Submit manuscript...
International Journal of
eISSN: 2574-8084

Radiology & Radiation Therapy

Short Communication Volume 2 Issue 5

An unusual case of upper gastro intestinal bleeding in a adolescent female

Debi U,1 Lal S,1 Srikanth KP,1 Prasad KK,3 Thapa BR2

1Division of GE Radiology, Department of Superspeciality of Gastroenterology, India
2Division of Pediatric GE, Department of Superspeciality of Gastroenterology, India
3Division of GE Histopathology, Department of Superspeciality of Gastroenterology, India

Correspondence: Uma Debi, Division of GE Radiology, Department of Superspeciality of Gastroenterology, Postgraduate Institute of Medical Education and Research, Chandigarh (UT) -160 012, India, Tel -2756684, Fax -2744482

Received: March 31, 2017 | Published: April 11, 2017

Citation: Debi U, Lal S, Srikanth KP, et al. An unusual case of upper gastro intestinal bleeding in a adolescent female. Int J Radiol Radiat Ther. 2017;2(5):136-137. DOI: 10.15406/ijrrt.2017.02.00041

Download PDF

Keywords

mucocutaneous pigmentation, duodenal bulb, mucosa, gastrointestinal tract, gi endoscopy

Short communication

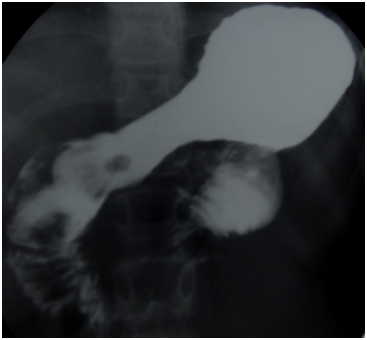
A 12year old female patient presented in paediatric emmergency with history of upper gastrointestinal bleeding for 2days with severe anaemia and associated mucocutaneous pigmentation. Two units of blood transfusion was given to the patient. Upper GI Endoscopy revealed well defined polyps in pyloric antrum, larger one prolapsing into pyloric antrum from duodenal bulb suggestive of Peutz Jeghers Hamartomatous polyp (Figure 1). On single contrast barium meal examination a small well defined lobuted filling defect is found in pyloric antrum of stomach. Another large filling defect is seen in duodenal bulb causing expansion of it and protruding into antropyloric region (Figure 2).

Figure 1 On upper GI Endoscopy well defined polyps are seen in pyloric antrum, larger one prolapsing into pyloric antrum from duodenal bulb.

Figure 2 On single contrast barium meal examination a large filling defect is seen in duodenal bulb which is protruding into antropyloric region. Another small well defined lobuted filling defect is also found in pyloric antrum of stomach.

Peutz-Jeghers syndrome is a rare, AD disease linked to a mutation of the STK 11 gene which is characterized by the development of benign hamartomatous polyps in the gastrointestinal tract in association with a hyperpigmentation on the lips and oral mucosa. These polyps are also at risk of acute gastrointestinal bleeding, intussusception and bowel obstruction.1 In PJS polyps can be located anywhere in the gastrointestinal tract, most commonly seen in the small bowel (70-90%), the colon (50%) and the stomach (25%).2 Solitary Peutz-Jeghers polyps are generally have their origin in the small bowel, duodenum, colon, rectum and are extremely rare in the stomach, with only 8 well documented cases being reported to date.3 PJS also known as periorificial lentiginosis with an incidence of 1/200,000 live-borns. The most frequent complication at young age is recurrent intussusception due to multiple hamartomatous polyps, usually in the small intestine.4

Acknowledgements

None.

Conflict of interest

Author declares that there is no conflict of interest.

References

Creative Commons Attribution License

©2017 Debi, et al. This is an open access article distributed under the terms of the, which permits unrestricted use, distribution, and build upon your work non-commercially.