Submit manuscript...
International Journal of
eISSN: 2574-8084

Radiology & Radiation Therapy

Research Article Volume 10 Issue 3

CT-guided core needle biopsy in injuries tumor is from the thoracic cavity

Araujo-Cuauro Juan Carlos

Universidad del Zulia, Venezuela

Correspondence: Dr. Juan Carlos Araujo Cuauro, Universidad del Zulia, Direction. Av. Maracaibo Venezuela, Tel 0414 6119640, Fax 0261-7873827

Received: August 04, 2023 | Published: August 21, 2023

Citation: Araujo-Cuauro JC. CT-guided core needle biopsy in injuries tumor is from the thoracic cavity. Int J Radiol Radiat Ther. 2023;10(3):74-80. DOI: 10.15406/ijrrt.2023.10.00359

Download PDF

Abstract

Introduction: Computed tomography-guided percutaneous transparietal biopsy in thoracic cavity lesions of tumor appearance with thick needle is a useful procedure for histological and immunohistochemical study.

Objective: to describe our experience in the thoracic surgery unit of histological diagnostic accuracy and safety for the diagnosis of lesions in the peripheral pulmonary, mediastinal and subpleural thoracic cavities. Materials and methods: A prospective, descriptive, cross-sectional analysis of tomography-guided transparietal biopsies of lung, mediastinal and subpleural lesions was performed.

Results: the age range: between 20 and 80 years, male predominance 90%, 75% corresponded to primary lung lesions in terms of histological and immunohistochemical diagnosis of biopsy material from primary lung lesions; Adenocarcinoma 58. 8%; squamous or epidermoid carcinoma 23.5% Adenocarcinoma with lepidic component 5.8%. While in lesions of metastatic origin 11.7%. The reported pathology of malignant type was the most common, being primary bronchogenic tumors and metastatic lesions 95% the most frequent diagnoses. Sensitivity was 96.9%, while specificity was 100%. Likewise, the positive predictive value (PPV) was 100%, which indicates that the overall validity index (GVI) was 97.5%. Conclusion: Image-guided BAG is a safe technique that allows obtaining a specific histological diagnosis. while specificity was 100%. Likewise, the positive predictive value (PPV) was 100%, which indicates that the overall validity index (GVI) was 97.5%.

Conclusion: Image-guided BAG is a safe technique that allows obtaining a specific histological diagnosis. while specificity was 100%. Likewise, the positive predictive value (PPV) was 100%, which indicates that the overall validity index (GVI) was 97.5%. Conclusion: Image-guided BAG is a safe technique that allows obtaining a specific histological diagnosis.

Keywords: transparietal biopsy, core needle, computed tomography, thoracic cavity

Introduction

Lesions with a nodular or mass appearance in the thoracic region, both benign and malignant, occupy an important place in the field of thoracic surgery and represent a challenge for diagnosis and the corresponding therapy. Percutaneous transthoracic core needle biopsy (BAG) is the most commonly used technique to diagnose the origin of lesions in the thoracic (mediastinum and pleura) and peripheral lung cavities, with or without abscess, single or multiple, nodular or with area of ​​consolidation. focal. The use of computed tomography (CT) as a guide allows visualization of the lesion, preliminary assessment of the same, proper insertion of the needle into the lesion and taking of the corresponding simple.1

Some of the advantages of this technique are its minimally invasive nature, high diagnostic yield, histopathological and/or immunohistochemical study whereat the same timemutational markers can be obtained, which are essential to indicate the target therapy and immunotherapy, with low cost and minimal complications.2

What quickly generated the conception of the biopsy as a defining element of the medical diagnosis. The word biopsy is derived from the Greek Bios: Life and Opsi: Vision. It is the procedure by which tissue is removed from an organism for macroscopic and microscopic histopathological study that allows establishing a definitive diagnosis in most cases. Also included in this denomination is the study of specimens from surgical interventions, where the primary objective is not the biopsy but the treatment itself.3

