Submit manuscript...
International Journal of
eISSN: 2574-8084

Radiology & Radiation Therapy

Case Series Volume 7 Issue 5

Is more dose and skin reaction required when treating early lentigo maligna definitively with radiotherapy? A case series

GB Fogarty,1,2,3 AM Hong,1,2,3 L Rocha,4 RE Vilain,1,3,5 P Ferguson,1,3,5 P Guitera1,3,6

1Melanoma Institute Australia, University of Sydney, Australia
2Genesis Care, Radiation Oncology, Mater Hospital, Australia
3Sydney Medical School, University of Sydney, Australia
4Department of Dermatology, Hospital das Clínicas, São Paulo University, Brazil
5Tissue Pathology and Diagnostic Oncology, Royal Prince Alfred Hospital, Australia
6Sydney Melanoma Diagnostic Centre, Royal Prince Alfred Hospital, Australia

Correspondence: Gerald B Fogarty, Director, Genesis Care, Radiation Oncology, Mater Hospital, 25 Rocklands Rd, Crows Nest, NSW 2010, Australia

Received: September 05, 2020 | Published: September 14, 2020

Citation: Fogarty GB, Hong AM, Rocha L, et al. Is more dose and skin reaction required when treating early lentigo maligna definitively with radiotherapy? A case series. Int J Radiol Radiat Ther. 2020;7(5):142-145. DOI: 10.15406/ijrrt.2020.07.00280

Download PDF

Abstract

Introduction: Atypical intraepidermal melanocytic proliferation (AIMP) is an early form of lentigo maligna (LM) which itself is a precursor to melanoma. It presents commonly on the head and neck where tissue conserving therapies are attractive. When treating LM with imiquimod, dermatologists treat until a certain level of skin inflammation is achieved. Radiation oncologists treat to a set dose of radiation irrespective of the skin reaction at completion. The dose of radiotherapy for AIMP is unknown and these lesions are currently treated in the same manner as LM.

Case series: Five immunocompetent patients (average age 80 years) with AIMP or early LM (ELM) on the head and neck region were treated with RADICAL radiotherapy (RT) protocols. All treatment sites were mapped with in vivo reflectance confocal microscopy (RCM) and measured on average 4.0 cm in diameter (range 2.0–6.0 cm). The median RT dose administered was 50 Gray (Gy) [45-54 Gy] in 1.8-2Gy per fraction to the planning target volume (PTV), usually by megavoltage electrons. All patients completed RT. The peak radiation acute skin toxicity observed at any time in all patients was only dry desquamation, equivalent to a grade 2 acute radiation dermatitis reaction by Common Terminology Criteria for Adverse Events (CTCAE) Version 5.0. At a median of follow up of 10 months, all patients had biopsy proven recurrence of AIMP (n=3) or LM (n=2). All recurrences were within the RT field. Patients were followed for an average total of five years post salvage treatment (range: 26 - 124 months).

Discussion: This series raises questions. First, what radiation dose is required to cure AIMP and ELM? This series suggests that the same dose, if not higher, used in established in-situ disease, is required. Second, should radiation oncologists treat to a grade 3 skin reaction? It may be then advisable to use standard fractionation (2Gy or less) so that the peak RT reaction coincides with the end of treatment and allows for titration and extra dose to be added.

Keywords: radiotherapy, lentigo maligna, imiquimod, dermatologists, radiation oncologists, melanoma

Introduction

Lentigo maligna (LM) is an early form of melanoma and its incidence is rising.1 It presents commonly on the head and neck (Figure 1) where surgery can be problematic. Tissue conserving therapies such as radiotherapy (RT) and topical treatments, like imiquimod, are attractive. As LM is quite superficial, it particularly lends itself to treatment with superficial radiotherapy (SXRT). In order to enhance accrual to an international randomised trial,2 a monthly face-to-face multidisciplinary LM clinic attended by dermatologists and radiation oncologists is ongoing. This clinic provides a learning opportunity to observe how different specialists approach LM. Dermatologists regularly use the topical immune response modifier, Aldara® (imiquimod), and treat LM until a certain level of skin inflammation is achieved. If the required level of inflammation is not observed, a dose escalation protocol is initiated.3 In radiation therapy, the same level of required reaction is equivalent to wet desquamation. Radiation oncologists, however, treat to a set dose4,5 irrespective of the observed skin reaction at treatment completion. Some patients attending the multidisciplinary LM clinic were diagnosed as having atypical intraepidermal melanocytic proliferation (AIMP) or early LM (ELM). AIMP is characterised by an increased number of melanocytes along the basal epidermal layer but without enough atypia to diagnose LM.6 Lesions with AIMP cannot be classified as either benign or malignant, particularly when only small partial biopsies have been carried out.7 These patients did not meet the trial inclusion criteria but were offered protocol treatment anyway. Patients who preferred the option of RT were treated as per the protocol even though the exact RT dose for AIMP is unknown. A comprehensive review by Ennslin et al.7 cites studies that used topical therapy for the non-surgical treatment of AIMP but RT is not mentioned. We present a case series of five patients with AIMP or ELM who were found to have recurred following radical treatment with radiotherapy.

