for patients who have a contraindication to CT which involves the use of iodinated contrast medium for examination of the pulmonary vessels.8

This study is focused on examining two aspects of CTPA acquisition (i) injection protocols (ii) 100 vs 120kV comparisons. Two methods of contrast media injection, bolus tracking (BT) and test bolus (TB) method are primarily used in CTPA acquisition. The current protocol at the beginning of this study in the radiology department in University Hospital Limerick (UHL) Ireland is the bolus tracking method for CTPA studies with some individual radiographers preferring the test bolus method. Concurrently the practice of a lower kilovoltage protocol of 100kV from 120kV in CTPA scanning in UHL will also be examined. By comparing the two injection methods and determining which can achieve greater opacification more effectively while simultaneously investigating image quality at 100kVp the author hopes to reduce dose, reduce amount of contrast media required and maintain diagnostic image quality and rates.

Reducing the dose during acquisition of a CTPA scan while also maintaining image quality is of real concern to radiographers in any CT department. Young females can account for a substantial proportion of patients presenting for CT angiography9 and thus obtaining high quality diagnostic scans first time is essential. Breasts are very radiosensitive and the ‘estimated breast dose with CT angiography far exceeds that with lung scintigraphy’.10 Since PE is diagnosed in fewer than 10% of all pulmonary CTA examinations11 there is increasing concern regarding the risk benefit ratio for this examination particularly in younger patients and in women who are at higher risk of carcinogenesis from diagnostic radiation. The radiographic principle of ALARA (As Low as Reasonable Achievable) should always be employed when ionising radiation is employed in medical imaging. If a CTPA scan can be adequately diagnostic at lower kV levels without interfering with interpretation or leading to indeterminate results then it is best practice to aim for this.

This study hopes to demonstrate how a reduction in kV from 120 to 100 affects attenuation levels of the pulmonary arteries in CTPA scanning and its resultant effect on radiation dose. To analyse results and see if a reduction in tube potential has positively affected attenuation levels and whether any increase in noise as a result impacted on image quality. To compare test bolus and bolus tracking for effectiveness in CTPA contrast injections.

Materials and methods

A total of 150 patients were involved in this prospective study. All patients were scanned between January 2015 and May 2015. Ethical approval was first sought from the author’s institution prior to data collection or analysis.

    1. 50pts were scanned at 100kVp with Test Bolus (Group A).
    2. 50pts were scanned at 120kVp using Bolus Tracking (Group B).
    3. 50patients were scanned at 120kVp using Test Bolus (Group C).

Test Bolus was calculated by an initial contrast injection of 20mls and time to peak taken when 100 HU (Hounsfield Units) was reached (Figure 1). Vascular enhancement, Signal to Noise Ratio (SNR), Contrast to Noise Ratio (CNR), image noise, radiation dosimetry, contrast use were recorded. Subjective image quality was assessed by two blinded radiologists.

Figure 1 Example of 100 HU in Test being reached Bolus. The time at which the injection (20 mls) reached the threshold of 100 HU is noted at 6.1 seconds. Peak arterial enhancement is not taken but the threshold time of 100 HU

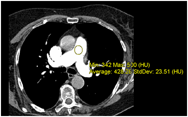
Signal intensity (attenuation) of pulmonary arteries was defined as the average CT numbers (in HU) measured by placing circular regions of interest (ROI’s) at different levels; main pulmonary artery (Figure 2) and a basal segmental artery. Image noise was defined as the mean of the standard deviations (SD or Std Dev) of the CT numbers of the pulmonary vessels measured. The background signal was defined as the CT number measured in the paraspinal muscles at the level of the main pulmonary artery (HU backgr).

Figure 2 Example of a calculation of Hounsfield Unit in a CTPA scan in the main pulmonary artery

Signal to Noise ratio was calculated in the main pulmonary artery (SNRs; i.e., average attenuation divided by average noise) the same method used by other recent studies (Figure 3).5 Contrast to Noise ratio was defined as HU in main pulmonary artery minus HU in background divided by noise (Figure 4). Contrast media injections were performed with a power injector. All injections took place at a rate of 4ml/sec through an 18 gauge bore cannula sited at the antecubital fossa. No preference was taken for right or left side. Flow rate was kept constant at 4ml/sec throughout the procedure for all examinations. At both 100 and 120kVp, the injected iodine concentration was the same throughout (350). 

