Submit manuscript...
International Journal of
eISSN: 2574-8084

Radiology & Radiation Therapy

Literature Review Volume 11 Issue 2

Renal cystic masses management: Literature review

Youssef Maachi, Jaafar Fouimtizi, Mehedra Anas, Amine Slaoui, Tariq Karmouni, Khalid El Khader, Abdellatif Koutani, Ahmed Iben Attya Andaloussi

Department of Urology B, CHU Ibn Sina, Faculty of Medicine and Pharmacy, Mohamed V University, Rabat, Morocco

Correspondence: Youssef Maachi, Department of Urology B, CHU Ibn Sina, Faculty of Medicine and Pharmacy of Rabat, Mohamed V University, Rabat, Morocco

Received: April 19, 2024 | Published: April 30, 2024

Citation: Maachi Y, Fouimtizi J, Anas M, et al. Renal cystic masses management: Literature review. Int J Radiol Radiat Ther. 2024;11(2):39-42. DOI: 10.15406/ijrrt.2024.11.00383

Download PDF

Abstract

This review article aims to cover the anatomical and pathological characteristics of cystic renal tumors as well as their treatment. The reason behind delving into this topic is due to an increase in diagnoses of renal cysts, which necessitates knowledge on how to correctly identify and handle potentially malignant lesions.

Renal cysts are classified using the Bosniak system by medical professionals worldwide to determine their potential for malignancy. The likelihood of cancerous cells increases from 0% in category I, up to 95% in category IV. Renal cell carcinoma is the most common pathology observed and usually presents with a low grade and stage. Cysts categorised as IIF (indicating follow-up) have a chance of malignancy at around 25%, which necessitates monitoring every six months for five years after detection via imaging such as CT scans, MRI or contrast-enhanced ultrasonography. Although biopsy was formerly not recommended, it can now prevent roughly forty percent of unnecessary surgeries required while treating benign growths. Symptomatic treatments like sclerotherapy or laparoscopic deroofing may be applied if dealing with categories I through II cysts; however, lesion types categorized under III & IV should receive treatment akin to malignant tumours requiring margins that ensure safety during interventions conducted on them.

Introduction

Abdominal imaging advancements have led to a significant rise in the incidental detection of renal cystic images. Studies suggest that nearly 50% of individuals over the age of 50 showcase kidney cysts, which are usually harmless and distinguishable from complex renal cysts or malignant lesions with relative ease. However, due to differing prognoses between neoplastic and benign variants, it is crucial not to overlook potential cancerous developments while being cautious not to overtreat non-cancerous cases.

The objective of this article is to present current information regarding the diagnosis and treatment approaches for kidney cystic tumors.

Méthods

The terms "renal cysts, cystic renal tumors, complex renal cysts, Bosniak classification and category IIF" were used to conduct a systematic review of literature using PubMed and ScienceDirect. Studies in French or English involving adults including prospective and retrospective studies as well as reviews on the topic were considered. However case reports, editor responses concerning superinfections from series studying renal cystic diseases along with other genetic disorders such as Von Hippel-Lindau disease or tuberous sclerosis of Bourneville are excluded from this study.

Results

Histological and classification of cystic tumors of the kidney

Renal tumors exhibiting cavities are classified as cystic tumors. There are two histological types including benign and malignant with potential for architectural changes (Table 1).

Malignant tumors

Benign tumors

Multilocular cystic clear cell carcinoma (MCC)

Cystic nephroma

 

Mixed epithelial and stromal tumor

Tubulocystic carcinoma

Cystic lymphangioma

 

Cystic angiomyolipoma

Table 1 Classification of cystic tumors of the kidney

Out of all kidney tumors, approximately 5-7% are cystic.1,2 The majority of these cystic tumors exhibit a clear-cell carcinoma (63%) or papillary carcinoma (25%), with the former having low-grade aggressiveness and ultimately leading to promising prognosis. As Reese et al. found in their study on neoplastic cystic tumors, about 79% were pT1 tumours and 73% showed Fuhrman grade levels at either one or two.1

Von Hippel-Lindau disease may present with specific manifestations, including an infrequent variation of unilocular cystic CRC wherein a tumor develops within the cyst wall.3 It is important to differentiate these lesions from parasitic cysts of the kidney, which are uncommon in France but should not be disregarded as their presence may lead to superinfection or even fistulization in the excretory tract. Typically occurring among individuals aged 30 and 50 years old, these lesions tend to be polar in positioning approximately 80% of cases.4

