Submit manuscript...
International Journal of
eISSN: 2574-8084

Radiology & Radiation Therapy

Case Report Volume 6 Issue 1

Various imaging features of diabetic mastopathy: a case series in surabaya oncology hospital, Indonesia

Mardiyana L,1 Rizky T,2 Andriani FR,1 Rahniayu A3,4

1Department of Radiology, Faculty of Medicine Universitas Airlangga, Indonesia
2Department of Radiology, Surabaya Oncology Hospital, Indonesia
3Department of Pathology, Faculty of Medicine Universitas Airlangga, Indonesia
4Department of Pathology, Surabaya Oncology Hospital, Indonesia

Correspondence: Lies Mardiyana, Department of Radiology, Faculty of Medicine Universitas Airlangga, Mayjen Prof. Dr. Moestopo No.6-8, Surabaya, Indonesia, Tel +62 877-0333-0249/ +62 815-5313-8138

Received: May 30, 2018 | Published: February 13, 2019

Citation: Mardiyana L, Andriani FR, Rizky T, et al. Various imaging features of diabetic mastopathy: a case series in surabaya oncology hospital, Indonesia. Int J Radiol Radiat Ther. 2019;6(1):24-26. DOI: 10.15406/ijrrt.2019.06.00207

Download PDF

Abstract

Background: Diabetic mastopathy (DMP) is a benign condition characterized by the presence of a breast like masses in patients with long-standing diabetes mellitus (DM) due to fibrous change and lymphocytic infiltration in breast tissue. It is thought to be a complication of type 1 and type 2DM, a condition which has also been reported in men.

Imaging features of DMP on mammography and US are heterogeneous and may also mimicking breast malignancy, thus require histopathologic examination for a definitive diagnosis. This case series reported three cases of DMP in Surabaya Oncology Hospital, Indonesia which mimicking malignancy on clinical examination and imaging. A definitive diagnosis was made through histopathologic examination by incisional, excisional and core biopsy.

Keywords: diabetic mastopathy, DMP, diabetes mellitus, DM, imaging, diagnosis

Clinical case 1

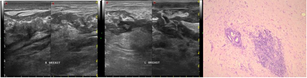
A 59-year-old female presented with right breast lump since 2 months before. There was history of DM on insulin treatment. Physical examination revealed a hard, indistinct border, and low movable mass in the upper outer quadrant of the right breast with mild tenderness. Mammography showed asymmetrical density in right upper outer quadrant, without any microcalcification. US showed irregular solid masses, hypoechoic, with angular margin and posterior shadowing in upper lateral quadrant, interconnecting with total sized >50mm with no vascularization inside the mass, suggesting a malignancy. Incisional biopsy result consistent with DMP (Figure 1).

Figure 1 Mammography, US, and histopathologic findings of a 59-year-old female presented with right breast lump turned out to be DMP.

Clinical case 2

A 65-year-old female presented with painless left breast lump since 1 week before. There was history of DM for 20 years. Physical examination revealed 2cm, indistinct border, and low movable mass suggesting malignancy.
Mammography showed asymmetric density in left breast. US showed irregular hypoechoic mass, taller than wider, which on doppler showed no intravascularization, BI-RADS: C5.

Excisional biopsy with frozen section was carried out revealed extended solid fibrous tissue, hard consistency and irregular margin without any nodule. Microscopic examination revealed fibrocollagen stromal proliferation and mature fat tissue, consisted of lobules with ductal dilatation and compression, surrounded with lymphocyte infiltration. There were no signs of malignancy (Figure 2).

Figure 2 Mammography, USG, and histopathologic findings of a 65-year-old female presented with left breast lump turned out to be DMP.

Clinical case 3

A 46-year-old female presented with warm and painful lumps in both breasts since 5 months before. There was history of unregulated DM for 6 years. Physical examination revealed edematous breasts with hyperemic skin.