Percutaneous or transparietal or transpleural or transthoracic lung biopsy with core needle (BAG) (misnamed by some professionals as Tru-Cut since this is a commercial brand of needles), its thick needle name is to differentiate it from the fine needle which is the needle of an injector and which is used for some cases, however, by saying thick, perhaps people can imagine a large instrument or device, and therefore it is not so, this depends on the model used. It has a diameter between 3 millimeters (the most frequent) to about 5 mm. In our case, the 14G thick needle was used, it is a Bard® Monopty® disposable core central biopsy device. The core needle biopsy device is intended for obtaining soft tissue biopsies such as liver, kidney, lung. breast, prostate, spleen, lymph nodes and various soft tissue tumors. It is not intended for use on bone. Lightweight, ergonomic rotating handle for greater control with single gloved hand activation for easy access to tissue sample, sharp beveled trocar with deep angled notch for high quality and sample collection with minimal crush and easy removal and rapid core sample. If multiple samples are collected, the needle should always be inspected after each collection for a damaged tip, bent shank, or other imperfections (Figure 1). Light weight, ergonomic rotating handle for greater control with single gloved hand activation for easy access to tissue sample, sharp bevel trocar with deep angled notch for high quality and sample collection with minimal crush and easy removal and rapid core sample. If multiple samples are collected, the needle should always be inspected after each collection for a damaged tip, bent shank, or other imperfections (Figure 1). Lightweight, ergonomic rotating handle for greater control with single gloved hand activation for easy access to tissue sample, sharp bevel trocar with deep angled notch for high quality and sample collection with minimal crush and easy removal and rapid core sample. If multiple samples are collected, the needle should always be inspected after each collection for a damaged tip, bent shank, or other imperfections (Figure 1). The needle should always be inspected after each collection for a damaged tip, bent shank, or other blemishes (Figure 1). The needle should always be inspected after each collection for a damaged tip, bent shank, or other blemishes (Figure 1).

What are the precautions: (1). This instrument should be used by a physician who is fully familiar with the indications, contraindications, limitations, typical findings, and potential side effects of AGB, particularly those related to the specific organ being biopsied; and (2). The introduction of the needle into the body must be carried out under image control (ultrasound, radiography, CT, among others.).

As the Monopty® instrument is prepared for biopsy by turning the rotation mechanism at the end of the instrument, a half turn will withdraw the cannula and lock it in place. Another half turn to withdraw the stylet and lock it in place. The instrument is ready to fire. The arrow must be visible in the preparation window prior to insertion into the patient. Withdraw the needle from the patient and rotate the end of the instrument a half turn to withdraw the cannula and expose the biopsy. Remove the sample. If additional biopsies of the same organ are required, remove the stylet by rotating the end of the instrument another half turn and remove the sample and repeat the procedure.

It is a procedure for the study of intratrathoracic pulmonary lesions detected by images, which has been used since the second half of the 19th century. Its purpose is to obtain cellular and/or tissue samples from lesions in the thoracic cavity via transthoracic puncture, the purpose of which is to provide diagnostic accuracy as far as possible histological definitive in any lesion of pleura, lung and mediastinum detected by imaging techniques such as CT of the thoracic region.

Regarding yourindications in a new or previously known intrathoracic mass that has increased in size and that cannot be diagnosed by fiberoptic bronchoscopy. Or in the staging of lung cancer or metastasis study; single or multiple parenchymal lung nodules in patients without known malignancy, or presenting after prolonged remission from a prior malignancy; persistent focal infiltrates of unknown etiology (not diagnosed from the results of sputum or blood cultures, serological examinations, and bronchoscopy); mediastinal tumor; lesions in the pleura or chest wall.4

As for its contraindications, these can be: (1) Absolute: "There is not", and (2) Relative: INR >1.5; aPTT >1.5 × ULN; platelets <50,000/µL, in patients receiving anticoagulant therapy or who have bleeding disorders; contralateral pneumonectomy or pneumothorax; severe COPD, among others. Within its possible potential complications of the BAG can be presented from; those specific to the puncture site and may include bruising, bleeding, infection, injury to adjacent tissue, and pain. Likewise, pneumothorax, hemothorax, hemoptysis, pulmonary air embolism, propagation of the neoplasm in the biopsy channel (especially in the case of pleural mesothelioma). Factors that favor the appearance of pneumothorax that requires drain placement: COPD, use of thick sharp needles, coughing during the procedure,

Core-needle biopsy (BAG), is obtained using manually operated cutting needles or with automatic or semiautomatic guns, the tru-cut or core-biopsy needle with large caliber (usually between 14 - 18 G) is placed in position with image guidance, the shot is performed and cylindrical samples of tissue are obtained that are susceptible to histological analysis (including histochemistry or immunohistochemistry), therefore diagnosing tumors. They have a high sensitivity and specificity, greater than those of fine-needle biopsy. The needle with or without coaxial is for the coaxial technique, it measures between 9 and 19 G, depending on the size of the biopsy needle. The introducer has a blunt tip to avoid damaging nearby structures, it is inserted and left in place after removing the internal stylet.5

Percutaneous BAG has currently become one of the fundamental tools for diagnosis in any lesion of the thoracic cavity. It allows reaching a non-surgical diagnosis of malignancy, as well as obtaining important predictive and prognostic information through immunohistochemical determinations. Also by valuesdandsensitivity, specificity, positive and negative predictive value and itsdiagnostic certainty.6,7