Figure 1 Extensive biopsy proven area of LM on right ear and lateral cheek mapped by reflectance confocal microscopy. Black arrows show the RCM mapped area. Patient had no sign of LM on RCM 2 years after definitive RT.

Case series

Table 1 summarises the clinical characteristics of each of the five cases. There were four females and one male with an average age of 80 years (range 69-86 years). All treatment sites were in the head and neck region (3 cases on the cheek, 1 on the nose tip and 1 on the temple). Each lesion measured on average 4.0 centimetres (cm) in diameter (range 2.0–6.0 cm). No patient was clinically immunocompromised with the exception perhaps of the male patient who was on long-term low-dose prednisone for stable rheumatoid arthritis. Radiotherapy treatment details are described in Table 2. The technique involved mapping the target area using in vivo reflectance confocal microscopy (RCM), which was then further expanded by one centimetre to the planning target volume (PTV).8 The median RT dose administered was 50Gy [45-54 Gy] in 1.8-2Gy per fraction to the PTV, usually by megavoltage electrons. All patients completed RT, and in-field in vivo dosimetry confirmed delivery of the prescribed dose. The peak radiation acute skin toxicity observed at any time in all patients was a moderate to brisk erythema associated with dry desquamation and some patchy moist desquamation confined mostly to skin folds and creases, equivalent to grade 2 acute radiation dermatitis reaction according to the Common Terminology Criteria for Adverse Events (CTCAE) Version 5.0.9 There was no confluent wet desquamation (CTCAE grade 3 reaction).9

Pt no.

Age-sex

Body area

Previous treatment

Histology prior to RT

Peak RT Acute Reaction at any time (CTCAEv5)

Time to recurrence post RT (months)

Recurred as:

1

84 F

Nose tip

Nil

ELM

DD Grade 2

10

AIMP at 10 months; LM at 4 years

2

83 F

Left cheek

Nil

ELM

DD Grade 2

6

LM

3

69 F

Right cheek

Recurrent post surgery  9 years ago

AIMP

DD Grade 2

6

AIMP

4*

78 M

Right temple

Recurrent post surgery  6 years ago

AIMP

DD Grade 2

18

AIMP

5

86 F

Left cheek

Nil

ELM

DD Grade 2

12

LM

Table 1 Clinical characteristics of five patients with ELM or AIMP who recurred in-field after definitive RT
*Immunosuppressed‒on low dose prednisone for rheumatoid arthritis Pt No, patient number; DD, dry desquamation; AIMP, atypical intraepidermal melanocytic proliferation; ELM, early lentigo maligna; LM, lentigo maligna; F, female; M, male

Pt No.

RT (Gy/#)

BED** Gy10

RT modality

Script Point %

Field size (cm)

Bolus(mm)

1

50/25

60

6MV

100

4x4

Nose block

2

54/27

64.8

6MeV

90

7x5

10

3

50/25

60

6MeV

90

4 circle

7

4

45/25

53.1

9MeV

90

7 circle

10

5

50/25

60

6MeV

90

6 circle

7

Table 2 Radiotherapy treatment details of the five patients with ELM or AIMP who recurred in-field after definitive RT
Pt No., patient number; #, fraction; **BED, biologically effective dose with assumed alpha-beta early ratio of 1012; Gy10, biologically effective dose (early) for α/β = 10 (dose at which the linear and quadratic components of cell kill are equal)12; MeV, mega electron volts; MV, megavoltage photons; Mm, millimetres.

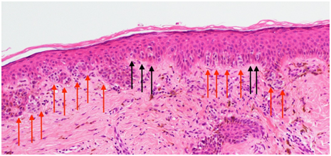
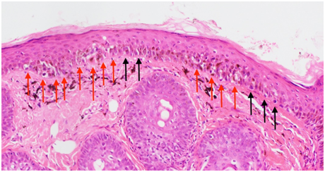
At a median of follow up of 10 months, all patients had biopsy proven recurrence of AIMP (n=3) or LM (n=2). All recurrences were within the RT field and were not marginal recurrences due to inappropriate field placement. Patients were followed for an average total of five years post salvage treatment (range: 26-124 months). Figure 2 shows the histopathology evolution of Case 1, from ELM to failing as AIMP at 10 months post RT, then progressing to LM at four years post RT.

Figure 2 Histopathology of Case 1.
A. Biopsy prior to RT shows early LM with atypical single melanocytes along the dermoepidermal junction (black arrows) and focal confluent growth (red arrows).

B. Biopsy 10 months post RT showing single atypical melanocytes (black arrows) consistent with AIMP

C. Biopsy 4 years post RT showing melanocytes as single cells (black arrows) with some suprabasal scatter and formation of nests (red arrows) sufficient to diagnose LM.

