Submit manuscript...
International Journal of
eISSN: 2574-8084

Radiology & Radiation Therapy

Case Report Volume 10 Issue 6

Ramsay- hunt syndrome: another presentation of the herpes zoster

Danny Silva,1 Fernando Silva,2 Edgar Montalvo Pena,3 Denyss García,4 Juan Salazar,5 Maria Isabel Ordoñez6

1Internal Medicine Specialist, Chief of the Emergency Department, Hospital Clínica Guayaquil, University of Guayaquil, Ecuador
2Resident Emergency Physician, Hospital Clínica Guayaquil, Catholic University of Guayaquil, Ecuador
3Resident Surgical Physician, Steten Island University Hospital, Catholic University of Guayaquil, Ecuador
4Resident Hospitalization Physician, Clínica Guayaquil, Equator Technological University, Ecuador
5Specialist Physician Internal Medicine, Hospital Ambato Holy Spirit University, Guayaquil, Ecuador
6Resident Hospitalization Physician, Clínica Guayaquil, Catholic University Guayaquil, Ecuador

Correspondence: Danny Silva MD, Chief of the Emergency Department, Hospital Clínica Guayaquil University of Guayaquil, Ecuador

Received: December 15, 2023 | Published: December 29, 2023

Citation: Silva D, Silva F, Pena EM, et al. Ramsay- hunt syndrome: another presentation of the herpes zoster. Int J Radiol Radiat Ther. 2023;10(6):145-148. DOI: 10.15406/ijrrt.2023.10.00371

Download PDF

Abstract

Ramsay-Hunt syndrome, or optic herpes zoster, is an entity that is determined by a characteristic triad: earache, vesicles in the pinna, ipsilateral facial paralysis, hence the clinical diagnosis, without estimating the variables that may occur. This pathology is caused by the involvement of the geniculate ganglion of the facial nerve and/or other nerves due to the varicella zoster virus. Timely treatment is essential in the initial 72 hours of the clinical picture, the precociousness of which reduces the sequelae and facilitates the resolution of the process.

Keywords: Herpes Zoster, Ramsay Hunt syndrome, facial nerve, paralysis, otic

Introduction

The Ramsay-Hunt syndrome arises since 1907, described by the neurologist James Ramsay Hunt, who described patients with otalgia, erythematous vesicular lesions in the auricular area, oral mucosa, accompanied by lower motor neuron palsy.

This syndrome is defined as an infectious disease mostly infrequent caused by reactivation of varicella zoster virus in the geniculate ganglion of the facial nerve (VII cranial nerve) due to decreased immunity of the individual. This process causes edema and compression of the nerve followed by a process of demyelination with lesion of the nerve structure.1

The varicella virus remains lodged in the pharynx multiplying before invading the bloodstream to present the primary viremia, if a second viremia occurs the virus is located in the skin, mucous membranes penetrates the adjacent portions of the sensitive nerves reaching the sensitive ganglia, giving an infection of the neuronal nuclei being isolated these by the increase of antibodies. If the levels of these antibodies are high the virus remains neutralized, but if the immunity is reduced the virus reactivates multiplying in the sensitive fibers of the skin causing the characteristic lesions of herpes zoster.2

The clinical manifestations depend on the structure where the reactivation of the viral infection occurs, such as the geniculate ganglion, neurological manifestations are characterized due to the affectation in this order of the nerves VII, VIII, IX, V, X, VI the facial nerve is generally affected which gives motor innervation of the frontal, orbicularis oculi, buccinator orbicularis orbicularis of the mouth muscles, adding the parasympathetic innervation of the lacrimal and submaxillary glands and the sense of taste. Being this characteristic of xerophthalmia, sialorrhea, taste disorders, otalgia including speech disorders, facial ptosis, drooping of the labial commissure.

Among the dermatological manifestations usually begins with pain, fever, headache, malaise, pruritus accompanied by paresthesia, prior to the outbreak have a period of 1 - 5 days (herpetic neuralgia) after this phase is the active phase with skin lesions such as papules or erythematous macules that progress to vesicles 12 to 24 hours then to pustules from 1 to 7 days and between 14 to 21 days to crusts this is called resolutive phase.

Due to its varied presentation, neurological and dermatological signs and symptoms, four stages are identified.

Stages

  1. Association of otalgia and eruptions of vesicles in the territory of the VII pair nerve (facial).
  2. The above with a homolateral peripheral facial paralysis.
  3. Known as Sicard's Syndrome. The triad of pain, rash and facial palsy is compounded by tinnitus, perceptual hypoacusis of scarce recovery and vertigo.
  4. Affectation of other cranial nerves, among the most affected is the V for (trigeminal).1

Presentation of clinical case

A 69-year-old female with a personal pathological history of arterial hypertension.

