Submit manuscript...
International Journal of
eISSN: 2574-8084

Radiology & Radiation Therapy

Case Report Volume 4 Issue 2

The efficiency of CT at pre-operative evaluation stage of PCI in patients with recurrent ovarian cancer

Hural O,1 Mylyan Y,2 Fetsych M,3 Yarema R3

1Lviv regional phthisio-pulmonological medical - diagnostic centre, Ukraine
2Department of Radiology, Danylo Halytskyy Lviv National Medical University, Ukraine
3Department of Oncology, Danylo Halytskyy Lviv National Medical University, Ukraine

Correspondence: Hural O, Lviv state oncological regional medical - diagnostic centre, Lviv regional phthisio-pulmonological medical - diagnostic centre, Ukraine

Received: June 18, 2017 | Published: August 30, 2017

Citation: Hural O, Mylyan Y, Fetsych M, et al. The efficiency of ct at pre-operative evaluation stage of PCI in patients with recurrent ovarian cancer. Int J Radiol Radiat Ther. 2017;4(2):349-352. DOI: 10.15406/ijrrt.2017.04.00092

Download PDF

Aims and Objectives

Ovarian cancer (OC) is one of the most serious problems of modern oncology and ranks third/fourth among tumors of the reproductive system and the seventh place in the overall structure of cancer incidence in the world. Global incidence of ovarian cancer is 6.5cases per 100thousand of female population, and in countries with high economic development - 10-15,5cases per 100thousand women.1 However, mortality from ovarian cancer overlaps mortality from all death rates caused by combined oncogynecology pathology,2,3 and ranks fifth as a cause of death from all cancers in women.4 In Ukraine, the death rate from ovarian cancer reaches 8.1 per 100 thousand of female population, with no tendency to steady decrease. High rates of mortality in ovarian cancer due to the fact that the initial stage (I-II) of disease is diagnosed only in one-third of newly diagnosed patients, and the percentage of common cancer types is 70%.3,4 Five-year survival in ovarian cancer is 20-25%.2,3 One of the fundamental problems in the treatment of patients with ovarian cancer is hiddencell dissemination, which occurs in the early stages of the disease even when ovaries are not enlarged. It is caused by intra-abdominal implantation metastasis, which is the final stage of clinical manifestation of peritoneal carcinomatosis. Thus, the aim of our study was to investigate the diagnostic value and/or efficacy of spiral computed tomography with contrast enhancement in detection and assessment of peritoneal canceromatosis in patients with ovarian cancer.

Keywords: metastasis, carcinomatosis, canceromatosis, computed tomography, clinical manifestation, ovarian cancer

Methods and Materials

The CT imaging of abdomen and pelvic region with contrast enhancement using one slice spiral computed tomography Somatom Emotion (Siemens, Germany) was performed. The retrospective analysis of the results of pre-operative CT in 32 patients with advanced ovarian cancer and peritoneal canceromatosis was carried out/implemented. Within this population the average age was 53,2±6years. Out of the 32 patients, 7 had stage FIGO II, 24 had stage FIGO III and 1 had stage FIGO IV. Due to the histological subtypes the ovarian cancer had the following distribution: serous papillary carcinoma in 27(24,4%), clear cell in 1(3,1%), papillary carcinoma in 1(3,1%) and mucinous adenocarcinoma in 3(9,4%) patients. Cytoreductive therapy for all patients was held. Thus, six cycles of chemotherapy protocol CP (cyclophosphamide 750mg/m2 and cisplatin 75mg/m2) or PC (paclitaxel 175mg/m and carboplatin auc 5) were held. 8 patients underwent neoadjuvant chemotherapy (3 cycles CP), cytoreductive surgical therapy with further adjuvant chemotherapy. 17 patients showed disease progression in more than 12months (clinically sensitive to platinum derivatives). In 8 patients disease progression less than a year after the end of treatment was diagnosed. 25 patients underwent surgical treatment of recurrent tumor with following chemotherapy using platinum derivatives if sensitivity to the drug was present. In case of moderate sensitivity to platinum derivatives after surgical treatment the chemotherapy of 2nd line was applied. While planning primary and repetitive cytoreductive therapy CT of the abdomen and pelvis using one slice spiral CT «Somatom Emotion» («Siemens», Germany) with spiral type scan axial plane was performed.5‒10 Technical parameters of the scan were: voltage - 130kV, current - 11mA, spiral step-3.0-5.0mm, tube rotation time -1.0sec. Intravenous and oral contrast enhancement to improve visualization of the pathological process was performed. For intravenous contrast enhancement water-soluble low osmolarity radiocontrast agent (iohexol, iopromide) with the calculation of 1.4ml per kg body weight of the patient was used. Gastrointestinal tract was filled with water-soluble high ocmolarity radiocontrast agents or other negative (water) solutions. While detecting of peritoneal carcinomatosis implants location and size of the latter were evaluated. After CT was performed all patients were operated. The average time between CT and surgery was 17days. The true data of the distribution and the implants’ size were received during the surgical revision of the abdomen and pelvis, which was in detail recorded during the surgery. Comparing the CT results with the data of intraoperative revision, the P. Sugarbaker’s classification of peritoneal carcinomatosis index (PCI) was used.11 According to the latter abdomen is divided conditionally with two horizontal and two vertical lines into nine quadrants, small intestine - along into four parts (proximal and distal parts of jejunum and ileum), in total 13 sites. In each area the size of the largest implant is determined, expressed in points: no implants - 0 points, <0.5cm - 1 point, 0,5-5,0cm - 2 points, >5.0cm or confluent implants - 3 points. PCI is a total score in all areas, which can take values ​​from 0 to 39 (Figure 1).