For this reason, since the 1970s, with the emergence of tomographic imaging studies, percutaneous biopsies have been performed more and more frequently; today, it can be referred to as the most frequently performed interventional radiology procedure. . Since image-guided biopsies in this case, CT are minimally invasive and therefore safe, although as in any interventional medical procedure, unusual cases of major complications have been reported. In multiple published series reported in the literature, when the procedure is properly executed, its precision, effectiveness, and safety margin range between 80 and 97%.8

The Tomography (CT) equipment, the system must have a maximum voltage of 135 kV, a maximum load of 580 mA. The gantry must have: maximum voltage 135 kV, maximum load 580 mA. In our institution, equipment with these characteristics is used: maximum voltage 135 kV, maximum load 580 mA. Gantry: maximum voltage 135 kV, maximum load 580 mA. Available in cases where it is appropriate to better demonstrate the anatomy. It is useful in deep injuries and has no interference with air or bone.

The biopsy with BAG allows to obtain tumor tissue for its molecular analysis, the BAG guided by CT plays an important role in the personalized treatments that are the basis of modern oncology. As previously stated, it is a minimally invasive procedure that allows tumor tissue cylinders to be obtained for molecular analysis, when suspicious lesions are detected. CT-guided BAG is a procedure that is performed under local anesthesia to minimize discomfort. The puncture is performed using a semiautomatic needle, obtaining the necessary material to be studied by the pathological anatomy service.9

It is important to take into account the anatomical repairs, it will be essential to recognize and detect the route of the intercostal, internal mammary, subclavian and axillary vessels.1,3,7 The intercostal vessels usually run along the lower border of the ribs. However, there is great variability in the tortuosity and course of the posterior intercostal artery. Below the scapula, at the paravertebral level, the posterior intercostal artery is usually located in the intercostal space to later lodge, laterally, under the upper rib.10

It does not require or warrants special prior preparation and is performed under local anesthesia, it is a procedure comfortable manageable and very well accepted, according to each particular case, it takes about 15 to 20 minutes and can be performed by the thoracic surgeon alone, guiding the image himself, combined with an imaging specialist or the imaging specialist alone. Whatever the modality, it is important to note that the medical professional who performs it must have the necessary training. This study method is part of the so-called percutaneous procedures since they are performed through small incisions through the skin of a couple of millimeters. Where its main indication is in solid lesions, areas of tissue with microcalcifications or in some cases complex or also called mixed.11

That is why, according to the type of needle used, there are basically two, cutting and cutting and vacuum; the automatic cutting needle (it is the one that is used preferably) is a needle connected to a handle (pistol) that acts through a spring mechanism, causing the core (internal part of the needle) to shoot first and in a second time (fractions of a second) the "sheath" is fired, which is the one that makes the cut and thus allows the cylinder of tissue to remain inside. For each tissue cylinder section that is required to be obtained, the procedure must be repeated.In the coaxial technique for BAG puncture, it has a low complication rate and is safe when performed by experienced interventional thoracic surgery specialists.12

It is a well-tolerated procedure that does not require suturing afterward, and usually antibiotics are not indicated, only a common analgesic in case of pain. As for the side effects of these procedures, they are low and very infrequent, and may be bruising or mild pain in the area of ​​the biopsy. IsThis is due to technological advances in imaging such as computed tomography and the lightweight and compact design of core needle biopsy devices.

However, other complications may occur such as perforation of the pleura (pneumothorax) or hemoptysis, which are usually very rare thanks to improved techniques and by guiding the image to the tumor mass to be taken for biopsy.At our institution, AGB biopsy of intrathoracic masses, whether pulmonary, mediastinal, or pleural, suspicious for malignancy, guided by tomography, is an important part of the diagnosis and treatment algorithm for our patients. Likewise, AGB can be performed using other imaging techniques (ultrasound, scanner, MRI, or fluoroscopy).The main drawbacks or limitations lie in the difficulty in obtaining an ideal aspirate and in its microscopic interpretation.13

The aim of this study is to describe our experience inthe thoracic surgery unit of the diagnostic use of computed tomography-guided core-needle thoracic transmural biopsy (BAG), emphasizing the current validity of diagnostic utility, due to its histological diagnostic accuracy and its safety in intrathoracic lesions of tumor appearance suspicious of malignancy, as part of the methods of action in the presence of images suspicious of malignancy.

Material and methods

Kind of investigation

This research consists of a studyprospective, descriptive, non-experimental cross-sectional study. That included all the intrathoracic biopsies performed with a 14G thick needle guided by computed tomography as part of the diagnostic methods of intrathoracic lesions performed between 2018 and 2022 in the imaging unit of the Pediatric Medical Center Clínica Zulia Maracaibo-Venezuela. The Pathological Anatomy registry of the private Immunopath unit was used as a data source. Inclusion criteria were considered patients with masses in the thoracic cavity, whether pulmonary, mediastinal and/or pleural, that had a tumorous appearance and were suspicious of malignancy.

