Submit manuscript...
International Journal of
eISSN: 2574-9889

Pregnancy & Child Birth

Case Report Volume 9 Issue 5

Prenatal diagnosis of LUTO- case report and review of the literature

Torri Anderson, Ogochukwu Oseji, Jana Yancey, Andrej Bogojevic, Lorraine Toner, Kecia Gaither

NYC Health+ Hospitals/Lincoln, USA

Correspondence: Kecia Gaither, NYC Health+ Hospitals/ Lincoln, 234 East 149th Street, Bronx NY 10451, USA

Received: August 30, 2023 | Published: October 5, 2023

Citation: Anderson T, Oseji O, Yancey J, et al. Prenatal diagnosis of LUTO- case report and review of the literature. Pregnancy & Child Birth. 2023;9(5):145-146. DOI: 10.15406/ipcb.2023.09.00293

Download PDF

Abstract

LUTO, or lower urinary tract obstruction refers to a varied group of anatomical abnormalities resulting in an obstruction in the urethra. Development of the urogenital system is an intricate process, with renal anomalies being the most commonly noted. LUTO is seen in approximately 3, in 10,000 live births, two thirds of which are caused by posterior urethral valves (PUV). Posterior urethral valves are membranes within the posterior urethra that can lead to bladder obstruction, hydronephrosis and increased renal pressure. This syndrome occurs almost exclusively in males. We present a case of posterior urethral valve syndrome complicating a pregnancy in the second trimester.

Case report

A 25-year-old G2P1001 at 19w2d presented for anatomic ultrasound. Routine prenatal genetic screening indicated an elevated risk for Down syndrome, 1:259. Her prenatal course was otherwise uncomplicated. Initial anatomical evaluation noted adequate amniotic fluid, a markedly distended fetal urinary bladder, moderate-to-marked bilateral renal hydronephrosis, a moderate degree of bilateral hydroureter, and bilateral renal cortical cysts, (Figures 1-4). Patient was sent for second opinion with secondary survey, within 1 week, denoting bladder outlet syndrome with oligohydramnios. A characteristic "keyhole" sign was noted (Figure 5). Patient initially elected for genetic non-invasive prenatal testing and later for genetic amniocentesis, the results of which revealed a normal karyotype/FISH/microarray. At the time of amniocentesis, bladder tap was performed and yielded 160cc of fluid for evaluation of renal function based on urine sodium, chloride, urine osmolality and calcium levels. At 22w3d patient presented for follow up sonographic evaluation; findings revealed significant fetal abdominal ascites, persistent oligohydramnios, a "bell-shaped" chest with only the left lung measurable, and the right lung poorly defined. Bilateral urinary tract dilation was again observed, with the right kidney measuring 2.0 x 3.0cm and the left kidney measuring 2.3 x 1.7cm. The kidneys were echogenic in nature and the parenchyma was thickened up to 7mm, with no pyramids visible. The bladder had severe thickening, measuring up to 7.7mm in diameter. The bladder measured 4.7 x 1.7cm with intraluminal calcifications noted both in the bladder and intestines. The patient was counseled on these new findings and concern for both pulmonary hypoplasia and possible poor renal function. The patient was given the option to proceed with fetal urinary evaluation for renal function and possible bladder shunt vs termination of pregnancy secondary to these findings; she elected for pregnancy termination.1–3

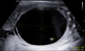
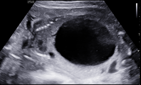
Figure 1 Distended fetal urinary bladder.

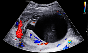
Figure 2 Moderate-to-marked bilateral renal hydronephrosis.

Figure 3 Moderate degree of bilateral hydroureter.

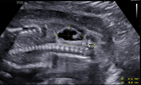
Figure 4 Bilateral renal cortical cysts.

Figure 5 A characteristic "keyhole.

Discussion

Posterior urethral valves ( PUV) are the most common cause of lower urinary tract obstruction in newborn males. It occurs in 1 in 5000-8000 pregnancies. The embryogenesis of this pathology is uncertain but is thought to be related to abnormal canalization of the posterior urethra at the vesicourethral interface during normal embryologic development of the male urethra between weeks nine and fourteen. Other proposed etiologies include overgrowth of urethrovaginal folds and abnormal integration of the Wolffian duct into the posterior urethra. PUV is considered a sporadic development, and is rarely reported in siblings.4

The presence of a posterior urethral valve prevents normal fetal micturition, resulting in bladder distension and subsequent distension of the ureters and kidneys. Diagnostic features of posterior urethral valves on sonography varies, but classically presents in male fetuses with fetal megacystis that may fill the entire abdomen, thickened bladder wall (>3mm) with prominent trabeculae, oligohydramnios, and bilateral hydronephrosis with hypoechoic renal parenchyma and/or cortical cysts that can indicate renal dysplasia. The best diagnostic clue is the presence of a dilated posterior urethra (“keyhole” sign) . While not always seen, its presence, suggests the diagnosis of PUV. These findings however, may be found in other urinary tract conditions. Megacystis is defined as a longitudinal bladder diameter (LBD) > 7mm in the first trimester. However, after the first trimester, it is most commonly defined as failure of bladder emptying during a 45min period of ultrasound examination.5

Recent studies have identified certain predictive features in an attempt to stage PUV based upon ultrasound findings and fetal biochemistry . These modalities are thought to assist with identifying and selecting patients for which in utero intervention may be beneficial, as well as to assist with counseling. At the present time, however, no reliable prediction of postnatal renal function can be predicted based solely upon antenatal appearance. Antenatal management includes amniocentesis with microarray analysis and noninvasive prenatal testing, especially if ultrasonographic evidence of megacystis is noted in the first trimester. When severe oligohydramnios is present, in utero therapy may help to prevent pulmonary hypoplasia and renal dysfunction, but has varying degrees of success. In utero therapy includes amnio-infusion, fetal cystoscopy with valve ablation, vesico-amniotic shunting, or urethral stenting. At this time, there is no clearly defined criteria for the ideal timing for in utero fetal intervention as this has the potential to cause associated malformations. The aim of intervention is to preserve pulmonary function and thus should be performed early on before renal insufficiency is established. Prognostic criteria of severity include oligohydramnios prior to 24 weeks gestational age. Thus, intervention prior to 22-23 weeks, although not well established, is a prudent consideration.

Proposed non-invasive methods to address the prenatal diagnosis of PUV include diffusion-weighted MRI with apparent diffusion coefficient (ADC) mapping, evaluation of CA19-9 levels in maternal urine have been proposed, however further accumulation of clinical data would need to be conducted to determine a firm conclusion regarding their practical implications in the diagnosis of PUV.

Despite in utero fetal intervention, perinatal mortality is ~50% and usually associated with severe oligohydramnios and pulmonary hypoplasia. Short-term prognosis depends on a variety of factors including the presence or absence of renal dysplasia, abnormal fetal urine parameters, and severity of oligohydramnios or anhydramnios. Long-term complications in survivors include recurrent urinary tract infections , chronic renal insufficiency/chronic kidney disease requiring dialysis and/or renal transplant.

Despite technological advances with in utero therapy, there still exists a high morbidity and mortality associated with LUTO. It is imperative in the diagnosis of such cases that a multidisciplinary team consisting of Neonatology, Perinatology, Geneticists, Pediatric Nephrology/Urology be involved to afford the patient succinct information needed to afford the best possible perinatal outcome.

Acknowledgments

None.

Conflicts of interest

None to disclose.

References

Creative Commons Attribution License

©2023 Anderson, et al. This is an open access article distributed under the terms of the, which permits unrestricted use, distribution, and build upon your work non-commercially.