Submit manuscript...
eISSN: 2574-9838

International Physical Medicine & Rehabilitation Journal

Case Report Volume 7 Issue 2

Abdominal pain in an elderly with a twist: a case of colonic volvulus

Sofia Moura de Azevedo

Internal Medicine Service, Hospital Center Porto University, Portugal

Correspondence: Sofia Moura de Azevedo, Internal Medicine Service, Hospital Center Porto University, 4099-001, Porto, Portugal

Received: June 26, 2022 | Published: September 16, 2022

Citation: de Azevedo SM, Gonçalves F. Abdominal pain in an elderly with a twist: a case of colonic volvulus. Int Phys Med Rehab J. 2022;7(2):79-80. DOI: 10.15406/ipmrj.2022.07.00309

Download PDF

Summary

Abdominal pain in the elderly patient is a common symptom and reason to resort to the emergency service. Geriatric ill patients present unique challenges in the anamnesis, physical examination and to determine expectations for rehabilitation and meaningful recovery. We present the case of an 80-year-old man, dependent on activities of daily living due to dementia. He was admitted to the emergency department with a clinic of abdominal pain and constipation. Abdominal radiography revealed dilatation of the sigmoid colon (coffee bean sign), as did abdominal CT, suggesting the diagnosis of intestinal volvulus. He underwent decompression colonoscopy with resolution. There was no evidence of neoplasia on abdominal CT or endoscopic study, or of another obstructive cause. Sigmoid volvulus is common in men over 70 years, with neuropsychiatric pathology and as a risk factor the patient had immobility and a long and redundant colon described in the endoscopic examination. This is a pathology with high mortality and risk of recurrence to be recognised in institutionalized elderly people.

Keywords: abdominal pain, Sigmoid volvulus, diarrhoea

Abbreviations

ER, emergency room; CT, computed tomography

Clinical case

We present the case of an 80-year-old man, totally dependent on activities of daily living due to an advanced dementia, with nasogastric tube since previous hospitalization for intestinal volvulus in 3-month prior. He was admitted to the ER due to the notion of abdominal pain and absence of bowel movements for 4 days, associated with a previous presentation of diarrhoea. The clinical examination revealed a distended and painful abdomen, and rectal examination was unremarkable. Workup with indoseable potassium on admission, without other hydro-electrolytic disorders or analytical alterations, he was started on endovenous K+ supplementation with the placement of a central venous catheter. Abdominal radiography revealed dilatation of the sigmoid colon (coffee bean sign), and abdominal CT confirmed a new intestinal volvulus associated with extrinsic compression of the inferior vena cava and of some organs (namely liver, pancreas, stomach).

After multidisciplinary discussion with general surgery and gastroenterology it was decided endoscopic approach, with resolution. No evidence of neoplasia on CT or endoscopic study or other obstructive cause. No evidence of B12 malabsorption or excess folic acid suggestive of bacterial over proliferation. No alterations in thyroid function, stools with negative clostridium. He was considered not a candidate for surgical intervention, and had no benefit in pursuing further etiological investigation. During hospitalisation, maintaining diarrhoea and severe hypokalaemia despite attempted correction. After discussion with his family and medical team, it was considered to benefit from exclusive symptomatic treatment and end-of-life care (Figures 1&2).

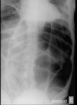
Figure 1 Plain abdominal radiography showing a markedly distended loop of bowel (“coffee bean sign”).

Figure 2 Abdominal CT, cross-sectional plane, demonstrated a whirled soft tissue mass at a lower abdomen (arrow), compatible with sigmoid volvulus.

Discussion

Elderly ill patients present unique challenges in the anamnesis, physical examination and to determine expectations for rehabilitation and meaningful recovery, being constipation a frequent geriatric syndrome.1,2 Sigmoid volvulus is characterized by abdominal distention and pain in the setting of constipation, and the diagnosis can be made with plain abdominal radiography. Common radiographic findings include absence of rectal gas, distention of the sigmoid colon in a coffee bean–like configuration, and a sigmoid colon transition point.1,2

In this case, a plain abdominal radiograph showed a coffee bean-like sign, suggestive for colonic volvulus. A computed tomography scan confirmed a huge colonic volvulus. Based on the patient’s history and surgical risks of an aggressive treatment in a frail patient, it was decided to perform an emergency colonoscopy for decompression. While without such comorbidities, immediate laparotomy would be considered, that would bring additional burden and discomfort without long-term benefit nor probable return to baseline.1,3

This is a case of a recurrent intestinal volvulus associated with constipation in a patient with scarce functional reserve and advanced dementia, to remind that elderly patients require a multimodal management. Pharmacological and physical rehabilitation in hospital and after discharge should be based on the patient’s functional status, care needs, and goals of care. 1,2Sigmoid volvulus is a pathology with high mortality and risk of recurrence to be recognised in institutionalized elderly people by any health professional.3–5

Acknowledgments

None.

Conflicts of interest

There are no conflicting interests declared by the authors.

References

Creative Commons Attribution License

©2022 de. This is an open access article distributed under the terms of the, which permits unrestricted use, distribution, and build upon your work non-commercially.