Discussion

The five cases all recurred in-field despite having been treated with an RT protocol that is meant to cure more malignant in-situ disease. This raises several interesting questions. First, what radiation dose is required to cure AIMP and ELM? The total dose needed to cure in-situ skin cancer varies between radiation oncologists, and different approaches are well summarised in a review by Zygogianni et al.10 which investigated the use of RT to treat in-situ cutaneous squamous cell carcinoma. Some radiation oncologists are of the opinion that the same dose as invasive disease is needed; others suggest that a dose reduction is possible due to decreased invasiveness. Our case series suggests that very early pre-invasive disease, such as AIMP and ELM, needs at least the same, if not a higher, RT dose than established in-situ disease. One hypothesis is that AIMP and ELM, being more like normal tissue, may be capable of more inter-fraction repair11 and therefore require a greater dose. Another is that previous surgery (n=2) introduces fibrosis and causes hypoxia, resulting in acquired radioresistance, especially in the central portion where in-field failure was shown on biopsy post treatment. Second, do radiation oncologists need to adapt the dose of RT to the skin reaction? The peak acute RT reaction experienced by our patients was only dry desquamation in in-field normal skin. Would it not be better to treat until patients achieve a certain skin reaction, in the same way that dermatologists use imiquimod? This would mean using the RT reaction in surrounding in-field normal skin as a real time clinical in-vivo measurement of individual radiation sensitivity. As the peak RT reaction coincides with the end of treatment with standard fractionation (2Gy or less), it may be advisable to use standard fractionation to enable extra dose to be added if the desired skin toxicity is not reached by the end of the initial prescription.

Conclusion

This small case series raises questions about adequate radiation dosing to achieve cure in the setting of early pre-invasive cutaneous disease. Ideally, radiation oncologists would be able to individualise the total radiation dose and number of fractions to the patient, but no technique exists to date. More radiobiological studies are required to shed light on optimal dosing in early pre-invasive skin disease in the hope that affected patients may one day benefit from personalised radiation therapy.

Acknowledgments

The authors wish to thank Aileen Eiszele of A&L Medical Communications for writing assistance and manuscript preparation. We are also grateful to Xstrahl for supporting the medical writer and open access publication. No financial support was received to retrieve our findings.

Conflicts of interest

None.

Funding

No financial support was received either to retrieve our findings or to prepare the research letter.

References

  1. Guitera P, Collgros H, Madronio CM, et al. The steadily growing problem of lentigo maligna and lentigo maligna melanoma in Australia: Population-based data on diagnosis and management. Australas J Dermatol. 2019;60(2):118‒125.
  2. Radiotherapy or imiquimod in complex lentigo maligna (RADICAL). ANZ Clinical Trials Registry number: NCT02394132.
  3. Hyde MA, Hadley ML, Tristani-Firouzi P, et al. A randomized trial of the off-label use of imiquimod, 5%, cream with vs without tazarotene, 0.1%, gel for the treatment of lentigo maligna, followed by conservative staged excisions. Arch Dermatol. 2012;148(5):592‒596.
  4. Fogarty GB, Hong A, Scolyer RA, et al. Radiotherapy for lentigo maligna: a literature review and recommendations for treatment. Br J Dermatol. 2014;170(1):52‒58.
  5. Fogarty GB, Hong A, Economides A, et al. Experience with treating lentigo maligna with definitive radiotherapy. Dermatol Res Pract. 2018.
  6. Zhang J, Miller CJ, Sobanko JF, et al. Frequency of and factors associated with positive or equivocal margins in conventional excision of atypical intraepidermal melanocytic proliferations (AIMP): A single academic institution cross-sectional study. J Am Acad Dermatol. 2016;75(4):688-95.
  7. Ensslin CJ, Hibler BP, Lee EH, et al. Atypical melanocytic proliferations: A review of the literature. Dermatol Surg. 2018;44(2):159–174.
  8. Burnet NG, Thomas SJ, Burton KE, et al. Defining the tumour and target volumes for radiotherapy. Cancer Imaging. 2004;4(2):153–161.
  9. Common Terminology Criteria for Adverse Events (CTCAE) Version 5.0. 2017. Accessed 15/09/20 from: https://ctep.cancer.gov/protocoldevelopment/electronic_applications/docs/CTCAE_v5_Quick_Reference_5x7.pdf
  10. Zygogianni A, Kouvaris J, Tolia M et al. The potential role of radiation therapy in Bowen's disease: a review of the current literature. Rev Recent Clin Trials. 2012;7(1):42‒46.
  11. Marcu LG. The first Rs of radiotherapy: or standing on the shoulders of giants. Australas Phys Eng Sci Med. 2015;38(4):531‒541.
  12. NSW Government. Biologically effective dose (BED) and equivalent dose (EQD2) calculators. Access 15/09/20 from: https://www.eviq.org.au/clinical-resources/eviq-calculators/3197-biologically-effective-dose-bed-and-equival.
Creative Commons Attribution License

©2020 Fogarty, et al. This is an open access article distributed under the terms of the, which permits unrestricted use, distribution, and build upon your work non-commercially.