Submit manuscript...
International Journal of
eISSN: 2574-8084

Radiology & Radiation Therapy

Research Article Volume 9 Issue 3

Fourth wave of COVID-19 and CT imaging

Sadia Imtiaz,1 Shehzad Khan,2 Salma Liaqat,3 Shah Babar,4 Sanya Hadi,5 Anam Hadi6

1Assistant Professor Radiology, Saidu Teaching Hospital, India
2District Radiologist, Saidu Teaching hospital, India
3Senior Registrar, Saidu Teaching hospital, India
4Consultant Cardiolgy, Saidu Teaching hospital, India
5Lecturer Anatomy, Saidu Medical College, India
6Resident Gynecology, Saidu Teaching Hospital, India

Correspondence: Shehzad Khan, District Radiologist, Saidu Teaching hospital, India

Received: July 18, 2022 | Published: August 17, 2022

Citation: Imtiaz S, Khan S, Liaqat S, et al. Fourth wave of COVID-19 and CT imaging. Int J Radiol Radiat Ther. 2022;9(3):93-97. DOI: 10.15406/ijrrt.2022.09.00330

Download PDF

Abstract

The purpose of current study is to evaluate findings of COVID fourth wave through Computed Tomography (CT) Imaging in Malakand division of Pakistan.

Thus, to obtain the research findings, the study adopted experimental approach to evaluate how the CT scan facilitates the radiologists to study about fourth wave of COVID-19, and how the experiment can be implemented in Malakand, Pakistan. The patients with COVID-19 positive were involved in the study, where the results of their CT scan were analyzed to evaluate the difference in examination and other factors associated with COVID symptoms. Total 50 patients with COVID positive were involved in the study from Malakand division of Pakistan, and their CT imaging was performed in a well-known hospital of Swat.

The findings were then analyzed through CT Images, which showed that approximately, 81% of the participant’s images were found with patchy ground-glass opacities, whereas 69% patients were found with patchy consolidations. Also, 31% patients had nodules found in CT imaging. Also, in 52% patients, the interlobular septal thickness was also observed, which had thickened the vascular, air bronchogram, or fibrous foci.

Further conclusions were drawn on the effectiveness of the CT scan images in prediction of COVID impact on the patients in future.

Introduction

The world has been facing pandemics in different eras, however SARS-CoV-2 pandemic spread its threat and damage throughout the globe. It caused more than 1.6 million deaths worldwide, as per the statistics records of 2020.1 Though the countries tried to curb the disease with their advanced healthcare resources, but still the pandemic hit the world so hard. It infects the individual’s airway and epithelial cells with consequences of no or few symptoms to acute respiratory distress. The consequences, in some cases, also became so severe that it caused death of the patients. This SARS-CoV-2 pandemic is also known as COVID-19 pneumonia,2 which is characterized by ground-glass opacities at chest radiography. Sometimes, these opacities are depictable, whereas in some cases the infection is not depictable at radiographic results. Therefore, it was advised by the European Society of Radiology to use CT scan in the patients with developing pandemic symptoms.3

The detection procedures vary throughout the world, and so the use of CT scanning for the CARS-Cov-2 pandemic are also different around the world. In China, the radiologists had preferred the scanning through CT procedures because they found it as 97% sensitive screening method than any other medical way.4 On the contrary, the American College of Radiologists did not find CT as an effective way of detecting COVID, and found the results overlapped with other infections.5 In Northern Italy, the radiologists preferred to use CT scanning for the detection of Covid’s impact and help patient triage by discarding from COVID protocol.6 Thus, overall, most of the countries thought CT scanning as the major tool to help the patients with COVID-19 and found it helpful in dealing with pandemic associated diagnostic patterns. Pakistan is also one of these countries which preferred the use of CT scanning for the diagnostics procedures, as well as for the infectious detection associated with COVID-19. Thus, the current study will also analyze the role of CT imaging in Covid associated diagnostic patterns and treatments.

