Research Article Volume 3 Issue 1
1Department of Surgery, Kumamoto General Hospital, Japan
2Japan Community Health Care Organization, Kumamoto General Hospital, Japan
3Department of Gastroenterological Surgery, Kumamoto University, Japan
Correspondence: Shinya Shimada, Department of Surgery, Kumamoto General Hospital, Community Health Care Organization (JCHO), 10-10 Tohricho, Yatsushiro, Kumamoto 866-8660, Japan, Tel 81-96-532-7111, Fax 81-96-532-2772
Received: May 08, 2017 | Published: May 23, 2017
Citation: Ikeshima S, Horino K, Shimada S, et al. Should we perform arterial embolization before distal pancreatectomy combined with en bloc resection of the celiac axis for locally advanced pancreatic cancer? Int J Radiol Radiat Ther. 2017;3(1):178-181. DOI: 10.15406/ijrrt.2017.03.00050
Background: Extended distal pancreatectomy combined with en bloc resection of the celiac axis (DP-CAR) has become one of the treatments of choice for locally advanced cancer of the body or tail of the pancreas. Preoperative arterial embolization to prevent ischemic complications is routinely performed before DP-CAR, but its effectiveness is unclear.
Methods: Between October 2014 and March 2017, 11 consecutive patients underwent extended distal pancreatectomy for locally advanced cancer of the body or tail of the pancreas at the Department of Surgery, Kumamoto General Hospital, Japan. We performed DP-CAR in 3 patients (the DP-CAR group) and DP without en bloc resection in 8 patients (the DP group). We compared various patient characteristics and preoperative and postoperative parameters between the two groups.
Results: The patients included 5 males and 6 females. Their median age was 76.5 (56-86)years. None of the examined patient characteristics or preoperative or postoperative parameters differed significantly between the groups. No episodes of gastropathy or delayed gastric emptying occurred in either group. None of the patients suffered major postoperative complications or required perioperative blood transfusions.
Conclusion: Performing DP-CAR without preoperative embolization might not increase the risk of postoperative complications.
Keywords: embolization, DP-CAR
PF, pancreatic fistulas; T-Bil, total bilirubin; AST, aspartate aminotransferase; ALT, alanine transaminase; ALP, alkaline phosphatase; CRP, c-reactive protein; WBC, white blood cell; POD, postoperative days; CT, computed tomography
Although it is well known that the prognosis of pancreatic cancer is much worse than those of other types of gastroenterological cancer, recent developments in the treatment of pancreatic cancer, especially in chemotherapy, have improved the prognosis of advanced pancreatic cancer. However, pancreatectomy is the only way to achieve long-term survival in pancreatic cancer.1 Locally advanced cancer of the body or tail of the pancreas used to be considered to be unresectable as it often invades the celiac axis and the surrounding nerve plexus. Since extended distal pancreatectomy combined with en bloc resection of the celiac axis (DP-CAR) for locally advanced pancreatic cancer was developed2 and reported,3 it has become one of the treatments of choice for locally advanced cancer of the body or tail of the pancreas at high volume centers for hepatobiliary/pancreatic surgery.4‒8 Preoperative embolization of the left gastric artery and/or common hepatic artery is often performed prior to DP-CAR to prevent ischemic complications, but its effectiveness is unclear. In addition, arterial embolization is associated with several complications. Regardless of whether preoperative embolization is performed, it is very important to confirm that the blood flow through the proper hepatic artery is sufficient using intraoperative ultrasonography and/or by palpating the patient’s pulse after temporarily blocking the celiac axis.4 We examined the cases of patients who underwent DP-CAR without preoperative embolization and investigated their postoperative courses and any associated problems.
This study was a retrospective, non-interventional, observational study. It was approved by the institutional ethics committee of Kumamoto General Hospital and performed in accordance with the Helsinki Declaration of 1975. Between October 2014 and March 2017, a total of 11 consecutive patients underwent extended distal pancreatectomy with or without en bloc resection of the celiac axis for locally advanced cancer of the body or tail of the pancreas at the Department of Surgery, Kumamoto General Hospital, Japan. Preoperative embolization was not performed in any of these cases.