She presented clinical picture of 8 days of evolution characterized by moderate to severe headache, holocranial, eva scale 8/10, otorrhea, initially treated by private physician as secretory otitis media, after 72 h the clinical picture intensifies with otalgia and deviation of the left labial commissure was evidenced.

Physical examination

The following is explored in left ear: eardrum and external auricular canal normal, negative swallowing sign. Right ear: eardrum and external auricular canal with presence of vesicular lesions with presence of purulent material, positive swallow sign, normal pharynx, afebrile, with an initial grade 5 affectation in the House-Brackmann classification.

Evolution

Patient remained hospitalized for a period of 72 hours with favorable clinical evolution, denying otalgia, negative right swallowing sign and no progression to complications such as conjunctivitis, synkinesias, corneal ulcer, resolution of initial vesicles, no evidence of secretions, so it was decided to discharge the patient from the hospital with outpatient follow-up. (Table 1, Figures 1-4).

 

Result

Rango

Hematological Profile 

Leukocytes 8.00 103/ul

5- 10

 

Hemoglobin 14.6 g/dl

12 - 14

 

Hematocrit 43.5%.

36 - 52

Renal Profile

Urea 28.4 mg/dl

16.6 -48.5.

 

Creatinine 0.83 mg/dl

0.5-  0.9

Electrolytes

Na 141 mmol/l

135 - 145

 

K 4.51 mmol/l

3.5 – 4.5

 

LC 102.40 mmol/l

85- 105

Inflammatory marker

Pcr 7.83 mg/l

0 - 5

Brain MRI

No evidence of alterations

 

Table 1 Complementary examinations on admission

Figure 1 Herpetic lesions in external ear.

Figure 2 i) Deviation of the labial commissure. ii) Left palpebral ptosis..

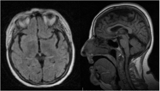
Figure 3 MRI of the brain without lesions FLAIR axial, sagittal, sagital.

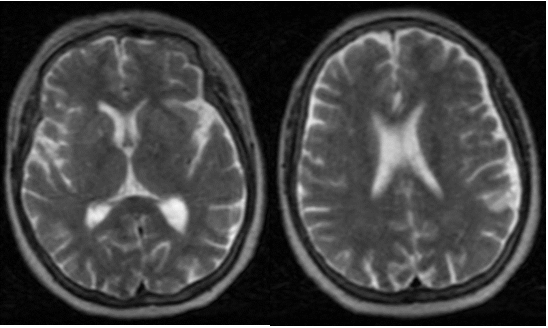
Figure 4 T 2 brain MRI.

Conclusions

The Ramsay-Hunt syndrome is a consequence of the reactivation of the replication of the Varicella Zoster virus, it is estimated that its prevalence is 0.2% of all cases of herpes Zoster, it is regularly rare in infants, but not in older adults, regularly after 50 years of age it occurs more in women than in men, it can occur after radiotherapy, chemotherapy, HIV, physical and emotional stress, as well as drugs such as immunosuppressants (infliximab, etnercept), they develop reactivation of old affections such as tuberculosis, herpes zoster, cytomegalovirus and Epstein Barr virus.3

The classic characteristic of Ramsay-Hunt syndrome is otalgia, vesicles in pinna and palate peripheral facial paralysis, due to geniculate ganglion involvement. Chan G- Hee et al.4 conducted observational studies where they determined that hearing impairment in this group of individuals is more severe in patients with vertigo than without vertigo, although hearing impairment was not significantly different between patients with or without facial palsy. Likewise, Carrillo et al.5 found cochleovestibular involvement in 83% of cases.

According to its presentation, a delay in its diagnosis can be observed due to the characteristics of facial paralysis of central or peripheral characteristics, the detail is in the preservation of the integrity of the muscles of the frontal region, Martinez et al.6 report that facial paralysis reaches its greatest intensity in the first week. What happened with our patient was that the diagnosis was delayed thinking in suppurative otitis media.

Peitersen et al.7 in a review point out that facial paralysis in 14% of the cases the eruption is posterior to the appearance of the vesicles, which delays the diagnosis of Ramsay Hunt syndrome as Bell's palsy.8

The incidence of five cases per 100,000 inhabitants which represents 1% of all cases of Herpes Zoster, its frequency is between the fifth and sixth decade of life being rare in children, but can occur at ages 6 to 15 years, more frequent in the female gender, no side predominance is evidenced, its prevalence is established in immunocompromised patients.

