Submit manuscript...
International Journal of
eISSN: 2574-8084

Radiology & Radiation Therapy

Image Article Volume 11 Issue 2

Mesenteric panniculitis on 18F-FDG-PET/CT caused by G-CSF therapy mimicking recurrence of lymphoma

Daniella Tamayo-Carabaño, Marta Martínez DeBourio-Allona, Laura Landaeta-Kancev, Luis Martínez-Dhier

Nuclear Medicine of Universitary Hospital Fundación Jiménez Díaz. Madrid, Spain

Correspondence: Daniella Tamayo-Carabaño MD, Nuclear Medicine of Universitary Hospital Fundación Jiménez Díaz, Madrid, Spain. Address: Avda. de los Reyes Católicos, 2 28040 Madrid (Spain) , Tel +34 915504898

Received: April 19, 2024 | Published: May 1, 2024

Citation: Tamayo-Carabaño D, DeBourio-Allona MM, Landaeta-Kancev L, et al. Mesenteric panniculitis on 18F-FDG-PET/CT caused by G-CSF therapy mimicking recurrence of lymphoma. Int J Radiol Radiat Ther. 2024;11(2):44-45. DOI: 10.15406/ijrrt.2024.11.00384

Download PDF

Abstract

We present the case of a 55-year-old woman with Follicular Lymphoma, with basal 18F-FDG-PET/TC showing supra and infradiaphragmatic lymphatic, pleural and bone involvement. Treatment with Epcoritamab + Lenalidomide + Rituximab was iniciated with complete metabolic response (CR). Due to neutropenia, granulocyte colony-stimulating factor (G-CSF) was indicated on 02/22/23 for 5 days. A control PET/CT was performed on 02/23/23 with a pathological increase in metabolism in new-appearing mesenteric soft tissue lesions, suggestive of disease relapse. QT continued without changes and a PET/CT performed on 04/12/23 showed disappearance of the hypermetabolic mesenteric lesions. This suggests that it was a mesenteric panniculitis probably due to the use of G-CSF.

Keywords: 18F-FDG PET/CT; mesenteric panniculitis;  lymphoma;  granulocyte colony stimulating factor; G-CSF therapy; assessment of response to treatment.

Introduction

MP is a nonspecific, rare, and chronic inflammation that mainly affects the adipose tissue of the mesentery, producing degeneration, necrosis, and fibrotic proliferation. The aetiology is not well known, but it appears in association with various conditions, such as inflammatory abdominal disease. It is usually asymptomatic.1-6

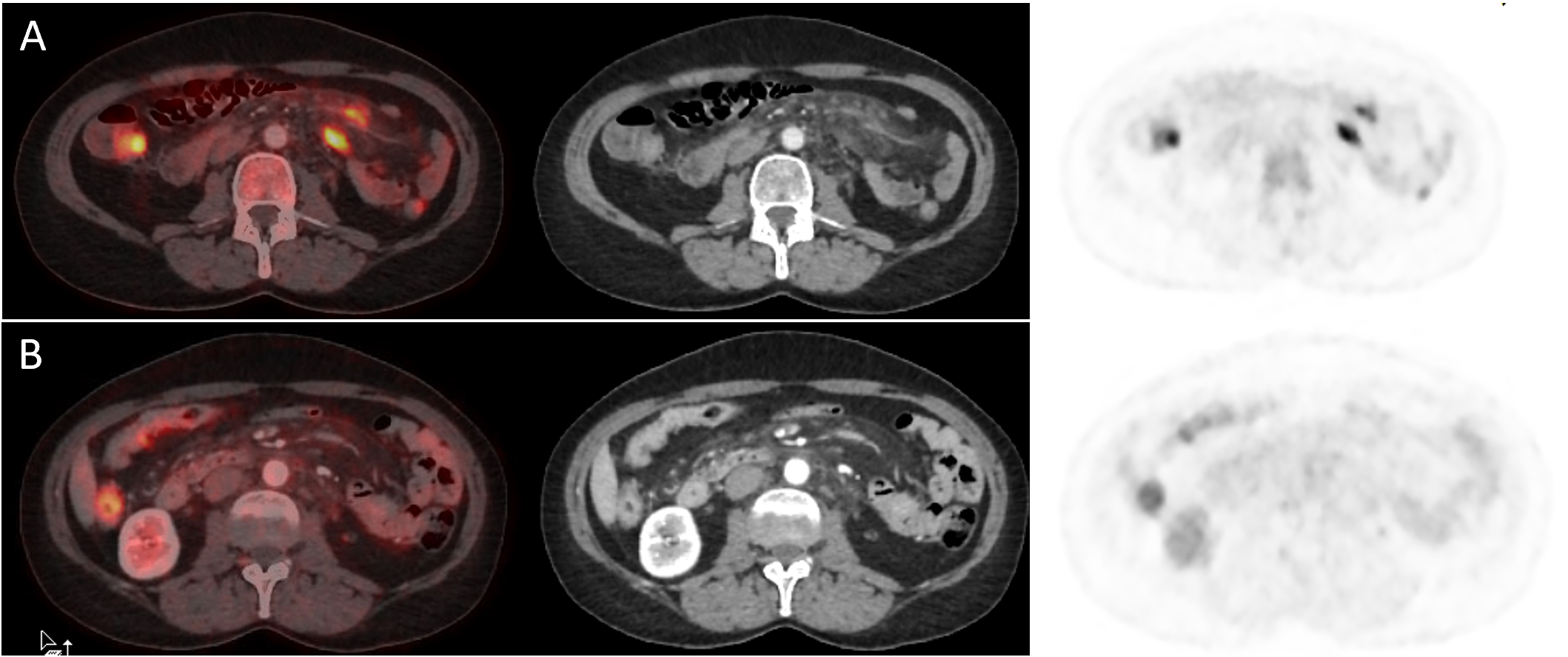
Biopsy shows infiltration of mesenteric fat with large numbers of lipid-laden macrophages that may be biologically avid for 18F-FDG.2,7 (Figures 1&2)

