Submit manuscript...
International Journal of
eISSN: 2574-8084

Radiology & Radiation Therapy

Case Report Volume 6 Issue 4

The use of ultrasound in diagnostic imaging of nafld and the ultrasonographic staging in rural region hospitals

Elisavet Glynou, Chalasti Maria, Vasileios Falireas, Eirineos Karamanis, Athanasios Alexandris, Xynogalas Ioannis, Nikolaos Kapeleris

General Hospital of Kymi “Georgios Papanikolaou”, Greece

Correspondence: Elisavet Glynou, General Hospital of Kymi “Georgios Papanikolaou”, Greece, Tel 6937221322

Received: June 12, 2019 | Published: August 7, 2019

Citation: Glynou E, Maria C, Falireas V, et al. The use of ultrasound in diagnostic imaging of nafld and the ultrasonographic staging in rural region hospitals. Int J Radiol Radiat Ther. 2019;6(4):135-138. DOI: 10.15406/ijrrt.2019.06.00234

Download PDF

Abstract

The purpose of this clinical paper is to discuss the use of ultrasound technology in diagnosing NAFLD as well as to highlight the ultrasound findings and to categorize them. In this study a convex transducer 4C MHz and a General Electric Logiq P6 Pro ultrasound machine were used. Out of the total 1150 patients examined as well as 7 obese children, a total of 582 patients were diagnosed with NAFLD. In conclusion, ultrasound imaging is an effective way of diagnosing NAFLD as well as differentiating between the different stages of the disease.   

Keywords: ultrasound, Non-alcoholic fatty liver disease, echogenicity, fatty infiltration

Introduction

Non-alcoholic fatty liver disease (NAFLD) is the most common diffuse liver disease, with a worldwide prevalence of 20% to 46%. NAFLD can be subdivided into simple steatosis and nonalcoholic steatohepatitis. Most cases of simple steatosis are non-progressive, whereas nonalcoholic steatohepatitis may result in chronic liver injury and progressive fibrosis in a significant minority. Fatty infiltration of the liver is the result of increased deposition of fat in the liver, which amounts to 5% or greater of the organ’s weight.1 The most important causes are: obesity, type 2 diabetes, toxins and medication (mainly hydrocortisone). It is histologically classified into either macrovesicular or microvesicular steatosis based on the size of the fat droplets accumulated in the cytoplasm of the hepatocytes.  During the last 20 years, prevalence of NAFLD has doubled probably due to the increased prevalence of overweight and obesity in the paediatric population worldwide.2−4

Purpose

Our study’s main purpose is to highlight the importance of U/S in diagnosing NAFLD, especially in rural areas or islands where the use of CT tomography or MRI is difficult, as well as showcasing the ultrasonographic staging of the disease.

Materials & method

In a 4-years period (from 2016 to 2019) a retrospective study of 887 patients with fatty infiltration of the liver was performed, out of which 608 were males and 272 were females, aged 42 to 69 and 7 obese children (age from 8 to 13 years). All patients were examined in the ultrasound cabinet of our hospital (hospitalized, regular appointments and emergency incidents) and subjected to upper abdominal ultrasound scan, with convex transducer 4C MHz, in three ultrasound imaging planes: transverse, oblique and sagittal planes.5−7 In order to better depict the liver, especially in obese patients or those with excessive intestinal gas, the patients were asked to inhale deeply and hold their breath for the duration of the ultrasonographic examination for a few seconds at a time, so that the liver could be visible in its entirety. The ultrasound examination revealed the echogenicity of the parenchyma of the liver and was compared with the parenchyma of the right kidney, the spleen and the pancreas (Figure 1−3). Τhere is always the risk of missing a diagnosis of mild hepatic steatosis on ultrasound if there is concurrent chronic renal disease, which increases the echogenicity of the kidneys (Figure 4), if there is any doubt that the patient might have a chronic renal disease, comparison of the liver to the left kidney and the spleen may be useful.8

Figure 1 Right renal cortex appearing hypoechoic compared to the liver parenchyma.

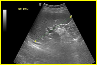
Figure 2 Normal parenchyma of the spleen for comparison.

Figure 3 The fatty infiltration of the liver compared to the parenchyma of the pancreas.

Figure 4 Chronic renal diseases, which increase the echogenicity of the kidneys.

Results

The fatty infiltration of the liver is shown on ultrasound with significantly increased echogenicity "bright liver", in comparison with the right kidney cortex (Figure 1). Normally, the liver and the renal cortex have similar echogenicity, relative to the parenchyma of the pancreas and the spleen. The maximum diameter of the liver in the midclavicular line (MCL) was increased, right lobe>15 cm (Figure 5). Also significant features are the absence of mass effect on intrahepatic vasculature (Figure 6) as well as the poor visualization of the deep parts of the liver (Figure 7), due to decreased permeability of the acoustic beam. A focal or diffuse morphology has been shown to increase the echogenicity of the fatty liver. Differential diagnosis is caused by focal fat infiltration (Figure 8), which has a geographic distribution. In this case, hypoechoic areas correspond to normal hepatic parenchyma on fatty infiltration sites, whereas, normal parenchyma islets can easily be identified due to their typical positions, in front of the right branch of the portal vein, its division, around the area of the gallbladder and the caudate lobe.9−13

Figure 5 Dmax right lobe>15 cm.