Imaging of cystic tumors of the kidney

Radiological classification of cystic tumors of the kidney

Morton Bosniak devised a classification system for cystic lesions in 1986 based on CT morphology, including wall thickening, septa and vegetation formation as well as enhancement after contrast injection. Current knowledge suggests that calcifications are not highly concerning.5 This classification allows differentiation between non-suspicious (categories I and II) and suspicious cysts requiring surgery (categories III and IV). A new category called IIF was introduced in 1997 to identify intermediate lesions needing regular monitoring with imaging but falling between types II and III.6 The association of the Bosniak score with malignancy probability has been widely confirmed through research,1,7 which is summarized in Table 2. However, there is no link established between the Bosniak score for histological type or other measures such as TNM stage or Fuhrman grade.1,8

Category (Bosniak)

US Features

Workup

Type 1: Simple cyst

Round, anechoic, thin wall enhanced through transmission

None

Type 2: Mildly complicated cyst

Thin septation, calcium in wall

CT or US follow-up

Type 3: Indeterminate lesion    

Multiple septae, internal echos mural nodules

Partial nephrectomy biopsy

Type 4: Clearly malignant

Solid mass component

Nephrectomy

Table 2 Bosniak classification of cystic lesions of the kidney

Abdominal-pelvic CT

The preferred imaging method for evaluating intricate kidney cysts is abdominal and pelvic CT scans, with or without contrast medium injection. These scans have undergone significant advancements in recent years, allowing for the acquisition of improved quality reconstructions and finer slices. Consequently, they provide a more comprehensive examination of intracystic structures.

Studies conducted recently have shown that radiologists exhibit consistent and reliable classification of cysts based on Bosniak's criteria in both intra- and inter-individual settings. The reliability is measured using a kappa coefficient, which ranges from 0.69 to 0.85-0.98 depending on the specific study series analyzed.9,10 Numerous researchers have attempted to identify predictive factors for malignancy assessed via CT scans such as irregular thickening or enhancement of cyst septa, heterogeneous contrast patterns, or wall enhancements amongst others.11-14 In instances where there is uncertainty in the ultrasound diagnosis, CT scans can aid in determining the differential diagnosis.

Abdominal-pelvic MRI

Bosniak's classification, initially based on CT descriptions of renal cysts,6 can also be applied to MRI with comparable histopathological correlation.14 Israel et al. have reported that certain lesions show improved detection using MRI over CT due to enhanced spatial resolution which allows better visualization of the number and thickness of septa as well as their contrast uptake.15 Neoplasia predictive factors remain similar between both modalities. Recent literature highlights diffusion MRI being able detect suspected cysts by utilizing water molecule movement at a cellular level; differences in signal appearance are observed because tissue cellularity varies between tumors and healthy tissues, rendering gadolinium injection unnecessary for imaging purposes. However, this technique alone cannot replace conventional morphological imaging through standard MRI procedures according recent studies.14

Contrast ultrasonography

By combining gas microbubble injection and traditional ultrasonography, contrast ultrasonography facilitates real-time dynamic examination of lesion enhancement. Numerous studies have established its superiority over CT in terms of resolution and sensitivity. Park et al.'s findings suggest that the diagnostic accuracy rate for contrast ultrasonography is 90%, surpassing CT's at 74%. Furthermore, it provides improved visualization and assessment capabilities for septa/septum enhancements compared to its counterpart.16 The detection success rates were also higher with neoplastic cystic lesions as concluded by Quaia et al. wherein Contrast ultrasound detected them at an 82% percent versus a meagerly low score of just twenty-nine percentage when using computed tomographic analysis.17

Although rare incidents of cardiopulmonary complications resulting from gas microbubble injections have been documented in literature, it is important for radiologists to be mindful when dealing with patients who possess risk factors such as pulmonary hypertension, a history of heart attacks or unstable cardiovascular conditions. It should also be noted that like most ultrasound examinations, inter-observer variability and the presence of ribs or digestive obstructions may at times compromise visibility.14

How to manage Bosniak IIF cysts?

The urological and radiological communities across the globe have widely accepted the Bosniak classification, considering it an essential approach for effective therapeutic management. With consistent terminology and excellent reproducibility, the categories I and IV cysts are seldom challenging to diagnose. However, distinguishing between complex cyst types II and III can sometimes be arduous. As a result of this predicament, category IIF was introduced; its purpose is identifying those cysts that fail to meet all criteria for Bosniak III categorization but still necessitate careful monitoring.

