Submit manuscript...
International Journal of
eISSN: 2574-8084

Radiology & Radiation Therapy

Case Report Volume 11 Issue 5

Unraveling the enigma of cystitis glandularis: Comprehensive Case Report

Ahsan Ali

Diagnostic Radiology, Sind institute of Urology and Transplantation Karachi, Pakistan

Correspondence: Ahsan Ali, Associate Professor of Diagnostic Radiology, Sind institute of Urology and Transplantation Karachi, Pakistan

Received: November 21, 2023 | Published: October 17, 2024

Citation: Ali A. Unraveling the enigma of cystitis glandularis: A Comprehensive Case Report. Int J Radiol Radiat Ther. 2024;11(5):142-143. DOI: 10.15406/ijrrt.2024.11.00402

Download PDF

Abstract

Cystitis glandularis is a non-cancerous proliferative condition affecting the mucous lining of the urinary bladder. This condition is characterized by the overgrowth of mucus-producing glands within the bladder's mucosal and submucosal layers. It typically arises as a chronic reactive inflammatory disorder in response to persistent irritation of the bladder's mucosa. Common causes of this irritation include conditions such as bladder outflow obstruction (e.g., due to benign prostatic hyperplasia), the presence of urinary bladder calculi, and chronic infections. Prolonged irritation prompts the urothelium to form bud-like projections, which extend into the connective tissue beneath the surface epithelium in the lamina propria.

Radiologically, the condition resembles TCC (transitional cell carcinoma); both on ultrasound and on contrast enhanced CT (computed tomography) Scan.

Keywords: Cystitis glandularis, computed tomography, ultrasound, urinary bladder

Introduction

Cystitis glandularis is identified by the excessive growth of mucus-producing glands in the bladder's mucosal and submucosal layers.1,2 Pathologically, it is recognized in two distinct forms.3-7 The first type exhibits an irregular, villous appearance during cystoscopy and is typically located in the bladder's dome. The second type is commonly found near the vesical neck and trigone, often adjacent to the ureteral orifices. In this form, cystoscopy reveals multiple raised structures with a clear boundary between the abnormal and normal mucosa.6,7

On Ultrasound it appears as a soft tissue mass arising from the wall of urinary bladder, showing vascularity on color Doppler ultrasound.

On contrast enhanced CT it appears as soft tissue mass showing marked contrast enhancement; on both modalities it’s appearance resembles to TCC urinary bladder.

Case report

A 26-year-old male presented with a one-week history of lower abdominal pain and discomfort. He did not report any additional symptoms such as hematuria or fever. Laboratory results revealed the following values:

Chemistry

Urea 26 mg/dl, Creatinine 0.77 mg/dl, Sodium 140 mEq/L, Potassium 4.4 mEq/L, Chloride 101 mEq/L, Bicarbonate 26 mEq/L, Calcium 10.97 mg/dl, Phosphorus 3.26 mg/dl.

Hematology

Hemoglobin 15.9 g/dl, PCV 48.3, TLC 9.7, Platelets 378

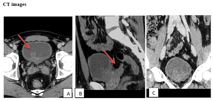
An abdominal ultrasound revealed a polypoidal growth measuring approximately 5.0 x 2.7 x 2.1 cm arising from the base of the urinary bladder, with marked vascularity observed on power Doppler. Subsequently, a contrast-enhanced CT scan of the abdomen and pelvis confirmed the presence of a markedly enhancing, homogeneous polypoidal soft tissue mass, measuring about 5.1 x 2.8 x 2.2 cm, arising from the base of the urinary bladder. (Figure 1)

Figure 1 Contrast enhanced CT images of urinary bladder Axial (A) Sagittal (B) and Coronal (C) showing polypoidal enhancing mass arising from base of urinary bladder.

Histopathological report

Gross examination

SRCO, multiple grey white tissue pieces together measuring 2.0 x 1.0 x 0.5 cm in size. EAS.

Microscopic examination

Sections examined from bladder biopsy reveal fragments of bladder mucosa with intact transitional lining epithelium. Underlying stroma shows numerous Von Brunn’s nests with foci of intestinal metaplasia. Features are of florid cystitis and cystitis glandularis. Scanty detrusor muscle bundles are included and are unremarkable. No dysplasia. No evidence of granuloma dysplasia or malignancy is seen.

Conclusion

Bladder biopsy

Features are of florid cystitis and cystitis glandularis. Scanty detrusor muscle bundles are included and are unremarkable. No dysplasia. No evidence of granuloma dysplasia.

Brief description of histology of urinary bladder.

  • Normal bladder epithelium consists of a transitional cell lining, up to seven cell layers thick, called the urothelium.
  • Deep to the urothelium is the subepithelial connective tissue (i.e., the lamina propria or submucosa), which contains irregularly arranged smoothmuscle fibers.
  • The muscularis (i.e., the detrusor muscle) is adjacent to the lamina propria and surrounded by perivesical fat.
  • Histopathologically, TCCs of the bladder are commonly characterized as low grade (grade I), moderately differentiated (grade II), or poorly differentiated (grade III).

Discussion

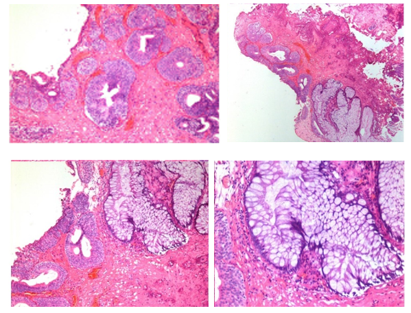
Under the microscope, these lesions can manifest as either a single layer of mucus-producing goblet cells, resembling the mucosa of the large bowel, or as multilayered mucus-producing cells that resemble normal prostatic glands. Both cell types have been identified in both the bladder dome and trigone area.7 (Figure 2)

Figure 2 Under the microscope, these lesions exhibit a single layer of mucus-producing goblet cells.

Since the lesions of cystitis glandularis can appear sessile or pedunculated, they may mimic the cystoscopic appearance of bladder carcinoma. Occasionally, their histological appearance may be mistaken for carcinoma.3,5

While cystitis glandularis typically follows a benign course, there is a concern that this condition might represent a precancerous lesion and could potentially serve as a precursor to the rare adenocarcinoma of the bladder.8

Acknowledgments

None.

Conflicts of interest

The authors declare no competing interests.

References

Creative Commons Attribution License

©2024 Ali. This is an open access article distributed under the terms of the, which permits unrestricted use, distribution, and build upon your work non-commercially.