According to its clinical evolution the syndrome begins with febrile, thermal rise, general malaise, which later on vesicular eruption with otalgia burning type and may radiate to the temporo-parietal area, the inflamed secondary vesicular eruption of the auricular sensitive branch VII located in the Ramsay - Hunt area which is located in the concha, the external auditory canal, external face of the tympanum and the areas of the tragus, antitragus and antihelix. Once the dermatological affectations progress, the third phase of the triad is evidenced being the facial paralysis which can be presented in early or late phase, which determines that there are patterns of variable characteristics, it was determined that the late onset of paralysis is associated with better prognosis, The patients with worse prognosis are the elderly or in the case of systemic diseases such as arterial hypertension and diabetes mellitus, the facial paralysis of Ramsay-Hunt syndrome is the second most frequent cause in the non-traumatic, after Bell's palsy which is between 5 to 12%. In patients with paresis, complete recovery occurs in 66%.

Complications have included meningoencephalitis. Myelitis, lesions of the sympathetic trunk (Horner's Syndrome), cerebrovascular events and even syndrome of inadequate secretion of antidiuretic hormone, postherpetic lesions or geniculate neuralgia, lesions of the most affected nerves in the Ramsay-Hunt syndrome are the V, VI, VI, VII, VIII, IX, X, XI, XII, with the consequences of each one according to its function, VI,VII,VIII,IX,X,XI,XII, with the consequences that each one of these have according to their function among these cranial polyneuropathy, paralysis, dysphagia, dysphonia, vascular lesions among these cardiac arrhythmias, blindness due to lesion of the optic nerve. The polyneuropathic syndrome has a worse prognosis and only 27% reach total recovery, compared to 67% of those who suffer polyneuropathy.9

Processes in the central nervous system with vascular involvement can be found in patients, among these vasculitis granulomatous angeitis of large vessels that can simulate an acute stroke and accompanied by late contralateral hemiparesis, since it occurs a week after the episode of herpes Zoster.10

Its diagnosis is clinical, clinical history and clinical examination, verify the classic triad: otic pain 50% of cases, facial paralysis in 20%, herpetic lesions in 2% if it is only facial paralysis determine if it is central (supranuclear) or peripheral (infranuclear), in the evolution request that the patient performs opening and ocular, and smile. To determine if it is nuclear, to verify brain stem lesions, being able to find hemiparesis, facial hyposthesia, diplopia, evaluation with the otoscope if there are or not vesicles, as it was evidenced in our case the presence of otalgia, facial paralysis, diplopia, and vesicular therefore the diagnosis is confirmed.

Another form of diagnosis can be confirmed with direct immunofluorescence of IgM anti VZV antibodies in blood with a sensitivity of 87% PCR with a sensitivity of 92%, being this the most sensitive and specific. Also viral cultures of vesicles 65% positivity PCR for VZV can detect the virus in saliva, tears and secretion of the vesicles, including cerebrospinal fluid.

MRI has limited specificity for diagnosis, as well as for prognosis even though other neurological pathologies can be excluded. The axial and sagittal Flair images can be visualized in the MRI, as well as in the T2 images, there is no evidence of lesions in the cerebral parenchyma.

Among the dementia diagnoses, peripheral or Bell's palsy, acoustic neurinomas, parotid neoplasms, and fractures of the cuspid bone.1,9,10

Regarding treatment, the best regimen is analyzed in combination of antiretroviral drugs and corticoids, where Wagner demonstrated in a group of 91 patients with combined treatment and another group of 47 exclusively corticoids, in the first group he could demonstrate that 68 patients (75%), presented improvement of nerve sensitivity, compared to 25 patients (53%) of the second group.

Wagner et al.11 determined that in a study of 80 patients diagnosed with Ramsay-Hunt syndrome, treated with corticosteroids and antivirals, the time between the onset of symptoms and the beginning of treatment, was the same as in the first group.

The most effective indications:

  1. Methylprednisolone 500 mg every day 1, 250 mg day 2 and 3, then 100 mg for 4 days, associated with Acyclovir 400 mg 5 times for 7 days.
  2. Prednisone 1 mg x Kg for 7 days, gradually tapering 10 mg until reaching 0, followed by Acyclovir 200 mg 5 times per day for 21 days.
  3. Options valacyclovir 1 g three times per day for 7 days,

Both valacyclovir and brivudine at the rate of 125 mg each day for 7 days, are treatment options, where Garcia et al.12 proved to be superior to Acyclovir, in the time of resolution of pain as in the appearance of acute herpes Zoster lesions.

