Submit manuscript...
International Journal of
eISSN: 2574-8084

Radiology & Radiation Therapy

Research Article Volume 4 Issue 4

Image guided central venous line and port insertion

Pankaj Sharma,1 Sheo Kumar2

1Department of Radiodiagnosis, Delhi State Cancer Institute, India
2Department of Radiodiagnosis, Sanjay Gandhi Post Graduate Institute of Medical Sciences, India

Correspondence: Pankaj Sharma, Department of Radiodiagnosis, Delhi State Cancer Institute, B 78, Sector 23, NOIDA, Uttar Pradesh 201301, India, Tel 91- 9910661497

Received: January 26, 2017 | Published: November 2, 2017

Citation: Sharma P, Kumar S. Image guided central venous line and port insertion. Int J Radiol Radiat Ther. 2017;4(4):400-403. DOI: 10.15406/ijrrt.2017.04.00103

Download PDF

Abstract

Image Guided placement of lines and ports by Interventional Radiologist has increased dramatically over last decade and has advantage of precise positioning of the catheter tip and have less chance of complications, like pneumothorax and arterial puncture. These lines and ports are used for infusion of antibiotics, chemotherapeutic drugs and administration of blood products, hyperalimentation, dialysis and aphaeresis. PICC are long intravenous lines inserted under ultrasound guidance in basilic vein or brachial vein. The advantage of inserting under image guidance is that PICC can be inserted through mid-arm vein and elbow joint is free for movement. Some IR is these days placing tunnelled PICC for securing these PICC and to decrease change of infection at exit site. The inner end of these PICC is generally at cavoatrial junction. Power PICC have recently been approved for use in India and these PICC can be used with pressure injector with flow rate up to 5ml/sec and pressure up to 300Psi.

Non-tunnelled CVC are indicated for short term use and these CVC are generally inserted into jugular vein. Non-tunnelled CVC insertion is generally done as bed side procedure and that too in quick time. But, non-tunnelled CVC have high chance of infection and are dislodged easily. Tunnelled CVC are inserted under image guidance into large vein (jugular vein) and then this catheter travel through a subcutaneous tunnel before exiting the skin. These catheters have dacron cuff embedded on the shaft and it is believed that these dacron cuff incite a fibrotic reaction that ultimately secures the catheter in place and decrease spread of infection from skin exit site to the circulation. Tunnelled Hickman Catheters are generally dual lumen devices and generally used for aphaeresis. Tunnelled Hemodialysis catheters are generally 14.5Fr dual lumen devices with length varying from 19cm to 28cm and these catheters are capable of handling high flow rate (500 to 600ml/min).

Ports are made of titanium and plastic and this part have two parts: a) a silicone or polyurethane catheter and this catheter are generally connected to a b) reservoir. These reservoirs are accessed by special non-coring Hubner needle through the skin and a silicon window. These Ports are available in single or double lumen configuration and entire port is buried in the subcutaneous tissue of the chest or arm or even the thigh or abdomen. Recently, Power Port has been approved for use in India and these Power Port are triangular in shape and can be used with Pressure Injector. The selection of most appropriate catheter in an individual case is made jointly by the referring physician, IR and the patient. The choice of which access device to choose is a collaborative process and this decision needs to be made judiciously. Care and maintenance of these catheters and ports is important, so that this access device can be used for long time.

Keywords: tunnelled, hemodialysis, chemotherapy

Abbreviations

PICC, peripherally inserted central venous catheter; CVC, central venous catheter; BSI, blood stream infections

Peripherally inserted central venous catheter (PICC)

PICC Catheters are made of silicone or polyurethane based material and these PICC can be single lumen, double lumen or triple lumen. PICC are generally long intravenous lines inserted under ultrasound guidance in basilica vein or brachial vein. These PICC are available in sizes from 3 to 7Fr. Rarely PICC are inserted through axillary vein or cephalic vein. It is helpful to place a tourniquet around the upper arm to distend the vein before puncture. The advantage of inserting PICC under image guidance is that PICC can be inserted through mid-arm vein and elbow joint is free for movement. Some IR are these days placing tunnelled PICC for securing these PICC and to decrease change of infection at exit site. The inner end of these PICC is generally at cavoatrial junction. However, it is now standard practice to position the catheter tip in the upper to mid right atrium with the patents supine.2 PICC can be open ended or closed ended (Table 1). Open ended PICC have end hole. Whereas, closed ended PICC have Groshong side valve. Groshong valve allows fluid injection and blood aspiration, but prevents air or blood from entering the catheter, when these catheters are not in use. Groshong tip catheter are usually blue and don’t require clamping or heparin flush. Power PICC have recently been approved for use in India and these PICC can be used with pressure injector with flow rate up to 5ml/sec and pressure up to 300 Psi (Figure 1) (Figure 2).

Sl. No

Type of VAD

Dwell Time

1

Conventional peripheral cannula

48-72 Hrs

2

Non-tunnelled CVC

<3 weeks

3

PICC line

3-6 months

4

Tunnelled Catheter

6 weeks-one year

5

Port

>one year

Table 1 Types of Venous Access Devices (VAD)

Figure 1 Open ended single lumen PICC with peel-off sheath and dilator

Figure 2 Single lumen Power PICC with peel-off sheath and dilator

Non tunnelled central venous catheter (CVC)

Non-tunnelled CVC are indicated for short term use and these CVC are generally inserted into jugular vein. Non-tunnelled CVC insertion is generally done as bed side procedure and that too in quick time. But, non-tunnelled CVC have high chance of infection and are dislodged easily. Non-tunnelled CVC are generally done by nephrologists from several sessions of acute and emergency dialysis (Figure 3) (Figure 4).