Likewise, because it involves bioethical aspects with its principles, the research was carried out attentive to ethical-moral objections, as well as juridical-legal ones and also under the approach of current regulations (requirements of Good Clinical Practices -GCP-, provisions regulations and adherence to ethical principles originating in the Declaration of Helsinki).

Prior to the application of the procedure, the implications of the technique to be executed were explained to the patients, obtaining in writing the legitimately declared or informed medical consent of all the patients who participated in the investigation, adhering to the protocol of interventional procedures in the thoracic cavity. Likewise, they were guaranteed the total anonymity of their participation.

Data collection was made and a data collection sheet was used, basic demographics of the patients.

Patient selection

The population universe consisted of 100 biopsies obtained from patients who consulted for visible lesion on radiography and/or computed tomography.prior chest examination, for transmural percutaneous puncture with a 14 Gauge thick needle guided by computed tomography, for histological and even immunohistochemical diagnosis.

The instance for the inclusion of the patients, for the biopsy puncture guided by the tomographic technique, turned out, in our opinion, to be one of the most important stages in the planning of the procedure. As inclusion criteria there must be intimate or subpleural contact of the lesion with the wall of either the thoracic or mediastinal cavity itself.

A platelet count > 50,000 and INR < 1.5 were essential requirements to carry out the AGB.

Likewise, the exclusion criteria were those patients where the lesion was not peripheral and had no contact with the costal wall; those patients whowere under antiplatelet or anticoagulant treatment at the time of the procedure, or had been correctly suspended, as the case may be.

HE He proceeded to administer 1 mg of atropine intramuscularly as premedication, half an hour before the procedure, to avoid the vasovagal reflex when performing the biopsy puncture.

All lesions were evaluated with a prior tomographic study in conjunction with the radiologist in order to establish the effectiveness of the procedure, its advantages and disadvantages as a diagnostic procedure. The biopsies were carried out guided by a tomographic study without contrast with the patients in the approach position that varied according to the site of the lesion, which could be: prone, supine, right or left anterior oblique or lateral. In all cases, images of the region of interest to be punctured were obtained using a slice thickness of 5 mm, visualizing the lesions with pulmonary and mediastinal windows.

A Brillance 64 type MDCT-64 detector (Philips Healthcare) was used. During the procedure, a routine CT was performed, CT windows of 0 and 2800 HU (lung parenchyma and mediastinum/abdomen) were visualized, which allowed the simultaneous study of the location of the lesion, the great vessels, bones, muscles, fat and possible pneumothorax. Placement of a metallic grid, on the skin plane of the lesion area for its marking, later the puncture point was chosen. Cleaning of the puncture field using povidone-iodine solution (Betadine®) and placement of the field or fenestrated sterile drape. Infiltration of local anesthesia, in the measured path between the puncture point of the skin and the pleura, with 10 cc subcutaneous/intramuscular injectable solution of lidocaine,

Opening of the cutaneous puncture plane with a scalpel blade and advancement of the coaxial needle to the periphery of the lesion, in the direction calculated with the fine needle, an attempt is made to cross the pleura through a single point and in a rapid movement that avoids lacerations that can cause the patient's respiratory movements. Four biopsy samples are taken with the automatic gun, through the coaxial cannula, from the periphery of the lesion towards its center.

The core needle puncture technique. In our center we use a coaxial puncture technique, a 14-Gauge coaxial needle (BARD-MONOPTY) with a length of 15 cm and a firing advance of 22 mm with a biopsy gun with automatic firing. The coaxial technique allows stabilizing the needle, through of the costal wall, and collect several samples crossing the pleura in a single point. During the procedure, the external cannula of the needle was never left without the internal stylet mounted, to minimize the risk of causing a serious pulmonary embolism by puncture of a pulmonary venous branch. HEgotjanfour tissue cylindersbetween 0.4 x 0.1 cm and 0.7 x 0.1 cm in length and diameterofsamples in each case depending on the size of the lesion, quality of the tissue obtained and the conditions of the patient.

A control CT is performed after the puncture to evaluate the appearance of complications: perilesional pulmonary parenchymal bleeding, pneumothorax: if significant pneumothorax is visualized (more than 2 cm of separation between the anterior edge of the lung and the rib wall), CT is repeated chest after 3 minutes to assess if progress to decide the placement of a pleural drainage tube or otherwise if no progress and persist asymptomatic is discharged.

The samples are kept in a sterile container containing 20 cc of physiological solution to which 1 cc of 10% buffered formalin is added for fixation (neutral pH), which is supplied by the Immunopath Pathology Laboratory in an amount of 15 to 20 times the tissue volume to avoid tissue damage and histological changes. By completing the remission form, samples are sent to the Pathological Anatomy Service (Immunopath) on the same day of the procedure to ensure that the process is carried out quickly and to avoid damage due to inadequate fixation. It must be taken into account that the penetration of formaldehyde into the tissue is 1mm per hour. In the case of small biopsies, over fixation of the tissue should be avoided.