Regardless of the therapy initiated, propitious analgesia, ocular protection to avoid conjunctival lesions are included.13

Another treatment option for neuropathic pain previously medicated with analgesics and carbamezepines, amitriptyline is the nucleotomy technique that is performed with radiofrequency controlled thermo nucleus lesion.14

According to the clinical picture of the patient in which a complete physical examination is performed, Ramsay-Hunt II syndrome is determined, scales such as House - Brackmann 5/8 were used to determine the clinical evaluation of facial motricity, and the Ramsay-Hunt clinical scale to determine the severity of the patients, complementary laboratory studies are performed, and also in the case of facial paralysis, It must be taken into account to differentiate whether it is central or peripheral and if it is associated with ipsilateral hemiplegia may be the origin of a stroke, tumors or infections for which in the patient is performed MRI imaging study of the brain and brain injury is ruled out, being the clinic of the patient who establishes the final diagnosis, decided to establish therapeutic management based on antivirals such as Acyclovir, use of cortico therapy and analgesia clinical improvement of the patient was evidenced so it is continued with therapy.

Conclusion

It is concluded that it is important to have a detailed clinical examination, a propitious and early diagnosis of this entity since the recovery of the patients and their prognosis will depend on this, there are processes that can manifest in an unspecific way that could delay the diagnosis and its treatment. Due to its variable form of presentation, differential diagnoses should not be estimated, the objective is that the patient recovers completely and provides the decrease of permanent sequels.

Consent

The patient in mention of the clinical case reported her consent and declared her authorization in the publication.

Acknowledgments

None.

Conflicts of interest

Authors declare that there is no conflicts of interest.

References

  1. Alvarado Ferllini M, Medina Correas NV, Quesada Musa C. Síndrome de Ramsay Hunt: una temida presentación del herpes zóster. Rev Medica Sinerg. 2020;5(6):e416.
  2. Osvaldo Díaz–Canei A, Ramírez PH, González17 JL, et al. Síndrome de Ramsay–Hunt Presentación de un caso. Rev Cuba Med. 2021;11(5–6).
  3. Ortega MMM, Agurcia AM, Andrade–Romero JR. Síndrome de Ramsay Hunt tipo ii en mujer mayor de 90 años. 2017;6.
  4. Chan G– Hee et al. Characteristics of hearing loss in patients with herpes zoster oticus. Medicine (Baltimore). 2016;95(46):e5438.
  5. Carrillo et al. Importancia del diagnóstico oportuno y el tratamiento apropiado del síndrome de Ramsay Hunt. Analisis clínico 12 casos. Revista Mexicana de Neurociencia Marzo–abril. 2009;10(2):137–139.
  6. Martínez Angeles WL, Carbajal Arizaga GG, González–Reynoso O, et al. Medical system to evaluate the seventh cranial nerve through the main facial mimic muscles. Facial Nerve Palsy – A Practitioner’s Guide. 2022.
  7. Peitersen E. Bell’s palsy: the spontaneous course of 2,500 peripheral facial nerve palsies of different etiologies. Acta Otolaryngol. 2002;Suppl 549:4–30.
  8. Bermudez Tirado N, Beatriz I, Castro Urquizo A, et al. Síndrome de Ramsay Hunt con presentación inicial avesicular. Reporte de caso y revisión de la literatura. 2018;8(2):82–87.
  9. Ramirez–Salas JE, Benito–Orejas JI, Bauer M, et al. Manifestaciones clínicas del síndrome de Ramsay–Hunt en una serie de 20 casos. Rev ORL. 2020;12(1):3–17.
  10. Corti M, Villafañe MF, Correa J. Síndrome de Ramsay Hunt: A propósito de dos casos con identificación del genoma de herpes virus varicela–zoster en el líquido cefalorraquídeo. Biomédica. 2021;41(4).
  11. Wagner G, Klinge H, Max Sachse M. Ramsay hunt syndrome. J Dtsch Dermatol Ges. 2012;10(4):238–244.
  12. Romero García A, Albañil Ballesteros MR. Varicela congénita y neonatal. Revisado y actualizado julio de. 2021.
  13. Vega–Monge MA, Hernández–Quirós T. Parálisis de Ramsay Hunt: Revisión Bibliográfica. Acta Académica. 2019;65(Noviembre):65–80.
  14. Schvarcz JR. Sindrome de Ramsay Hunt postherpetico. Manejo neuroquirurgico. Revista Argentina de Neurocirugt'a. 2021;1(1):31.
Creative Commons Attribution License

©2023 Silva, et al. This is an open access article distributed under the terms of the, which permits unrestricted use, distribution, and build upon your work non-commercially.