Submit manuscript...
International Journal of
eISSN: 2574-8084

Radiology & Radiation Therapy

Case Report Volume 4 Issue 4

Intraventricular meningiomas, a rare location for a common tumor: about 2 cases

Zine el Abidine Ennhaili, Abdelmajid Chellaoui, Ibahiouine K, Naja A, Lakhdar A, A Elazhari

Department of Neurosurgery, University of Hassan, Morocco

Correspondence: Zine el Abidine Ennhaili, Department of Neurosurgery, University of Hassan, Teaching hospital Ibn Rochd, Morocco

Received: October 30, 2017 | Published: November 10, 2017

Citation: Ennhaili ZA, Chellaoui A, Ibahiouine K, et al. Intraventricular meningiomas, a rare location for a common tumor: about 2 cases. Int J Radiol Radiat Ther. 2017;4(4):408-410. DOI: 10.15406/ijrrt.2017.04.00105

Download PDF

Abstract

Intraventricular meningiomas IVM, make up 0,5-3% of all intracranial meningiomas, and represent one of the most challenging tumors in neurosurgery. Being initially asymptomatic usually attains a large size before detection. we review through 2 cases of IVM managed in our neurosurgery department, the clinical, radiological and evolutionary features of these lesions.

Keywords: meningioma, intraventricular tumor, benign tumor

Introduction

The intraventricular meningiomas are uncommon lesions. They represent 0,5 to 3% of all intracranial meningiomas,1,2 and observed more frequently at a younger age than meningiomas in other locations.3 They are classically large, because their silent evolution. The development of CT and MRI lastyears, offers to the neurosurgeons the opportunity to make precisely the diagnosis, and guide their surgical approaches. Meticulous and rational planning enable complete removal of these usually benign tumors, offering permanent cure and long term survival. This paper will discuss clinical, radiological findings, and surgical management of this pathological entity, through 2 cases of IVM managed in our neurosurgery department.

First case

A 17years old female, presented with increasing intracranial pressure syndrome, severe headache, vomiting, and papillary oedema grade1. The patient was without any sensory or motor deficit. The CT and MRI shows a huge intraventricular lesion located in the occipital Horne of the right lateral ventricle (Figure 1). The patient underwent a ventricular shunting, and the tumor was excised in a second time. The removal was complete using a temporo parietal approach, and the post operative status was stable, with improvement of the headache. The histological exam indicates a fibroblastic meningioma (Figure 2).

Figure 1 Axial (A) T2-weighted and (B) T1-weighted MRIs showing a right lateral intraventricular meningioma.Notice the regular aspect of the lesion.

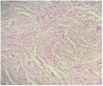
Figure 2 The Histopathologic slide that confirms the diagnosis of meningioma.

Second case

A 15years old girl, consulting for severe headache, with vomiting, and diplopia. The physical examination shows no motor or sensory deficit, and right 6th nerve pulsy, with papillary oedema grade 2. CT and MRI show a very large intraventricular tumor, located at the right lateral ventricle (Figure 3) (Figure 4). The patient underwent ventricular shunting, and the tumor was removed in a second time. The excision was total using a temporo parietal approach, and the post operative status was simple, with improvement of the headache. The histological exam indicates a fibroblastic meningioma too.

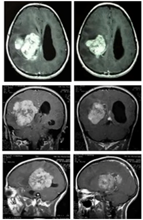
Figure 3 Axial, coronal and sagital T1-weighted +Gado MRIs showing a right lateral intraventricular meningioma.

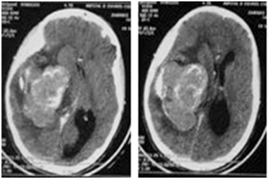
Figure 4 Axial CT with contrast enhancement , illustrating a large intraventricular meningioma.

Discussion

The IVM represent only 0,5 to 3% of all intracranial meningiomas.4 They occur at a younger age than meningiomas in other locations. The mean age of our 2 cases is 16years confirming the data in the literature.4,5 The lateral ventricle is the first site of implantation of these tumors, than the third and the fourth ventricles’. Lateral ventricular tumors predominate on the left side, with more than 90% occurring in the region of the trigone.3,6‒8 The principal clinical presentation of the IVM, is the raising intracranial pressure,3,4 concording with our 2 cases. A brutal increase in the intensity of headache associated with postural change due to a pedunculated tumor causing intermittent CSF obstruction is an important sign to search. The progressive cognitive problems and loss of memory can be alarming features to this pathological entity. Visual symptomatology is most often related to the accompanying secondary optic atrophy or hydrocephalus. Rarely hemorrhage may be a revealing sign.9,10