Statistic analysis

The survey data were expressed as absolute values ​​from the analysis of thenominal or categorical variables were expressed as a percentage and are presented in tables and graphs.

Results

In our study, a total of 100 core needle biopsies were included, including all intrathoracic lesions that presented: suspicion of malignancy (diagnosed by previous CT) with indication of core needle biopsy using coaxial puncture technique and guided by CT a total of 100 patients (60 men and 40 women; age range: between 20 and 80 years old, data collected between 2019 and 2023) (Table 1). Where 90% (60/100) were male and 40% (40/100) female (Figure 1)

Figure 1 Result according to the group by sex (n=100).

Age (years)

No

Percentage (%)

 20 – 29
30 – 39
40 – 49
50 and +

10
14
40
36

10.0
14.0
40.0
36.0

 Total

 100

 100.00

Table 1 Distribution of patients according to age group
Source: the author

In Table 2 shows the results according to the anatomical location of the lesion in the lung 85% (85/100) of which 55% (55/100) corresponded to the right lung, while 30% (30/100) corresponded to the left lung. 10% (10) corresponded to the anterior superior mediastinum and 5% (5/100) to the subpleural chest wall.

Location of the Injury

 No %

Lung

 85 85

Mediastinum

 10 10

Subpleural chest wall

 5 5

Total

 100 100.00

Table 2 Result according to the anatomical location of the lesion (n=100)

Regarding the anatomical location of the lesions in the thoracic region, 85% (80/100), 50% (50/100) were located in the right lung and 35% (35/100) in the left lung. 10% (10/100) in the anterior superior mediastinum. While 5% (5/100) in parietal pleura in the figure 2.

Figure 2 Result according to the location of the lesions intrathoracic (n=100)..

Regarding the sample obtained by the coaxial puncture technique and guided by CT for its histological analysis, in 100% (100/100) of the cases sufficient material was obtained for diagnosis.

Figure 3 shows the percentage of the different histopathological diagnoses, where 75% (75/100) corresponded to primary lung lesions in terms of histological and immunohistochemical diagnosis of the material from the biopsies of primary lung lesions; Adenocarcinoma 58.8% (50); Squamous or epidermoid carcinoma 23.5% (20), Adenocarcinoma with lepidic component 5.8%.5 While in lesions of metastatic origin 11.7% (10) cases.

Figure 3 Result histological and immunohistochemical diagnosis (n=100).

Regarding the histological and immunohistochemical diagnosis of the material from the biopsies of the anterior superior mediastinum, 10% corresponded to Hodgkin lymphoma and non-Hodgkin lymphoma.10 Finally, of the material from the biopsies of the subpleural lesions, all corresponded to extrapleural lipoma (benign) 5% (5), 3.3% (1) of the cases.

In Table 3 shows the indicators to evaluate the performance of the 14G core needle biopsy diagnostic test, it was possible to observe a It was possible to observe that the sensitivity was 96.9%, while the specificity was 100%. The same, the positive predictive value (PPV) of 100% Which indicates that the Global Validity Index (VG) was 97.5%.

Diagnostic Efficiency

Spot Value

Sensitivity

96.9

 Specificity

100

 PPV (%)

100

Global validity index (gv)

97.5

Table 3 Indicators to evaluate performance of the 14G core needle biopsy diagnostic test (n=100)

In figure 4, regarding the type of pathology reported, malignant type was the most common, with primary bronchogenic tumors and metastatic lesions being 95% the most frequent diagnoses. While the benign type pathology was 5%.

Figure 4 Result according to the location of the lesions intrathoracic (n=100).

During the procedure there were no complications, so the procedure was well tolerated in 100% of the cases. None of the patients required potentiated analgesia guided by an anesthesiologist or the need to resort to major analgesics to achieve acalmia during evolution.

Discussion

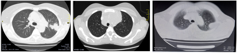
The percutaneous biopsy of Tumor-like lesions of the thoracic cavity under images have become an essential tool in cancer medicine for the study, staging, and therapeutic planning. Since the first report of the technique in 1976 there has been great progress in the development of biopsy instruments, as well as imaging equipment. Computed tomography (CT) is the modality of choice to guide percutaneous biopsy of central tumor-like lesions in the thoracic cavity or surrounded by aerated lung. However, throughout history its use included peripheral lesions with pleural contact (Image 1 - Image 2).

Image 1 Non-reusable automatic device for biopsy. (BARD-MONOPTY®).14 GAUGE.

Image 2 Tomograph used for the execution of the BAG.