Although there is no agreement on how often and for how long to conduct follow-up, various studies have suggested protocols that involve imaging at the six-month mark followed by annual scans for five years using CT or MRI.2,3,6 By utilizing this monitoring method, literature shows progression rates of IIF lesions in less than 30% of cases (specifically 14.8%, according to O'Malley et al.19 and only 5% in the recent series conducted by Hindman et al.20) These progressions typically occur within a median time frame ranging from 11-18 months based on findings from sources such as research studies numbered (Figure 1).8,18-20

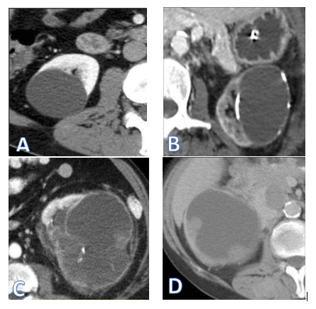
Figure 1 CT images of renal cysts according to Bosniak's classification.
A. Bosniak cysts I B. Bosniak II cyst C. Bosniak III cyst. D. Bosniak IV cyst.

There were no discernible distinctions between progressing tumors and non-progressing ones based on either tumor or patient characteristics. Surgical decisions typically hinge upon alterations to the structure of the tumor or its appearance during contrast injection, rather than mere enlargement. Following surgery for progression, renal cell carcinoma (RCC) was found in 89% to 100% of cases through pathology analysis.8,19 As a result, IIF cysts have an overall malignancy rate ranging from 10.9% to 30%, as reported across various studies spanning data sets including references such as McGuire BB, Weibl P, Graumann O, Hindman NM, et al.5,8,18,20 Among these instances, roughly ~88 percent are classified under pT1 while around three-quarters fall within Fuhrman grade I groupings.8 Although retrospective datasets often with limited numbers comprise by far the most common form of reporting - available literature remains fairly united regarding Bosniak's recommended course-of-action for handling this issue: maintain organized surveillance punctuated with clear communication practices geared toward promoting ample cooperation amongst patients.

Biopsy of cystic tumors of the kidney

There has been debate surrounding the role of biopsy in cystic kidney tumors. Historically, it was not recommended due to concerns about false negative results and tumor cell dissemination.2,3,5,8,18 However, recent advances such as radiofrequency ablation and minimally invasive renal surgery have renewed interest in biopsy for these lesions. Although indications were previously limited to Bosniak IV cysts with visible target tissue on imaging, new studies offer promising outcomes. Harisinghani et al. found that combining cyst biopsy and cytopunction could prevent unnecessary surgeries for 40% of Bosniak III cyst cases.21 Lang et al.' s series of 199 biopsies using needle puncture observed a positive predictive value higher than 90%, indicating reliable diagnosis rates (especially malignant vs benign) while minimizing invasive procedures by up to 70% through average follow-ups across just over five years without worsening conditions or progression.22 Moreover, image-guided techniques permit proper classification even when anatomical structures are too small otherwise IIF-III with high diagnostic efficiency supporting less risky intervention strategies from indirect evidence.

Treatment of cystic lesions of the kidney

If symptoms related to cysts such as heaviness caused by increased volume, urinary tract compression leading to renal colic pain or hypertension caused by parenchymal or renal artery compression occur, treatment can still be recommended even if the lesion is benign. Proven treatments for this include percutaneous sclerotherapy and surgical removal of the protruding dome.3

Sclerotherapy can either be completed in a single session or repeated every 24 hours for three days straight. The clinical success rate, which indicates the disappearance of symptoms, is at an impressive 93% after one session and increases to as high as 97% with multiple sessions. Radiological success rates start from only about 17.5-19%, but they also improve significantly and hit up to around the72%-73% range with repetition.3 In hypertensive patients alone undergoing just one sclerotherapy treatment may have them experience a return back to normal blood pressure almost nine times out ten (88%) according to Akinci et al.'s research.24 Unfortunately though it should not ever happen on any patient who has paraplegic cysts since there's always that risk involved where placing this sclerosing agent results into cases of renal hilum diffusion taking place instead.

A surgical procedure that involves removing the protruding dome has shown to yield superior outcomes, boasting a clinical success rate of 97% and radiological success rate of 94%, as per Atug F, et al.25 However, this method is associated with higher postoperative discomfort and lengthier hospitalization periods compared to other techniques mentioned in.26 Observations by Atug F, et al. demonstrate suboptimal results for parapyelic cysts (with only a clinical success rate of 93% and radiological effectiveness at merely 81%). Notably, performing puncture on the cyst before surgery does not pose any extra difficulty during an operation according to data presented in literature source.25

Lesions categorized as Bosniak III and IV, along with progressing IIF lesions during follow-up, should be regarded as possibly cancerous and require excision based on established carcinological guidelines (Table 2) that include observing safety margins.2,3 Deciding between conservative or more extensive surgery hinges upon the cyst's size, its position in the body, and the overall health of the patient.

