Submit manuscript...
International Journal of
eISSN: 2574-8084

Radiology & Radiation Therapy

Case Report Volume 6 Issue 6

Spontaneous pneumoperitoneum, a clinical dilemma report of a case

Alejandro Weber Sánchez, Pablo Weber, Sofia Mateos

Department of Surgery, Hospital Angeles Lomas, Mexico

Correspondence: Alejandro Weber Sánchez, Department of Surgery, Hospital Angeles Lomas, Mexico, Tel 525543504996

Received: October 22, 2019 | Published: November 29, 2019

Citation: Sánchez AW, Weber P, Mateos S. Spontaneous pneumoperitoneum, a clinical dilemma report of a case. Int J Radiol Radiat Ther. 2019;6(6):221-223. DOI: 10.15406/ijrrt.2019.06.00251

Download PDF

Abstract

Intraabdominal free air without perforation of a hollow viscus is a rare clinical condition. Spontaneous pneumoperitoneum as it is known, its a clinical challenge for both diagnosis and treatment. It generates the doubt on whether to perform or not an emergency surgery. We present the clinical case of a patient with massive spontaneous pneumoperitoneum and acute abdomen without perforation of hollow viscus. A laparoscopy was performed but no obvious perforation sight was found. In cases of great doubt laparoscopy is a minimally invasive procedure that makes possible to stablish the diagnosis or solve the problem as needed.

Keywords: spontaneous pneumoperitoneum, laparoscopy, idiopathic pneumoperitoneum, hollow viscus perforation

Abbreviations

SP, spontaneous pneumoperitoneum; VAS, visual analogue scale of pain; NSAIDs, non-steroidal anti-inflammatory drugs; BP, Blood pressure; BUN, blood urea nitrogen; Na, Sodium; K, Potassium; Cl, chlorine; Ca, calcium; P, phosphorus; AST, aspartate transaminase; ALT, alanine transaminase; LDH, lactate dehydrogenase; CT, computed tomography; MRI, magnetic resonance imaging

Introduction

The presence of spontaneous pneumoperitoneum (SP) is a rare situation poorly identified and frequently assumed to be secondary to hollow viscus perforation being a challenge for diagnosis and treatment. Intense abdominal pain, distention, nausea and vomiting, along with radiologic signs of free air in the abdomen are associated with perforation in up to 90% of cases. In the other 10%, hollow viscus perforation is not the cause.1 These patients may be asymptomatic, referring vague symptomatology or as in the case presented here with classic signs and symptoms of an acute abdomen.2 Multiple etiologies may cause this pathology, creating a medical and surgical dilemma as it generates the doubt on whether to perform an emergency surgical procedure or to decide a conservative approach with the risk of a delayed surgical management.

Case report

A 60-year-old female patient was admitted to the emergency department referring sudden abdominal progressive pain (VAS 10-10) along with severe abdominal distention, diaphoresis, general discomfort and constipation. She had a history of breast quadrantectomy twenty years before secondary to breast cancer in remission at the time of her admission, fundoplication, and hysterosalpingo-oophorectomy. She was on multiple drug treatment with anxiolytics, citalopram and olanzapine because of alimentary tract disorder, allopurinol and colchicine because of hyperuricemia, and chronic use of NSAIDs as a treatment for arthritis.

On physical examination the patient was anxious, but alert and oriented, with paleness and dehydration of skin and mucous membranes. Vital parameters showed tachycardia of 100bpm, tachypnea 22bpm, BP 114/72mmHg, Temp 35.9ºC and SO2 82%. No abnormal heart murmurs or breath sounds. Abdomen with scars of previous surgeries, severely distended, tympanic, with intense tenderness on palpation, generalized positive rebound and aperistalsis.

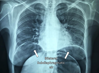
Laboratory tests showed: Hemoglobin: 13.2g/dl, Hematocrit: 41.3%, Leucocytes: 7.8103/L, Bands: 2%, Platelet: 353103/L, BUN: 14.2mg/dl, Creatinine: 0.83mg/dl, Na: 12meq, K: 3.80meq, Cl: 108meq, Ca: 6.60meq, P: 3.29meq, Albumin: 4g/dl, AST: 23U/L, ALT: 12U/L, Alkaline phosphatase: 91U/L, LDH: 244U/L, Amylase: 265U/L, Lipase: 11U/L. Plain abdominal and chest X-rays showed acute gastric dilatation and massive pneumoperitoneum (Figures 1&2). Due to the medical and surgical history which included chronic use of NSAIDs, as well as her symptoms, physical exam and imaging studies, the suggestive diagnosis of hollow viscus perforation was made, so an exploratory laparoscopy was performed to address the problem. Laparoscopic inspection of the abdominal cavity, revealed free serous fluid in the pelvic cavity without evidence of sepsis or intestinal fluid (Figure 3). A dilated stomach without obvious perforation and gas infiltration in lesser omentum was observed (Figures 4&5). An exhaustive review was carried out throughout the small bowel from Treitz ligament to the ileocecal valve and the entire colon length to rule out possible sites of perforation, without finding any evidence of it. Aspiration of the liquid and thorough irrigation of the abdominal cavity with saline solution was performed, and finally drainage was placed in the subhepatic space. Postoperative course was uneventful. She was started on liquids at 48hs after surgery, the drainage was removed and she was discharged on the fifth day after the surgical procedure. She was seen at the office several times after this event. Currently she lives a normal life, without restrictions secondary to this episode.