Figure 6 Deafness of intrahepatic vessels in fatty infiltration.

Figure 7 Poor visualization of the deeper parts of the organ and inability visualization of the diaphragm. (Grade III of fat filtration).

Figure 8 Focal fat infiltrations Islands of normal liver tissue within a sea of hepatic steatosis (presence of regions with normal echogenicity (islands) in the lipid-infiltrated parenchyma (sea).

Out of our total 1150 patients, 216 were afflicted with grade I fatty infiltration, 351 with grade II (Figure 9) and 19 with grade III (Figure 10). As of the 7 obese children the 2 were diagnosed with grade I fatty infiltration, whereas no ultrasonographic evidence were detected in the remaining 5 children.14 We can sonographically determine the grade of the diffuse hepatic steatosis based on the amount of lipids accumulated in the hepatocytes. Grading is used to communicate to the clinician the extent of the fatty changes in the liver.

Figure 9 Grade II of fat filtration.

Figure 10 Grade III of fat filtration.

Grading of fat infiltration with ultrasound (US Score)

Grade 0=Normal

Normal echogenicity of liver parenchyma, normal visualization of the diaphragm and intrahepatic blood vessels.

Grade I=Mild steatosis

Slightly increased echogenicity of liver parenchyma, normal visualization of the diaphragm and intrahepatic blood vessels.

Grade II=Moderate steatosis

Markedly increased echogenicity of liver parenchyma, slightly decreased visualization of the diaphragm and intrahepatic blood vessels.

Grade III=Severe steatosis

Severely increased echogenicity of liver parenchyma. No or severely decreased visualization of the diaphragm, intrahepatic blood vessels and posterior part of the right liver lobe.15,16

Discussion and conclusion

Ultrasonography (US) is often the first imaging modality used in clinical screening due to its widespread availability and low cost, compared to magnetic resonance-based or computed tomography techniques. Simple fatty infiltration of the liver is a condition which does not cause hepatic impairment to most people, however, steatohepatitis (fatty liver) may occasionally develop into cirrhosis (Figure 11),17 liver failure as well as hepatocellular cancer. The ultrasonographic examination is a simple test that is easy, fast and it’s the method of choice both for detecting non-alcoholic fatty liver disease as well as for clinically guiding patients with or without influenced hepatic biochemistry. The ultrasound method is very reliable in evaluating and staging fatty liver disease, thus helping the clinician in further therapeutic treatment. It has a high sensitivity of over 85% for grade I and 100% for II and III degree of fatty liver infiltration, but with low specificity probably due to the diseases’ coexistence with other pathological conditions such as fibrosis as a result of hepatic necrosis. Fat infiltration of the liver may be reversible if there is not an ongoing underlying process.18−22 In conclusion; ultrasound imaging is an important tool in diagnosing and staging NAFLD.23−32

Figure 11 Cirrhosis (late-stage liver disease).

Acknowledgments

Non-alcoholic fatty liver disease (NAFLD), fat infiltration, ultrasound.

Ethical consent

None.

Conflicts of interest

Author declares that there is no conflict of interest.