Image 3 Chest CT images in soft tissue window. Image A. Prebiopsy of left pulmonary nodule. B. Prebiopsy of anterior superior mediastinal widening. C. Prebiopsy of left subpleural lesion.

Transthoracic percutaneous biopsy is a very simple and practical procedure for the diagnosis of diffuse conditions in this region; It is also useful for the histological and immunohistochemical study of localized processes with a peripheral location. The practice of transthoracic percutaneous biopsy was initiated by Menetrier14 and Krönig (1887), for the diagnosis of cancer, using aspiration through appropriate gauge needles.

The method was abandoned due to the risk of complications and the possibility of metastatic seeding in the puncture tract. With the advent of the semiautomatic or automatic pistol coaxial thick needle, intrathoracic biopsy acquired new validity, and for this reason, in 1954 Dutra and Geraci published three cases whose diagnosis was assured by means of this procedure. Since then, biopsy has become generalized and currently there are more than two thousand published cases. The intention in all cases was to obtain diagnostic tissue with minimal complications. However, complications such as air embolism is a rare complication, however, with a potentially fatal outcome. Avoiding injuring vessels and reducing the time in which the needle is without a stylet, during the intraprocedure, would be helpful. Likewise, tumor seeding in the path of the needle has an incidence of less than 0.1% and no definitive risk factors have been found for this.15

But this procedure had its relaunch when in 1976, Haaga et al.16 first used CT images as a guide for percutaneous lung biopsy. Currently, it is a technique implemented in medical practice both for lesions suspected of malignancy of the thoracic cavity (lung), the mediastinum, and subpleural lesions, which has led to a decrease in the use of surgical biopsy, either through the sky open or assisted by videothoracoscopy.

Percutaneous biopsy is indicated for pulmonary nodules or masses of undetermined origin, in patients with or without known oncological disease, particularly in a solitary nodule with suspicious morphology (lobulated contours) with growth in periodic controls.17

As a result of all of the above, transthoracic percutaneous biopsy with a core needle (14, 16 or 18G) has been established considerably as a routine procedure in clinical practice as part of the algorithms in diagnostic methods, which is why in the In recent decades, its importance has been highlighted in terms of its diagnostic supremacy, in comparison with fine needle aspiration puncture (FNA), since it allows an examination from the histological point of view of the tissue obtained. Likewise, in patients with pulmonary, mediastinal and/or subpleural lesions, especially of a tumor type, computed tomography-guided AGB or Tru-cut is a susceptible transparietal procedure technique with a high percentage of diagnosis and a tolerable morbidity rate.18

The transthoracic BAG, on the one hand, has aeffective perspective in expert hands, but, on the other hand, has important limitations in cases of very small nodules and ground glass lesions due to potential problems of obtaining inadequate samples and false negative results. However, despite all that has been previously stated, in those patients who present with a resectable pulmonary nodular mass, with high suspicion, evidence and probability of malignancy, with omission of surgical contraindications, the current most appropriate or convenient approach is conducting directly to surgical resection, since establishing a preoperative diagnosis will not alter the clinical management of the patient and the histological and immunohistochemical study of the resected sample, which is why it continues to be the "gold standard" to establish a decisive diagnosis.19

However, in those inoperable lesions (locally advanced tumor, incurable metastatic disease or clinical conditions of the patient) establishing a specific histological and immunohistochemical diagnosis in a non-invasive manner is essential in planning neoadjuvant and/or adjuvant palliative treatment. It is precisely in this subgroup of advanced and probably malignant lesions where computed tomography-guided transmural BAG biopsy has proven to be of great value in differentiating metastatic lesions from primary or primary extrathoracic bronchogenic tumors or metastatic disease.4-5

Likewise, it should be kept in mind that when choosing patients for the transparietal procedure with BAG, there are some conditional circumstances reported in the literature that can spoil its usefulness, among which are: (a). The size of the lesion which is an important factor, (b). Percentage of necrosis of the lesion, and (c) The level of depth of the lesion.6

Yeow et al.,20 in a series of 631 patients with lung lesions studied with percutaneous biopsy with AGB guided by computed tomography, demonstrated yields of 99% for malignant lesions and 86% for benign lesions, with better yields for larger lesions (<1.5 cm). 84% and 1.5-5 cm 96%). Butthe choice of the type of image to be used as a guide depends on the location of the lesion and the preference of the operator.

Likewise, in the investigation by Rojas et al.,4 in 200 biopsies with the BAG needle technique, in 193 (96.5%) cases, sufficient material was obtained for diagnosis. This could be biased when compared to our research; a greater number of biopsies, with the skill of the operator when taking the sample, among others.