Figure 3 Calculation of Signal to Noise Ratio

Figure 4 Calculation of Contrast to Noise Ratio

All CTPA examinations were performed on a 64-slice CT scanner (Siemens SOMATOM Sensation) which uses standard filtered back projection. The same acquisition and reconstruction parameters were employed for all 150 CTPA scans (Table 1). A confidence value of 95% and a significant difference for all statistical tests was set at a P value of less than .05. Statistical analysis was performed using IBM SPSS Statistics 20. Microsoft excel was used to construct graphs and tables. The student T-test, kappa statistic and chi squared test were used in analysis. The chi squared test was used to determine whether there was a difference between the sex distribution in Group A and B and between Group B and Group C. These statistical tests are employed “when two different quantities are measured on each item in a sample and the degree of association between them needs to be calculated”.12

Slice

Recon Increment

Kernel

Window

ACQ Coll

Rotation Time

Pitch

Ref mAs

3mm

1.5mm

B31f Medium Smooth

Mediastinum WW360 WC40

64X 0.6mm

0.5 sec

1

140

2mm

1mm

B25f Very Smooth

Mediastinum WW360 WC40

64X 0.6mm

0.5 sec

1

140

2mm

1mm

B25f Very Sharp

Lung WW1024 WC -512

64X0.6mm

0.5 sec

1

140

Table 1 Parameters employed in CTPA acquisition and reconstruction
M: Millimetre
WW: Window Width
WC: Window Centre
ACQ Coll: Acquisition Collimation
mAs: Milliamperes Per Second

The Kappa statistic is intended to provide a quantitative measure of magnitude of agreement between observers13 in this case two different radiologists rating the same CTPA scans. It allows inter-observer variation to be measured where two or more independent observers are evaluating the same thing. The student t-test is used when one wishes to compare the means of two different groups. The same scoring sheet was employed by both radiologists when assessing images (Figure 5). 

Figure 5 Score sheet as employed by radiologists assessing the images

The Dose Length Product (DLP) was recorded for each patient. Effective dose was then calculated from the DLP. To estimate the effective dose received by CTPA, the method recommended in the handbook for quality cri­teria in CT by the European Study Group was used.14 In this method, the effective dose is derived by multiplying the dose-length product with a transformation coefficient for the anatomical area examined. The effective dose conversion factor for the chest used in this study was k=0.016. The dose-length product is an indicator of the dose received by the patient throughout the length of the scan. There is a linear relationship between DLP and effective dose. Effective dose measured in millisieverts (mSv) reflects the risk of a non-uniform exposure i.e. organ doses for a partial irradiation of a body are converted into an equivalent uniform dose to the entire body.

Results and discussion

Comparison of the Groups (A vs B and B vs C) in terms of gender did not reveal any significant differences, thus further analysis and comparison of signal intensity (SI), attenuation measurements and radiation exposure were considered feasible and valid (Table 2).

Group A

Group B

P-Value

Male/Female Ratio 29:21

Male/Female Ratio 21:29

0.493

Group B

Group C

Male/Female Ratio 21:29

Male/Female Ratio 23:27

0.845

Table 2 Male to Female Ratios in Study

Table 3 illustrates at a glance the results of the quantitative measurements for all Groups. The mean and standard deviation for each group refer to the mean and standard deviation for 50 patients. In each patient, 3 measurements were taken within the main pulmonary artery, the mean, min, max in Hounsfield units. Image noise was calculated as the standard deviation from the main pulmonary artery. The same process applied to the measurements in the basal pulmonary artery. 

Group A 100kVp TB

Group B 120kVp BT

Group C 120kVp TB

Mean

Std Dev

Mean

Std Dev

Mean

Std Dev

SI (HU) Main Pulmonary Artery Mean (MPA)

410.48

108.94

307.46

90.7

307.99

76.32

HU MPA MAX

475.78

117.06

355.82

93.36

363.38

76.95

HU MPA MIN

346.59

106.01

260.46

88.92

254.2

77.66

SI (HU) Basal Pulmonary Artery Mean (BPA)

395.54

90.75

309.93

87.32

296.85

89.12

HU Basal Pulmonaru Artery Max

452.66

104.96

355.82

93.36

347.18

99.58

HU Basal Pulmonaru ArteryMinMax

312.3

86.98

234.38

81.38

211.22

80.23

Noise Basal Pulmonary Mean

39.6

21.47

32.03

19.01

34.84

21.53

SI (HU) Paraspinal Muscle

33.75

11.6

32.92

14.34

33.13

13.76

SNR

17.56

6.01

17.86

5.8

15.95

5.07

CNR

15.97

5.71

15.92

5.27

14.39

4.98

Image Noise (HU)