We carried out DP-CAR in 3 patients (the DP-CAR group) and DP without en bloc resection of the celiac axis in 8 patients (the DP group). In the DP-CAR cases, the patients were placed in the supine position under general and subdural anesthesia. After an upper midline incision had been made, we performed Kocher mobilization in front of the inferior vena cava. The greater omentum was then separated from the colon, and the pancreas was revealed. The DP-CAR procedure included en bloc resection of the celiac, common hepatic, and left gastric arteries; the celiac plexus and ganglia; the nerve plexus around the superior mesenteric artery; part of the crus of the diaphragm; the Gerota fascia; the left adrenal gland; the retroperitoneal fat tissue containing lymph nodes above the left renal vein; the part of the transverse mesocolon covering the body of the pancreas; and the inferior mesenteric vein. Resection of the portal vein and the middle colic vessels was considered optional (Figure 1).5 On the other hand, in the DP procedure the celiac, common hepatic, and left gastric arteries were preserved, but the other procedures were the same as those performed during DP-CAR. We transected and closed the pancreas using a stapling device (Echelon FlexTM, ETHICON, USA) and a green or black cartridge. Before the stapling, we routinely covered the surface of the pancreatic incision line using a polyglycolic acid sheet (Neoveil, Gunze CO., Ltd., Japan), which was held in place with fibrin glue (Bolheal, Chemo-Sero-Therapeutic Research Institute, Japan), in order to prevent pancreatic fistulas (PF).
Figure 1 DP-CAR procedure with en bloc resection includes the celiac axis (CA), common hepatic artery (CHA), and left gastric arteries (LGA) (solid line). Standard DP procedure just preserved the celiac, common hepatic, and left gastric arteries (doted line). It had been often that embolization is performed to a left gastric artery and/or a common hepatic artery (spiral line).
The following patient characteristics and preoperative/postoperative parameters were examined in the two groups: age (years); sex; the serum levels of total bilirubin (T-Bil) (mg/dL), aspartate aminotransferase (AST) (IU/L), alanine transaminase (ALT) (IU/L), alkaline phosphatase (ALP) (IU/L), amylase (IU/mL), and C-reactive protein (CRP) (mg/dL); the white blood cell count (WBC) (/μL); the operative time (min), the amount of intraoperative hemorrhaging (mL), the blood transfusion requirement, and the presence/absence of PF. We obtained postoperative measurements at two points, postoperative days (POD) 1 and 3.
All data were transferred to Microsoft Excel® (Microsoft Corporation, Washington, District of Columbia, USA) for analysis. Data are presented as mean±SD or median values. The statistical analyses were performed using the Student’s t-test and Yates’ chi-square test. Differences were considered to be significant at the level of p<0.05.
The patients included 5 males and 6 females. Their median age was 76.5(56-86)years. None of the examined patient characteristics, including age; gender; the preoperative serum levels of total bilirubin, AST, ALT, ALP, CRP, and amylase; and the WBC differed significantly between the two groups (Table 1). In addition, there were no significant intergroup differences in the postoperative serum levels of total bilirubin, AST, ALT, ALP, CRP, or amylase or the WBC on POD 1 or 3. In the DP-CAR group, high serum AST, ALT, and ALP levels were detected in one case (Figure 2) on POD 1, but they had decreased by POD 3.