References

  1. Fazel Y, Koenig AB, Sayiner M, et al. Epidemiology and natural history of non-alcoholic fatty liver disease. Metabolism. 2016;65(8):1017–1025.
  2. Sonsuz A, Basaranoglu M, Ozbay G. Relationship between aminotransferase levels and histopathological findings in patients with nonalcoholic steatohepatitis. Am J Gastroenterol. 2000;95(5):1370–1371.
  3. Marchesini G, Brizi M, Bianchi G, et al. Nonalcoholic fatty liver disease: a feature of the metabolic syndrome. Diabetes. 2001;50(8):1844–1850.
  4. Angulo P. Nonalcoholic fatty liver disease. N Engl J Med. 2002;346:1221–1231.
  5. Ozturk A, Grajo JR, Gee MS, et al. Quantitative Hepatic Fat Quantification in Non-alcoholic Fatty Liver Disease Using Ultrasound-Based Techniques: A Review of Literature and Their Diagnostic Performance. Ultrasound Med Biol. 2018;44(12):2461−2475.
  6. Singh D, Das CJ, Baruah MP. Imaging of non alcoholic fatty liver disease: A road less travelled. Indian J Endocrinol Metab. 2013;17(6):990−995.
  7. Schwimmer JB, Behling C, Newbury R, et al. Histopathology of pediatric nonalcoholic fatty liver disease. Hepatology. 2005;42(3):641–649.
  8. Hernaez R, Lazo M, Bonekamp S, et al. Diagnostic accuracy and reliability of ultrasonography for the detection of fatty liver: a meta-analysis. Hepatology. 2011;54(3):1082−1090.
  9. Mazhar SM, Patton HM, Scuderi RT, et al. Fatty Liver Disease. In: Sahani DV, Samir AE, editors. Abdominal Imaging. Saunders: an imprint of Elsevier Inc; 2011. p. 595–606.
  10. Chen CH, Lin ST, Yang CC, et al. The accuracy of sonography in predicting steatosis and fibrosis in chronic hepatitis C. Dig Dis Sci. 2008;53(6):1699–1706.
  11. Tchelepi H, Ralls PW, Radin R, et al. Sonography of diffuse liver disease. J Ultrasound Med. 2003;21(9):1023−1032.
  12. Dasarathy S, Dasarathy J, Khiyami A, et al. Validity of real time ultrasound in the diagnosis of hepatic steatosis: a prospective study. J Hepatol. 2009;51(6):1061–1067.
  13. Williams CD, Stengel J, Asike MI, et al. Prevalence of nonalcoholic fatty liver disease and nonalcoholic steatohepatitis among a largely middle-aged population utilizing ultrasound and liver biopsy: a prospective study. Gastroenterology. 2011;140(1):124−131.
  14. Carter-Kent C, Yerian LM, Brunt EM, et al. Non alcoholic steatohepatitis in children: a multicenter clinicopathological study. Hepatology. 2009;50(4):1113–1120.
  15. Kleiner DE, Brunt EM, Van Natta M, et al. Design and validation of a histological scoring system for nonalcoholic fatty liver disease. Hepatology. 2005;41:1313–1321.
  16. Koot BGP, Nobili V. Screening for non-alcoholic fatty liver disease in children: do guidelines provide enough guidance? Obes Rev. 2017;18(9):1050–1060 .
  17. Caldwell SH, Crespo DM. The spectrum expanded: cryptogenic cirrhosis and the natural history of non-alcoholic fatty liver disease. J Hepatol. 2004;40(4):578−584.
  18. Leoni S, To voli F, Napoli L, et al. Current guidelines for the management of non-alcoholic fatty liver disease: A systematic review with comparative analysis. World J Gastroenterol. 2018;24:3361−3373.
  19. Abele JT, Fung CI. Effect of hepatic steatosis on liver FDG uptake measured in mean standard uptake values. Radiology. 2010;254(3):917−924.
  20. Chalasani N, Younossi Z, Lavine JE, et al. The diagnosis and management of nonalcoholic fatty liver disease: practice guidance from the American Association for the Study of Liver Diseases. Hepatology. 2018;67(1):328–357 .
  21. Lazo M, Hernaez R, Eberhardt MS, et al. Prevalence of nonalcoholic fatty liver disease in the United States: the Third National Health and Nutrition Examination Survey, 1988-1994. Am J Epidemiol. 2013;178(1):38−45.
  22. Li Q, Dhyani M, Grajo JR, et al. Current status of imaging in nonalcoholic fatty liver disease. World J Hepatol. 2018;10(8):530−542.
  23. Papandreou D, Rousso I, Mavromichalis I. Update on non-alcoholic fatty liver disease in children. Clin Nutr. 2007;26(4):409–415.
  24. Amarapurkar DN, Hashimoto E, Lesmana LA, et al. Asia-Pacific Working Party on NAFLD. How common is non-alcoholic fatty liver disease in the Asia-Pacific region and are there local differences? J Gastroenterol Hepatol. 2007;22(6):788–793.
  25. Schwenger KJ, Allard JP. Clinical approaches to non-alcoholic fatty liver disease. World J Gastroenterol. 2014;20(7):1712–1723.
  26. Matteoni CA, Younossi ZM, Gramlich T, et al. Nonalcoholic fatty liver disease: a spectrum of clinical and pathological severity. Gastroenterology. 1999;116(6):1413–1419.
  27. Bataller R, Rombouts K, Altamirano J, et al. Fibrosis in alcoholic and nonalcoholic steatohepatitis. Best Pract Res Clin Gastroenterol. 2011;25(2):231–244.
  28. Calzadilla Bertot L, Adams LA. The natural course of non-alcoholic fatty liver disease. Int J Mol Sci. 2016;17(5).
  29. Brunt EM, Janney CG, Di Bisceglie AM, et-al. Nonalcoholic steatohepatitis: a proposal for grading and staging the histological lesions. Am J Gastroenterol. 1999;94(9):2467−2474.
  30. Petitclerc L, Sebastiani G, Gilbert G, et al. Liver fibrosis: Review of current imaging and MRI quantification techniques. J Magn Reson Imaging. 2017;45(5):1276−1295.
  31. European Association for the Study of the Liver. EASL‐EASD‐EASO Clinical Practice Guidelines for the management of non‐alcoholic fatty liver disease. J Hepatol. 2016;64(6):1388−1402.
  32. Fan JG, Kim SU, Wong VW. New trends on obesity and NAFLD in Asia. J Hepatol. 2017;67(4):862−873.
Creative Commons Attribution License

©2019 Glynou, et al. This is an open access article distributed under the terms of the, which permits unrestricted use, distribution, and build upon your work non-commercially.