25.91

9.01

17.72

3.83

20.13

4.51

Contrast Used (ML)

54.08

9.26

80

N/A

58.46

8.78

DLP

183

46.94

305.92

110.47

319.24

95.06

Effective Dose (mSv)

2.92

0.75

4.88

1.77

5.1

1.5

Table 3 Summary of Results from Quantitative Analysis of Groups A, B and C

Further tables in the results section highlight more clearly the changes that the reduction in kV from 120 to 100 brought about (Table 4). Some of the major findings will be highlighted. The reduction in tube potential from 120 to 100kVp (Group A vs Group B) resulted in an increase in mean attenuation in the main pulmonary of 25.1% from a mean of 307.46 HU to 410.48HU.

Group A 100kVp Test Bolus

Group B 120kVp Bolus Tracking

P-Value

MOA HU (HU)

410.58

307.46

<0.001

Contrast (ML)

54.08

80

<0.001

DLP

183

305.92

<0.001

Eff Dose (mSv)

2.92

4.88

<0.001

Basal Pul Art (HU)

395.54

309.93

<0.001

Paraspinal (HU)

33.75

32.92

0.792

Noise

25.91

17.72

<0.001

CNR

15.97

15.92

0.144

SNR

17.56

17.86

0.149

Table 4 Statistical Analysis, P values of Group A 100kVp vs Group B 120kVp
mSv: Millisievert
HU: Hounsfield Unit
mSv: Millisievert
DLP: Dose Length Product
ML: Millilitre

The use of test bolus in CTPA imaging in Group A resulted in a decrease of contrast media use by an average of 25.92mls per patient from the standard protocol of using 80mls in Bolus Tracking. This represents a decrease in contrast use of 32.4%. Attenuation in basal pulmonary arteries increased on average by 27.62% in Group A compared to Group B from 309.93HU to 395.54HU taken from the mean of the Basal Pulmonary Artery (Table 5).

Group A 100 kVp

Group B 120k Vp

Test Bolus

Bolus Tracking

Signal Intensity in Housefield Units of Basal Pulmonary Artery

Mean

Std Dev

Mean

Std Dev

Basal Pulmonary Artery (Mean)

395.54

90.75

309.93

87.32

Basal Pulmonary Artery (Max)

452.66

104.96

355.82

93.36

Basal Pulmonary Artery (Min)

312.3

86.98

234.38

81.38

Noise Basal Pulmonary Artery (Mean)

39.6

21.47

32.03

19.01

Table 5 100 vs 120kVp of Basal Pulmonary Artery
Std Dev: Standard Deviation.

Image noise in the main pulmonary arteries increased in Group A as a result of the lower tube potential by 31.61% but which resulted in no significant difference in the SNR (increase of 1.68%) or CNR (decrease of .32 of 1% ) between Groups A and B. In terms of dose measurements between Groups A and B there were marked variances. The reduction in tube potential resulted in a decrease of 40% in Dose Length Product from an average of 50 patients from 305.92 to183 resulting in a decrease of effective dose of 40% from 4.88mSv (millisieverts) to 2.92mSv.

A total of 20 images were assessed independently by two radiologists which included 10 from Group A (100kV) and 10 from Group B (120kV). Images were assessed in terms of 3 factors: Pulmonary Arterial Enhancement, Noise and Motion Artefacts, Image Quality. Table 6 refers to the results of the kappa statistical analysis conducted on the qualitative assessments by two radiologists. From the Kappa statistic (K-value) it can be seen that there was almost perfect agreement between both radiologists in regards to pulmonary arterial enhancement. The associated P-value indicating that this was significant.

K-value

P-value

Pulmonary Arterial Enhancement

0.828

0.001

Noise and Motion Artefacts

0.1

0.305

Image Quality

0.12

0.469

Table 6 Kappa statistics (K and P-values)

In relation to noise and motion artefacts there was only slight agreement with a P-value indicating that this was not statistically significant. Regarding image quality once again there was only slight agreement between both radiologists with a P-value indicating that this was not statistically significant. A graph illustrating the qualitative scores as assessed by two radiologists which read the same images can be seen in Figure 6. The number of images assessed subjectively by radiologists was quite small with only 10 images out of 50 in both the 100kVp (Group A) and 120kVp (Group B) group being assessed. This study did focus more on quantitative measurements and results rather than qualitative data. A more comprehensive involvement of image quality and non-parametric data with a larger sample size the author feels is one of the limitations of this study. Patients were not catergorised according to weight or age either.