Purpose statement

The world has faced great loss due to COVID-19. It caused great destructions; not only by harming human heath wise, but also financially and socially. People witnessed deaths of their loved ones and experienced hopelessness that has left deep scars on their memories. Though the scientists worked hard and invented vaccinations to curb the impacts of pandemic and control its spread, but still the new waves are hitting the regions harder than before.2 Many people have got vaccinated, but still new waves are spreading coronavirus infections among the population. Recently, the fourth wave of COVID-19 has again showed a rapid rise in cases and hospitalization of the patients in different countries, including the United States, China, and even in Pakistan. Especially, the number of hospitalized individuals has shown continuous rise in the Malakand division of Pakistan. Many people are being admitted to hospitals due to respiratory challenges associated with COVID-19.3 Thus, the researchers and the doctors are using different diagnostic patterns, as well as treatment measures, to curb the spreading pandemic and overcome the “fourth wave” of COVID-19. As the radiologists consider CT scanning as the best and helpful diagnostic pattern in case of COVID, so the current study will evaluate CT imaging findings of Covid fourth wave in Malakand division of Pakistan.

Research objectives

The purpose of current study is to evaluate findings of COVID fourth wave through Computed Tomography (CT) Imaging in Malakand division of Pakistan. Thus, the main objective of the study is;

- To analyze role of computed tomography in analyzing the COVID associated findings.

- To examine the results of COVID scans through CT.

- To evaluate the findings of CT imaging for the COVID fourth layer in people of Malakand division, Pakistan.

Research significance

As the COVID-19 has left worst impact on lives, therefore it is crucial to analyze and examine its associated findings. Thus, the current study aims to evaluate findings of COVID fourth wave through Computed Tomography (CT) Imaging in Malakand division of Pakistan. These findings will be of great significance to better understand the differences of COVID virus when compared to previous waves. Further, investigation can help the researchers to further analyze which treatment can better help the COVID patients in their effective recovery, and what measures can be taken to control the spread of fourth wave.

Literature background

The purpose of current study is to evaluate findings of COVID fourth wave through Computed Tomography (CT) Imaging in Malakand division of Pakistan. Due to increasing importance of the topic, a lot of researchers have published associated material. Thus, this section of the study will review the published literature to develop a theoretical base of the study and analyze what further advancements can be done in research to evaluate findings of COVID through CT.

Nania7 published an article to highlight how the fourth wave of COVID is showing a rapid rise in affected people. The study specifically focused on the study of individuals from the United States. The author highlighted that with the passage of time, people have got vaccinated with the hopes to get rid of pandemic. However, despite of being vaccinated, the people are beign affected by the latest waves of COVID, which is not only spreading stress amongst public but also is alarming for the researchers. Though vaccines have proved to be highly effected in prevention to the COVID-19, but still millions of people are being affected. This shows that the disease is continuously evolving and bringing more changes in infections to harm the affected people. This is not only increasing number of hospitalized people in the United States, but also is raising the death ratio amongst affected people. The situation is becoming alarming with time, as around 4,000 people died due to third wave despite of being vaccinated. This means that there are estimated 700 deaths daily in the United States, which indicates the need to further investigate regarding COVID-19 and bring some improvements in vaccination and treatment procedures.7

Zhang & Lin5 has also highlighted the need to further investigate COVID associated diagnostic and treatment patterns. The study highlighted that comuted tomography (CT) is considered to be most effective method to investigate regarding SARS-CoV-2 pandemic spread; its threat and damage throughout the globe. However, mixed responses have been received regarding effectiveness of the CT in investigation of COVID-19. Some of the developed countries have preferred CT scanning for investigation of COVID associated findings, whereas the United States have shown different perspectives. The American College of Radiologists investigated the COVID symptoms and associated treatments through CT diagnostic pattern, but they found mixed opinion of the radiologists regarding its results. Some of the radiologists were not satisfied with the outcomes, as the results show specific infectious details; rather the results were overlapped with other infections.5 Therefore, the American radiologists did not find it as effective method to research regarding COVID-19. However, it does not mean that CT is not an effective tool; rather still radiologists are searching for the measures that can be taken to increase effectiveness of CT findings regarding COVID.