There were no discrete mass detected on US, but it showed extended tissue distortion in all breast quadrants with skin thickening and wide edema. Lymph nodes enlargement also found on US, suggesting mastitis with differential diagnosis of inflammatory breast cancer. Core biopsy revealed no malignancy and consistent with features of DMP (Figure 3).

Figure 3 USG and histopathologic findings of a 46-year-old female presented with bilateral painful and warm breast lump turned out to be DMP.

Discussion

DMP is an uncommon breast lesion. The true incidence of this disorder is not defined. Soler and Khardori reported DMP in 13% from 88 female type 1 DM patients. In general, DMP occurred less than 1% of overall benign breast lesion.1,2 These lesion was first described as fibrous breast lesion in long standing type 1DM patient thus called fibrous disease of the breast, and now is termed diabetic mastopathy.2 Most known cases seen in type 1 and less frequently in type 2 diabetic patients.3 In our finding we found two out of three cases were type 2DM.

Characteristic changes of DMP are connective tissue overgrowth with vasculitis and some proliferation of duct epithelium. This changes not typically associated with an increased risk of breast cancer.2 Pathogenesis of DMP also known involving lymphocytic infiltration, therefore DMP is also known as diabetes lymphocytic mastopathy, sclerosing lymphocytic mastopathy, and sclerosing lymphocytic lobulitis.4

The etiology and pathophysiology of DMP have not been adequately explained; only one hypothesis has been proposed that hyperglycemia is the key etiology of DMP. Glycosylation is accelerated in hyperglycemia, and excessive levels of glycosylated end products induce an autoimmune response, causing lymphocytic infiltration and fibrosis.5

Upon physical examination, DMP usually presents as a hard, low movable, painless mass that can be either solitary or multiple. It can also occur in both breasts. Breast lump was the chief complaint from all three cases described before. Among the three cases, only one presented with painful breast lump, accompanied with signs of inflammation, warm and redness.

Mammographic findings of DMP usually revealed dense breast tissue without distortion or microcalcification.5 Asymmetric densities were found in the first two cases. Mammography was not ordered on the third case due to bilateral breasts edema.

US findings of DMP are heterogeneous, which may present as nodular hypoechoic lesion with clear posterior shadowing, sized 5–60mm, or as a mass with distinct border without posterior shadowing. It may also present as solid heterogeneous mass. The first two cases showed solid hypoechoic mass with indistinct border, some with posterior shadowing. Meanwhile the third case revealed extended tissue distortion in all breast quadrants of both breasts with no mass visible, accompanied with skin thickening and diffuse echogenicity enhancement of skin and subcutaneous tissue with hypoechoic shadow across fat tissue and soft tissue giving the characteristic cobblestone appearance. Japan Association of Breast and Thyroid Sonology termed lesion that do not meet the definitive criteria of masses as non-mass image forming lesions.5 Color Doppler imaging usually reveals no vascularization in subcutaneous tissue lesion, a typical finding in edema that not caused by infection.

Diabetic mastopathy is a benign entity but clinical and radiographic finding commonly indistinguishable from breast malignancy. Removal of the mass is not necessary; surgery may even exacerbate the condition as these lesions can recur more extensively after resection.6 Therefore, it is important to recognize this particularly rare condition to avoid unnecessary investigations and surgical procedures.

Conclusion

DMP is an uncommon entity which should be included in the differential diagnosis of breast lump in patients with history of DM. History taking, physical examination, and characteristic findings upon imaging should help in initial diagnosis. Nevertheless, both imaging and physical examinations usually fail to provide clear cut evidence that can distinguish DMP from breast malignancy, thus histopathologic examination by biopsy is required to make definitive diagnosis.

Acknowledgments

None.

Conflicts of interest

The author declares that there is no conflicts of interest.

References

Creative Commons Attribution License

©2019 Mardiyana, et al. This is an open access article distributed under the terms of the, which permits unrestricted use, distribution, and build upon your work non-commercially.