Figure 6 Graph of Radiologists Scores for Image Quality.

Conclusion

    1. Performing CTPA at 100kV vs 120kV significantly improves vascular enhancement in the pulmonaries as well as reducing radiation dose.
    2. Image quality can be maintained despite a higher level of noise in heavier patients.
    3. Test Bolus proved more effective than Bolus Tracking at both 100 and 120kV with a 25% reduction in contrast volume.
    4. Test Bolus vs Bolus Tracking does not increase the HU value if comparing at same voltages.

CTPA imaging typically uses values between 80 and 140kV, with the most often used being 100 and 120kV. As documented in previous work on low voltage imaging in CT angiographic examinations lowering the kV increases vascular signal intensity as the effective energy of the x-ray beam approaches the absorption k-edge of iodine which in clinical practice in terms of pulmonary visualisation translates into enhanced visualisation of the vessels all the way down to basal pulmonary branches.15 The downside is the increase in noise which becomes even more prevalent in heavier patients.

The most commonly used parameters to assess image quality quantitatively in CT images in differing kV studies are attenuation values, SNR, CNR and radiation dose measurements. The findings in this study are consistent with previous research which have all utilised the above for calculations.6,9,15 Decreasing the kV value in this study resulted in an increase in mean attenuation values of over 25% in the pulmonary vessels evaluated (25.1% in the main pulmonary artery and 27.1% in basal vessels Group A).

As a consequence of the reduction of tube voltage by 20kVp image noise did increase by 31.61% (Group A), however no effect on the signal to noise ratio or contrast to noise ratio was observed with almost indistinguishable values as a result of increased enhancement. At 100kVp the SNR and CNR was 17.56 and 15.97 respectively (Group A) while at 120kVp the SNR and CNR was 17.86 and 15.92 (Group B). To highlight this result signal intensity increased in the pulmonary arteries by an average of 25% (mean of 410.48±108.94 HU in main pulmonary artery at 100kV (Group A) compared to 307.46±90.7HU at 120V (Group B) leading to almost equivocal signal to noise and contrast to noise ratios as mentioned previously.

When image quality was assessed there was with no significant differences seen with comparable image quality in the images reviewed. When bolus tracking was compared with test bolus at 120kV (Group B vs Group C) there was no change in image enhancement with almost identical attenuation levels in both the main pulmonary and basal arteries assessed.

The reduction in kV to 100 resulted in a significant decrease in effective dose with a mean decrease of 40.1% to an average of 2.92mSv. The use of a low i.e. 100kV protocol is important when one considers the low prevalence of pulmonary embolism in patients that undergo pulmonary CTA,16 especially for the younger female patients. With CT being the examination of choice for detection of PE’s and CT scanning becoming ever on the increase concern has been raised regarding overuse and indeed overdiagnosis. This has led to several studies in the area of retrospective analysis of CTPA imaging. In 2013 a paper was published regarding one hospital’s experience in the United States of CTPA imaging over a 5year period between 1/1/2004 and 10/31/2009 involving a review of 4,048 CTPA’S.17 Of the 4,048 CTPA’S included in the analysis, 268 were positive for an acute PE (6.62%), 30 were positive for a chronic PE (0.74%), and 3,750 were negative for an acute or chronic PE (92.64%). Such data led to the author’s conclusion ‘CTPA utilisation has risen with no corresponding change in diagnostic yield resulting in an increase in PE detection. There is a concurrent rise in the likelihood of diagnosing a less clinically severe spectrum of PE’s’.18

The aforementioned in-depth research has largely echoed other studies in this area taken around the same time period. Sheh et al.,18 similarly concluded that the use of CT in diagnosis of PE has led to an increased rate of detection of a ‘less fatal spectrum of pulmonary embolic disease’. The 7year study conducted in an urban academic hospital raises the substantiated evidence once again outlining how the shift from previous imaging methods of ventilation/perfusion (V/Q scintigraphy) and pulmonary arteriography to CT alone has led to such an outcome. In a 7year period from 2000-2007 the incidence of pulmonary embolism increased from 0.69 to 0.91 per 100 admissions. Two injection protocols were compared (test bolus vs bolus tracking). From the results there was a significant reduction in contrast volume usage of over 25% (a 32.4% reduction in Group A vs Group B and a 26.92% reduction in Group B vs Group C) compared to the standard injection protocol of 80mls in our institution with almost identical attenuation values obtained in the pulmonaries at the same kV level of 120 leading to a deduction that the use of test bolus is a more accurate and effective method of contrast media delivery than bolus tracking in this study. The reduction in contrast use have a benefit not only for the patient but also in terms in capital costs in savings to an x-ray department. Since the introduction of test bolus in CTPA scanning in January 2015 in the author’s institution this is now the preferred method of contrast media delivery for CTPA imaging.