Ahmad & Shahzad (2022) aims to estimate the population prevalence of antibodies of SARS Cov-2 and associated risk fectors to the Covid infection. The study conducted quantitative research methodology, in which the population was investigated at the level of households. All ages and gender were included in the study to evaluate how the COVID has affected people of different ages and genders, and what measures can be helpful to treat the pandemic in Pakistan. The study firstly investigated the seroprevalence population with specific age, whereas secondly the data was collected from the COVID infected group. The purpose was to investigate impact of COVID on the population and prevalence of getting affected. The findings revealed the seroprevalence as 7.1%, out of which 6.3% individual were IgG positive, whereas 1.9% individuals were IgM positive. Also the prevalence of gettign affected was higher in the people with old age, whereas seroprevalence was found to be 3.9% in children. This confirmed that the contact with confirmed COVID affected patients increase prevalence of SARS-CoV-2 among the urban residence and therefore it is crucial to take preventive measures, such as wearing masks and keeping social distance with each other. Further, advanced diagnostic patterns can be helpful to detect the disease at early stage and prevent its spread to other people.6

Thus, the literature analysis has revealed that SARS-CoV-2 pandemic, which is also known as COVID-19 pneumonia, is characterized by ground-glass opacities at chest radiography. Sometimes, these opacities are depictable, whereas in some cases the infection is not depictable at radiographic results. Therefore, it was advised by the European Society of Radiology to use advanced scanning procedures in the patients with developing pandemic symptoms. Thus, the current study will analyze the role of CT imaging in Covid associated diagnostic patterns and treatments.

Research methodology

The purpose of current study is to evaluate findings of COVID fourth wave through Computed Tomography (CT) Imaging in Malakand division of Pakistan. To attain the findings, two type of methodologies can be adapted; qualitative and quantitative. The qualitative methodology is based on the review of already published literature to test hypothesis of the study. On the contrary, the quantitative research methodology is statistical analysis of findings through survey, experiments, or polls. As the current study is an experimental investigation process, thus it followed quantitative research methods. The study adapted experimental approach to evaluate how the CT scan facilitates the radiologists to study about fourth wave of COVID-19, and how the experiment can be implemented in Malakand division, Pakistan.

Research design

The study followed the quantitative experimental methodology to evaluate how the CT scan can be helpful to further investigate regarding COVID-19. Thus, the patients with COVID-19 positive were involved in the study, where the results of their CT scan were analyzed to evaluate the difference in examination and other factors associated with COVID symptoms. During the research process, the patients with COVID positive were sent informed consent at Saidu Teaching Hospital, where people from different regions of Malakand division come for their treatment. In the consent they were informed regarding the purpose and significance of the study. After, their positive response and with the permission of hospital management, the CT scan results were analyzed to evaluate how this scanning method can be effective to study fourth wave of COVID-19. The findings were then recorded in separate document, and were analyzed to obtain research objectives.

Sample size

The study aims to investigate the fourth wave of COVID 19 through CT scan results, and thus it involved the people of Malakand division, Pakistan only. The patients belonged to different regions of Malakand, and were getting their treatment in Saidu Teaching hospital swat. Total 50 patients were included in the study, whereas secondary data was used from the already published literature and old available record at hospital. The participants belonged to age group from 18 to 40, whereas both genders were involved in the study.

Precautionary measures and procedure

During the research process, every patient was requested to wear mask during CT examination. Disposable bedsheets were used during each examination to avoid any transfer of germs from one patient to other. Moreover, the patients were encouraged to sanitize their hands to avoid any transmission of COVID virus. After all precautionary measures, the CT Scan was performed using 64slice Toshiba Machine, The scan parameters were adjusted as;

- Default tube voltage.

- Thickness ranges from 2 to 5mm.

- Layer spacing ranges from 2mm to 5mm.

- Automatic tube current adjustment.

After the complete settings, the scan was performed covering the area from thoracic inlet to the costophrenic angle of the patient. The images were obtained to evaluate how fourth wave of COVID has affected the patients. Further their symptom associated details were recorded to test the impact of COVID on patient’s lungs. The lung window of the patient was also examined through high-resolution algorithm at 1mm. After complete investigation, the entire system was proper disinfected and next patient was requested to wait for 20 min to avoid any direct contact to the virus of first patient. The findings were analyzed and recorded for later analysis of the study.