Figure 1 A 55-year-old female patient diagnosed in 2016 with grade 1 Follicular Lymphoma, stage IV in complete metabolic response (CMR) after treatment with chemotherapy (CT) until presenting relapse on PET/CT performed on 08/30/22 with involvement supra and infra diaphragmatic lymphatics, pleural and bone (A). The patient was included in a clinical trial for treatment with Epcoritamab + Lenalidomide + Rituximab with CMR in PET/CT controls performed in October 2022, December 2022 and January 2023 (B). Due to presenting neutropenia, was initiated a treatment with granulocyte colony-stimulating factor (G-CSF) on 02/22/23 for 5 days. Control PET/CT was performed on 02/23/23, observing complete metabolic regression of all the metastatic lesions seen in the baseline examination (persistence of CMR), with new lesions with intense accumulation of 18F-FDG in the mesenteric region (SUVmax: 7,2), suggestive of mesenteric panniculitis (MP), although relapse of the disease cannot be ruled out (C). The CT treatment continued without changes and a new control PET/CT was performed on 04/12/23 where persistence of CMR was observed with disappearance of the hypermetabolic mesenteric lesions (D). This suggests that it was a mesenteric panniculitis probably due to the use of G-CSF.

Figure 2 PET/CT, CT and PET images of mesenteric panniculitis (MP) mimicking a lymphoma recurrence (A) and its resolution after about three weeks without changes in the treatment (B).

MP may represent a low-grade inflammatory disease, resulting from an imbalance between proinflammatory and anti-inflammatory adipocytokines released by macrophages.4 G-CSF is capable of stimulating different signaling cascades, including proinflammatory ones. The mesentery is rich in macrophages that are producers of proinflammatory and anti-inflammatory cytokines that regulate the inflammatory response according to the activation of their receptors. These receptors belong to a superfamily that can also be activated by G-CSFs. Therefore, we propose that what has happened is that the exogenous increase in G-CSF has activated the proinflammatory pathways of mesenteric cytokines, generating a transient inflammation of the mesentery, with uptake of 18F-FDG and subsequent disappearance in the control PET/CT.4,8,9

Nuclear medicine physicians have a fundamental role to raise the possibility of non-specific inflammation, interpreting the images in the clinical context since an inflammatory process associated with the treatment could occur and simulate a viable disease. This case is of interest because the PET/CT showed the presence of mesenteric panniculitis, which we believe was caused by the administration of G-CSF. To the best of our knowledge, this is the first report of this extremely rare occurrence.

*** This publication count with informed consent by the patient to publish her results as well as authorization by Institutional Review Board or Ethics Committee of our hospital.

Acknowledgments

None.

Conflicts of interest

The authors declare that there are no conflicts of interest.

References

  1. Morooka M, Kubota K, Murata Y, et al. 18F–FDG–PET/CT findings of granulocyte colony stimulating factor (G–CSF)–producing lung tumors. Ann Nucl Med. 2008;22(7):635–639.
  2. Albano D, Bosio G, Bertagna F. Mesenteric Panniculitis Demonstrated on 18F–FDG PET/CT. Clin Nucl Med. 2016;41:e164–e166.
  3. Makis W. Progressing sclerosing mesenteritis (Mesenteric Panniculitis) mimics progression of malignancy after neoadjuvant chemotherapy for gastric adenocarcinoma on serial 18F–FDG PET/CT. Clin Nucl Med. 2016;41(4):313–316.
  4. Rezk Abdelwahed Hussein M, Rezk Abdelwahed S. Mesenteric panniculitis: an update. Expert Rev Gastroenterol Hepatol. 2015;9(1): 67–78.
  5. Zissin R,  Metser U, Hain D, et al. Mesenteric panniculitis in oncologic patients: PET–CT findings. Br J Radiol. 2006;79(937):37–43.
  6. Delgado Plasencia L, Rodríguez Ballester L, López–Tomassetti Fernández EM, et al. Paniculitis mesentérica: experiencia en nuestro centro. Rev Esp Enferm Dig. 2007;99(5):291–297.
  7. Oliveira M, Lasnon C, Nganoa C, et al. Comprehensive analysis of the influence of G–CSF on the biodistribution of 18F–FDG in lymphoma patients: insights for PET/CT scheduling. EJNMMI Res. 2019;9(1):79.
  8. Furmento VA. Mecanismo de acción del factor estimulante de colonias de granulocitos (G–CSF) en células trofoblásticas humanas. Tesis para optar por el título de Doctor de la Universidad de Buenos Aires. 2014. 
  9. Ishiyama M, Matesan M. Mesenteric panniculitis mimicking early recurrence at end–of–treatment evaluation in malignant lymphoma: Differentiation by active surveillance with F–18 FDG PET/CT imaging. Radiol Case Rep. 2020;15(7):1006–1010.
Creative Commons Attribution License

©2024 Tamayo-Carabaño, et al. This is an open access article distributed under the terms of the, which permits unrestricted use, distribution, and build upon your work non-commercially.