Acknowledgements

The author would like to thank Miriam Nash, Ian Murphy and Lynda Madigan for their assistance.

Conflict of interest

Author declares that there is no conflict of interest.

References

  1. iRefer/Making best use of Clinical Radiology. 7th Guidelines for Doctors. The Royal College of Radiologists. London; 2012.
  2. Bettmann M, White R, Woodard P, et al. ACR Appropriateness Criteria® Acute Chest Pain—Suspected Pulmonary Embolism. J Thorac Imaging. 2012;27(2):W28‒W31.
  3. Remy-Jardin M, Pistolesi M, Goodman L, et al. Management of Suspected Acute Pulmonary Embolism in the Era of CT Angiography: A Statement from the Fleischner Society 1. Radiology. 2007;245(2):315‒329.
  4. Schoepf UJ, Costello P. CT Angiography for Diagnosis of Pulmonary Embolism: State of the Art1. 2004;230(2):329‒337.
  5. Stein P, Fowler S, Goodman L, et al. Multidetector computed tomography for the detection of acute pulmonary emboli. New England Journal of Medicine. 2006;354(22):2317‒2322.
  6. Gill M, Vijayananthan A, Kumar G, et al. Use of 100 kV versus 120 kV in computed tomography pulmonary angiography in the detection of pulmonary embolism: effect on radiation dose and image quality. Quant Imaging Med Surg. 2015;5(4):524‒533.
  7. Soye J, Loughrey C, Hanley P. Computed Tomography Pulmonary Angiography: A Sample of Experience at a District General Hospital. Ulster Med J. 2008;77(3):175‒180.
  8. Kumamaru K, Hoppel B, Mather R, et al. CT Angiography: Current Technology and Clinical Use. Radiol Clin North Am. 2010;48(2):213‒235.
  9. Heyer C, Mohr P, Lemburg S, et al. Image Quality and Radiation Exposure at Pulmonary CT Angiography with 100- or 120-kVp Protocol: Prospective Randomized Study 1. Radiology. 2007;245(2):577‒583.
  10. Revel M, Cohen S, Sanchez O, et al. Pulmonary Embolism during Pregnancy: Diagnosis with Lung Scintigraphy or CT Angiography? 2011;258(2):590‒598.
  11. Matsuoka S, Hunsaker A, Gill R, et al. Vascular Enhancement and Image Quality of MDCT Pulmonary Angiography in 400 Cases: Comparison of Standard and Low Kilovoltage Settings. AJR Am J Roentgenol. 2009;192(6):651‒656.
  12. Cohen SS. Practical Statistics. London: Edward Arnold; 1988.
  13. Viera AJ, Garrett JM. Understanding interobserver agreement: the kappa statistic. Fam Med. 2005;37(5):360‒363.
  14. European Guidelines for Quality Criteria for Computed Tomography. European Commission, Europe; 2000.
  15. Bogot N, Fingerle A, Shaham D, et al. Image Quality of Low-Energy Pulmonary CT Angiography: Comparison with Standard CT. American Journal of Roentgenology. 2011;197(2):W273‒W278.
  16. Fanous R, Kashani H, Jimenez L, et al. Image Quality and Radiation Dose of Pulmonary CT Angiography Performed Using 100 and 120kVp. American Journal of Roentgenology. 2012;199(5):990‒996.
  17. Schissler A, Rozenshtein A, Kulon M, et al. CT Pulmonary Angiography: Increasingly Diagnosing Less Severe Pulmonary Emboli. PLoS One. 2013;8(6):e65669.
  18. Sheh S, Bellin E, Freeman K, et al. Pulmonary Embolism Diagnosis and Mortality With Pulmonary CT Angiography Versus Ventilation-Perfusion Scintigraphy: Evidence of Overdiagnosis With CT? AJR Am J Roentgenol. 2012;198(6):1340‒1345.
Creative Commons Attribution License

©2017 Moynihan, et al. This is an open access article distributed under the terms of the, which permits unrestricted use, distribution, and build upon your work non-commercially.