Analysis

After taking imaging of the patient, the data was recorded in a separate file, whereas confidentiality was kept at priority. No data of the patient was shared with any other student for biased purpose, and the entire data was destroyed after analyzing the results for the research analysis. No information of the patient was taken without their permission, and was not shared with any outsider. The purpose of the study was only kept to bring positivity in the society and help the radiologist in their investigation of COVID associated findings. The next section of the study discusses the findings in details.

Research findings and results

COVID has left worst impact on the healthcare industry worldwide, as its new waves are again causing great damage to human health, and becoming a great threat to human life. It caused more than 1.6 million deaths worldwide, as per the statistics records of 2020.7 Though the countries tried to curb the disease with their advanced healthcare resources, but still the pandemic hit the world so hard. It infects the individual’s airway and epithelial cells with consequences of no or few symptoms to acute respiratory distress. The consequences, in some cases, also became so severe that it caused death of the patients.8 Therefore, it was advised by the European Society of Radiology to use CT scan in the patients with developing pandemic symptoms.3 Also many of the countries, such as China, Italy, and Pakistan are using CT scanning to investigate regarding COVID symptoms and its impact on human lungs or respiratory system.8 In Northern Italy, the radiologists preferred to use CT scanning for the detection of Covid’s impact and help patient triage by discarding from COVID protocol. Thus, the current study analyzed the role of CT imaging in Covid associated diagnostic patterns and treatments.

Total 50 patients with COVID positive were involved in the study from Malakand division of Pakistan, and their CT imaging was performed in Saidu Teaching Hospital. The findings were then analyzed through CT Images (Table 1).

Follow-up results(n)

Initial chest CT findings

Patients

Absorb (25)

Ground-glass opacities
Consolidation
Ground-glass opacities and consolidation
Ground-glass opacities and nodule
Consolidation and nodule
Both of all

2(8%)
1(4%)
17(68%)
1(4%)
1(4%)
3(12%)

Stable (25)

Ground-glass opacities
Nodule
Ground-glass opacities and consolidation
Consolidation and nodule
Both of all

3(12%)
2(8%)
13(52%)
4(6%)
3(12%)

Table 1 Patients record with CT Scan results

Covid-19 started as interstitial pneumonia and then affected human lungs gradually. A wide variety of CT findings have been discussed in this section to highlight how COVID differs in different stages, and how it effects the human lungs. The findings discuss the details regarding different stages and sensitivity level of the COVID. Thus, the study is of great significance, as it highlights how CT Imaging can be helpful to predict impact of COVID on human lungs, as well as measures its sensitivity. Approximately, 81% of the participant’s images were found with patchy ground-glass opacities, whereas 69% patients were found with patchy consolidations. Also, 31% patients had nodules found in CT imaging. Also, in 52% patients, the interlobular septal thickness was also observed, which had thickened the vascular, air bronchogram, or fibrous foci.

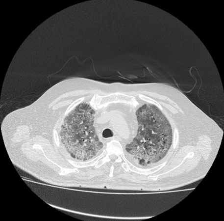
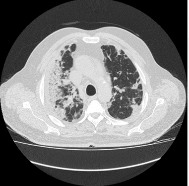
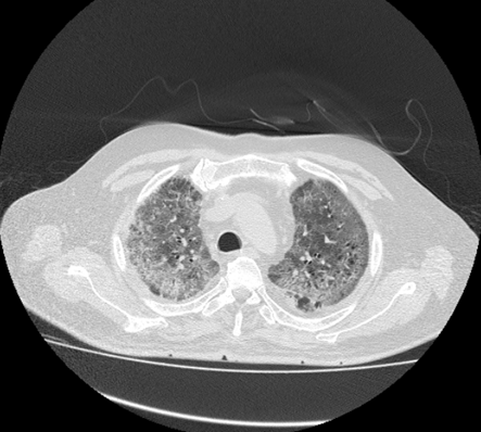
This image of the patient is with ground-glass opacities with the symptoms of milk short breath and fever. The figure 1 shows the day 1 imaging, in which the septal thickness is mild, as the symptoms grow to day 3, the thickness in found to be higher in the lungs of the patient, whereas a rise in ground-glass opacities is also observed.

Figure 1 Day 1 CT imaging.