In the research by Araujo-Cuauro14 the average age of the patients was 50.8 years, with a predominance of the male sex in 70% of the cases. 60% of the lung lesions were located in the right lung and 40% in the left lung. In 90% of the biopsies obtained, sufficient sample was obtained for histological study. The histological diagnosis of the biopsies performed reported that 67% were primary lung tumors; adenocarcinoma, squamous or epidermoid carcinoma, lepidic component adenocarcinoma, low-grade malignancy myxoid liposarcoma; while 33% of patients had a history of secondary tumors or metastatic disease.

In our researchthe age range: between 20 and 80 years, 90% predominantly male, The 75% corresponded to primary lung lesions in terms of histological and immunohistochemical diagnosis of the material from the biopsies of primary lung lesions; Adenocarcinoma 58.8%; Squamous or epidermoid carcinoma 23.5% Adenocarcinoma with lepidic component 5.8%. While in lesions of metastatic origin 11.7%. This is consistent with the research by Besa et al.,13 where primary bronchogenic tumors were the most frequent diagnosis in the series (97/153 = 63.3%), with adenocarcinoma being the most common histology followed by carcinoma of the series. squamous cells.

The malignant pathology reported was the most common, with primary bronchogenic tumors and metastatic lesions being the most frequent diagnoses in 95%. While the benign type pathology was 5%, data that agree with casuistry obtained bykiss and cabbage, in 150/153 biopsies suitable for histological analysis and considered diagnostic, where the final diagnosis of the lesion was malignant in 139/153 (90.8%) of the lesions. The overall performance of the technique was 91.5%.our research it could be observed that the sensitivity was 96.9%, while the specificity was 100%. The same, the positive predictive value (PPV) of 100% Which indicates that the Global Validity Index (VG) was 97.5%.

Regarding the complications of the procedure, although it is true that the BAG procedure is a safe technique, it is not without complications. In the case of lung biopsies, pneumothorax is the main complication described, ranging from 17 to 26%, in previous studies such as that of Moreland et al.21 a total of 2337 patients underwent lung biopsy; 543 developed pneumothorax (23.2%), 187 required chest tube placement (8.0%). Besa et al, the incidence of pneumothorax as a complication was observed in 21/153 patients (13.7%) and in 8/21 (38%) it was necessary to install a pleural drainage tube.

No hemothorax or major bleeding complications were reported. When analyzing the relationship between the distance of the lesion and the pleural surface (lesion depth) and the development of complications, it was shown that the lesions of patients with pneumothorax had a significantly greater average depth (with pneumothorax 14.1 ± 13.6 mm and without pneumothorax 7.5 ±11.7 mm, p = 0.002). We did not find a relationship between the maximum diameter of the lesion and the rate of pneumothorax.

But despite what has been narrated before, it must be taken into account that when performing this procedure it must be borne in mind that there may be a series of factors that may influence the incidence of post-puncture pneumothorax, such as the presence of bullae, the no intimate contact of the mass with the costal wall, the duration of the procedure and the number of samples obtained.

In our series there were no complications inherent to the procedure, this can be explained and is due to careful planning, in the selection and inclusion of patients, where the sine qua non condition was the necessary intimate subpleural contact of the lung mass with the wall. If this was not the case, the technique and the needle used as the thick 14 Gauge needle, fired by an automatic device, were excluded for biopsy, as well as the low percentage of patients with lesions smaller than 20 mm.

To these elements, it is necessary to refer to some measures that can be adopted to increase the performance of coxial lung transparietal biopsy in obtaining a specific diagnosis: obtaining several cylinders of tissue in different places of the tumor, analysis by a pathologist trained in tissue obtained by core needle or Tru-cut and if the biopsied tissue is not optimal, then it is prudent to repeat the procedure again. In our study group, none of the patients needed to undergo a new attempt at a transparietal BAG biopsy.

Conclusion

Computed tomography is a good alternative as a guide for core needle or Tru-cut transmural biopsy in selected patients, with high diagnostic credibility of intrathoracic mass lesions, it is a safe and accurate method due to its non-invasive nature, low rate of complications and lower cost to make a histopathological and even immunohistochemical diagnosis. Therefore, it should be integrated as part of the diagnostic procedures.

Core needle percutaneous biopsy of the thorax presents greater sensitivity and a lower percentage of false negatives for the diagnosis of malignant and/or benign intrathoracic mass lesions. Image-guided AGB is a safe technique that allows obtaining a specific histological diagnosis and avoids invasive procedures that increase morbidity and mortality. It requires the evaluation of a multidisciplinary team and qualified medical personnel to carry out the procedure and manage possible complications.

Acknowledgments

None.

Conflicts of interest

The author declares that he has no conflict of interest during the development and results of the research.