Figure 3 PICC with inner end at cavoatrial junction

Figure 4 Non-tunnelled Central Venous Catheter (CVC) with dilator

Tunnelled central venous catheter (CVC)

Tunnelled CVC are inserted under image guidance into large vein (jugular vein) and then these catheter travel through a subcutaneous tunnel before exiting the skin. These catheter have dacron cuff embedded on the shaft and it is believed that these dacron cuff incite a fibrotic reaction that ultimately secures the catheter in place and decrease spread of infection from skin exit site to the circulation. Some catheters have anti-infective agents incorporated into the inside and outside of the catheter body and meta-analysis of existing literature support the notion that anti-infective agents help in reducing device related blood stream infections (BSI) (Table 2).3 Tunnelled Hickman Catheters are generally dual lumen devices and generally used for aphaeresis. Tunnelled Hemodialysis catheters are generally 14.5Fr dual lumen devices with length varying from 19cm to 28cm and these catheter are capable of handling high flow rate (500 to 600ml/min). These catheters have staggered endholes or split lumens. Palindrome catheter has split and symmetric tip and is reported to achieve the lowest recirculation rates among the various available catheter models (Figure 5).4

1.

Thin and cachetic patient

Low profile port

2.

Obese patient

High profile port

3.

Chemotherapy & hyperalimentation

Double Chamber port

4.

CT Image

Power port

Table 2 Port selection

Figure 5 Double lumen tunnelled Hickman catheter with peel-off sheath and dilator.

Implantable ports

Ports are made of titanium and plastic and this part have two parts: a) a silicone or polyurethane catheter and these catheter are generally connected to a b) reservoir. These reservoirs are accessed by special non-coring Hubner needle through the skin and a silicon window. It is generally said that these silicon window can be pierced upto one thousand times by Hubner needle (Table 3). These ports are available in single or double lumen configuration and entire port is buried in the subcutaneous tissue of the chest or arm or even the thigh or abdomen. Recently, Power Port have been approved for use in India and these Power Port are triangular in shape and can be used with Pressure Injector. Ports are cosmetically appealing, accepted well by patients and provide central venous access without the need for an external catheter. BSI is presumed to the lower with Ports as compared with external tunnelled CVC, but not every study supports this idea (Figure 6).5

1.

Routine flushing every 7 days

5ml

2.

After intravenous administration of total parenteral nutrition, intravenous fluid or medication

5ml

3.

After blood aspiration

10ml

4.

Prior to blood sampling when infusing total parenteral nutrition

20ml

Table 3 Frequency of Flushing (Use 0.9% sterile normal saline)

Figure 6 Port with Hubner needle

Device and access route selection

The selection of most appropriate catheter in an individual case is made jointly by the referring physician, IR and the patient. Generally CVC (tunnelled, non-tunnelled and Port) are inserted through IJV and PICC from upper arm vein. In adults, use long straight vein in an upper extremity away from the joints for catheter insertion in preference to sites on the lower extremities (Table 4) (Table 5). If possible, avoid veins in the dominant hand and use distal vein first. If central vein is occluded, then IR would try to recanalize or simply traverse the guidewire through occluded vein. Thereafter, catheter or port insertion would be feasible. If internal jugular vein is occluded, then IR would try to place a vascular access device into an external jugular vein or enlarged collateral vein. If, no central vein is accessible then IR would access common femoral vein. As a lost resort, vascular access is obtained directly into the IVC through a translumbar6 or transhepatic approach (Figure 7).7

1.

Infection
a) Phlebitis
b) Septicemia or pyrogenic reaction

2.

Air embolism

3.

Thrombosis / occlusion

4.

Extravasation

5.

Damaged Catheter

Table 4 Monitor for complications

Decide if the line is really necessary.

Know your anatomy and be familial with your equipment.

Obtain optimal patient positioning, cooperation and take your time.

Use sterile technique and ask for help, if there is any problem.

Always withdraw the needle to the level of the skin before redirecting the angle.

Obtain chest X-ray, post catheter/port placement and review it.

Table 5 Basic Principles

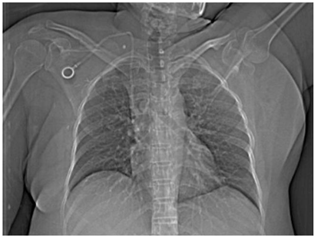
Figure 7 Port with inner end at cavoatrial junction.

Access device removal

Access device are removed if these catheters or ports are no longer required. If there is tunnel/Port pocket infection, septic thrombophlebitis, osteomyelitis, endocarditis, markedly compromised immune system, unstable condition, sepsis or infection by following microorganisms: staphylococcus aurous, acinetobacter baumannii, aspergillus species, agrobacterium species, bacillus species, candida species, corynebacterium species, malassezia furfur, mycobacterium species, pseudomonas aeruginosa, other pseudomonas species, stenotrophomonas species and other gram negative rods. There can be minimal symptoms if the patient has a low white blood cell count, as is often the case in cancer patients. The diagnosis is confirmed with blood cultures. Early diagnosis is essential in order to promptly treat the patient and salvage the line.

Conclusion

Establishing and maintaining reliable venous access is a priority. Early access planning prevents intravenous related complications and negative outcomes for the patients and the hospitals. The choice of which access device to choose is a collaborative process and this decision needs to be made judiciously. Care and maintenance of these catheters and ports is important, so that these access device can be used for long time.

Acknowledgements

None.

Conflict of interest

Author declares that there is no conflict of interest.

References

Creative Commons Attribution License

©2017 Sharma, et al. This is an open access article distributed under the terms of the, which permits unrestricted use, distribution, and build upon your work non-commercially.