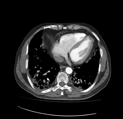
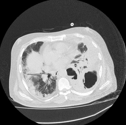
In most of the patients with COVID pneumonia, the tomographic findings show ground-glass opacity (GGO). In almost all the CT images of COVID patients, the GGO is prominent, which reflects that it is almost present in all samples and thus reflects the presence of COVID, and probability reflects the early stage. (Figure 2)

Figure 2 Spatial Thickness found in CT Image 2.

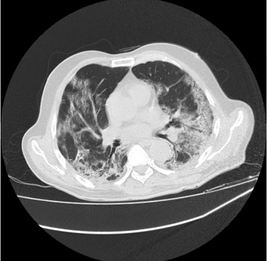
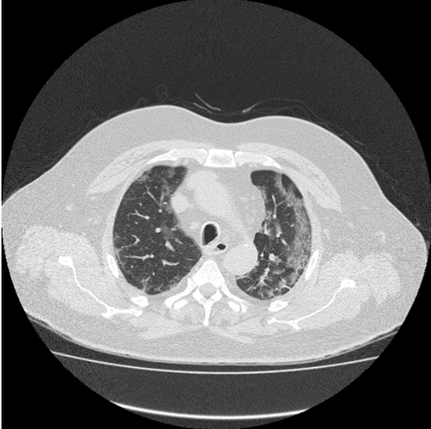
The image reflects the Covid pulmonary consolidation which tends to be patchy or segmental and nodular. It reflects the sensitive stage of the patient, especially when around 10-12 days have passed. Initially, the appearance of GGO reflects early stage of COVID, but as it develops, it continues increasing pulmonary consolidation and air bronchogram in lungs. (Figure 3)

Figure 3 CT image reflecting COVID pulmonary consolidation.

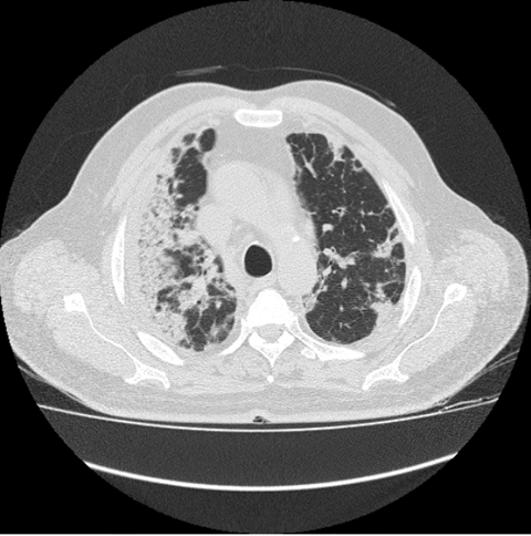
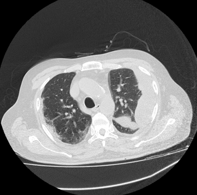
The above image also reflects the presence of ground-glass opacity along with air bronchogram which increases difficulty of breathing to the patient. This stage reflects the presence of pulmonary consolidation in patient’s lungs, which may proceed if immediate treatment is not provided to the patient. The increase in this consolidation means difficulty in breathing, which also show some symptoms like fever, fatigue, and severe cough. (Figure 4)

Figure 4 CT Imaging reflecting presence of Air Bronchogram.

Reticulation as linear consolidation or intralobular density in lungs also reflect the clinical progression of disease in patient's lungs. After GGO and air bronchogram, the presence of reticulation is third most common sign in the patients of COVID-19. It is especially present in the CT images of the patients, which show increasing sensitivity of COVID with time. (Figure 5)

Figure 5 COVID Progression in lungs.

The figure shows rapid increase in the GGO as well as air bronchograms, which shows that with the time COVID is leaving worst impact on the patient’s lungs and thus leading to crazy paving symptoms. This sign is alarming and shows that COVID is going to affect the breathing activities in worst way, if not treated on time. (Figure 6)

Figure 6 Increasing GGO with COVID progression.

This image also reflects the crazy paving sign, which is showing rapid and high rise in disease progression. The crazy paving sign represent the increasing thickness of GGO, along with air bronchogram which makes it difficult for the patient to breath smoothly. Left also shows few cavitatory lesions. (Figure 7)

Figure 7 Crazy Paving Sign of COVID-19.