On CT and MRI, IVM have a lobulated regular shape, because the free space to expand for tumor growth. The irregularity of the lobulation signs malignancy. On CT scans, these tumors are hyperdense and may contain calcifications. Meningiomas are or hypointense on T1, iso or hyperintense on T2. Contrast enhancement is important on both CT and MRI.6,11 The histological findings described showed that, these tumors are predominantly fibrous, fibroblastic, or psammomatous and exceptionally malignant.11,12

The surgical excision remain a logical solution and despite the difficulties and the large size, total removal must be the aim.13,14 Several approaches are used for the lateral ventricle: The temporo parietal approach described by Cushing, posterior middle temporal gyrus approach recommended by Dela Torre, and posterior parieto-occipital approach described by Cramer.6,14‒16 The mortality depends on the experience of neurosurgeon, and its knowledge of the anatomy. In literature it variants between 0 and 42%, however, mortality is around 25%, as reported by Fornari et al.4,17 The endoscopic resection seems to be less invasive, and safer, for the smaller IVMs, but not practical for the large, highly vascular ones.18 Radio surgery is also an effective treatment modality, it’s indicated for tumor with a small size not exceeding 3cm.

Conclusion

The IVM are rare. They have prevalence in a much younger age group than intracranial meningiomas at other sites. The increasing cranial pressure is the most common clinical presentation. CT and MRI findings are non specific. The treatment is based on surgical resection.

Acknowledgements

None.

Conflict of interest

Author declares that there is no conflict of interest.

References

  1. Baldi I, Engelhardt J, Bonnet C, et al. Epidemiology of meningiomas. Neurochirurgie. 2014.
  2. McNeill KA. Epidemiology of Brain Tumors. Neurol Clin. 2016;34(4):981‒9
  3. Bhatoe HS, Singh P, Dutta V. Intraventricular meningiomas: a clinicopathological study and review. Neurosurg Focus. 2006;20(3):E9.
  4. Grujicic D, Cavallo LM, Somma T, et al. Intraventricular Meningiomas: A Series of 42 Patients at a Single Institution and Literature Review. World Neurosurg. 2017;97:178‒1
  5. Nakamura M, Roser F, Bundschuh O, et al. Intraventricular meningiomas: a review of 16 cases with reference to the literature. Surg Neurol. 2003;59(6):490‒503.
  6. Guidetti B, Delfini R, Gagliardi FM, et al. Meningiomas of the lateral ventricles. Clinical, neuroradiologic, and surgical considerations in 19 cases. Surg Neurol. 1985;24(4):364‒370.
  7. Castillo RG, Geise AW. Meningioma of the third ventricle. Surg Neurol. 1985;24(5):525‒528.
  8. Qin Y, Kanasaki Y, Takasugi M, et al. Primary fourth ventricular meningioma: a case report of an adult male. Clin Imaging. 2012;36(4):379‒3782.
  9. Romeike BFM, Joellenbeck B, Skalej M, et al. Intraventricular meningioma with fatal haemorrhage: Clinical and autopsy findings. Clin Neurol Neurosurg. 2007;109(10):884‒88
  10. Fu Z, Xu K, Xu B, et al. Lateral Ventricular Meningioma Presenting with Intraventricular Hemorrhage: A Case Report and Literature Review. Int J Med Sci. 2011;8(8):711‒716.
  11. Kim EY, Kim ST, Kim HJ, et al. Intraventricular meningiomas: radiological findings and clinical features in 12 patients. Clin Imaging. 2009;33(3):175‒1
  12. Chen NF, Lin GY, Wang YC, et al. Intraventricular malignant meningioma: one case report. J Clin Neurosci. 2003;10(5):616‒6
  13. Lyngdoh BT, Giri PJ, Behari S, et al. Intraventricular meningiomas: A surgical challenge. J Clin Neurosci. 2007;14(5):442‒44
  14. Nayar VV, DeMonte F, Yoshor D, et al. Surgical approaches to meningiomas of the lateral ventricles. Clin Neurol Neurosurg. 2010;112(5):400‒405.
  15. Fusco DJ, Spetzler RF. Surgical Considerations for Intraventricular Meningiomas. World Neurosurg. 2015;83(4):460‒461.
  16. Ma J, Cheng L, Wang G, et al. Surgical Management of Meningioma of the Trigone Area of the Lateral Ventricle. World Neurosurg. 2014;82(5):757‒7
  17. Fornari M, Savoiardo M, Morello G, et al. Meningiomas of the lateral ventricles. Neurora- diological and surgical considerations in 18 cases. J Neurosurg. 1981;54(1):64‒74.
  18. Nanda A, Bir SC, Maiti T, et al. Intraventricular Meningioma: Technical Nuances in Surgical Management. World Neurosurg. 2016;88:526‒5
Creative Commons Attribution License

©2017 Ennhaili, et al. This is an open access article distributed under the terms of the, which permits unrestricted use, distribution, and build upon your work non-commercially.