The laparoscopic approach has been established as effective for removing small tumors with reduced pain and hospitalization compared to the open method, without increasing cystic rupture risks.27 Pinheiro et al. found no recurrence after 43.7 months of follow-up. Robot-assisted partial nephrectomy shows promising results in treating cystic tumors when compared to the open approach; Akca et al.'s study exhibited similar success rates and complication risks between both groups.28

Ablative treatment of Bosniak III and IV cysts has been explored by other teams. In one study conducted by Park et al., radiofrequency was evaluated on 14 patients, with satisfactory efficacy observed over a median follow-up of 8 months. On average, each patient required 15 sessions.29 Another preliminary investigation carried out by Carrafiello et al. examined hyperthermia for category III and IV cystic tumors that were less than two centimeters in size; this research had a promising outcome after the twenty-four month monitoring period.30 However, these are early studies involving only small groups of patients.

Conclusion

Currently, there is a sound understanding of the natural history and optimal management for cystic cysts and tumors in the kidney. To effectively manage these conditions, morphological descriptions based on Bosniak classifications can be performed using CT, MRI or contrast ultrasonography. Individuals with Bosniak I and II typically only require treatment if they display symptoms as these types are considered benign. However, surgical excision follows carcinologic rules for Types III to IV classification which indicate their malignancy status. For those classified as Type IIF but may still benefit from imaging surveillance due to progress risk (15-30%), patients must receive notification regarding this fact beforehand. Biopsy often proves controversial yet provides reliable diagnostic results about 88% of the time without increasing any risks. Renal cell carcinoma represents prevalent histology found most among cases where malignant growth was discovered at low stages possessing Fuhrman grades; however current research around managing case-specific incidences largely remains limited by small scale studies that rely retrospectively analyzed data sets primarily contributing its main limitation factor.

Authors contribution

Maachi Youssef And Jaafra Fouimtizi analyzed and interpreted the patient data regarding the subject and were major contributors in writing the manuscript, Tariq Karmouni, Khalid El Khader, Abdellatif Koutani and Ahmed Ibn Attya Andaloussi read and approved the final manuscript.

Acknowledgments

None.

Conflicts of interest

Authors declare no conflict of interest.