Presence of Nodules is another sign of COVID-19, which indicates that patient is proceeding towards build up of air bronchogram which may proceed with time. This is the situation under which the patient may experience different signs of COVID-19, such as fever and fatigue. It may further proceed towards spider web signs of the COVID-19, which is alarming stage of the disease. (Figure 8)

Figure 8 Presence of nodules in COVID patient's CT Imaging.

Spider web sign represents the triangular area of GGO, which spreads in the entire lungs and affect its breathing activities. The spider web increases the thickness of GGO due to which the patient finds it hardest to breathe. It reflects that the patient is at serious stage. (Figure 9)

Figure 9 Spider web sign and alarming stage of COVID.

Along with Spider web sign, some patients also show Fibrosis signs, which reflects the severity of COVID-19 among patients. Along with spider web and fibrosis sign, the vascular enlargement is also observed in the patient’s CT images, which indicates the dilation of small vessels in the lungs, which gradually becomes alarming with time. However, as far as vascular enlargement is concerned, it is often observed at early stage of COVID too, but with minor dilation in vessels.

These findings reflect that CT plays a pivotal role in diagnosis and management of COVID-19. The findings reveal that presence of Ground Glass Inflammation is the early symptom of COVID-19, which gradually increases its thickness and leads to air bronchogram. Furthermore, the progress in disease increases the consolidation in lungs, as well as create nodules. With time the impact and thickness of GGO increases which can be predicted with presence of spider web signs and fibrosis. Thus, the CT imaging is helpful in early detection of COVID-19, and prediction of its stages and impact on patient's lungs. However, this does not reduce the importance of PCR in early diagnosis of COVID-19, and thus RT-PCR is still recommended for the detection of COVID-19 pneumonia. However, CT imaging can be used with PCR as screening tool to determine the effect of COVID on human lungs, as well as its stage.

Discussion

The findings of the study have clearly revealed that CT scanning is a helpful diagnostic tool to help radiologists in evaluation of the condition of patient.6 It clearly reflects the septal thickness and other symptoms of the COVID, which may lead to severe issues to the patients. The findings also revealed that the patients with old age are found to be at risk of higher development of septal thickness.2 Which means that the patients with old age need extra care when showing early symptoms of COVID, whereas young people have higher immunity and so they respond to the symptoms in stronger way.3 However, when it comes to the SARS and MERS category, then the CT scanning cannot show highly effective results. SARS category represents as single lesion involving unilateral lung, whereas MERS category reflects the high mortality.9 This means that the CT scan results cannot help the radiologist to depict the severity of the patient’s condition, as sometimes even mild presence of septal thickness may cause patient’s death within days.7 Thus, it is difficult to distinguish the SARS and MERS category of patients with fourth wave of COVID-19 via CT Scan results.

Conclusion

The current study aimed to analyze the role of CT imaging in Covid associated diagnostic patterns and treatments. The research is of great significance to better understand the differences of COVID virus when compared to previous waves. Further, investigation can help the researchers to further analyze which treatment can better help the COVID patients in their effective recovery, and what measures can be taken to control the spread of fourth wave.

Further, to obtain the research findings, the study adapted experimental approach to evaluate how the CT scan facilitates the radiologists to study about fourth wave of COVID-19, and how the experiment can be implemented in Malakand division, Pakistan. The findings also revealed that the patients with old age are found to be at risk of higher development of septal thickness. Which means that the patients with old age need extra care when showing early symptoms of COVID, whereas young people have higher immunity and so they respond to the symptoms in stronger way. However, when it comes to the SARS and MERS category, then the CT scanning cannot show highly effective results. SARS category represents as single lesion involving unilateral lung, whereas MERS category reflects the high mortality. Thus, overall, the results of CT scan are helpful to study the impact of COVID on patients’ lungs, but it is difficult to distinguish the SARS and MERS category of patients with fourth wave of COVID-19 via CT Scan results.

Conflicts of interest

All authors declare that there is no conflicts of interest.

Acknowledgments

None.

References

Creative Commons Attribution License

©2022 Imtiaz, et al. This is an open access article distributed under the terms of the, which permits unrestricted use, distribution, and build upon your work non-commercially.