Figure 1 Intraperitoneal chemotherapy and cytoreductive surgery for the prevention and treatment of peritoneal carcinomatosis [1].

Results

Peritoneal carcinomatosis was stated during the intraoperative review and verified histopathologically in all patients. Most often the peritoneum in pelvic and central abdominal region were harmed, both with equal percentage 90%. Small intestine peritoneum, except the proximal jejunum, was less affected with the lowest rate 50%. PCI was in the range from 5 to 28 (average index - 19) (Figure 2) (Figure 3). These are the areas of typical dissemination processes in peritoneum:

    1. Recto-uterine pouch (the Douglas space);
    2. Infundibular-pelvic ligaments;
    3. Greater omentum;
    4. Right lateral (paracolar) canal;
    5. Abdominal surface of the right diaphragm dome;
    6. Liver fibrous capsule (Glisson's capsule);
    7. Hepatorenal recess of subhepatic space (Morrison pouch)
    8. Small-bowel mesentery (Figure 4‒7).

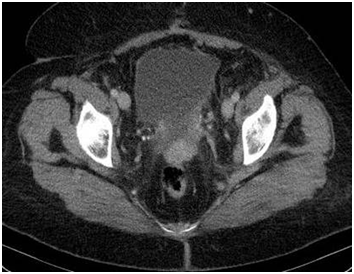
Figure 2 CT image of solid oval implant of homogenous structure, 27х16mm in Douglas space.

Figure 3 Confluent implant of greater omentum on CT scan and intraoperative image.

Figure 4 CT image of implants of right lateral canal and right iliac region.

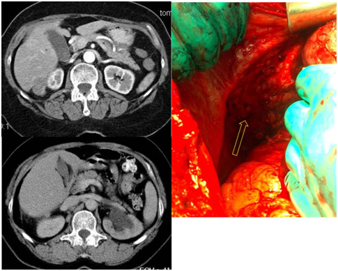
Figure 5 Implants of abdominal surface of the right diaphragm on CT scan and intraoperative image.

Figure 6 Implants of liver fibrous capsule (Glisson's capsule) on CT scan and intraoperative image.

Figure 7 Implants of hepatorenal recess of peritoneum (Morrison pouch) on CT scan and intraoperative image.

The following were the most frequent CT findings of dissemination in small-bowel mesentery and omentum:

    1. Nodular thickening and contrast enhancement of small-bowel mesentery;
    2. Reticulonodular infiltration of small-bowel mesentery and greater omentum («greater omental pancake»);
    3. Ascites of abdomen and omental bursa;
    4. Cystic nodules with solid components (papillary adenocarcinoma);
    5. Nodules with calcifications (serous adenocarcinoma).

It should be noted that during the clinical gynecological and transvaginal ultrasound examinations the signs of peritoneal dissemination with the recurrent tumor in the pelvic region were found only in 6 patients. Peritoneal carcinomatosis was diagnosed preoperatively in all 32 patients on CT. The measurements of implants, visualized on pre-operative CT were correctly determined in 72,8%, reduced in 25,2% and overestimated in 2,0% cases. The total/general sensitivity made 62% and was the smallest (25,9%) when the tumor size was <1,0cm, and the highest (87,9%) when the tumor size was > 5,0cm. The specificity of CT made 99% and shows high capacity of CT differentiate the peritoneal implant from other pathological process. Total accuracy of CT made 75% (Figure 8). Specificity of CT method was 99% (95% DI=98-100), proving high CT productivity in differentiating of implants on peritoneum from other pathological processes. In our study only in one case false-positive result was received. Its reason could have been a marked peritoneum fibrosis after prior surgery. The total CT accuracy was 75% (95% DI=69,8-80,2). A comparative analysis of PCI, received by the results of CT and intraoperative revision, was performed and showed statistically reliable distinction between them (X= 10.75 CT, x-OP=18.75, p<0.0001). This means underestimation of PCI, calculated from CT. This tendency could be caused by the difficulties in detecting small peritoneal implants, which, however, had not obscured the peritoneumectomy. The PCI was not exceeded in any of the cases. Therefore, this radiological method allows us to adequately evaluate tumor unresectability and does not create false contraindications in the selection of patients for cytoreductive surgery. The study results coincide with the data from other authors’ publications. In particular, most scientists consider CT as a reliable method for detecting small tumors. F.V. Coakley and his co-authors state that CT sensitivity in detecting implants of the size <1cm was significantly lower (25-50%), than the total sensitivity (85-93%).12 Regarding the effectiveness of the other radiological diagnostic methods, R.N. Low and his co-authors reported about the preciseassessment of PCI using MRI in 88% patients, as well as the sensitivity and specificity of this method at 88% and 74%, respectively.13 The use of state-of-the-art multislice CT allows increasing the effectiveness of CT for staging peritoneum carcinomatosis. The possibility to scan with thin sub milimeter slices with high velocity improved visualization of metastases. M.A. Mazzei and his co-authors note general sensitivity of multi detector CT at the level of 72% and specificity-80%.10 Thus, diagnosis of peritoneum carcinomatosis in patients with ovarian cancer using CT has certain limitations. However, due to its availability CT remains the most frequently used method for staging the disease. Despite possible declinations in preoperative assessment of peritoneal metastasis dissemination from the accurate picture, this method gives the opportunity to adequately carry out the selection of patients for surgical treatment.14,15