Figure 1 Massive gastric dilatation and free intra-abdominal air.

Figure 2 Bilateral free subdiaphragmatic air.

Figure 3 Free serous fluid in the pelvic cavity.

Figure 4 Infiltrated gas in lesser omentum without evidence of perforation. 

Figure 5 Massive gastric dilatation.

Discussion

Although there is scarce information in the literature, SP might have a multifactorial etiology originated in the abdomen itself, thorax, gynecologic tract or iatrogenic causes. It might not always require emergency surgery, because not always it is secondary to an abdominal visceral perforation. But some times the cause is found until surgery is performed.1,3 SP from an intrathoracic route is the most frequently reported cause in nonsurgical peritoneal air collections.1,3−6 Intermittent positive-pressure ventilation may lead to air forced into the abdominal cavity by direct passage through microscopic pleural and diaphragmatic defects or through the mediastinum along the perivascular connective tissue, traveling retroperitoneally, and then entering into the peritoneal cavity.5,7 The real incidence of SP secondary to prolonged mechanical ventilation is unknown, but some studies report that approximately 7% of intubated patients in intensive care units might develop this condition.4 Other known causes of SP are Pneumatosis cystoides intestinalis and infections caused by gas producing organisms such as Clostridium. Penetrating abdominal wounds or gastrointestinal endoscopic procedures with excessive air insufflation are also reported to cause SP.8−10 In some cases the etiology may remain unknown.6

In cases like the one presented here, SP is probably secondary to a microperforation of hollow viscus, which causes air leakage, but does not allow gastric or intestinal contents to leak into the abdominal cavity. The clinical history of the patient is important for the diagnosis. Recent or past events that could origin SP have to be taken into account to avoid unnecessary surgery, but at the same time avoiding the risk of a delayed surgical procedure when it is necessary. In this patient, during laparoscopic inspection of the abdomen, an extremely dilated stomach, lesser omentum infiltrated by air, without gastric leakage were seen. Taking into account the history of fundoplication with a probable vagus nerve damage and chronic NSAID’s consumption could be factors that cause acute gastric outlet obstruction with massive dilatation. This might draw the conclusion that the acute gastric dilatation and secondary increased intragastric pressure, caused the outpouring of gas which infiltrated the omentum and the abdominal cavity, probably through perivascular spaces around the small branches of the left gastric artery. Usually, the diagnosis of pneumoperitoneum is easy when there is evidence of free air in the abdomen seen in simple abdomen and chest x-rays, even when it is limited to subdiaphragmatic spaces. Most of the times, it is due to a hollow viscus perforation in any part of the intra-abdominal tract from the intra-abdominal esophagus to the rectum. However, not all pneumoperitoneum cases are due to perforation and the exact diagnosis in these cases is difficult. Laboratory tests are usually not useful to find the cause of the SP, but if a patient doesn’t have leucocytosis or abnormal values of procalcitonin or CRP as markers of infection the problem may be initially managed conservatively. Imaging studies with greater sensitivity and specificity, such as a CT scan or MRI might be of help. But if the patient’s condition is unstable, as in this case, it is preferable to perform a diagnostic laparoscopy, since surgical damage with this minimally invasive procedure will always be less than the one caused by laparotomy, and in most cases, it can also be therapeutic. Diagnostic laparoscopy has become the gold standard to investigate and treat this condition, even if its etiology remains obscure.7

It is important to mention that in both laparoscopic and open approaches, a thorough examination of the entire intra-abdominal digestive tract should be performed to rule out that there is no frank perforation site. If this is the case no further surgical maneuvers are needed. In the case of an asymptomatic patient with stable clinical conditions, the approach may be conservative but expectant of any deleterious changes that may require an emergency surgical procedure.

Conclusion

Spontaneous pneumoperitoneum is rare condition, which represents a challenge for its etiological diagnosis, and can become a dilemma for the surgeon, especially when a conservative approach is considered, and can be a risk for the patient if the cause is a hollow viscus perforation. Laparoscopy in cases of doubt may be the best approach.

Acknowledgments

None.

Funding

None.

Ethical consent

None.

Conflicts of interest

Authors declare that there is no conflict of interest.

References

Creative Commons Attribution License

©2019 Sánchez, et al. This is an open access article distributed under the terms of the, which permits unrestricted use, distribution, and build upon your work non-commercially.