References

  1. AC Reese, Johnson PT, Gorin MA, et al. Pathological characteristics and radiographic correlates of complex renal cysts. Urol Oncol. 2014;32(7):1010–1016.
  2. Patard J–J, Baumert H, Bensalah K, et al. Recommandations en onco–urologie 2013 du CCAFU: cancer du rein. Prog Urol. 2013;23:S177–S204.
  3. Long J–A, Neuzillet Y, Correas J–M, et al. Kystes atypiques et tumeurs kystiques du rein: considérations anatomopathologiques, radiologiques et chirurgicales. Conclusions du forum AFU 2007. Prog Urol. 2009;19(1):8–14.
  4. Turgut AT, Odev K, Kabaalioglu A, et al. Dogra Multitechnique evaluation of renal hydatid disease. AJR Am J Roentgenol. 2009; 192(2):462–467.
  5. McGuire BB, Fitzpatrick JM. The diagnosis and management of complex renal cysts. Curr Opin Urol. 2010;20(5):349–354.
  6. Bosniak MA. The use of the Bosniak classification system for renal cysts and cystic tumors. J Urol. 1997;157:1852–1853.
  7. Graumann O, Osther SS, Osther PJS. Characterization of complex renal cysts: a critical evaluation of the Bosniak classification. Scand J Urol Nephrol. 2011;45(2):84–90.
  8. Weibl P, Hora M, Kollarik B, et al. Management, pathology and outcomes of Bosniak category IIF and III cystic renal lesions. World J Urol. 2015;33(3):295–300.
  9. El–Mokadem I, Budak M, Pillai S, et al. Progression, inter–observer agreement, and malignancy rate in complex renal cysts (≥Bosniak category IIF). Urol Oncol. 2014;32(1):24e21–24e27.
  10. Graumann O, Osther SS, Karstoft J, et al. Osther Bosniak classification system: inter–observer and intra–observer agreement among experienced uroradiologists. Acta Radiol. 2015;56(3):374–383.
  11. Zagoria RJ, Gasser T, Leyendecker JR, et al. Differentiation of renal neoplasms from high–density cysts: use of attenuation changes between the corticomedullary and nephrographic phases of computed tomography. J Comput Assist Tomogr. 2007;31(1):37–41.
  12. Suh M, Coakley FV, Qayyum A, et al. Distinction of renal cell carcinomas from high–attenuation renal cysts at portal venous phase contrast–enhanced. CT Radiology. 2003;228(2):330–334.
  13. Benjaminov O, Atri M, O’Malley M, et al. Enhancing component on CT to predict malignancy in cystic renal masses and inter–observer agreement of different CT features. AJR Am J Roentgenol. 2006;186(3):665–672.
  14. Ellimoottil C, Greco KA, Hart S, et al. New modalities for evaluation and surveillance of complex renal cysts. J Urol. 2014;192(6):1604–1611.
  15. Israel GM, Hindman N, Bosniak MA. Evaluation of cystic renal masses: comparison of CT and MR imaging by using the Bosniak classification system. Radiology. 2004;231(2):365–371.
  16. Park BK, Kim B, Kim SH, et al. Assessment of cystic renal masses based on Bosniak classification: comparison of CT and contrast–enhanced US. Eur J Radiol. 2007;61(2):310–314.
  17. Quaia E, Bertolotto M, Cioffi V, et al. Comparison of contrast–enhanced sonography with unenhanced sonography and contrast–enhanced CT in the diagnosis of malignancy in complex cystic renal masses. AJR Am J Roentgenol. 2008;191(4):1239–1249.
  18. Graumann O, Osther SS, Karstoft J, et al. Evaluation of Bosniak category IIF complex renal cysts. Insights Imaging. 2013;4(4):471–480.
  19. O’Malley RL, Godoy G, Hecht EM, et al. Bosniak Category Designation and surgery for complex renal cysts. J Urol. 2009;182(3):1091–1095.
  20. Hindman NM, Hecht EM, Bosniak MA. Follow–up for Bosniak category 2F cystic renal lesions. Radiology. 2014;272(3):757–766.
  21. Harisinghani MG, Maher MM, Gervais DA, et al. Incidence of malignancy in complex cystic renal masses (Bosniak category III): should imaging–guided biopsy precede surgery?. AJR Am J Roentgenol. 2003;180(3):755–758.
  22. Lang EK, Macchia RJ, Gayle B, et al. CT–guided biopsy of indeterminate renal cystic masses (Bosniak 3 and 2F): accuracy and impact on clinical management. Eur Radiol. 2002;12(10):2518–2524
  23. Volpe A, Finelli A, Gill IS, et al. Rationale for percutaneous biopsy and histologic characterisation of renal tumours. Eur Urol. 2012;62(3):491–504.
  24. Akinci D, Akhan O, Ozmen M, et al. Long–term results of single–session percutaneous drainage and ethanol sclerotherapy in simple renal cysts. Eur J Radiol. 2005;54(2):298–302.
  25. Atug F, Burgess SV, Ruiz–Deya G, et al. Long–term durability of laparoscopic decortication of symptomatic renal cysts. Urology. 2006;68(2):272–275.
  26. Agarwal M, Agrawal MS, Mittal R, et al. A randomized study of aspiration and sclerotherapy versus laparoscopic deroofing in management of symptomatic simple renal cysts. J Endourol. 2012;26(5):561–565.
  27. Pinheiro T, Sepulveda F, Natalin RH, et al. Is it safe and effective to treat complex renal cysts by the laparoscopic approach? J Endourol. 2011;25(3):471–476.
  28. Akca O, Zargar H, Autorino R, et al. Robotic partial nephrectomy for cystic renal masses: a comparative analysis of a matched–paired cohort. Urology. 2014;84(1):93–98.
  29. Park BK, Kim CK, Lee HM. Image–guided radiofrequency ablation of Bosniak category III or IV cystic renal tumors: initial clinical experience. Eur Radiol. 2008;18(7):1519–1525.
  30. Carrafiello G, Dionigi G, Ierardi AM, et al. Efficacy, safety and effectiveness of image–guided percutaneous microwave ablation in cystic renal lesions Bosniak III or IV after 24 months follow–up. Int J Surg. 2013;11(Suppl. 1):S30–S35.
Creative Commons Attribution License

©2024 Maachi, et al. This is an open access article distributed under the terms of the, which permits unrestricted use, distribution, and build upon your work non-commercially.