Figure 8 CT sensitivity depending on the size of implantation metastasis.

Conclusion

The use of single slice CT with contrast enhancement in patients with ovarian cancer is an informative method in detecting peritoneal carcinomatosis which facilitates correct diagnosis establishment. The sensitivity of CT depends on the size of peritoneal implants. This method allows to provide planning of combined treatment of patients with ovarian cancer and determine the possibility of cytoreductive surgery.

Acknowledgements

None.

Conflict of interest

Author declares that there is no conflict of interest.

References

  1. Weiderpass E, Labreche F. Malignant tumors of the female reproductive system. Saf Health Work. 2012;3(3):166‒180.
  2. http://unci.org.ua/en/bulletin-national-cancer-registry-of-ukraine/
  3. Jemal A, Siegel R, Xu J, et al. Cancer statistics. Cancer J Clin. 2010;60(5):277‒300.
  4. Crauford R, Woo Y. Ovarian cancer. In: Shafi MI, editors. Gynaecological Oncology. USA: Cambridge University Press; p. 119‒131.
  5. Vitale SG, Marilli I, Lodato M, et al. The role of cytoreductive surgery in advanced-stage ova­rian cancer: a systematic review. Updates Surg. 2013;65(4):265‒270.
  6. Armstrong D, Bundy B, Wenzel L, et al. Intraperitoneal cisplatin and paclitaxel in ovarian cancer. N Engl J Med. 2006;354(1):34‒43.
  7. Sugarbaker PH. Intraperitoneal chemotherapy and cytoreductive surgery for the prevention and treatment of peritoneal carcinomatosis and sarcomatosis. Semin Surg Oncol. 1998;14(3):254‒261.
  8. Bakrin N, Bereder JM, Decullier E, et al. Peritoneal carcinomatosis treated with cytoreductive surgery and hyperthermic intraperitoneal chemotherapy (HIPEC) for advanced ovarian carcinoma: A French multicentre retrospective cohort study of 566 patients. Eur J Surg Oncol. 2013;39(12):1435‒1443.
  9. Gu P, Pan LL, Wu SQ. CA125, PET alone, PET-CT, CT and MRI in diagnosing recurrent ovarian carcinoma: a systematic review and meta-analysis. Eur J Radiol. 2009;71(1):164‒174.
  10. Mazzei MA, Khader L, Cirigliano A, et al. Accuracy of MDCT in the preoperative definition of Peritoneal Cancer Index (PCI) in patients with advanced ovarian cancer who underwent peritonectomy and hyperthermic intraperitoneal chemotherapy (HIPEC). Abdom Imaging. 2013;38(6):1422‒1430.
  11. Jacquet P, Sugarbaker PH. Clinical research methodologies in diagnosis and staging of patients with peritoneal carcinomatosis. Cancer Treat Res. 1996;82(1):359‒374.
  12. Coakley FV, Choi PH, Gougoutas CA, et al. Peritoneal metastases: detection with spiral CT in patients with ovarian cancer. 2002;223(2):495‒499.
  13. Low RN, Barone RM. Combined diffusion-weighted and gadolinium-enhanced MRI can accurately predict the peritoneal cancer index preoperatively in patients being considered for cytoreductive surgical procedures. Ann Surg Oncol. 2012;19(5):1394‒1401.
  14. Limei Z, Yong C, Yan X, et al. Accuracy of positron emission tomography/computed tomography in the diagnosis and restaging for recurrent ova­rian cancer: a meta-analysis. Int J Gynecol Cancer. 2013;23(4):598‒607.
  15. Funicelli L, Travaini LL, Landoni F. Peritoneal carcinomatosis from ovarian cancer: the role of CT and [18F]FDG-PET/CT. Abdom Imaging. 2010;35(6):701‒707.
Creative Commons Attribution License

©2017 Hural, et al. This is an open access article distributed under the terms of the, which permits unrestricted use, distribution, and build upon your work non-commercially.