References

  1. Lee KH, Lim KY, Suh YJ, et al. diagnostic accuracy of percutaneous transthoracic needle lung biopsies: a multicenter study. Korean J Radiol. 2019;20(8):1300–1310.
  2. Hong W, Yoon SH, Goo JM, et al. Cone–Beam CT–guided percutaneous transthoracic needle lung biopsy of juxtaphrenic lesions: diagnostic accuracy and complications. Korean J Radiol. 2021;22(7):1203–1212.
  3. Capalbo E, Peli M, Lovisatti M, et al. Trans–thoracic biopsy of lung lesions: FNAB or CNB? Our experience and review of the literature. Radiol Med. 2014;119(8):572–594.
  4. Marin R, Enrique C. Garcia L, et al. Percutaneous lung biopsy with Tru–cut ®: results in 200 cases. Mexican Gazette of Oncology. 2013;12(5):299–377.
  5. Shin YJ, Yun G, Yoon SH, et al. Accuracy and complications of percutaneous transthoracic needle lung biopsy for the diagnosis of malignancy in patients with idiopathic pulmonary fibrosis. Eur Radiol. 2021;31(12):9000–9011.
  6. Zhu J, Wang X, Qu Y, et al. CT–guided core needle biopsy of the lung in patients with primary malignancy suspected of lung metastasis: 5–year experience from a single institution. Diagnostic Interv Radiol. 2021;27(4):534–541.
  7. Heerink WJ, de Bock GH, de Jonge GJ, et al. Complication rates of CT guided transthoracic lung biopsy: meta–analysis. Eur Radiol. 2017;27(1):138–148.
  8. Galluzzo A, Genova C, Dioguardi S, et al. Current role of computed tomography–guided transthoracic needle biopsy of metastatic lung lesions. Future Oncol. 2015;11(2 Suppl):43–46.
  9. Lalji UC, Wildberger JE, Zur Hausen A, et al. CT–Guided Percutaneous Transthoracic Needle Biopsies Using 10G Large–Core Needles: Initial Experience. Cardiovasc Intervent Radiol. 2015;38(6):1603–1610.
  10. Zeng L, Liao H, Ren F, et al. Pneumothorax induced by computed tomography guided transthoracic needle biopsy: a review for the clinician. Int J Gen Med. 2021;14:1013–1022.
  11. Kuban JD, Tam AL, Huang SY, et al. The effect of needle gauge on the risk of pneumothorax and chest tube placement after percutaneous computed tomographic (CT)–guided lung biopsy. Cardiovasc Intervent Radiol. 2015;38(6):1595–602.
  12. Peng B, Deng Z, Wang Y, et al. The risk of immediate pneumothorax after CT–guided lung needle biopsy: pleural tail sign as a novel factor. Quant Imaging Med Surg. 2023;13(2):707–719.
  13. Beslic S, Zukic F, Milisic S. Percutaneous transthoracic CT guided biopsies of lung lesions; fine needle aspiration biopsy versus core biopsy. Radiol Oncol. 2012 Mar;46(1):19–22.
  14. Cuauro A. Carlos A. Transparietal puncture of intrathoracic pulmonary masses with core or tru–cut needle guided by computed tomography as part of the diagnostic algorithm: a descriptive study. Biosalud. 2019;18(1):35.
  15. Menetrier P. Cancer primitif du poumon. Bull Soc Anat (Paris). 1886;4:643.
  16. Li Y, Yang F, Huang YY, et al. Comparison between computed tomography–guided core and fine needle lung biopsy: A meta–analysis. Medicine (Baltimore). 2022;4;101(9):e29016.
  17. J R Haaga, R J Alfidi, M G Zelch, et al.  Computed tomography of the páncreas. Radiology. 1976;120(3):589–595.
  18. Cecilia K, Alvaro S, Pablo B, et al. Usefulness of computed tomography (CT)–guided core percutaneous biopsy in lung lesions: 7–year experience. Rev Méd Chili. 2013;141(4):449–456.
  19. Ocak S, Duplaquet F, Jamart J, et al. Diagnostic Accuracy and Safety of CT–Guided Percutaneous Transthoracic Needle Biopsies: 14–Gauge versus 22–Gauge Needles. J Vasc Interv Radiol. 2016;27(5):674–681.
  20. Yeow KM, Tsay PK, Cheung YC, et al. Factors affecting diagnostic accuracy of CT–guided coaxial cutting needle lung biopsy: Retrospective analysis of 631 procedures. J Vasc Interv Radiol. 2003;14:581–588.
  21. Moreland A, Novogrodsky E, Brody L, et al. Pneumothorax with prolonged chest tube requirement after CT–guided percutaneous lung biopsy: incidence and risk factors. Eur Radiol. 2016;26(10):3483–3491.
Creative Commons Attribution License

©2023 Araujo-Cuauro. This is an open access article distributed under the terms of the, which permits unrestricted use, distribution, and build upon your work non-commercially.