DP-CAR Group |
DP Group |
P-Value |
|||
Case 1 |
Case 2 |
Case 3 |
(n=8) |
||
Age |
77 |
76 |
83 |
75.8±9.7 |
0.4912 |
Sex (M/F) |
F |
M |
M |
5-Mar |
0.8978 |
T-Bil |
|||||
Pre |
0.5 |
0.9 |
0.5 |
0.74±0.44 |
0.6264 |
POD 1 |
0.7 |
1.2 |
0.9 |
1.18±0.82 |
0.4733 |
POD 3 |
0.8 |
0.9 |
1 |
0.94±0.57 |
0.862 |
AST |
|||||
Pre |
18 |
24 |
18 |
24.5±5.6 |
0.1598 |
POD 1 |
496 |
37 |
41 |
39.5±15.4 |
0.4239 |
POD 3 |
56 |
25 |
28 |
26.6±6.7 |
0.4306 |
ALT |
|||||
Pre |
12 |
21 |
15 |
18.9±3.8 |
0.4014 |
POD 1 |
331 |
34 |
27 |
29.6±11.4 |
0.4194 |
POD 3 |
113 |
26 |
26 |
22.6±6.3 |
0.3804 |
ALP |
|||||
Pre |
286 |
191 |
169 |
222.1±61.8 |
0.8803 |
POD 1 |
640 |
136 |
144 |
154.8±29.6 |
0.4584 |
POD 3 |
453 |
193 |
226 |
203.3±39.2 |
0.4043 |
WBC |
|||||
Pre |
3110 |
6920 |
4870 |
5930±2118 |
0.5091 |
POD 1 |
14700 |
10330 |
13208 |
13857±4536 |
0.6036 |
POD 3 |
13890 |
8830 |
16950 |
14333±5593 |
0.7398 |
CRP |
|||||
Pre |
0.11 |
0.06 |
0.12 |
0.304±0.498 |
0.2793 |
POD 1 |
6.33 |
8.04 |
10.3 |
10.42±3.96 |
0.2627 |
POD 3 |
8.23 |
7.85 |
24.23 |
15.77±5.38 |
0.7159 |
Amylase |
|||||
Pre |
66 |
104 |
134 |
113.8±30.4 |
0.6151 |
POD 1 |
584 |
102 |
218 |
229.4±130.8 |
0.6761 |
POD 3 |
55 |
11 |
56 |
119.5±179.9 |
0.2631 |
PF (- or A/B or C) |
A |
- |
B |
6-Feb |
0.5648 |
Amount of hemorrhaging (g) |
340 |
310 |
450 |
443.8±470.9 |
0.6654 |
Operative time (min) |
293 |
190 |
240 |
198±75.1 |
0.326 |
Table 1 Serum amylase was observed between the two groups

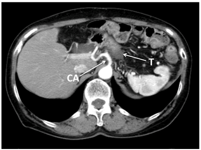
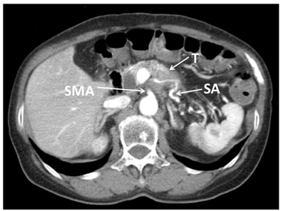
Figure 2 Abdominal CT showed locally advanced cancer of the body of the pancreas. The tumor (T) had infiltrated into the celiac axis (CA), splenic artery (SA), superior mesenteric artery (SMA) and perineural invasion into the surrounding nerve plexus was also observed.
There were no significant differences in the operative time, amount of intraoperative hemorrhaging, or frequency of PF between the two groups. No episodes of gastropathy or delayed gastric emptying occurred in either group. None of the patients required perioperative blood transfusions or suffered major postoperative complications.
DP-CAR for locally advanced pancreatic cancer is generally carried out at high volume institutions for hepatobiliary/pancreatic surgery. In the past, the left gastric artery and/or common hepatic artery was subjected to preoperative embolization (to prevent ischemic complications, such as ischemic gastritis or ischemic hepatopathy) in most patients who underwent DP-CAR, whereas recent studies have suggested that the benefits of preoperative embolization are unclear.4,9 This study suggested that the absence of preoperative arterial embolization before DP-CAR does not increase the risk of postoperative complications.
The blood flow through the proper hepatic artery is very important. So, during DP-CAR we confirm that there is sufficient blood flow through the proper hepatic artery using intraoperative ultrasonography and by palpating the pulse after temporarily blocking the celiac axis. We consider proper hepatic artery reconstruction if the blood supply is judged to be insufficient.
Due to improvements in medical equipment, such as computed tomography (CT), it has become possible to obtain sufficient preoperative information about abdominal vascular structures and blood flow non-invasively. However, the change in abdominal organ blood flow induced by the interruption of blood flow through the celiac axis cannot be determined. We never interrupt the blood flow through the celiac axis preoperatively, if we can evaluate sufficiently whether it is possible to cut it off. So, it is rational to not perform arterial embolization due to the risks associated with the procedure itself. It is also important to evaluate the changes in the hemodynamics of the stomach while evaluating the blood flow through the proper hepatic artery by clamping the celiac axis.
The performing of DP-CAR without preoperative embolization might not increase the risk of postoperative complications. During DP-CAR, it is very important to intraoperatively evaluate the blood flow through the proper hepatic artery after temporarily blocking the celiac axis. As this study was too small to allow definitive conclusions to be drawn, we should carry out a large-scale study in future to confirm our findings.
None.
Author declares that there is no conflict of interest.
©2017 Ikeshima, et al. This is an open access article distributed under the terms of the, which permits unrestricted use, distribution, and build upon your work non-commercially.